Isolated Scalp Pemphigus Foliaceus in Skin of Color
Pemphigus foliaceus (PF) is a rare skin disease belonging to the pemphigus group of autoimmune blistering disorders. PF typically presents with scaly, hyperkeratotic plaques or chronic erosions following a seborrheic distribution and lacking mucosal involvement. Outside of regions in South America and Northern Africa with endemic PF (“fogo selvagem”), pemphigus most commonly affects adults between ages 45 and 65 years, with most studies reporting a higher prevalence in women.1 Reports of the incidence rate of sporadic (nonendemic) PF range from 0.8 to 1.1 per million annually, with no established predilection for a particular race.1,2 However, darker skin tones have been historically under-represented in dermatology literature and images.3 In this article, we contribute a unique case of isolated scalp PF in skin of color.
Case Report
A 39-year-old African American woman with no history of autoimmune disease presented to our clinic with a 7-month history of a pruritic, scaly rash on the scalp. The patient was referred to our academic center after an outside biopsy suggested an acantholytic disorder. Previous attempted treatments included ketoconazole shampoo and topical clobetasol, the latter of which resulted in burning and headaches prompting a visit to the emergency department. Clobetasol was discontinued due to the patient’s presumed allergic reaction; rash persisted with use of ketoconazole shampoo. Subsequent evaluation in our clinic revealed scaly, hyperkeratotic plaques with erosions on the left and mid-frontal scalp (Figure 1). Punch biopsies of a left frontal scalp plaque and perilesional site were taken, and empiric intramuscular triamcinolone was administered without significant improvement.
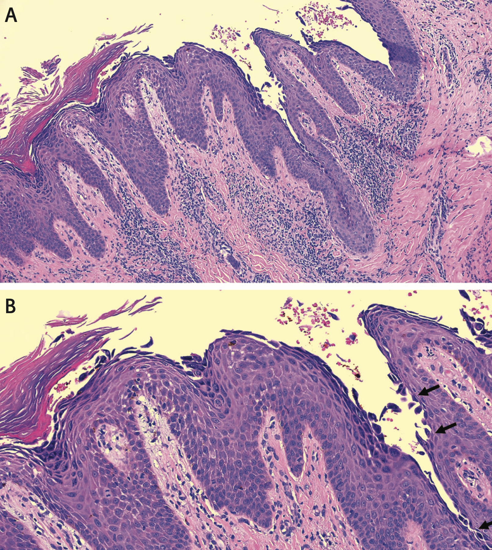
Punch biopsy hematoxylin and eosin (H&E) staining showed subcorneal/intraepidermal vesicular dermatitis with prominent acantholysis extending into the hair follicles and dermal perivascular lymphocytic infiltrate (Figure 2). Periodic acid-Schiff staining was negative for fungal hyphae. Direct immunofluorescence (DIF) demonstrated positive intraepidermal intercellular deposition of immunoglobulin G (IgG) and complement component 3 (C3) (Figure 3). These biopsy results suggested a diagnosis of PF. Subsequent serum studies using enzyme-linked immunosorbent assays (ELISA) were positive for desmoglein 1 (DSG1) antibody and negative for desmoglein 3 (DSG3) antibody, further supporting the diagnosis.
The patient denied being from an area endemic for PF. With an established diagnosis of sporadic PF, another 80-mg dose of intramuscular triamcinolone acetonide was administered and the patient was started on a twice daily regimen of tacrolimus 0.1% ointment. The plan was made to begin high-dose rituximab infusions pending results of appropriate laboratory screening to rule out contraindications.
Clinical Presentation
The classic clinical presentation of PF is erythematous, scaly plaques and crusted erosions in a seborrheic distribution, most often affecting the face, scalp, and upper trunk and sparing the mucosal surfaces.4 Often, the primary intact blisters are not observed in PF due to fragility and rupture of superficial bullae,5 which leads to characteristic “cornflake” crusted erosions.6 Pain or pruritis may be present. Physical examination may reveal a positive Nikolsky sign, and severe cases can have diffuse cutaneous involvement.4,7
Case reports of PF in skin of color have described the clinical appearance as the classical eroded, scaly plaques or as psoriasiform,8 verrucous/seborrheic keratosis-like,9,10 or even atrophic in areas.9 A violaceous or dusky base may be better appreciated than the pink or red skin changes seen in patients with lighter skin tones.11,12
Previous reports have estimated scalp involvement in 60% of PF cases.13 The Pemphigus Disease Area Index, a disease activity scoring system for pemphigus with high interrater reliability, gives extra weight to scalp involvement.14-16 However, further studies specific to PF are necessary to determine the role of scalp involvement in prognostication and treatment response. Because PF can lead to scarring or nonscarring alopecia,13 early diagnosis and treatment of scalp PF is important to prevent further extent of disease.
