Interwoven Nitinol Stents for the Treatment of Chronically Occluded Femoropopliteal Stents
Abstract
The objective of this study was to demonstrate the feasibility of subintimal implantation of interwoven nitinol stents in critical limb-threatening ischemia (CLTI) patients with chronically occluded superficial superior artery and popliteal stents. We used this technique in 5 patients with CLTI and chronically occluded stents. Revascularization was successful in all patients. There were no intra- or peri-procedural complications, and no major adverse limb events were seen after 30 days. Mean ankle-brachial index increased from 0.3 to 0.9 post intervention. Subintimal deployment of interwoven nitinol stents seems a good revascularization method of occluded stents. Further investigation is needed to confirm its long-term efficacy and safety.
J CRIT LIMB ISCHEM 2023:3(4):E140-E142. doi: 10.25270/jcli/CLIG23-00020
Key words: interwoven nitinol stents, chronically occluded femoropopliteal stents, critical limb-threatening ischemia
Endovascular therapy (EVT) for peripheral arterial disease (PAD) is widespread and accepted as a first-line therapy for patients who present with critical limb-threatening ischemia (CLTI). Despite favorable results repeatedly demonstrated for EVT, the durability of these interventions, particularly in the femoropopliteal segment, has been limited by calcification, stent stenosis, occlusion, and stent fracture.1-4 In patients with chronically occluded femoropopliteal arterial stents, sometimes the options available are limited, with poor chances of technical success and durability, and patients may ultimately require open surgery or even major amputation. Despite this, some patients are not candidates for open surgery due to their comorbidities. The purpose of this study was to demonstrate the feasibility of subintimal implantation of self-expanding interwoven nitinol stents in patients with CLTI in the setting of chronically occluded superficial femoral artery stents and popliteal stents.
Description of Technique
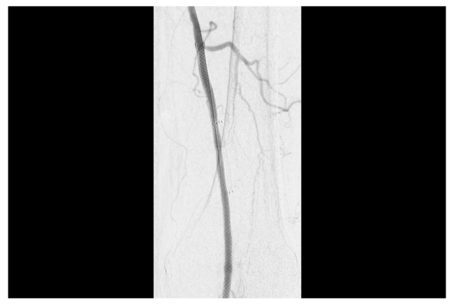
The following is a description of our own technique. Subintimal implantation of a self-expanding interwoven nitinol stent begins with contralateral femoral access. Following diagnostic arteriography, heparinization, and exchanging for a longer sheath, a guidewire is advanced across the occluded segment and stent in the subintimal plane. This is achieved with the use of an angled support catheter in combination with a prolapsed 0.035” wire. Using a prolapsed wire, the wire does not pass through the interstices of the occluded stent. Once across the length of the occluded stent, wire manipulation as well as the use of angled support catheters allow for the redirection of the wire back to the intraluminal space. Re-entry devices could be used to facilitate this; however, we have not found the need to do so. Following this, treatment of distal disease is performed. Once all outflow issues are addressed, the area of occlusion is aggressively pre-dilated with conventional semi-compliant angioplasty balloons (POBA) (Figure 1). The interwoven stent is deployed over a 0.014” wire with care to ensure appropriate cell geometry and minimize any elongation (Figure 2). The stent is not post-dilated after deployment.


Results
Thus far, we have successfully employed this technique in 5 patients with CLTI. All patients presented with long segment chronically occluded stents, as well as an absence of suitable autogenous conduit for bypass. The decision to proceed with this procedure, as opposed to bypass with a prosthetic, was at the discretion of the surgeon.
Additionally, this method was pursued due to an inability to engage the lumen of the previously placed occluded stent. This was due to the presence of an occlusion, proximal and in continuity with the stent occlusion, as well as distal to the stent. Technical success, defined as the ability to cross to the subintimal plane and successfully re-enter distal to the occluded stent and revascularize the occluded segment, was achieved in all patients. Freedom from major adverse limb events at 30 days was 100%. There were no complications related to access. There were no intraprocedural complications, including dissection, arterial perforation, or distal embolization. There were no periprocedural complications. Freedom from major adverse cardiac events at 30 days was 100%. Mean ankle-brachial index increased from 0.3 to 0.9 after the intervention.
Discussion
Treatment of chronically occluded stents can be challenging, and the absence of autogenous conduit for bypass can make this clinical scenario more formidable. The deployment of interwoven nitinol stents in a subintimal location is an alternative method for revascularization, and we have achieved excellent technical and short-term success with this technique.
