Volume 1 - Issue 4 - December 2021
03/07/2022
Journal of Critical Limb Ischemia
Original Contribution
12/08/2021
Jan B. Pietzsch, PhD; Merle Ederhof, PhD; Benjamin P. Geisler, MD, MPH; Peter A. Schneider, MD, FACS
The objective of this study was to explore the potential cost-effectiveness of treatment with the LimFlow pDVA system (LimFlow SA) in the United States healthcare system.
The objective of this study was to explore the potential cost-effectiveness of treatment with the LimFlow pDVA system (LimFlow SA) in the United States healthcare system.
The objective of this study was...
12/08/2021
Journal of Critical Limb Ischemia
Editorial/Commentary
12/08/2021
Lorenzo Patrone, MD
Editorial commentary on Pietzsch et al's "Cost-Effectiveness of Percutaneous Deep Vein Arterialization for Patients With No-Option Chronic Limb-Threatening Ischemia: An Exploratory Analysis Based on the PROMISE I Study."
Editorial commentary on Pietzsch et al's "Cost-Effectiveness of Percutaneous Deep Vein Arterialization for Patients With No-Option Chronic Limb-Threatening Ischemia: An Exploratory Analysis Based on the PROMISE I Study."
Editorial commentary on Pietzsch...
12/08/2021
Journal of Critical Limb Ischemia
Original Contribution
12/08/2021
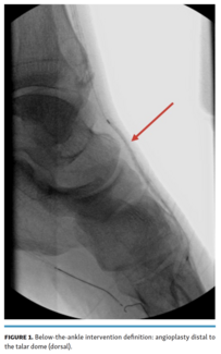
Bradley M. White, DO; William Billari, DO; Jacob Musiol, DO; Nicholas J. Hendricks, MD; Curt Anderson
The objective of this study was to evaluate the safety and efficacy of below-the-ankle intervention in the office-based setting for treatment of chronic limb-threatening ischemia.
The objective of this study was to evaluate the safety and efficacy of below-the-ankle intervention in the office-based setting for treatment of chronic limb-threatening ischemia.
The objective of this study was...
12/08/2021
Journal of Critical Limb Ischemia
Case/Review
11/23/2021
Grace Pyon, BS; Bibhav Poudel, BS; Scott Brannan, MD; Nikhil Patel, MD
We discuss the treatment approach taken to target the patient’s disease and analyze the significant benefits of revascularization beyond the pedal plantar loop, particularly its role in promoting effective wound healing while lowering the...
We discuss the treatment approach taken to target the patient’s disease and analyze the significant benefits of revascularization beyond the pedal plantar loop, particularly its role in promoting effective wound healing while lowering the...
We discuss the treatment...
11/23/2021
Journal of Critical Limb Ischemia
Original Contribution
11/09/2021
Trelawny Zimmermann, DO; Assaf Graif, MD; Christopher J. Grilli, DO; George Kimbiris, MD; Demetrios J. Agriantonis, MD; Samuel G. Putnam, MD; Ankit M. Patel, MD; Daniel A. Leung, MD
The purpose of this study was to investigate the effect of below-the-ankle (BTA) angioplasty on angiographic pedal arch patency and its association with clinical outcomes in patients with chronic critical limb ischemia (CLI).
The purpose of this study was to investigate the effect of below-the-ankle (BTA) angioplasty on angiographic pedal arch patency and its association with clinical outcomes in patients with chronic critical limb ischemia (CLI).
The purpose of this study was to...
11/09/2021
Journal of Critical Limb Ischemia
Original Contribution
10/08/2021
Edgars Zellans, MD; Gustavs Latkovskis, MD, PhD; Christopher K. Zarins, MD; Indulis Kumsars, MD, PhD; Sanda Jegere, MD; Agate K. Krievina, MS; Roberts Rumba, MD; Dainis Krievins, MD, PhD
The study objective is to determine whether selective coronary revascularization following lower-extremity revascularization can improve long-term survival of patients with critical limb threatening ischemia.
The study objective is to determine whether selective coronary revascularization following lower-extremity revascularization can improve long-term survival of patients with critical limb threatening ischemia.
The study objective is to...
10/08/2021
Journal of Critical Limb Ischemia