Erythema Multiforme-Like Reaction Secondary to Poison Ivy Contact Dermatitis
© 2024 HMP Global. All Rights Reserved.
Any views and opinions expressed are those of the author(s) and/or participants and do not necessarily reflect the views, policy, or position of The Dermatologist or HMP Global, their employees, and affiliates.
Contact dermatitis is a cutaneous type IV hypersensitivity reaction that commonly results from exposure to allergens like poison ivy. Rarely, contact dermatitis can manifest with features mimicking erythema multiforme (EM) without the corresponding histologic findings typical of EM.1-3 This clinical overlap can pose significant diagnostic challenges. We present a case of an EM-like reaction secondary to poison ivy contact dermatitis, highlighting the clinical and histopathologic distinctions between EM and EM-like reactions.
Case Report
A 20-year-old woman presented to the dermatology clinic with a widespread pruritic rash 3 weeks following exposure to poison ivy. Initially, she reported developing a vesicular rash localized to her left thigh, which was the area of direct exposure. Two weeks later, she noted a generalized eruption involving her trunk and extremities, sparing the mucous membranes. She denied any systemic symptoms, such as fever, malaise, or respiratory involvement, and reported no recent illnesses or changes in medications.
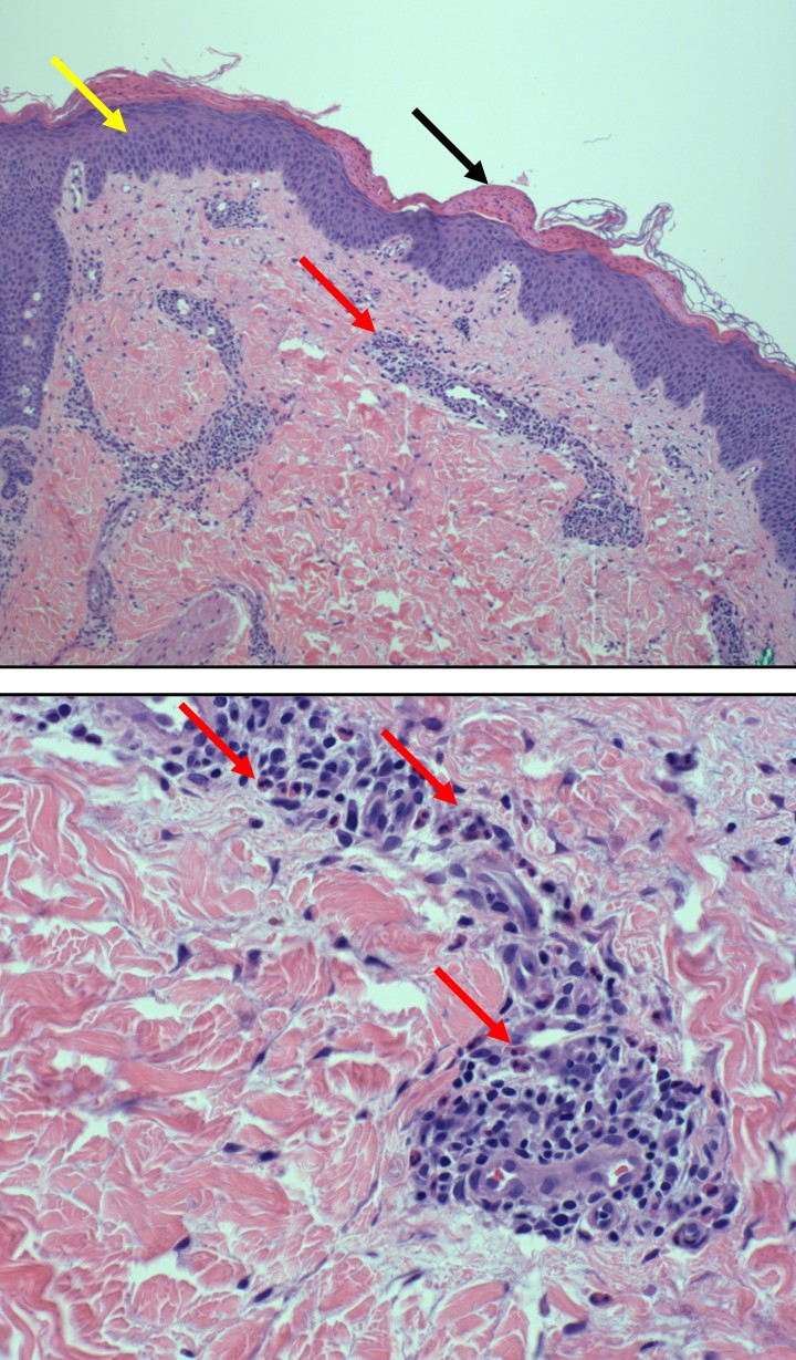
The physical examination was significant for multiple pink, urticarial-appearing, annular plaques on the trunk, upper extremities, and lower extremities, with several areas exhibiting a targetoid morphology, particularly on the lower extremities (Figure 1). A punch biopsy was performed on the right thigh, which demonstrated subacute spongiotic dermatitis with numerous eosinophils and an absence of neutrophils (Figure 2). The classic histologic features of true EM were not identified. This patient was diagnosed with EM-like reaction secondary to poison ivy contact dermatitis. She underwent treatment with a 3-week oral cyclosporine taper and triamcinolone 0.1% ointment, leading to complete resolution of the rash.