The conventional strategies for the management of chronic stent occlusions associated with CLTI are either endovascular recanalization or open surgery. Endovascular treatment strategies for stent occlusions involve POBA with or without repeat stenting (bare-metal stents, stent grafts, or drug-eluting stents), drug-coated balloon angioplasty, cryoplasty, and/or atherectomy.5-14 Increasingly, the utilization of laser atherectomy in conjunction with the aforementioned therapies has yielded superior results to angioplasty alone.15 Despite this, the utilization of atherectomy in conjunction with specialty balloons can increase the overall cost burden associated with these procedures.
Open surgical alternatives are much more limited, and outcomes are directly related to the quality of conduit used for bypass. The recently published BEST-CLI trial showed that a single-segment great saphenous vein graft (ssGSV) represents the best conduit available for bypass with respect to patency and amputation-free survival.16 However, many patients do not have a suitable conduit for ssGSV for bypass. In this scenario, prosthetic bypasses, spliced vein, and alternative conduits have not performed significantly better than endovascular techniques. Additionally, these bypasses have been shown to have higher morbidity and mortality compared with endovascular strategies.
The primary advantage of utilizing this technique is twofold: it utilizes the unique characteristics of interwoven nitinol stents as well as avoids the morbidity associated with open surgery. Interwoven nitinol stents have high radial strength, fracture resistance, and excellent flexibility. These aspects make them an excellent choice in treating challenging cases in the femoropopliteal region. Additionally, no incisions are made during this procedure, thereby decreasing the potential for surgical site infection, prosthetic graft infection, and the morbidity associated with hospitalization. Despite this, there are some potential challenges associated with this technique. The inability to obtain arterial access due to the presence of femoral artery occlusion could pose a challenge to the implementation of this technique; however, there are other techniques that have been described that allow for the deployment of interwoven nitinol stents from alternative access sites.17,18 Additionally, the inability to re-enter the true lumen poses an additional cause for procedural failure. Despite not being required in our experience, many described techniques and devices are designed for true lumen re-entry from a subintimal plane, but re-entry failure can occur in up to 26% of cases.19 This technique utilizes readily available off-the shelf equipment and can be performed by any endovascular operator familiar with the deployment of interwoven nitinol stents. This procedure could additionally be associated with a decreased cost to the health care system, considering these procedures can be performed on an outpatient basis and avoid the need for hospitalization and expensive re-entry devices.
Conclusions
The deployment of interwoven nitinol stents in the subintimal location for the treatment of chronically occluded stents is an effective method for revascularization. In follow-up to this proofof- concept study, further investigation is needed to confirm its long-term efficacy and safety. The procedure can be performed using familiar, readily available tools, and with the need for open revascularization, atherectomy devices or expensive re-entry techniques are avoided.
Affiliations and Disclosures
Michael C. Siah, MD, Gerardo Gonzalez-Guardiola, MD, Tiffany Guard, MS, and Melissa Kirkwood, MD, are from the Department of Vascular Surgery, University of Texas Southwestern Medical Center. Dallas, Texas; and Mehmet A. Suludere, MD, and Larry A. Lavery, DPM, MPH, are from the Department of Plastic Surgery, University of Texas Southwestern Medical Center. Dallas, Texas.
The authors have completed and returned the ICMJE Form for Disclosure of Potential Conflicts of Interest. The authors report no conflicts of interest regarding the content herein.
Manuscript accepted September 19, 2023.
