Interview With Dr. Robert Hieb: Needle Guidance to Embolize Aortic Endoleak

Robert A. Hieb, MD, FSIR, RVT, is a Professor of Radiology, Vascular Surgery, and Medicine at the Medical College of Wisconsin. He attended the University of North Dakota School of Medicine and then completed a Surgical Internship and Diagnostic Radiology Residency at Loma Linda University Medical Center before his fellowship in Vascular Interventional Radiology at the Medical College of Wisconsin, which he completed in 1998.
Tell us about the clinical presentation for type II endoleaks and why these cases are so challenging.
We know that after endovascular aneurysm repair (EVAR), about 25 percent of patients will have a type II endoleak. We also know that about half of those endoleaks will resolve spontaneously on their own over time. Overall, we are looking at a relatively small number of patients that will require treatment. At six months, only about 10 to 15 percent will have a persistent type II endoleak.
One of the other challenges, of course, is that type II endoleaks can develop at any time after endograft placement. It’s less common to have one just appear, especially after years of stability, but a new type II endoleak can develop in about 5 to 10 percent of patients.
Decision making in the presence of a type II endoleak is challenging. We need to determine which endoleaks need to be treated in a given patient. There are some clinical practice guidelines to help us make that decision and most of us would agree that a patient with 5 millimeter interval sac growth would be someone to consider treating.
How does intraprocedural Cone Beam CT (DynaCT, Siemens Healthineers) and advanced software applications like syngo Needle Guidance ) impact the procedure?
What I can tell you just from my own personal experience in treating these patients is that Needle Guidance certainly makes things easier for the operator. It allows for more accurate targeting of the optimal part of the endoleak. Remember that sometimes these are quite challenging, such as in the case that we’re presenting here—a posterior leak, at the level of the lower lumbar spine—there is not a simple percutaneous approach to take for this patient.
In addition to the accurate targeting, Needle Guidance allows us to pre-plan the trajectory and reduce the risk of inadvertent damage to adjacent structures as well as avoiding hitting or puncturing the endograft. It’s so helpful to have the Needle Guidance and to be able to simply follow the trajectory of the needle overlaid on the live fluoroscopic imaging.
How does Needle Guidance impact the procedural workflow?
It allows for very accurate targeting and increases confidence by simply being able to follow the needle trajectory. This also can reduce procedure time and radiation exposure to the patient and operator. Without needle guidance, we typically use markers such as the lumbar spine, osteophytes, graft markers, and so on, but that can make the procedure more complicated. Needle Guidance simplifies the overall procedure of embolizing a type II endoleak.
Tell us about the Needle Guidance workflow for your procedure.
I have fantastic technologists who are really experts in using this technology and this enables the workflow to be seamless. We utilized the patient’s pre‑procedural CTA to segment out the endoleak from the rest of the patient’s anatomy and plot our Needle Guidance trajectories. With the patient prone on the table, we performed a DynaCT, and fused the two data sets to ensure precision accuracy. The information was then set to overlay on live fluoroscopy.
The cross sectional imaging and Needle Guidance allowed us to plan theoptimal needle trajectory for access from the skin into the endoleak and avoid complications.
Because we have committed to utilizing the technology consistently, our team is very comfortable with it and it has become part of our typical workflow.
Do you use Needle Guidance and fusion imaging for any other applications?
I have found fusion imaging to be very useful for other vascular procedures as well. We use overlay for nearly every EVAR we perform. We do a significant amount of complex endografts at our institution, including fenestrated as well as physician-modified endografts. We perform a catheter aortogram while performing a DynaCT and then those images are manipulated on a 3D workstation and the ostia of the visceral and renal arteries are marked. Those marked vessel origins are then overlayed onto the live fluoro imaging during EVAR. This has definitely reduced time and radiation exposure as it gives us much more confidence on where to deploy the main body endograft in these complex cases. It can also help with catheterizing the fenestrations as well as the desired branch vessels.
