CT-Guided Lumbar Sympathectomy: A Palliative Approach for Intractable Ischemic Rest Pain in Chronic Limb-Threatening Ischemia
Abstract
Chronic limb-threatening ischemia is a significant source of morbidity, amputation, and mortality. Although many patients are candidates for endovascular or surgical bypass therapies, an increasing number of patients are not amenable to these procedures. Percutaneous lumbar sympathectomy is a minimally invasive procedure that has been associated with improvements in patients’ pain and ulcer healing. This report describes a case of computed tomography-guided lumbar sympathectomy for palliative treatment of severe rest pain in a patient who was not a candidate for either open or endovascular treatments, which resulted in successful palliation of the patient’s symptoms.
J CRIT LIMB ISCHEM 2025:5(2):E16-E19. doi: 10.25270/jcli/CLIG25-00002
Key words: chronic limb-threatening ischemia, lumbar sympathectomy, ischemic pain
Chronic limb-threatening ischemia (CLTI) represents end-stage peripheral arterial disease (PAD), characterized by ischemic rest pain or tissue loss, such as ulceration or gangrene, for over 2 weeks.1 It is associated with a 1-year mortality rate as high as 25% in some populations.2 The prevalence of CLTI is increasing, with a subset of patients considered end-stage or palliative, having a life expectancy of fewer than 6 months. Despite this, there is a dearth of data regarding palliative treatment options for patients with CLTI, as they are typically excluded from clinical trials. Studies investigating palliative interventions for CLTI are few in number and often have substantial methodological limitations.3
Percutaneous lumbar sympathectomy (LS) has been identified as a safe, efficacious, and well-tolerated palliative option, even for very frail patients. Prior studies have reported symptom improvements in 60% to 75% of patients and long-term efficacy in up to 50%.4–6 Chahal et al demonstrated that computed tomography (CT)-guided LS provides effective pain relief and increased limb salvage rates.4 This report describes a case of CT-guided LS as a palliative approach in a patient with debilitating lower extremity rest pain.
Case Report
A 76-year-old woman was referred for severe, chronic bilateral foot pain (left greater than right). Her medical history included advanced dementia (Brief Interview for Mental Status score 3), hypertension, hyperlipidemia, type 2 diabetes (HbA1c 7.7% one year prior), coronary artery disease with prior stenting, and severe peripheral vascular disease. She used a wheelchair due to chronic debilitating bilateral foot pain that worsened when lying flat, especially at night. Notably, she had no history of prior leg or foot wounds.
The patient’s medical records were only partially available, and neither the patient nor the family were able to provide a reliable account of her surgical history. Due to the patient’s limited mobility, a telehealth consultation was conducted in lieu of an in-person physical examination.
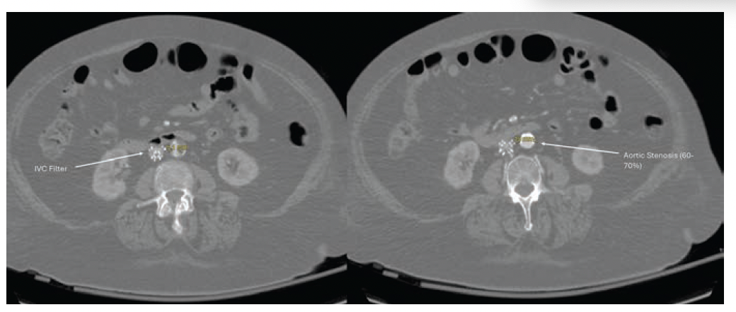
Approximately 1.5 years prior to consultation, the patient’s ankle-brachial indices were measured at 0.46 on the right and 0.24 on the left. Given her significant comorbidities and frailty, the patient was deemed unsuitable for further revascularization at that time by another department. However, her persistent and severe ischemic pain continued to be a major concern for the patient and her family. A CT angiogram (CTA) was obtained at our institution through another department, with the aim of identifying potential revascularization targets that could alleviate her symptoms. The CTA revealed severe diffuse bilateral vascular disease, including 60% to 70% stenosis of the distal aorta, severe stenosis of the right common femoral artery, occlusion of a right profunda-to-popliteal bypass graft and occluded native right superficial femoral artery, an occluded or severely stenotic right popliteal artery, and 2-vessel runoff to the right foot via the posterior tibial and peroneal arteries (Figures 1 and 2). On the left, there was multifocal mild-to-moderate disease in the common and proximal external iliac arteries, a patent external iliac stent, long-segment occlusion of the left superficial femoral artery, and 2-vessel runoff to the left foot via the posterior tibial and peroneal arteries (Figure 3).