Address for correspondence: Mehmet A. Suludere, Department of Plastic Surgery, University of Texas Southwestern Medical Center, 5323 Harry Hines Blvd, Dallas, TX 75390. Email: mehmet. suludere@utsouthwestern.edu
References
References
1. Duda SH, Bosiers M, Lammer J, et al. Drug-eluting and bare nitinol stents for the treatment of atherosclerotic lesions in the superficial femoral artery: Long-term results from the SIROCCO trial. J Endovasc Ther. 2006;13(6):701-710. doi: 10.1583/05-1704.1
2. Bosiers M, Torsello G, Gissler HM, et al. Nitinol stent implantation in long superficial femoral artery lesions: 12-month results of the DURABILITY I study. J Endovasc Ther. 2009;16(13):261-269. doi:10.1583/08-2676.1
3. Sabeti S, Mlekusch W, Amighi J, Minar E, Schillinger M. Primary patency of long-segment self-expanding nitinol stents in the femoropopliteal arteries. J Endovasc Ther. 2005;12(1):6- doi:10.1583/04-1359.112
4. Geraghty PJ, Mewissen MW, Jaff MR, Ansel GM, VIBRANT Investigators. Three-year results of the VIBRANT trial of VIABAHN endoprosthesis versus bare nitinol stent implantation for complex superficial femoral artery occlusive disease. J Vasc Surg. 2013;58(2):386-395.e4. doi:10.1016/j.jvs.2013.01.050
5. Dick P, Sabeti S, Mlekusch W, et al. Conventional balloon angioplasty versus peripheral cutting balloon angioplasty for treatment of femoropopliteal artery in-stent restenosis: initial experience. Radiology. 2008;248(1):297-302. doi:10.1148/radiol.2481071159
6. Laird JR Jr., Yeo KK, Rocha-Singh K, et al. Excimer laser with adjunctive balloon angioplasty and heparin-coated self-expanding stent grafts for the treatment of femoropopliteal artery in-stent restenosis: twelve-month results from the SALVAGE study. Catheter Cardiovasc Interv. 2012; 80(5):852-859. doi:10.1002/ccd.23475
7. Zeller T, Dake MD, Tepe G, et al. Treatment of femoropopliteal in-stent restenosis with paclitaxel-eluting stents. JACC Cardiovasc Interv. 2013;6(3):274-281. doi:10.1016/j.jcin.2012.12.118
8. Virga V, Stabile E, Biamino G, et al. Drug-eluting balloons for the treatment of the superficial femoral artery in-stent restenosis: 2-year follow-up. JACC Cardiovasc Interv. 2014;7(4):411-415. doi:10.1016/j.jcin.2013.11.020
9. Zeller T, Rastan A, Sixt S, et al. Long-term results after directional atherectomy of femoro-popliteal lesions. J Am Coll Cardiol. 2006;48(8):1573-1578. doi:10.1016/j.jacc.2006.07.031
10. Yeo KK, Malik U, Laird JR. Outcomes following treatment of femoropopliteal in-stent restenosis: a single center experience. Catheter Cardiovasc Interv. 2011;78(4):604-608. doi:10.1002/ccd.23022
11. Schmidt A, Zeller T, Sievert H, et al. Photoablation using the turbo-booster and excimer laser for in-stent restenosis treatment: twelve-month results from the PATENT study. J Endovasc Ther. 2014;21(1):52-60. doi:10.1583/13-4538R.1
12. Gorgani F, Telis A, Narakathu N, LaBarbera M, Babaev A. Long-term outcomes of the Viabahn stent in the treatment of in-stent restenosis in the superficial femoral artery. J Invasive Cardiol. 2013;25(12):670-674.
13. Armstrong EJ, Singh S, Singh GD, et al. Angiographic characteristics of femoropopliteal in-stent restenosis: association with long-term outcomes after endovascular intervention. Catheter Cardiovasc Interv. 2013;82(7):1168-1174. doi: 10.1002/ccd.24983
14. Dippel EJ, Makam P, Kovach R, et al. Randomized controlled study of excimer laser atherectomy for treatment of femoropopliteal in-stent restenosis: initial results from the EXCITE ISR trial (EXCImer Laser Randomized Controlled Study for Treatment of FemoropopliTEal In-Stent Restenosis). JACC Cardiovasc Interv. 2015;8(1 Pt A):92-101. doi:10.1016/j.jcin.2014.09.009
15. Farber A, Menard MT, Conte MS, et al. Surgery or endovascular therapy for chronic limb-threatening ischemia. N Engl J Med. 2022;387:2305-2316. doi:10.1056/NEJMoa2207899
16. Palena LM, Diaz-Sandoval LJ, Raja LM, Morelli L, Manzi M. Precise retrograde Supera stenting of the ostium (PRESTO) of the superficial femoral artery for complex femoropopliteal occlusions: the PRESTO technique. J Endovasc Ther. 2018;25(5):588-591. doi:10.1177/1526602817753388
17. Yamawaki M, Hirano K, Nakano M, et al. Deployment of self-expandable stent for complex proximal superficial femoral artery lesions involving the femoral bifurcation with or without jailed deep femoral artery. Catheter Cardiovasc Interv. 2013;81(6):1031-1041. doi:10.1002/ccd.24502
18. Schneider PA , Caps MT , Nelken N . Re-entry into the true lumen from the subintimal space. J Vasc Surg. 2013;58(2):529-534. doi:10.1016/j.jvs.2013.03.002
19. Shin SH , Baril D, Chaer R, Rhee R, Makaroun M, Marone L. Limitations of the Outback LTD re-entry device in femoropopliteal chronic total occlusions. J Vasc Surg. 2011;53(5):1260-1264. doi:10.1016/j.jvs.2010.10.127