Diagnostic Studies
Although nonspecific, the histopathology of PF is characterized by subcorneal acantholysis,5 as seen in Figure 2A. Other findings may include intraepidermal blisters containing neutrophils and acantholytic keratinocytes,17 dermal inflammatory infiltrate,7 and follicular acantholysis,13 as seen in Figure 2B. Acanthosis, hyperkeratosis, parakeratosis, and granular layer dyskeratosis may be present in older PF lesions.7 DIF showing a “chicken-wire” distribution of interkeratinocyte deposition of IgG with or without C3 is diagnostic for pemphigus. In PF, deposition is predominantly in the superficial epidermis.5,6 Serum studies can also help determine the subtype of pemphigus. Indirect immunofluorescence, as with DIF, would reveal intercellular IgG deposition in the upper epidermis. ELISA in patients with PF is positive for antibodies to DSG1 but typically negative for antibodies to DSG3, a key distinguishing factor from pemphigus vulgaris (PV).5-7 ELISA titers may also be used to monitor disease activity.7
Pathogenesis
Blistering in pemphigus is a result of autoimmune intraepidermal acantholysis. IgG autoantibodies are formed to DSGs, which are cadherin glycoproteins of desmosomes mediating keratinocyte cell-to-cell adherence.5 The immune activation against DSGs results is disconnection of keratinocytes and bullae formation. The PF autoantigen is DSG1, which is found in highest concentration in the superficial layers of the epidermis. The PV autoantigen is DSG3, which is primarily found in deeper layers of the epidermis; DSG1 autoantibodies may be present in PV as well. DSG3 is expressed more abundantly in the mucosal epidermis than DSG1, accounting for the mucosal involvement in PV.5
Studies have reported genetic association of sporadic PF with the human leukocyte antigen (HLA) alleles HLA-DQB1*0503, HLADQB1*0303, HLA-DQB1*0302, and HLA-DRB1*04.18,19 Some cases of PF have been linked to triggering factors, including ultraviolet radiation and medications, such as certain thiol drugs, angiotensin-converting enzyme inhibitors, penicillin, and rifampin, among others.1 Several studies have observed an association of pemphigus with other autoimmune conditions.1,5 Neither inciting factors nor autoimmune comorbidities were identified in our patient.
Differential Diagnosis
The wide differential and low incidence of pemphigus likely contribute to delayed diagnosis and/or visits to multiple providers for many patients, as in the case of our patient. Recognizing the variable clinical appearance of pemphigus and the dermatoses it may imitate can expedite correct diagnosis and treatment.