The patient was subsequently referred to our clinic to evaluate potential treatment options. There was significant concern that the patient would tolerate only minimal sedation and limited time on the procedural table due to persistent pain, confusion, and general frailty (American Society of Anesthesiologists class III). However, she had no impending risk of amputation and no active wounds. Considering the nature of her symptoms, her overall risk profile, and the typically short duration of the procedure, the patient was deemed an appropriate candidate for percutaneous CT-guided LS with a concurrent block. After a thorough discussion of the risks and benefits with the patient and her family, the patient was scheduled for the procedure. On preprocedural examination, her feet were cool to the touch, painful, and difficult to move (left worse than right). Monophasic Doppler signals were present in each dorsalis pedis artery. No detectable signal was present over the bilateral posterior tibial arteries.
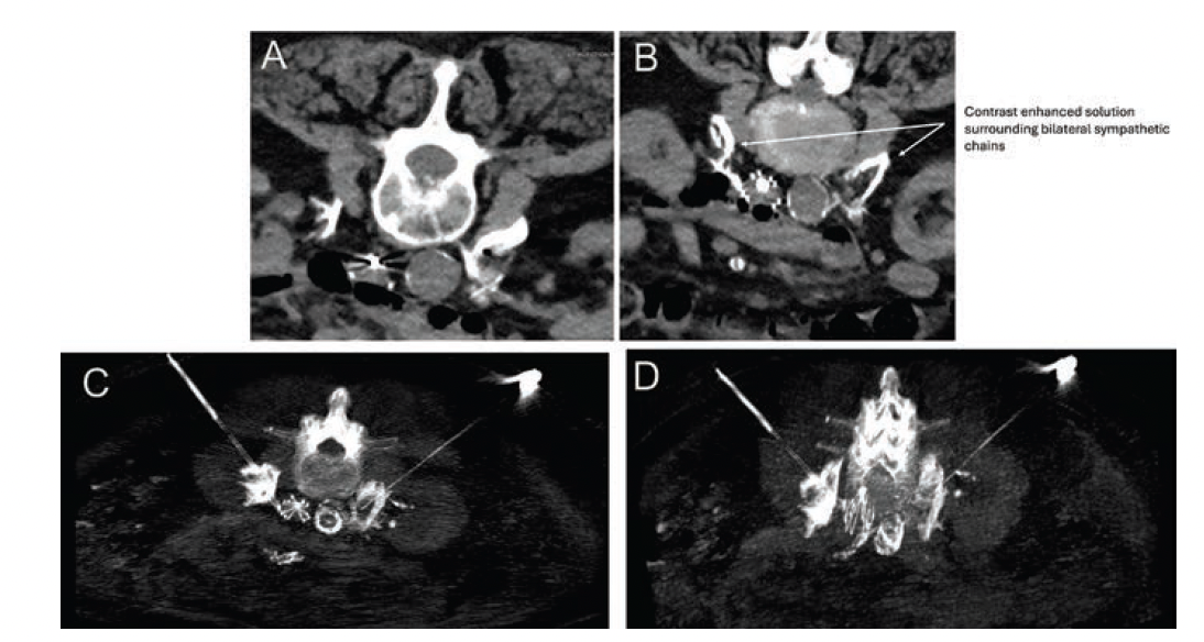
In brief, the procedure was initiated by obtaining intravenous access to provide moderate sedation. The patient was placed prone in the CT scanner (Brilliance iCT 256 [Phillips]). Minimal procedural medications were administered: two 25-µg doses of intravenous fentanyl and 4 mg of intravenous ondansetron. Initial CT (3-mm width slices) images were obtained from the diaphragm to the pelvis. The access site was cleaned and prepped under sterile conditions, and 1% lidocaine was used for subcutaneous anesthesia in the paralumbar region. Access sites were chosen that provided a safe path to the bilaterally lumbar sympathetic chains at the L2/L3 level. An oblique needle path was required to avoid vital structures.
Under intermittent CT guidance, two 22G needles were advanced lateral to the iliopsoas muscles until the tips were immediately adjacent to the sympathetic chains. Needle placement was confirmed by an inability to aspirate blood and by a test injection of 4 cc of a 10% contrast (Omnipaque 350 [GE Healthcare]) saline mixture, which confirmed spread around the bilateral sympathetic chains. Subsequently, 2.5 mL of 99% ethanol was administered on each side, with a dwell time of 3 minutes. This was followed by an injection of a mixture containing 3 mL of betamethasone acetate/betamethasone sodium phosphate (Celestone Soluspan), 4 mL of 0.5% of bupivacaine, and 1 mL of Omnipaque 350 contrast, which diluted the original ethanol injection. Post-injection CT imaging confirmed that the solution surrounded the bilateral lumbar sympathetic chains (Figure 4). The patient tolerated the procedure well without any complaints of pain or changes in vital signs. She was transported to the recovery area without complications. Total procedure time was 21 minutes; administered radiation was DLP1499 mGy.cm, CTDIvol 16.3 mGy.
