What Is This Process That Occurs in Hairdressers?
Case Report
A 57-year-old man who works as barber presented with a nodule on his dorsal right hand. The lesion persisted for years and was becoming more painful and problematic. The patient pointed out a hole in the nodule in his inferior interdigital space and also reported occasional bleeding requiring a bandage.
What is your diagnosis?
Scroll below to find out!
Diagnosis: Interdigital Pilonidal Sinus
Interdigital pilonidal sinus, also known as barber’s pilonidal sinus or barber’s disease, is an acquired process that occurs in hairdressers. This condition is a relatively rare occupational skin disorder that results from sharp hairs piercing the skin of the interdigital space, forming a sinus.
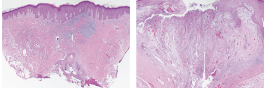
Clinical Presentation and Histology
There have been sporadic case reports of interdigital pilonidal sinus occurring in hairdressers described in the literature. Hodges first described the condition in 1880.1 More widespread elucidation of this problem was provided in a 1952 Journal of the American Medical Association report by Downing.2 Although interdigital pilonidal sinus has been predominantly reported in hairdressers who cut men’s hair because the male hair can be sharp and “thorn-like,” it has also been seen in dog groomers, as dog hairs in certain breeds are thick and stiff. In the United Kingdom, interdigital pilonidal sinus is reported to be an occupational health hazard in dog groomers.3,4
Diagnosis is primarily made with verifiable patient history and clinical inspection. Our patient was frustrated with the persistence of his condition and concomitant occupational exposure, leading him to seek medical attention.
Histology
Histologically, there is a cyst in the deep dermis lined by squamous epithelium and surrounded by thickened collagen fibers, with granulation tissue formation. Multiple free hair shafts are noted within the cyst (Figure 2). Additional sections show an ulcerated epidermis leading to acutely inflamed contents, with predominantly neutrophils and plasma cells. Note the free hair shafts throughout the deeper portions of the specimen surrounded by foreign body granulomas (Figure 3).
Etiopathogenesis
Interdigital pilonidal sinus occurs because of 3 predominant factors: the sharp male hair, repeated pressure/penetration by the hair, and the opposing skin’s vulnerability.5 When a traditional barber uses scissors to cut hair, the interdigital space may be exposed to sharp hairs that pierce the delicate skin at this location. After repeated piercing by performing multiple haircuts over a long duration, a sinus forms at the site of injury. The piercing hairs can then enter the sinus and nest within the skin of the hand. A resultant immunologic response ensues, with granuloma formation due to the hair being a foreign material. This acquired pilonidal disease has many similarities to its more common congenital counterpart—pilonidal sinus of the sacrum.
Management
Management is primarily surgical with secondary preventive measures. A previous report recommended closure by secondary intention to reduce the possibility of infection and recurrence.3Another case report demonstrated methylene blue injection showing the fistula.6 This provided a guide for surgical therapeutic intervention in the present patient.
Treatment of this condition is important due to the risk of infection. Mohanna et al. reported a case of osteomyelitis caused by a subungual pilonidal sinus.4 Preventive measures are recommended and include the use of barrier creams and gloves and/or removing any hairs found penetrating the skin on the hands.7 Recurrences can occur if the hairdresser continues to work in the same conditions. A recurrent lesion was reported to have been successfully treated with a dorsal metacarpal artery perforator flap.
Our Patient
Culture revealed Staphylococcus aureus contamination, which provided an explanation for the pain reported by our patient. He was treated with doxycycline and excision; upon observing the hair “nests” above and within the subcutaneous fat, electrodessication was performed. The wound was then closed. Occlusive sports/medical tape was recommended to avoid future hair penetration.
Our patient healed well after surgical intervention and following our recommendation of the use of occlusive sports/medical tape, he remained disease free on follow up.
Conclusion
Interdigital pilonidal sinus is a relatively rare occupational malady. In a hairdresser, a seemingly banal pyogenic, granuloma-like lesion on the hand may reveal a causative burrow that is a sinus track upon further inspection and a complete history. Management is surgical and then preventive.
Kassidy Fishman is affiliated with World Finer Foods in Montclair, NJ. Dr Liu is a dermatopathologist at Advanced Dermatology and Cosmetic Surgery in Delray, FL. Robert Adler is a medical student at SUNY Downstate in Brooklyn, NY. Isha Gandhi is a medical student at the University of Minnesota Twin Cities in Minneapolis, MN. Dr Phelps
is the director of dermatopathology at the Icahn School of Medicine at Mount Sinai in New York, NY.
Disclosure: The authors report no relevant financial relationships.
References
1. Hodges RM. Pilo-nidal sinus. Boston Med Surg J. 1880;103:485-486. doi:10.1056/NEJM188011181032101
2. Downing JG. Barber’s pilonidal sinus. J Am Med Assoc. 1952;148(17):1501. doi:10.1001/jama.1952.62930170004008a
3. Adams CI, Petrie PW, Hooper G. Interdigital pilonidal sinus in the hand. J Hand Surg Br. 2001;26(1):53-55. doi:10.1054/jhsb.2000.0494
4. Mohanna PN, Al-Sam SZ, Flemming AF. Subungual pilonidal sinus of the hand in a dog groomer. Br J Plast Surg. 2001;54(2):176-178. doi:10.1054/bjps.2000.3457
5. Chintapatla S, Safarini N, Kumar S, Haboubi N. Sacrococcygeal pilonidal sinus: historical review, pathological insight and surgical options. Tech Coloproctol. 2003;7(1):3-8. doi:10.1007/s101510300001
6. Ricci F, Passarelli F, Fiorentini S, Di Lella G. Interdigital pilonidal sinus in a hairdresser: a case report. Dermatol Ther. 2018;31(3):e12594. doi:10.1111/dth.12594
7. Ballas K, Psarras K, Rafailidis S, Konstantinidis H, Sakadamis A. Interdigital pilonidal sinus in a hairdresser. J Hand Surg. 2006;31(3):290-291. doi:10.1016/J.JHSB.2005.12.002
8. Aydin HU, Mengi AS (2010). Recurrent interdigital pilonidal sinus treated with dorsal metacarpal artery perforator flap. J Plast Reconstr Aesthetic Surg. 2010;63(12):e832-e834. doi:10.1016/j.bjps.2010.07.011


