Carotid Web as Etiology of Recurrent Embolic Ischemic Stroke
© 2024 HMP Global. All Rights Reserved.
Any views and opinions expressed are those of the author(s) and/or participants and do not necessarily reflect the views, policy, or position of Vascular Disease Management or HMP Global, their employees, and affiliates.
VASCULAR DISEASE MANAGEMENT. 2024;21(7):E52-E56
Introduction
Carotid webs are nonatherosclerotic fibrous bands commonly found on the carotid bulb's posterior margin. Little is known about their pathogenesis. It is hypothesized that carotid webs are congenital abnormalities that proliferate in response to genetic factors, disorders to vascular injury, or abnormal hormone levels. Changes in the arterial vessel from the fibrous band results in the promotion of fluid stasis immediately distal to the carotid web, causing an increased risk of thrombus formation. Prevalence of these lesions is about 1%; however, they are often overlooked in clinical practice as they are not frequently associated with significant vascular stenosis.1
Up to one-third of all patients with ischemic strokes do not have a known etiology; these strokes are categorized as cryptogenic. The majority occur in younger individuals without vascular risk factors.2 Although these lesions are treated with antiplatelet therapy, anticoagulation has been proposed as an appealing therapy given the nature of blood stagnation and thrombus formation.1
Case History
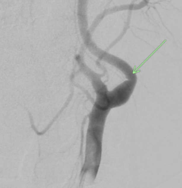
A 47-year-old woman with a history of well-controlled non-insulin-dependent diabetes mellitus and essential hypertension presented to the emergency department (ED) in 2015 complaining of right-sided facial, upper extremity, and lower extremity weakness with associated dysarthria. The patient was in her usual state of health until 1 hour before presentation. A computed tomography (CT) scan revealed ischemic stroke on the left side of the basal ganglia and posterior limb of the internal capsule. Magnetic resonance imaging (MRI) showed an acute infarction of the left motor cortex. The patient was given tissue plasminogen activator (tPA) and admitted. During admission, cardiac telemetry and transthoracic echocardiography were unrevealing. She was discharged on 81 mg of aspirin and 40 mg of atorvastatin 40 mg with cardiology follow-up. A loop recorder was implanted for 4 weeks and did not show evidence of atrial fibrillation. After 14 months, the patient returned complaining of 30 minutes of similar symptoms. MRI revealed an acute ischemic infarct in the left frontal corona radiata with chronic microvascular ischemic changes. The patient received tPA and fully recovered after 3 days of hospitalization. Telemetry was negative for atrial fibrillation and transesophageal echocardiography showed no evidence of left atrial appendage thrombus or patent foramen ovale. A digital subtraction angiography (DSA) was performed, which confirmed the presence of a small intimal web on the proximal cervical left internal carotid artery (Figure 1), but there was no evidence of significant cerebral stenosis or vasculitis.
Given the small size of the carotid web, no intervention was performed. The patient was discharged home on the same medication regimen. A complete rheumatologic and hematology panel ruled out secondary causes of coagulopathy possibly causing recurrent thrombi. After 12 months, the patient presented following 10 minutes of left arm numbness and facial drooping with complete recovery at the time of presentation. MRI showed small acute cortical infarcts involving the left precentral gyrus and parietal lobe. Again, a complete workup was negative. This time, the patient was discharged adding 75 mg of clopidogrel to her regimen, but 4 months later she was readmitted with the same symptoms of 1-hour duration. She was given tPA, now a third time, and MRI showed acute stroke of the left medial cerebral artery territory. Again, workup failed to show a source of the recurrent strokes. Given the failure of dual antiplatelet therapy, clopidogrel was stopped and 5 mg of apixaban twice daily was added. After this medication adjustment, the patient has been stroke-free for 5 years, with consistent follow-up in clinic.
Discussion
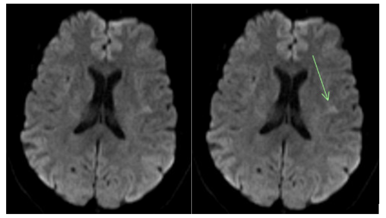
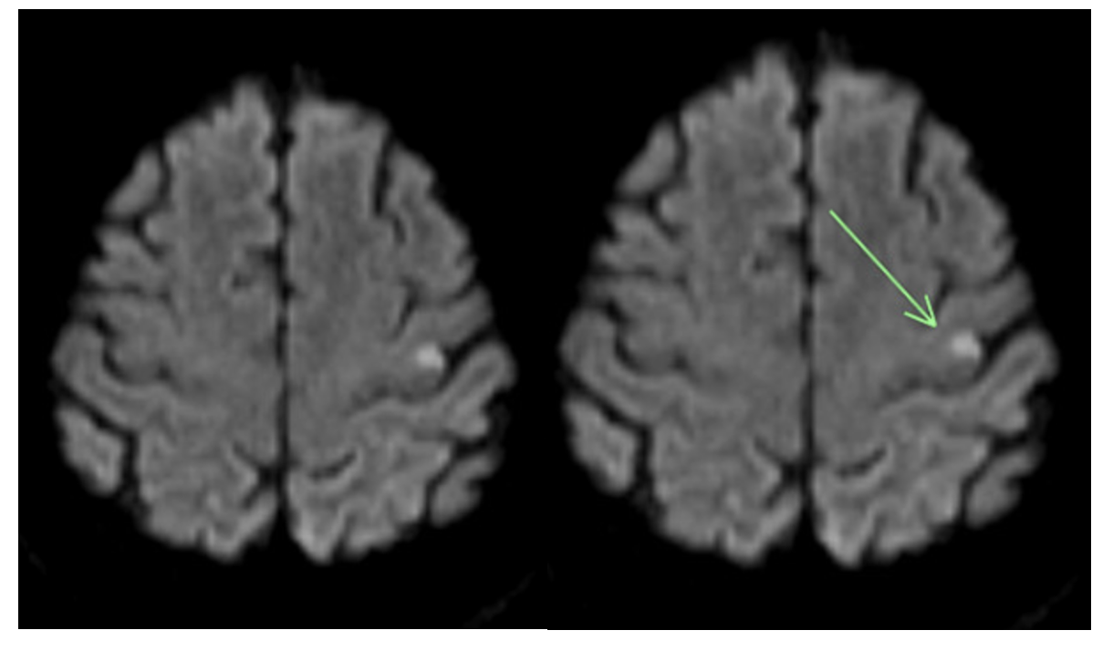
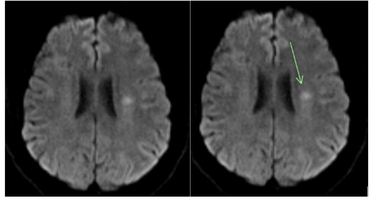
