Skip to main content

Volume 31 - Issue 6 - September 2023

Cover Story
09/11/2023
Harrison Nguyen, MD, MBA, MPH, DTM&H, FAAD
Drug prices in the United States are driven by a complex web of interconnected relationships, incentives, and payments among a multiplicity of stakeholders in the drug supply chain.
Drug prices in the United States are driven by a complex web of interconnected relationships, incentives, and payments among a multiplicity of stakeholders in the drug supply chain.
Drug prices in the United States...
09/11/2023
The Dermatologist
Case Report
09/11/2023
Kate E. Beekman, BS; Paul M. Rodriguez-Waitkus, MD, PhD; Kerry C. Hennessy, MD
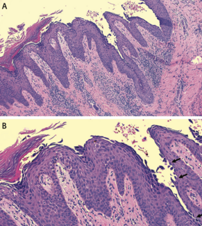
Although rare, this disease should be considered when evaluating a chronic, eroded, scaly eruption, particularly in a seborrheic distribution.
Although rare, this disease should be considered when evaluating a chronic, eroded, scaly eruption, particularly in a seborrheic distribution.
Although rare, this disease...
09/11/2023
The Dermatologist
NRS Approved Features
09/11/2023
Riya Gandhi, MA
New National Rosacea Society resource seeks to empower patients with rosacea and enhance their quality of life.
New National Rosacea Society resource seeks to empower patients with rosacea and enhance their quality of life.
New National Rosacea Society...
09/11/2023
The Dermatologist
Clinical Tips
09/11/2023
Benjamin Barankin, MD, FRCPC
Keep these tips and pearls from dermatologic experts in mind for your next appointment.
Keep these tips and pearls from dermatologic experts in mind for your next appointment.
Keep these tips and pearls from...
09/11/2023
The Dermatologist
Chief Medical Editor Message
09/11/2023
Steven R. Feldman, MD, PhD
In December 2022, Congress enacted a requirement for US Drug Enforcement Administration (DEA)-registered practitioners to complete 8 hours of training on opioid or other substance use disorders.
In December 2022, Congress enacted a requirement for US Drug Enforcement Administration (DEA)-registered practitioners to complete 8 hours of training on opioid or other substance use disorders.
In December 2022, Congress...
09/11/2023
The Dermatologist
Feature Story
09/11/2023
Lauren Hollins, MD; Todd Cartee, MD; Norhan Shamloul, MD
With data showing that patients with skin of color have higher morbidity and mortality from skin cancers despite lower incidence rates, it is time to reassess how our care is delivered and who is delivering that care.
With data showing that patients with skin of color have higher morbidity and mortality from skin cancers despite lower incidence rates, it is time to reassess how our care is delivered and who is delivering that care.
With data showing that patients...
09/11/2023
The Dermatologist
09/11/2023
Jessica Garlewicz
Atopic dermatitis and psoriasis can negatively affect the whole household.
Atopic dermatitis and psoriasis can negatively affect the whole household.
Atopic dermatitis and psoriasis...
09/11/2023
The Dermatologist
NEA Approved Features
09/11/2023
Jessica Garlewicz
Dr Peter Lio provides a brief on the current topicals used to treat atopic dermatitis in children.
Dr Peter Lio provides a brief on the current topicals used to treat atopic dermatitis in children.
Dr Peter Lio provides a brief on...
09/11/2023
The Dermatologist
SDPA Feature
09/11/2023
Cynthia Griffith, MPAS, PA-C
Get a comprehensive perspective on the upcoming Society of Dermatology Physician Assistants fall 2023 conference.
Get a comprehensive perspective on the upcoming Society of Dermatology Physician Assistants fall 2023 conference.
Get a comprehensive perspective...
09/11/2023
The Dermatologist
Derm Dx
09/11/2023
Madiha Khan-Walton, DO; Eden Roth, DO; Katrina Hansen, DO; Annette LaCasse, DO
A 62-year-old Black woman presented to the outpatient dermatology office at the recommendation of her dentist for evaluation of many asymptomatic, small, dark brown hyperpigmented macules of the mouth.
A 62-year-old Black woman presented to the outpatient dermatology office at the recommendation of her dentist for evaluation of many asymptomatic, small, dark brown hyperpigmented macules of the mouth.
A 62-year-old Black woman...
09/11/2023
The Dermatologist
Board Review
09/11/2023
Amy J. McMichael, MD
The contents of these questions are taken from the Galderma Pre-Board Webinar. The Pre-Board Webinar is now an online course. For details, go to https://www.galderma.com/us/preboard-webinar.
The contents of these questions are taken from the Galderma Pre-Board Webinar. The Pre-Board Webinar is now an online course. For details, go to https://www.galderma.com/us/preboard-webinar.
The contents of these questions...
09/11/2023
The Dermatologist
NAAF-Reviewed Content
09/11/2023
Coleen Stern, MA
“With recent advancements, the care of patients with alopecia areata has changed forever and so has dermatology,” shares Dr Brett King.
“With recent advancements, the care of patients with alopecia areata has changed forever and so has dermatology,” shares Dr Brett King.
“With recent advancements, the...
09/11/2023
The Dermatologist
NPF Endorsed Features
09/11/2023
Sonia Wang, BS
Women have unique considerations for the management and treatment of their psoriasis.
Women have unique considerations for the management and treatment of their psoriasis.
Women have unique considerations...
09/11/2023
The Dermatologist