Endovascular Repair of Ruptured Renal Artery Aneurysms: A Lifesaving and Kidney-preserving Approach
VASCULAR DISEASE MANAGEMENT 2023;20(4):E74-E76
Abstract
A renal artery aneurysm (RAA) is a rare entity, with an incidence of roughly 0.1%. In this case report, we present a case of a ruptured RAA managed with a covered stent. The outcome was favorable, with preservation of the patient’s kidney function. The size threshold to intervene on asymptomatic RAAs has increased from 2 cm to 3 cm, as the risk of rupture remains low. Ruptured aneurysms require emergent lifesaving intervention, as they commonly result in nephrectomy or loss of renal function. In a properly selected candidate, an endovascular approach is a viable option that can successfully preserve the patient’s life and renal function.
Case Description
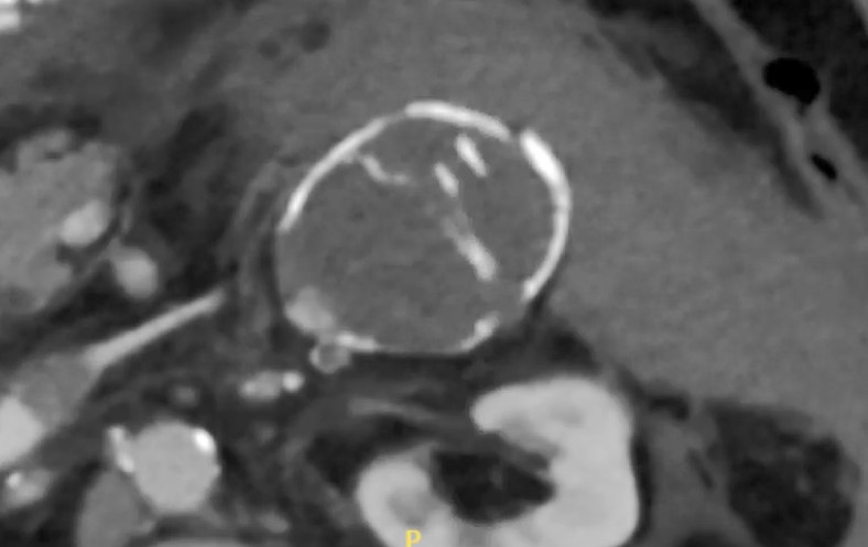
A 65-year-old male with a medical history of hypertension and chronic obstructive pulmonary disease (COPD) presented to our hospital’s emergency department (ED) with a complaint of severe left-sided abdominal pain of 2 hours’ duration. He stated that the pain was mainly in the left flank with radiation into his back; he denied pain with urination and hematuria. The patient stated that he had never experienced pain of this nature. He denied fever, chills, chest pain, and shortness of breath. He did admit to active tobacco use with a 50 pack-year smoking history and had undergone a previous umbilical hernia repair with mesh. On physical exam, the patient was hypotensive with a systolic blood pressure of 80 mm Hg; he was anxious, diaphoretic, and obviously in distress. He displayed tenderness to palpation of the left side of his abdomen with guarding; on vascular exam, his femoral and distal pulses were palpable. In the ED, a computed tomography (CT) scan with IV contrast was obtained, revealing a 6-cm left renal artery aneurysm with active extravasation and a large retroperitoneal hematoma (Figure 1).