I also utilize Needle Guidance to perform celiac plexus blocks and other nerve block procedures for chronic, particularly oncologic-related, pain and have found it to be quite useful for these types of procedures as well. I also use fusion imaging for TIPS procedures using the same workflow: registration of the previous CT and then fusing with the DynaCT. It works well for targeting the portal vein, which is the most challenging part of creating a TIPS.
My partners, who have large oncologic practices utilize Needle Guidance for their complex musculoskeletal, spine, and pelvic indications like osteoplasty, ablation, and screw fixation procedures. As interventionalists perform more advanced spine and pelvic stabilization procedures, along with ablation for tumors, the use of overlay and fusion imaging, used in virtually every one of these cases, will also continue to grow.
Case Report
Needle Guidance to Embolize Aortic Endoleak
Kaila Redifer Tremblay, MD; Peter Rossi, MD, FACS; Sean Tutton, MD, FSIR; Robert Hieb, MD, RVT, FSIR
Froedtert & the Medical College of Wisconsin
Abstract
Since the first successful endovascular abdominal aortic aneurysm repair performed more than 30 years ago, the natural history and long-term clinical significance of type II endoleaks have remained poorly understood. Although most type II endoleaks will resolve spontaneously, persistent perfusion and associated pressurization of the aneurysm may result in continued sac expansion, placing the patient at risk for rupture. We report a case of an 86-year-old male with persistent type II endoleak and aneurysm expansion following EVAR, treated with translumbar embolization using advanced navigation applications, including syngo 3D/3D fusion and integrated needle guidance (Siemens Healthcare AG, Forchheim, Germany).
VASCULAR DISEASE MANAGEMENT March 2021
Key words: abdominal aortic aneurysm, EVAR, endoleak, embolization, needle guidance, iGuide, fusion imaging, conebeam CT
Introduction
Since the inception of intraluminal stent-graft implantation for abdominal aortic aneurysm exclusion was first described by Parodi et al in 1991, endovascular repair has eclipsed open surgery as the preferred treatment method, now representing 80% of all cases in the United States.1 Despite a clear reduction in perioperative morbidity and mortality between EVAR and open surgical repair, endovascular treatment presents a unique set of potential complications requiring lifelong imaging surveillance.2 Endoleaks are defined as persistent perfusion of the aneurysm sac, representing the most common complication and indication for reintervention following EVAR. Endoleaks are stratified into five categories based on etiology (Table 1). While type I and type III endoleaks are associated with elevated sac pressure and ongoing risk of rupture, the natural history of type II endoleaks can be variable. Type II endoleaks have been reported in up to 25% of patients at the time of index aneurysm repair, of which at least 50% resolve spontaneously.3 The incidence of persistent type II endoleak is reported to be 10-15% at 6 months with variable impact on sac diameter, and new type II endoleaks may develop in 5-10%. Risk factors for persistent type II endoleak include ongoing anticoagulation, a patent IMA, and size and number of patent lumbar arteries.4–6 Although timing and management of secondary interventions for persistent type II endoleaks has sparked controversy in the literature, current SIR, SVS, and CIRSE clinical practice guidelines support intervention for continued sac enlargement, most commonly at 5 mm or more.3,7
Case Presentation
An 83-year-old male with a past medical history of hypertension, coronary artery disease, stage III chronic kidney disease, and hemophilia A underwent elective endovascular repair of an enlarging 5.3 cm infrarenal abdominal aortic aneurysm with bilateral common iliac artery aneurysms measuring 3.1 cm on the right and 2.6 cm on the left. A GORE EXCLUDER AAA Endoprosthesis was used in combination with a right-sided GORE EXCLUDER Iliac Branch Endoprosthesis (W.L. Gore & Associates, Inc, Flagstaff, Arizona). A type II endoleak originating from a lumbar collateral vessel was noted intraoperatively. The patient’s postoperative course was uncomplicated, and he was discharged on post-operative day one.
