Duplex-Ultrasound Assisted Mynx Closure of Superficial Femoral Artery Antegrade Access Following Lower-Extremity Endovascular Intervention
Abstract
Purpose. This analysis seeks to describe the technique of ultrasound-assisted percutaneous superficial femoral arterial access closure with a Mynx device (Cordis Corporation). No comparable analysis has been reported utilizing this method for closure. The study aim was to demonstrate the technical considerations, benefits, efficacy, and safety of this technique. Methods. A retrospective review was performed in 100 patients who underwent ipsilateral antegrade superficial femoral artery access for angiography and subsequent ultrasound-assisted Mynx closure of the access arteriotomy. Patients were followed for 6 months to evaluate potential long-term complications. Duplex ultrasound was used to visualize device positioning, deployment, and probe-guided pressure application. Demographics, complications, and procedural success were evaluated and descriptive statistics were used to report data. Results. One hundred patients were followed for 6 months following the index procedure. At 1 month, 2 complications occurred, ie, an immediate occlusion of the superficial femoral artery causing acute limb ischemia requiring reintervention and a large hematoma that did not require further intervention. Fifty-seven patients were followed for 6 months, with no additional procedure-related complications. At 1 month, 5 patients experienced a major adverse limb event (MALE); at 6 months, 10 patients had a MALE. None of the MALEs were directly related to complications from the closure or index procedure. Conclusion. The utilization of duplex ultrasound-assisted Mynx closure of superficial femoral artery antegrade percutaneous access arteriotomies led to excellent results with minimal morbidity. This technique is safe and effective to use as an adjunct to ambulatory lower-extremity endovascular interventions for peripheral arterial disease.
J CRIT LIMB ISCHEM 2021;1(2):E56-E61. Epub 2021 March 26.
Key words: antegrade approach, deployment technique, superficial femoral artery, ultrasound, vascular closure devices
Introduction
Endovascular interventions have become the standard treatment approach for chronic limb-threatening ischemia (CLTI), with balloon angioplasty, stenting, and atherectomy largely replacing open surgical procedures.1,2 To date, percutaneous arterial access closure can be performed with direct manual pressure of the arteriotomy or use of percutaneous vascular closure devices (VCDs). VCDs have been found to improve patient and physician comfort by avoiding prolonged pressure and allowing earlier patient ambulation.3 A Cochrane review demonstrated reduced time for hemostasis compared with manual compression and no relative risk increase for death or infection with closure device usage.4
When percutaneous access is approached in an ipsilateral antegrade manner, new challenges arise in performing the arteriotomy closure. In many instances, the superficial femoral artery is accessed over the common femoral artery when performing an ipsilateral antegrade approach. However, the anatomic location of the superficial femoral artery makes manual pressure ineffective for closure. Furthermore, severe calcification, obesity, uncontrolled hypertension, and female gender can lead to VCD failure and potential complications.5,6 To mitigate these risks, we routinely implement MynxGrip and MynxControl (Cordis Corporation) ultrasound-guided deployment for small sheath size (5-7 Fr) procedures. We report our experience utilizing ultrasound-guided Mynx closure systems to assist with closure of the superficial femoral artery percutaneous access with a focus on safety and success of the technique. Additionally, we describe potential pitfalls and lessons learned using this approach.
Methods
We performed a retrospective review of 100 consecutive patients who underwent ipsilateral antegrade percutaneous access of the superficial femoral artery for angiography and subsequent endovascular revascularization for lower-extremity lifestyle-limiting claudication or CLTI. All patients had intervention in a tertiary-level teaching institution between October 2018 and July 2019. CLTI was defined according to the new Global Vascular Guidelines as peripheral arterial disease in combination with ischemic rest pain, gangrene, or lower-limb ulceration of >2 weeks with combined hemodynamic evidence of impaired perfusion (ankle brachial index <0.4, absolute highest ankle pressure <50 mm Hg, or absolute toe pressure <30 mm Hg).7 A variety of interventions were performed to revascularize the index limb, including the use of balloon angioplasty, atherectomy, and stenting when indicated and left at the discretion of the operating surgeon.
Patient data. Patients were retrospectively reviewed to evaluate for demographics, Rutherford stage, and arterial segment treated. Patients were evaluated for immediate access-site complications. Immediate access-site complication included active hemorrhage, pseudoaneurysm, clinically significant hematoma leading to compartment syndrome, or lower-extremity ischemia. If immediate access-site complication did exist, the patient was evaluated and intervention was performed if indicated. All patients were reviewed at 1-month follow-up for major adverse limb event (MALE), major amputation, or death. Patients who were >6 months from the procedure at the time of data collection were also reviewed at 6-month follow-up for MALE, major amputation, or death. MALE was defined as need for an above-ankle amputation of the index limb or major reintervention (new bypass graft, jump/interposition graft revision, or thrombectomy/thrombolysis).8 Major amputations included through-tibial and through-femur amputations. Descriptive statistics were used for demographic data and for 1-month and 6-month outcomes.