In addition to pemphigus, the differential for our patient’s clinical presentation included Darier disease (keratosis follicularis), tinea capitis, and seborrheic dermatitis, which were ruled out with light microscopy. Psoriasis also presents with erythematous, scaly plaques and may appear on the scalp but is usually found on extensor surfaces outside of the seborrheic distribution of PF. Grover disease may have a similar clinical and histologic appearance to PF but exhibits increased dyskeratosis and is primarily located on the trunk.6 Depending on patient history, the list of intraepidermal blistering disorders to consider includes Hailey-Hailey disease, bullous impetigo, herpes simplex or zoster, allergic contact dermatitis, and epidermolysis bullosa simplex.5
Other subtypes of pemphigus should be considered in the differential for PF. The 2 subtypes with the most similar diagnostic features to sporadic PF are fogo selvagem and pemphigus erythematosus. Fogo selvagem would have an accompanying patient history of origination from an endemic region, and pemphigus erythematosus typically has features overlapping with systemic lupus erythematosus, commonly a malar rash and positive serum antinuclear antibodies.6 Pemphigus herpetiformis may also have a similar presentation to PF on histopathology, DIF, and serum studies, but it will have clinical features of dermatitis herpetiformis and a predominant eosinophilic spongiosis.6 PV, the most common subtype of pemphigus, is differentiated from PF by involvement of both skin and mucosa and the presence of flaccid blisters, autoantibodies to DSG3, and suprabasilar acantholysis.6
Management
For significant and extensive PF and PV, intravenous rituximab with a prednisone taper is considered a first-line treatment unless contraindicated. This treatment achieved complete remission in 89% of patients at 24 months in the randomized, multicenter Ritux 3 trial, although with variable relapse rates.20,21 Other immunosuppressive treatments for PF include systemic corticosteroids alone, azathioprine, mycophenolate, methotrexate, cyclophosphamide, cyclosporine, etanercept, and infliximab.20 Intravenous immunoglobulins, plasma exchange, and immunoadsorption (selective IgG apheresis) have the most rapid response rate and can be used as initial treatment or in those with refractory disease or contraindications to high-dose corticosteroids.20 Oral dapsone and tetracycline antibiotics plus niacinamide offer additional non-immunosuppressive options.20
Although not a mainstay of PF treatment, topical and intralesional therapies can be considered for localized PF. Case reports have described the efficacy of topical therapies, including corticosteroids, tacrolimus, and pimecrolimus.22-24 Successful treatment of localized PF with a 3-week course of topical triamcinolone ointment and a single intralesional injection of triamcinolone was reported.25 In our patient’s case of localized scalp PF, tacrolimus ointment was prescribed as a bridging therapy during the rituximab lead-time for pre-immunosuppressive labwork and insurance approval.
Conclusion
This case highlights the presentation of isolated scalp PF in an African American woman with no history of autoimmune disease. Although a rare disease, providers should consider PF when evaluating a chronic, eroded, scaly eruption, particularly in a seborrheic distribution. Recognizing the unique characteristics of the clinical presentation of PF in skin of color may help expedite correct diagnosis and appropriate treatment.
Kate E. Beekman is a medical student at USF Health Morsani College of Medicine in Tampa, FL. In the department of dermatology and cutaneous surgery at USF Health in Tampa, FL, Dr Hennessy is a resident physician, Dr Rodriguez-Waitkus is an associate professor of dermatopathology, and Dr Cohen is an associate professor of medical dermatology.
Disclosure: The authors report no relevant financial relationships.
References:
1. Kridin K, Schmidt E. Epidemiology of pemphigus. JID Innov. 2021;1(1):100004. doi:10.1016/j.xjidi.2021.100004
2. Wertenteil S, Garg A, Strunk A, Alloo A. Prevalence estimates for pemphigus in the United States: a sex- and age-adjusted population analysis. JAMA Dermatol. 2019;155(5):627-629. doi:10.1001/jamadermatol.2018.5954
3. Ebede T, Papier A. Disparities in dermatology educational resources. J Am Acad Dermatol. 2006;55(4):687-90. doi:10.1016/j.jaad.2005.10.068
4. Schmidt E, Kasperkiewicz M, Joly P. Pemphigus. Lancet. 2019;394(10201):882894. doi:10.1016/S0140-6736(19)31778-7
5. Payne AS, Stanley JR. Pemphigus. In: Goldsmith LA, Katz SI, Gilchrest BA, Paller AS, Leffell DJ, Wolff K, eds. Fitzpatrick’s Dermatology in General Medicine. 8th ed. McGraw-Hill Companies; 2012.
6. Montagnon CM, Tolkachjov SN, Murrell DF, Camilleri MJ, Lehman JS. Intraepithelial autoimmune blistering dermatoses: clinical features and diagnosis. J Am Acad Dermatol. 2021;84(6):1507-1519. doi:10.1016/j.jaad.2020.11.075
7. James KA, Culton DA, Diaz LA. Diagnosis and clinical features of pemphigus foliaceus. Dermatol Clin. 2011;29(3):405-412,viii. doi:10.1016/j.det.2011.03.012
8. Austin E, Millsop JW, Ely H, Jagdeo J, Schulman JM. Psoriasiform pemphigus foliaceus in an African American female: an important clinical manifestation. J Drugs Dermatol. 2018;17(4):471-473.