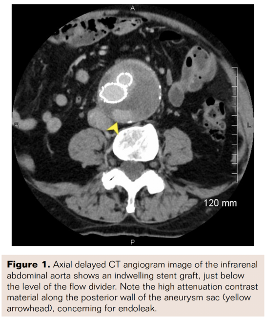
A baseline CT angiogram was obtained approximately 2 months following repair, demonstrating a persistent type II endoleak with minimal enlargement of the aneurysm sac to 5.4 cm. Surveillance CT angiograms were obtained at 6-month intervals, demonstrating progressive aneurysm sac enlargement secondary to a persistent complex type II endoleak, ultimately reaching 7.3 cm in greatest transverse dimension at 33 months post-EVAR (Figure 1). A diagnostic catheter angiogram was performed to exclude occult type I or type III endoleak, and none was identified. Although the patient remained asymptomatic, progressive aneurysm sac enlargement raised concern for impending loss of the proximal stent-graft seal and future risk of rupture, and therefore percutaneous translumbar embolization was recommended.
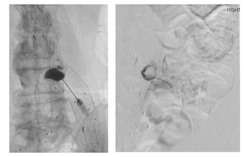
Given the patient’s advanced age and multiple medical co-morbidities, in conjunction with the complexity of his endoleak nidus, the decision was made to utilize advanced navigational software for treatment planning and delivery. The procedure was performed under general anesthesia in the interventional radiology suite. After the patient was secured in a prone position, a cone-beam CT was acquired and multiplanar reconstructions were generated using syngoDynaCT. The pre-intervention CT angiogram dataset was then utilized to estimate the total volume of the endoleak nidus and to identify adjacent vital structures, including the indwelling endograft. The CT angiogram and DynaCT datasets were fused, ultimately creating an overlay of pre-defined regions of interest to be displayed during live 2D fluoroscopy. Lastly, syngo needle guidance software was used to define the ideal needle trajectory (Figure 2). After a skin entry point was identified, a 20-gauge chiba needle was aligned with the integrated laser crosshairs projected onto the patient’s skin. The needle was advanced under direct fluoroscopic guidance, maintaining the x-y coordinates delineated by the navigational software. After gaining sufficient access into the paraspinal soft tissues, the needle guidance software was advanced to display the remaining distance to the target in the z-axis. Once the target was reached, the inner stylet was removed from the needle, and pulsatile blood flow was observed. Extension tubing was connected to the needle hub, and contrast was gently injected under fluoroscopy to confirm positioning within the aneurysm sac. A digital subtraction angiogram was performed, demonstrating opacification of at least one prominent lumbar artery at the L3-L4 level (Figure 3). The needle was flushed with normal saline followed by DMSO (dimethyl-sulfoxide) in preparation for embolization using the Onyx, (Medtronic, Minneapolis, Minnesota), a liquid embolic agent consisting of ethylene vinyl alcohol (EVOH) co-polymer, DMSO, and micronized tantalum powder. Using the integrated overlay showing anticipated nidus volume, a combination of Onyx 18 and Onyx 34 were slowly injected under direct fluoroscopic visualization until the anticipated volume had been reached and the complex iliolumbar collateral network was opacified. In total, 5.6 mL of Onyx 18 (6% EVOH) and 1.4 mL of Onyx 34 (8% EVOH) were administered. The needle was removed, and a final cone-beam CT was obtained to document the extent of the embolic cast (Figure 4).
Following completion of the procedure, the patient was monitored in the PACU area and discharged home without any immediate complication.
Discussion
The natural history of type II endoleaks following EVAR remains poorly understood.8,9 While advances in medical imaging have improved aneurysm surveillance and increased sensitivity for detecting endoleaks, re-intervention remains controversial. Complex type II endoleaks composed of multiple vessels supplying the aneurysm sac are often compared to arteriovenous malformations, whereby all major contributing vessels must be embolized, as incomplete embolization may result in recruitment of collateral vessels and continued aneurysm growth.10 Many different treatment options have been proposed, including transarterial, translumbar, or transcaval embolization using embolic coils, glue, or other liquid embolic agents such as Onyx.11 Open and laparoscopic ligation of feeding vessels have also been described. Transarterial embolization has been associated with increased iodinated contrast use, longer procedure times, and higher radiation doses to both the patient and operator. Furthermore, technical success may be limited by an inability to gain access into the aneurysm sac from the SMA via the arc or Riolan or marginal artery of Drummond, or from the internal iliac artery via the iliolumbar artery.12 Translumbar techniques have historically required puncture via anatomic landmarks, potentially increasing the risk of puncturing the endograft or surrounding structures. Alternatively, access into the aneurysm sac can be achieved under CT guidance, and the patient can be subsequently moved to the fluoroscopy suite for completion of the case.