Technique. All patients underwent ultrasound-guided antegrade percutaneous access of the proximal superficial femoral artery utilizing a micropuncture access needle and wire. Meticulous care was taken to ensure a 12 o’clock arteriotomy at a 45° angle using ultrasound guidance in both the transverse and longitudinal projections. In the longitudinal projection, the proximal superficial femoral artery was visualized just after the common femoral bifurcation and the soft tissue was inspected. After the needle was introduced intra-arterially, the wire was passed under ultrasound guidance to ensure a luminal course and then under fluoroscopic guidance to ensure an antegrade path without resistance or deviation (Figure 1). Diagnostic angiography was obtained through the 5 Fr sheath and then upsized to either a 6 Fr or 7 Fr sheath to accommodate the intervention planned.
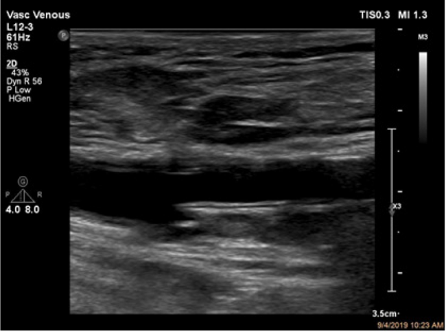
MynxGrip- or MynxControl-assisted closure of the percutaneous access arteriotomy was performed upon conclusion of the intervention. Heparin was reversed to ensure an activated clotting time (ACT) of <180 seconds and a systolic blood pressure <180 mm Hg. The appropriately sized device was used for the size of access arteriotomy, with either a 5 Fr or 6-7 Fr Mynx device. The Mynx device balloon was prepped before use with a 50:50 contrast-to-saline ratio. Next, the Mynx device was introduced and the balloon was inflated under ultrasound guidance. Then, the device and the sheath were slowly retracted to the arteriotomy site under constant ultrasound visualization. Excellent resolution of the balloon location within the vessel can be obtained, as shown in Figure 2. When intraluminal anterior wall apposition of the balloon was seen on ultrasound, the polyethylene glycol plug was deployed. This wall apposition of the balloon prevents inadvertent intra-arterial polyethylene glycol introduction. Tension was held and then the plug was released per the device instructions for use (IFU). Following the requisite deployment steps, additional ultrasound-guided pressure over the arteriotomy site and sheath tract was performed for 5 minutes. At that time, duplex ultrasonography was performed to evaluate for evidence of hematoma formation, active bleeding, or pseudoaneurysm formation.
Results





We identified 100 consecutive patients who underwent ipsilateral antegrade percutaneous access of the superficial femoral artery for angiography and subsequent endovascular revascularization for lower-extremity claudication or CLTI. All patients underwent attempted closure with a Mynx VCD. The median age of intervention was 71 ± 12.63 years (range, 39-95 years). The study population comprised 66 men (66%) and 34 women (34%). Rutherford stages of chronic lower-extremity ischemia were evaluated (Table 1); 66 patients were in stages 4 and 5. All but 5 patients underwent intervention in addition to diagnostic angiography (levels of intervention are further detailed in Table 2). Various sheath sizes were utilized; 62 procedures were completed through a 5 Fr sheath, 36 through a 6 Fr sheath, and 2 through a 7 Fr sheath. All 100 patients received full anticoagulation with heparin to achieve an ACT >250 seconds. Eight patients received pharmacothrombolytic treatment with intra-arterial catheter-directed recombinant tissue plasminogen activator infusion during their interventions.
Immediate access-site complications were encountered in 2 patients (2%). The first patient was a 94-year-old woman who underwent successful percutaneous atherectomy and angioplasty of the femoropopliteal short segment chronic total occlusion (CTO) through a 6 Fr sheath to treat ischemic rest pain. The MynxGrip-assisted closure failed to obtain hemostasis, but subsequent manual pressure was successful. However, the patient developed acute limb ischemia from prolonged manual compression (>30 minutes) requiring immediate reintervention, at which time the access site and superficial femoral artery were found to be occluded. This was successfully revascularized using thrombolytic infusion and suction thrombectomy from a contralateral percutaneous access. At 1-month follow-up, the intervention segment was still patent and no amputation or further intervention were required. The second patient was a 63-year-old man who underwent percutaneous atherectomy and angioplasty of multisegment, high-grade (80%) superficial femoral artery stenoses and peroneal artery CTO to treat Rutherford 4 chronic ischemia with tissue loss. The Mynx Grip closure failed and required manual compression. A large hematoma developed in the area tracking along the sartorius muscle. Ultrasound demonstrated no further hemorrhage from the access site following prolonged ultrasound-guided compression. The patient remained hemodynamically stable and the limb was successfully revascularized. Duplex ultrasonography on postoperative day 1 revealed no evidence of pseudoaneurysm and the patient had a stable hemoglobin and hematocrit compared with his preoperative levels. No further intervention was required. At 1-month follow-up, the patient was without further MALE or major amputation. None of the patients who received intra-arterial thrombolytic therapy experienced an access-site complication.