9. Walker A, Favreau T. Localized pemphigus foliaceus. Cutis. 2017;99(1): E23-E26.
10. Bagheri MM, Alagheband M, Memar OM, Eiler DB. Pemphigus foliaceus presenting as eruptive seborrheic keratosis and responding to oral gold treatment. J Drugs Dermatol. 2002;1(3):333-334.
11. Li JN, Patel P, Gonzalez C, Vandergriff T, Goff H. Pemphigus foliaceus presenting with violaceous, painful nodules and an aberrant auto-antibody expression in a Latino patient. JAAD Case Rep. 2021;10:119-122. doi:10.1016/ j.jdcr.2021.02.020
12. Flood D, Lezanski-Gujda A, Miletta NR. Diagnosing pemphigus foliaceus: a rare blistering disease masquerading as a common dermatologic disorder. Mil Med. 2019;184(5-6):e455-e457. doi:10.1093/milmed/usy224
13. Sar-Pomian M, Rudnicka L, Olszewska M. The significance of scalp involvement in pemphigus: a literature review. Biomed Res Int. 2018;2018:6154397. doi:10.1155/2018/6154397
14. Rosenbach M, Murrell DF, Bystryn JC, et al. Reliability and convergent validity of two outcome instruments for pemphigus. J Invest Dermatol. 2009;129(10):2404-2410. doi:10.1038/jid.2009.72
15. Hanna S, Kim M, Murrell DF. Validation studies of outcome measures in pemphigus. Int J Womens Dermatol. 2016;2(4):128-139. doi:10.1016/j.ijwd.2016.10.003
16. Hebert V, Boulard C, Houivet E, et al. Large international validation of ABSIS and PDAI pemphigus severity scores. J Invest Dermatol. 2019;139(1):31-37. doi:10.1016/j.jid.2018.04.042
17. Costan VV, Popa C, Hancu MF, Porumb-Andrese E, Toader MP. Comprehensive review on the pathophysiology, clinical variants and management of pemphigus (review). Exp Ther Med. 2021;22(5):1335. doi:10.3892/etm.2021.10770
18. Zhang SY, Zhou XY, Zhou XL, et al. Subtype-specific inherited predisposition to pemphigus in the Chinese population. Br J Dermatol. 2019;180(4):828-835. doi:10.1111/bjd.17191
19. de Sena Nogueira Maehara L, De-Souza-Santana FC, Porro AM, et al. HLA class II alleles of susceptibility and protection in Brazilian and Dutch pemphigus foliaceus. Br J Dermatol. 2018;178(3):e212-e214. doi:10.1111/bjd.16022
20. Montagnon CM, Lehman JS, Murrell DF, Camilleri MJ, Tolkachjov SN. Intraepithelial autoimmune bullous dermatoses disease activity assessment and therapy. J Am Acad Dermatol. 2021;84(6):1523-1537. doi:10.1016/j. jaad.2021.02.073
21. Joly P, Maho-Vaillant M, Prost-Squarcioni C, et al. First-line rituximab combined with short-term prednisone versus prednisone alone for the treatment of pemphigus (Ritux 3): a prospective, multicentre, parallel-group, open-label randomised trial. Lancet. May 2017;389(10083):2031-2040. doi:10.1016/S01406736(17)30070-3
22. Dumas V, Roujeau JC, Wolkenstein P, Revuz J, Cosnes A. The treatment of mild pemphigus vulgaris and pemphigus foliaceus with a topical corticosteroid. Br J Dermatol.1999;140(6):1127-1129. doi:10.1046/j.1365-2133.1999.02895.x
23. Termeer CC, Technau K, Augustin M, Simon JC. Topical tacrolimus (protopic) for the treatment of a localized pemphigus foliaceus. J Eur Acad Dermatol Venereol. 2004;18(5):636-637. doi:10.1111/j.1468-3083.2004.00980.x
24. Tyros G, Kalapothakou K, Christofidou E, Kanelleas A, Stavropoulos PG. Successful treatment of localized pemphigus foliaceus with topical pimecrolimus. Case Rep Dermatol Med. 2013;2013:489618. doi:10.1155/2013/489618
25. Ghoneim S, Zaiac M. The use of intralesional steroids in a case of localized pemphigus foliaceus. Case Rep Dermatol. 2017;9(2):91-97. doi:10.1159/000477959