Shortly after the procedure, both feet were noted to be warm and pain-free, with noticeably improved mobility. The patient was held in observation for 3 hours post-procedure and then discharged without complaints. At her 2- and 4-month follow-up visits, her family reported she was no longer complaining of foot pain and showed some improvement in her ability to engage in physical therapy and ambulate. The patient passed away shortly after the 4-month follow-up due to unrelated causes; however, her family emphasized that she never complained of foot pain after this procedure.
Discussion
The lumbar sympathetic chain, located anterolaterally along the L1–L4 vertebral bodies, plays an important role in the vasomotor regulation of lower extremity blood flow by causing vasoconstriction with activation. LS disrupts sympathetic outflow, which primarily leads to vasodilation of patent collateral vessels and improved perfusion through cutaneous arteriovenous anastomoses. LS also results in sensory denervation, which can provide additional relief from ischemic rest pain.3-4,7,8 This mechanism underpins the use of LS as a palliative treatment in patients with CLTI who are not candidates for revascularization.
Although arterial reperfusion via revascularization or bypass remains the gold standard for managing CLTI, a significant subset of patients, such as the one described in this case, are ineligible for these interventions due to severe comorbidities or anatomical limitations. LS offers a viable palliative alternative.
Historically, LS has been reported to achieve symptom relief in 60% to 75% of patients with ischemic rest pain, with long-term effectiveness in up to 50% of cases.6,7 Various studies have further supported the utility of CT-guided LS in the management of these challenging cases.4–6,9 Chahal et al demonstrated that CT-guided LS not only relieved pain but also facilitated wound healing, highlighting its potential for improving outcomes in patients with severe disease.4 Similarly, Kaya et al reported significant reductions in ischemic pain following lumbar sympathetic block in a retrospective analysis, further validating its efficacy in palliative care for PAD.9
The European Society for Vascular Surgery has stated that chemical LS did not show benefit in amputation rates or mortality, but it has shown benefit for patients with CLTI not amenable to revascularization in order to relieve pain symptoms (Level 2a; Grade B).10 The American Heart Association and TransAtlantic Inter-Society Consensus II make no recommendations regarding the use of chemical LS to alleviate rest pain. However, the Global Vascular Guidelines state that LS should not be used for limb salvage in patients with CLTI in whom reconstruction is not possible (2 [weak] recommendation, C [low] evidence), but also note that certain subgroups may derive substantial benefits, particularly in terms of pain control and ulcer healing.1 A 2016 Cochrane review by Karanth et al found no randomized controlled trials that met modern inclusion criteria for evaluating LS in CLTI, highlighting the need for further, ideally randomized, studies.3
CT guidance enhances procedural accuracy by allowing precise localization of the sympathetic chain, reducing the risk of complications and improving therapeutic efficacy. In this case, the use of a combination of 99% ethanol for neurolysis and corticosteroids for prolonged analgesic effect mirrors protocols described in the literature.8,9,11,12 While injection protocols vary widely, evidence supports the addition of neurolytic agents such as ethanol to maximize the procedure’s effectiveness.8,12,13
Bilateral access is recommended, even in the setting of unilateral disease, due to the extensive bilateral innervation of the sympathetic chain. A paralumbar approach typically provides the safest and most reliable access to the lumbar sympathetic chain. A key technical challenge of the procedure can be the avoidance of all vital structures, including adjacent kidneys, ureters, bowel, and major vascular structures during needle placement. Contraindications to chemical LS are general to all percutaneous procedures, including but not limited to active infections/sepsis, severe coagulopathy, hemodynamic instability, pregnancy, allergic reactions, and inability to tolerate moderate sedation. For a more comprehensive discussion and technical steps of CT-guided LS, see the detailed technical description by Chahal et al.4
One limitation to the implementation of LS is the heterogeneity of reported outcomes, which reflects the variability in patient selection, procedural techniques, and follow-up periods. For example, the Cochrane review noted a lack of standardized inclusion criteria, which may have contributed to inconsistent results across studies.3
This case highlights the utility of LS as a safe and effective palliative option for patients with advanced CLTI who are not candidates for revascularization. The patient’s rapid and sustained pain relief, coupled with some improved mobility, underscores the potential for this intervention to significantly enhance quality of life in a challenging population. Similar outcomes have been documented in prior reports, including a case by Barreto et al, where LS provided complete pain relief in a patient for whom amputation was the only remaining alternative.5 Given the promising results from case series and smaller studies, future research should aim to standardize procedural protocols and identify patient populations most likely to benefit from this procedure.