This case illustrates the use of advanced navigational software for planning and execution of complex type II endoleak embolization. By fusing intraprocedural cone-beam CT images with the patient’s pre-procedure CT angiogram, we were able to estimate the size and morphology of the endoleak sac, allowing us to choose an optimal needle entry point and trajectory. The use of needle guidance also allowed us to predict the location of critical structures, reducing the risk of bleeding complications or inadvertent puncture of the endograft.
Conclusion
Type II endoleaks are common findings after endovascular aneurysm repair. Although the majority resolve spontaneously, persistent type II endoleaks mandate re-intervention. The use of advanced navigational software can provide precise needle guidance while reducing procedure time and operator dose.
REFERENCES
- Parodi JC, Palmaz JC, Barone HD. Transfemoral intraluminal graft implantation for abdominal aortic aneurysms. Ann Vasc Surg. 1991;5(6):491-499.
- Schermerhorn ML, O’Malley AJ, Jhaveri A, Cotterill P, Pomposelli F, Landon BE. Endovascular vs. open repair of abdominal aortic aneurysms in the Medicare population. N Engl J Med. 2008;358(5):464-474.
- Chaikof EL, Dalman RL, Eskandari MK, et al. The Society for Vascular Surgery practice guidelines on the care of patients with an abdominal aortic aneurysm. J Vasc Surg. 2018;67(1):2-77.e2.
- Gelfand DV, White GH, Wilson SE. Clinical significance of type II endoleak after endovascular repair of abdominal aortic aneurysm. Ann Vasc Surg. 2006;20(1):69-74.
- Higashiura W, Greenberg RK, Katz E, Geiger L, Bathurst S. Predictive factors, morphologic effects, and proposed treatment paradigm for type II endoleaks after repair of infrarenal abdominal aortic aneurysms. J Vasc Interv Radiol. 2007;18(8):975-981.
- Timaran CH, Ohki T, Rhee SJ, et al. Predicting aneurysm enlargement in patients with persistent type II endoleaks. J Vasc Surg. 2004;39(6):1157-1162.
- Walker TG, Kalva SP, Yeddula K, et al. Clinical practice guidelines for endovascular abdominal aortic aneurysm repair: written by the Standards of Practice Committee for the Society of Interventional Radiology and endorsed by the Cardiovascular and Interventional Radiological Society of Europe and the Canadian Interventional Radiology Association. J Vasc Interv Radiol. 2010;21(11):1632-1655.
- Tolia AJ, Landis R, Lamparello P, Rosen R, Macari M. Type II Endoleaks after endovascular repair of abdominal aortic aneurysms: natural history. Radiology. 2005;235(2):683-686.
- Loy LM, Chua JME, Chong TT, et al. Type 2 endoleaks: common and hard to eradicate yet benign? Cardiovasc Intervent Radiol. 2020;43(7):963-970.
- Baum RA, Carpenter JP, Golden MA, et al. Treatment of type 2 endoleaks after endovascular repair of abdominal aortic aneurysms: Comparison of transarterial and translumbar techniques. J Vasc Surg. 2002;35(1):23-29.
- Brinster CJ, Sternbergh WC. Endovascular Aneurysm Repair Techniques. In: Rutherford’s Vascular Surgery and Endovascular Therapy. Vol 1. 9th ed. Elsevier; 2019:929-943.
- Guo Q, Zhao J, Ma Y, et al. A meta-analysis of translumbar embolization versus transarterial embolization for type II endoleak after endovascular repair of abdominal aortic aneurysm. J Vasc Surg. 2020;71(3):1029-1034.e1.