Discussion
EM is an acute, self-limiting, and sometimes recurrent type III hypersensitivity reaction to medications or in the setting of infection.4 EM and EM-like reactions associated with poison ivy are rare and potentially underreported. Previously reported cases of EM-like reactions to poison ivy involve an initial pruritic linear eruption followed by a targetoid rash sparing the mucosa about 2 weeks later in a patient with no history of herpes simplex virus.3
Although these rashes are clinically similar, they differ on histopathology. Histologically, EM displays interface dermatitis with lymphocytic infiltrate and sparse apoptotic keratinocytes. A biopsy of the central blister may show epidermal necrosis.4 Conversely, biopsies of EM-like reactions reveal a spongiotic dermatitis lacking vacuolar changes in the dermal-epidermal junction, dermal edema, and perivascular lymphocytic infiltrate.1-3 Previously reported biopsies of EM-like reactions from poison ivy feature an abundance of neutrophils with no eosinophil presence.1,2 This differs from our case, which lacks neutrophils and has a predominance of eosinophils. Other noninfectious contact exposures resulting in EM-like reactions include Brazilian rosewood, nickel, paraphenylenediamine, balsam of Peru, epoxy resin, and tea tree oil.1,5
Conclusion
Despite the clinical similarities, distinguishing true EM from EM-like reactions requires careful patient history, clinical evaluation, and histopathologic correlation. The absence of mucosal involvement, combined with biopsy findings, helps differentiate these conditions, guiding appropriate management. Accurate diagnosis is critical for treatment; the approach to managing EM, often requiring systemic corticosteroids or immunosuppressants, may differ from that of EM-like reactions secondary to contact dermatitis.
At the University of Virginia School of Medicine in Charlottesville, VA, Aaron D. Smith and Catherine E. Lyons are third-year medical students, Dr Luu is a dermatology resident, Dr Craddock and Dr Singh are dermatopathologist fellows, Dr Gradecki is an attending dermatopathologist, and Dr Zlotoff is an attending dermatologist.
Disclosure: The authors report no relevant financial relationships
References
1. Cattelan L, Zargham H, Sasseville D, Maedler Kron C, Jafarian F. Erythema multiforme-like eruption associated with plant-induced allergic contact dermatitis in a pediatric patient: a case report. Pediatr Dermatol. 2021;38(1):246-248. doi:10.1111/PDE.14450
2. Schwartz RS, Downham TF 2nd. Erythema multiforme associated with Rhus contact dermatitis. Cutis. 1981;27(1):85-86.
3. Smith HD, Williams B, Beck LA, De Benedetto A. Erythema multiforme secondary to poison ivy contact dermatitis. Dermatitis. 2023;34(4):336-338. doi:10.1089/ DERM.2022.0097
4. Grünwald P, Mockenhaupt M, Panzer R, Emmert S. Erythema multiforme, Stevens-Johnson syndrome/toxic epidermal necrolysis—diagnosis and treatment. J Dtsch Dermatol Ges. 2020;18(6):547-553. doi:10.1111/DDG.14118
5. Wiedemeyer K, Enk A, Jappe U. Erythema multiforme following allergic contact dermatitis: case report and literature review. Acta Derm Venereol. 2007;87(6):559- 561. doi:10.2340/00015555-0316