Recurrence of cardiovascular accidents (CVA) occurs frequently. Studies have demonstrated recurrence of CVA in 26% of patients within 5 years.3 This case reports a patient on antiplatelet therapy with recurrent CVA with no identifiable cause. Her stroke was classified as cryptogenic due to a lack of evidence of etiology despite repeated tests to rule out cardioembolic, aortoembolic, or atheroembolic causes. Since all the strokes occurred within the region of the left internal carotid artery (Figures 2-4), we suspect they were caused by the left internal carotid web. During DSA, the neurosurgeon noted in the operative note that the extracranial left carotid artery circulation exhibited normal caliber and course, with the exception of a very small, eccentric intimal web at the junction of the left internal carotid artery bulb and proximal cervical segment. While most carotid webs are found in the carotid bulb’s posterior margin, the carotid web in this case appeared in the anterior and distal aspect. Theoretically, a carotid web could form anywhere along the carotid artery where a thin, membrane-like shelf of tissue that extends from the wall to the lumen exists. The multitude of infarcts in the left internal carotid’s territory helps to support that this patient has a carotid web rather than a kinked or tortuous vessel, and that it has a probable role in stroke etiology.
Some studies have looked at carotid webs as a cause of recurrent ischemic embolic strokes. A large case series described individuals with cryptogenic strokes who had a carotid web ipsilateral to the stroke and no other stroke causes.4 A case-control study also revealed that 4 of 64 individuals diagnosed with cryptogenic stroke under the age of 60 had an ipsilateral carotid web.5
Carotid webs continue to represent an underrecognized etiology for ischemic strokes, particularly in young patients without typical risk factors. The availability of multiple modality imaging has contributed to an increase in diagnosis. However, no established guidelines currently exist for management. Case reports note that medical management with statins, anticoagulation, and dual antiplatelet therapy transitioned to single antiplatelet therapy. Case reports suggest that single antiplatelet therapy is not sufficient to prevent recurrent ischemic stroke. Approximately 30% of patients who received antiplatelet therapy alone had recurrent ischemic stroke, with a median recurrence of 12 months.1
Carotid webs produce blood stasis, which can result in thrombus dislodgement and possible emboli intracranially. Therefore, addition of anticoagulation appears promising. In our patient, the addition of anticoagulation to single antiplatelet therapy prevented the recurrence of stroke after 5 years. Unfortunately, there is a scarcity of information on the use of anticoagulation in carotid web-related strokes.
Conclusion
Carotid webs are vascular anomalies that interrupt blood flow and promote clot development in the carotid artery, contributing to recurrent ischemic strokes. Early detection and proper therapies are critical for reducing recurrent strokes and improving the long-term prognosis for those affected. n
Affiliations & Disclosures
Rachel Shatanof, MD, and Simon Gaviria-Valencia, MD, are from Mount Sinai Medical Center Department of Internal Medicine, Miami Beach, Florida.
Francisco Ujueta, MD, MS, and David Paniagua, MD, are from Mount Sinai Medical Center Columbia University Division of Cardiology, Miami Beach, Florida.
Arman Gill, MD, is from Mount Sinai Medical Center Department of Radiology, Miami Beach, Florida.
Disclosure: The authors report no financial relationships or conflicts of interest regarding the content herein.
Manuscript accepted July 2, 2024.
Address for Correspondence: Rachel Shatanof, MD, Mount Sinai Medical Center Department of Internal Medicine, 4300 Alton Road, Miami Beach, FL 33140. Email: rachelshatanof@gmail.com
REFERENCES
1. Liang S, Qin P, Xie L, Niu S, et al. The carotid web: current research status and imaging features. Front Neurosci. 2023;17:1104212. doi:10.3389/fnins.2023.1104212
2. Sajedi PI, Gonzalez JN, Cronin CA, et al. Carotid bulb webs as a cause of "cryptogenic" ischemic stroke. AJNR Am J Neuroradiol. 2017;38(7):1399-1404. doi:10.3174/ajnr.A5208
3. Flach C, Muruet W, Wolfe CDA, Bhalia A, Douiri A. Risk and secondary prevention of stroke recurrence: a population-base cohort study. Stroke. 2020;51(8):2435-2444. doi:10.1161/STROKEAHA.120.028992
4. Bouchal S, Lamrani YA, Chtaou N, Maaroufi M, Belahsen F. Repeated intravenous thrombolysis in early recurrent stroke secondary to carotid web: case report. Radiol Case Rep. 2021;16(4):843-846. doi:10.1016/j.radcr.2021.01.026
5. Coutinho JM, Derkatch S, Potvin ARJ, et al. Carotid artery web and ischemic stroke: a case-control study. Neurology. 2017;88(1):65-69. doi:10.1212/WNL.0000000000003464