Conclusion
LS offers a safe and effective palliative option for patients with CLTI who are not candidates for revascularization. This case highlights its potential to alleviate ischemic rest pain and improve quality of life, even in frail patients with significant comorbidities. Despite limited high-quality evidence, the success of the procedure in selected cases underscores its clinical utility. Further research is needed to standardize protocols and refine patient selection criteria. LS should be considered as part of a multidisciplinary approach for advanced CLTI management.
Affiliation and Disclosures
David Heister, MD, PhD, is from Baptist Health in Little Rock, Arkansas; Taylor Pickering, DO, and Sameh Sayfo, MD, are from Baylor Scott & White The Heart Hospital in Plano, Texas.
The authors report no financial relationships or conflicts of interest regarding the content herein.
Manuscript accepted March 17, 2025.
Corresponding Author: David Heister, MD, PhD, Baptist Health Medical Center, 9500 Kanis Rd., Suite 330, Little Rock, AR 72205. Email: dheisterip@gmail.com
References
References
1. Conte MS, Bradbury AW, Kolh P, et al; GVG Writing Group. Global vascular guidelines on the management of chronic limb-threatening ischemia. J Vasc Surg. 2019;69(6S):3S-125S.e40.
2. Abu Dabrh AM, Steffen MW, Undavalli C, et al. The natural history of untreated severe or critical limb ischemia. J Vasc Surg. 2015;62(6):1642-1651.e3. doi:10.1016/j.jvs.2015.07.065
3. Karanth VK, Karanth TK, Karanth L. Lumbar sympathectomy techniques for critical lower limb ischaemia due to non-reconstructable peripheral arterial disease. Cochrane Database Syst Rev. 2016;12(12):CD011519. doi:10.1002/14651858.CD011519.pub2
4. Chahal A, Malla S, Sharma S, Chumber S, Madhusudhan KS. CT-guided lumbar sympathectomy as a last option for chronic limb-threatening ischemia of the lower limbs: evaluation of technical factors and long-term outcomes. AJR Am J Roentgenol. 2021;216(5):1273-1282. doi:10.2214/AJR.20.23089
5. Barreto Junior EP de S, Nascimento J dos S, Castro APCR de. Neurolitic block of the lumbar sympathetic chain improves chronic pain in a patient with critical lower limb ischemia. Braz J Anesthesiol (English Edition). 2018;68(1):100-103. doi:10.1016/j.bjane.2015.03.011
6. Sanni A, Hamid A, Dunning J. Is sympathectomy of benefit in critical leg ischaemia not amenable to revascularisation? Interact Cardiovasc Thorac Surg. 2005;4(5):478-483. doi:10.1510/icvts.2005.115410
7. Cotton LT, Cross FW. Lumbar sympathectomy for arterial disease. Br J Surg. 1985;72(9):678-683. doi:10.1002/bjs.1800720903
8. Zechlinski JJ, Hieb RA. Lumbar sympathetic neurolysis: how to and when to use? Tech Vasc Interv Radiol. 2016;19(2):163-168. doi:10.1053/j.tvir.2016.04.008
9. Kaya SS, Çelik Ş, Akçaboy EY, Göksu H, Ayhan MY, Şahin S. Effect of the lumbar sympathetic block on pain in patients with symptomatic peripheral arterial disease: retrospective analysis. J Anesth. 2022;30(3):188-192. doi:10.54875/jarss.2022.58076
10. Setacci C, de Donato G, Teraa M, et al. Chapter IV: treatment of critical limb ischaemia. Eur J Vasc Endovasc Surg. 2011;42 Suppl 2:S43-59. doi:10.1016/S1078-5884(11)60014-2
11. Cheng J. Interventional Approaches. In: Cheng J, Rosenquist RW, eds. Fundamentals of Pain Medicine. Springer International Publishing; 2018:61-74. doi:10.1007/978-3-319-64922-1_9
12. Reeves RA, Miller CJ, Wang D, Ng A, Heller JE, Nazarian LN. Use of high-resolution ultrasound to guide alcohol neurolysis for chronic pain. Pain Physician. 2022;25(8):E1297-E1303.
13. Laoire ÁN, Murtagh FEM. Systematic review of pharmacological therapies for the management of ischaemic pain in patients with non-reconstructable critical limb ischaemia. BMJ Support Palliat Care. 2018;8(4):400-410. doi:10.1136/bmjspcare-2017-001359