At 1-month follow-up, the cohort in total had 5 patients (5%) with a MALE. Four patients required reintervention for continued ischemia with reocclusion of the treated segment on duplex or angiography. One patient had severe persistent pain and progressed to below-knee amputation. She was a 77-year-old woman who underwent only diagnostic angiography as her index procedure for this study. She was not revascularized and did not have evidence of access-site complication. There were no deaths during the 1-month follow-up period.
At 6-month follow-up, 57 patients were available for review. Ten patients in this cohort (17.5%) had experienced a MALE during the follow-up period. Two patients progressed to major amputation due to severity of peripheral arterial disease and 8 patients required reintervention on the ipsilateral limb for ongoing ischemia. There were no access-site complications appreciated during the follow-up period. Two of the 57 patients reviewed at 6 months expired during the follow-up period. Neither death was associated with access-site complications. Our follow-up data are summarized in Table 3.
Discussion
Antegrade superficial femoral artery access is not a novel technique; however, it is avoided by many practitioners due to difficulty with closure. When performing distal lower-extremity interventions, ipsilateral antegrade superficial femoral artery access provides many advantages, such as improved “pushability” and “maneuverability” of the catheters and wires due to decreased length. It also avoids difficulty in subselecting the superficial femoral artery if ipsilateral antegrade or contralateral retrograde common femoral artery access is obtained. With ultrasound guidance, it has been demonstrated that access of the superficial femoral artery is feasible and safe.9 Ultrasound guidance is paramount, ensuring 12 o’clock access to the vessel and confirming wire position within the lumen prior to exchanging the needle to a sheath.10 One of the challenges one must overcome with superficial femoral artery antegrade access is to exclude significant inflow disease; however, all of our patients undergo preoperative imaging.
The superficial femoral artery is prone to significant calcification and hemodynamically significant lesions.11 This vessel can have a greater risk of suboptimal percutaneous access, but we mitigate this risk with the use of ultrasound. Ultrasound-guided access allows the user to avoid heavily calcific areas that can lead to access failure. Additionally, our described approach does not limit the treatment of the superficial femoral artery unless the lesion is located proximal to the access. In this study, 58 patients underwent treatment of the SFA. This demonstrates the versatility of the antegrade approach while still allowing many patients to undergo below-knee interventions at much shorter treatment lengths for wires, catheters, and devices.
Fields et al demonstrated that the Mynx device can lead to intravascular sealant (potentially causing distal ischemia) and also observed a high rate of psuedoaneurysms.12 The etiology for these complications can have several explanations. First, the balloon of the device can get entrapped in atherosclerotic and severely calcific lesions upon retraction. This can lead to an intraluminal deployment of the plug if the operator does not confirm appropriate balloon apposition to the anterior wall of the vessel at the arteriotomy. Second, the balloon can also rupture on intraluminal plaque, which would lead to sheath removal along with device removal if the operator is not utilizing imaging. Adjunct techniques, including opening the sheath side arm and fluoroscopic guidance of a contrast-filled balloon, can assist with safe retraction, but they do not allow for luminal identification of the balloon and avoidance of plaques. Finally, confirming complete balloon apposition to the luminal wall without ultrasound is not feasible.
The final step in our technique is ultrasound-guided probe compression on the arteriotomy. This allows for precision with pressure application and confirms that no residual arterial jet or pseudoaneurysm has formed when interrogated with color Doppler. If there is evidence of this occurring, we can increase the period of pressure or decide to intervene prior to the development of a large hematoma. Additionally, given the large compliance of the thigh, clinical findings of a hematoma often only occur with large hematomas and would otherwise be neglected.
Currently, VCD use in the superficial femoral artery is considered off-label from the IFU for all devices; however, a previous retrospective study demonstrated safe usage of early-generation VCDs in the superficial femoral artery.13 Using a VCD decreases patient and physician discomfort, and shortens time to ambulation and time to hemostasis. Furthermore, real-time imaging with ultrasound of the balloon retraction under direct observation allows operators to avoid balloon rupture, arterial wall damage, and intraluminal deployment of the hemostatic plug. In our study, only 1 intervention required immediate attention to treat an access-site complication. Ninety-eight percent of the study population underwent safe and successful percutaneous ultrasound-guided access closure utilizing the Mynx system. Additionally, the lack of permanent sealant or intraluminal component allows for reintervention on that same vessel segment if progression or recurrence of disease occurs. This was demonstrated with our data in which 8 patients required reintervention at 6 months.