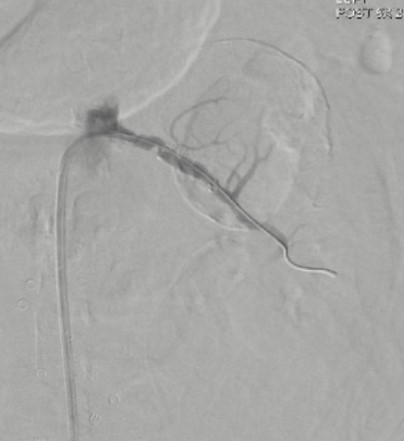
The facility’s ruptured aneurysm protocol was activated, and the patient was taken immediately to the hybrid operating room. Given the patient’s underlying COPD and previous abdominal surgery with mesh, a decision was made to proceed with endovascular intervention. The right common femoral artery was accessed with ultrasound guidance and a micropuncture kit. After exchanging for a Bentson wire (Cook Medical) and a 5F sheath, a VS2 catheter (Gore Medical) was used to engage and selectively image the left renal artery. With selective imaging, we were pleasantly surprised to see an adequate amount of renal artery distal to the aneurysm neck, allowing for placement of a covered stent (Figure 2).
We disengaged the left renal artery with catheter and wire and exchanged our 5F sheath for a 6.5F Destino Twist directional sheath (Oscor), again selected the left renal artery, and advanced the sheath into the proximal renal artery. Next, the Bentson wire was exchanged for a V-18 ControlWire guidewire (Boston Scientific), and a 6-mm x 25-mm Viabahn covered stent (Gore Medical) was deployed across the neck of the aneurysm, thereby excluding the aneurysm from arterial circulation and maintaining perfusion to the left kidney (Figure 3). Completion angiogram demonstrated adequate deployment of the covered stent, and the right femoral access site was closed with a Perclose ProGlide Suture-Mediated Closure device (Abbott) in standard fashion.
Postoperatively, the patient progressed well. His urine output remained adequate and his mild acute kidney injury resolved. He received 1 unit of packed red blood cell transfusion and was discharged to home on dual antiplatelet therapy (81 mg aspirin and 75 mg clopidogrel).
The patient was seen in outpatient follow-up at 2 weeks with no postoperative complications. We obtained a renal artery duplex as well as blood work at 3 months, which revealed normal creatinine; however, the renal artery was unable to be visualized via sonography. A CT angiography (CTA) was obtained, which revealed a patent left renal artery stent, exclusion of the aneurysm, and a small left renal infarct. The patient has since completed a 6-month course of dual antiplatelet therapy and is now maintained on 81 mg aspirin daily.
Discussion
Renal artery aneurysms have an incidence of about 0.1%.1 Median age tends to be in the 5th decade of life, with a female predominance.1,2 The majority of these aneurysms have a saccular morphology and occur most commonly at the main renal artery bifurcation or beyond.2 Pathophysiology is likely related to medial degeneration and atherosclerosis, although connective tissue disease may play a role.3 Hypertension is associated with renal artery aneurysm (RAA) but the causality is unclear, as RAA repair often improves blood pressure control.4 False aneurysms, or pseudoaneurysms, may also affect the renal artery; however, they usually a result of either blunt or penetrating trauma, or due to iatrogenic injury.4
RAAs are most commonly discovered incidentally;2 however, patients may present with refractory hypertension, gross or microscopic hematuria, flank pain,5 or profound hypotension if associated with rupture. CTA or magnetic resonance angiography should be obtained if clinically suspected or if diagnosed via another imaging modality.6 Once RAA has been diagnosed, the decision must be made to pursue either operative or nonoperative management. Nonoperative management is appropriate in patients who do not have an indication for surgery or are poor surgical candidates and consists of tight blood pressure control and antiplatelet therapy.2,6 For asymptomatic patients, intervention is indicated at a size of 3 cm for true aneurysms.6 Intervention is indicated independent of size in women who are pregnant or of childbearing age, patients with refractory hypertension and renal artery stenosis, and patients presenting with pain or with rupture.6
Although there are both open and endovascular approaches to repair, the Society of Vascular Surgery currently recommends open surgical reconstruction in the elective setting for patients who are fit for surgery and reserves endovascular repair for patients considered unfit for open surgery.6 Open surgical repair may consist of aneurysmorrhaphy, interposition grafting, patch angioplasty, ex-vivo reconstruction, primary nephrectomy, or extracorporeal repair with autotransplantation.2,7
Endovascular repair may consist of placement of a covered or uncovered stent across the aneurysm neck, or embolization for distal RAA in patients with appropriate renal function.5 Good outcomes have been reported for endovascular and open repairs, with high rates of technical success and low rates of morbidity and mortality.3,7
Although overt rupture is a relatively uncommon presentation of RAA (1.8% in 1 study), mortality has been estimated at 10%2 to 50%.3 Although rupture has been traditionally associated with nephrectomy,1 there are no consensus guidelines for the approach to a ruptured RAA, likely due to the paucity of literature. At least 7 cases of ruptured RAAs treated endovascularly have been reported,8,9 with no mortality and 1 loss of kidney. One large retrospective study of RAA noted a 4:1 predominance of open approach for symptomatic and ruptured RAA but noted that an endovascular-first approach may have some advantages, including avoiding the technical difficulties associated with operating in a bleeding retroperitoneal plane.1
Conclusion
Based on our current case and the existing literature, endovascular intervention seems to be an appropriate option for a ruptured RAA. However, it is not appropriate for all patients in all situations.