Study limitations. Our study is limited by its retrospective design. Due to the lack of a comparison group, we are unable to ascertain whether this technique is an improvement over the standard VCD technique. Furthermore, data were not collected on the number of punctures necessary to obtain luminal superficial femoral artery access, potentially contributing to complication rate; albeit, we strive for a single puncture to minimize potential complications. Lastly, operator experience with ultrasound-guided closure requires time to develop, and this technique could prove difficult for those less adept with ultrasound. Nonetheless, the ability to observe the device in real time allows for more accurate deployment. With this study, we have added a large cohort of patients to previous data and demonstrate the safety and benefit of utilizing ultrasound-guided closure with the Mynx closure system.
Conclusion
Antegrade superficial femoral artery access for ipsilateral revascularization offers many potential advantages when treating lower-extremity peripheral arterial disease. However, anatomic challenges and the potential for immediate access-site complications have limited the widespread use of this approach. We have demonstrated that utilizing the Mynx closure devices under direct ultrasound guidance for antegrade superficial femoral artery access closure can be safe and effective to facilitate successful antegrade percutaneous access when treating patients with endovascular therapy for peripheral arterial disease.
Affiliations and Disclosures
From the Division of Vascular Surgery and Endovascular Therapy, Michael E. DeBakey Department of Surgery, Baylor College of Medicine, Houston, Texas.
Disclosure: The authors have completed and returned the ICMJE Form for Disclosure of Potential Conflicts of Interest. The authors report no conflicts of interest regarding the content herein.
Manuscript accepted March 15, 2021.
Address for correspondence: Jorge A. Miranda, MD, 7200 Cambridge Street, Suite 6B, Houston, TX 77030. Email: Jorge.miranda@bcm.edu
References
References
1. Goodney PP, Tarulli M, Faerber AE, et al. Fifteen-year trends in lower limb amputation, revascularization, and preventive measures among medicare patients. JAMA Surg. 2015;150:84-86.
2. Gallagher KA, Meltzer AJ, Ravin RA. Endovascular management as first therapy for chronic total occlusion of the lower extremity arteries: comparison of balloon angioplasty, stenting, and directional atherectomy. J Endovasc Ther. 2011;18:624-637.
3. Noori VJ, Eldrup-Jørgensen J. A systematic review of vascular closure devices for femoral artery puncture sites. J Vasc Surg. 2018;68:887-899.
4. Robertson L, Andras A, Colgan F. et al. Vascular closure devices for femoral arterial puncture site haemostasis. Cochrane Database Syst Rev. 2016;3:CD009541.
5. Hackl G, Gary T, Belaj K, et al. Risk factors for puncture site complications after endovascular procedures in patients with peripheral arterial disease. Vasc Endovasc Surg. 2015;49:160-165.
6. Waksman R, King SB III, Douglas JS. Predictors of groin complications after balloon and new-device coronary intervention. Am J Cardiol. 1995;75:886-889.
7. Conte MS, Bradbury AW, Kolh P, et al; GVG Writing Group. Global vascular guidelines on the management of chronic limb-threatening ischemia. J Vasc Surg. 2019;69:3S-125S.e40.
8. Conte MS, Geraghty PJ, Bradbury AW, et al. Suggested objective performance goals and clinical trial design for evaluating catheter-based treatment of critical limb ischemia. J Vasc Surg. 2009;50:1462-1473.e1-e3.
9. Gutzeit A, Schoch E, Sautter T, et al. Antegrade access to the superficial femoral artery with ultrasound guidance: feasibility and safety. J Vasc Interv Radiol. 2010;21:1495-1500.
10. Lo RC, Fokkema MT, Curran, T. Routine use of ultrasound-guided access reduces access site-related complications after lower extremity percutaneous revascularization. J Vasc Surg. 2015;61:405-412.
11. Okuno S, Iida O, Shiraki T, et al. Impact of calcification on clinical outcomes after endovascular therapy for superficial femoral artery disease: assessment using the peripheral artery calcification scoring system. J Endovasc Ther. 2016;23:731-737.
12. Fields JD, Liu DS, Lee SJ, et al. Femoral artery complications associated with the Mynx closure device. Am J Neuroradiol. 2010;31:1737-1740.
13. Gutzeit A, van Schie B, Schoch E, et al. Feasibility and safety of vascular closure devices in an antegrade approach to either the common femoral artery or the superficial femoral artery. Cardiovasc Intervent Radiol. 2012;35:1036-1040.