Patient selection is key, and the operative approach for RAA management should be guided by the patient's hemodynamic status, surgical history and fitness, and anatomy; institutional capabilities; and operator experience. n
The authors have completed and returned the ICMJE Form for Disclosure of Potential Conflicts of Interest. The authors report no financial relationships or conflicts of interest regarding the content herein.
Manuscript accepted March 2, 2023.
Address for correspondence: Sean Hamlin, MD, Department of General Surgery, St. Luke’s University Health Network, 801 Ostrum St., Fountain Hill, PA 18015. Email: Sean.hamlin@sluhn.org
REFERENCES
1. Tsilimparis N, Reeves JG, Dayama A, Perez SD, Debus ES, Ricotta 2nd JJ. Endovascular vs open repair of renal artery aneurysms: outcomes of repair and long-term renal function. J Am Coll Surg. 2013;217(2):263-269. doi:10.1016/j.jamcollsurg.2013.03.021
2. Henke PK, Cardneau JD, Welling 3rd TH, et al. Renal artery aneurysms; a 35-year clinical experience with 252 aneurysms in 168 patients. Ann Surg. 2001;234(4):454-462. doi:10.1097/00000658-200110000-00005
3. Wolk S, Distler M, Radosa C, et al. Management and outcome of true visceral and renal artery aneurysm repair. Langenbecks Arch Surg. 2021;406(3):623-630. doi:10.1007/s00423-021-02149-1
4. Orion KC, Abularrage CJ. Renal artery aneurysms: movement toward endovascular repair. Semin Vasc Surg. 2013;26(4):226-232. doi:10.1053/j.semvascsurg.2014.06.007
5. Dinh L, Hamandi M, Shutze W. Repair of renal artery aneurysm with stent angiography and coil embolization. Proc (Bayl Univ Med Cent). 2021;34(3):391-393. doi:10.1080/08998280.2020.1868244
6. Chaer RA, Abularrage CJ, Coleman DM, et al. The Society for Vascular Surgery clinical practice guidelines on the management of visceral aneurysms, J Vasc Surg. 2020;72(1S):3S-39S. doi:10.1016/j.jvs.2020.01.039
7. Buck DB, Curran T, McCallum JC, et al. Management and outcomes of isolated renal artery aneurysms in the endovascular era. J Vasc Surg. 2016;63(1):77-81. doi:10.1016/j.jvs.2015.07.094
8. Sedhai YR, Basnyat S, Dar T, Acharya D. Endovascular treatment of ruptured renal artery aneurysm: a case-based literature review. Case Rep Med. 2019;2019:3738910. doi:10.1155/2019/3738910
9. Li G, Sun Y, Song H, Wang Y. Embolization of ruptured renal artery aneurysms. Clin Exp Nephrol. 2015;19(5):901-908. doi:10.1007/s10157-015-1087-1


