Transcatheter Closure of the Left Atrial Appendage After Failed Surgical Closure
© 2025 HMP Global. All Rights Reserved.
Any views and opinions expressed are those of the author(s) and/or participants and do not necessarily reflect the views, policy, or position of EP Lab Digest or HMP Global, their employees, and affiliates.
EP LAB DIGEST. 2025;25(1):1,11-15.
Alok Gambhir, MD, PhD, FACC, FHRS, and John Ricketts, MD, FACC
Northside Cardiovascular, Northside Hospital Heart Institute, Atlanta, Georgia
Stroke prevention is one of the key factors in the management of atrial fibrillation (AF).1 Despite efficacy in preventing ischemic strokes, many patients are unable to take oral anticoagulants due to bleeding, side effects, or noncompliance.2 Left atrial appendage closure (LAAC) is an effective alternative for patients who are not good long-term candidates for anticoagulation.3 There are 2 FDA-approved transcatheter LAAC devices available: the Watchman (Boston Scientific) and Amplatzer Amulet (Abbott).3,4 With evolution of the safety and feasibility of the transcatheter LAA procedure, this approach has been expanding rapidly for treatment of patients at high risk of stroke who are unable to take long-term oral anticoagulation. Surgical occlusion of the LAA at the time of cardiac surgery has also been shown to be effective at reducing the risk of ischemic stroke or systemic embolism.5 Although the efficacy of closure with these techniques is high, there are also limitations, including incomplete closure and device-rated thrombus.3,4 In this article, we present a case of transcatheter LAAC in a patient who had incomplete surgical closure of the LAA.
Case Presentation
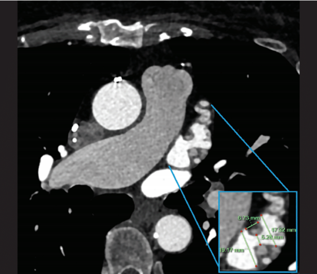
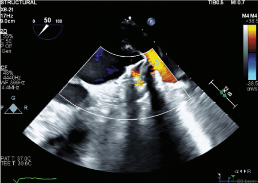
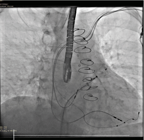
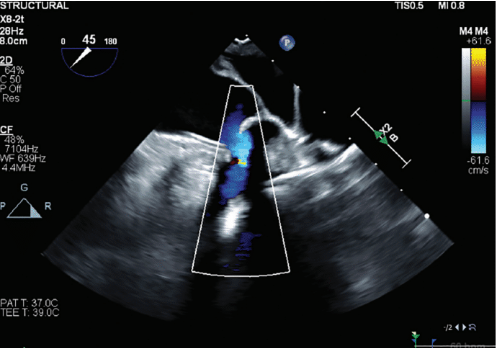
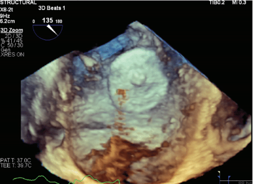
A 78-year-old woman was referred to Northside Hospital Heart Institute for possible LAAC. She had a history of coronary artery bypass grafting (CABG) over 5 years ago, permanent AF with history of atrioventricular node ablation, and permanent pacemaker implantation. Her CHA2DS2-VASc score was 5 due to hypertension, age >75, diabetes, and vascular disease. This placed her at high risk for stroke, but her cardiologist deemed her not to be a good candidate for long-term oral anticoagulation due to intracranial hemorrhage with multiple falls. An operative report of the CABG was obtained, but the report showed only 3-vessel bypass with no report of LAA ligation. Computed tomography (CT) with contrast of the heart was also obtained, which is standard practice for many of our LAAC procedures, especially for patients who have had prior cardiac surgeries. There was a 5.3-mm leak noted at the surgical closure at the base of the LAA (Figure 1). This leak was too large to close with endovascular coils, and there was concern about using an endovascular plug due to length of the leak and possible effects of radial forces over time in the channel. The Amplatzer Amulet device was chosen for this case, with the plan to place the lobe inside the LAA and place the disc covering the channel with forces after closure to be axial in direction. The procedure was performed under general anesthesia and transesophageal echocardiography (TEE) imaging. LAAC procedures at Northside Hospital Heart Institute are usually performed using TEE guidance only, with no use of contrast, since our noninvasive physicians (Drs John Ricketts and Colin O’Brian) provide imaging for transseptal puncture, device deployment, and post-imaging for any leaks, including 3D TEE at every step when needed. Due to the unusual nature of this anatomy, we performed contrast fluoroscopy of the LAA. Figures 2A and 2B show the pre-implant and periprocedural TEE images. Figure 3 shows the contrast injection through the 12 French Torque Vue 45-degree Amulet delivery sheath (Abbott) and the Glidewire (Terumo Interventional Systems) in the LAA. The placement was primarily guided by TEE imaging. The smallest size (16 mm) Amulet device was chosen for closure. Figure 4 demonstrates placement under fluoroscopy. Figures 5A and 5B demonstrate closure using TEE imaging. Post procedure, the patient was placed on aspirin and clopidogrel for 3 months. Once adequate seal is confirmed at 3 months, the goal is for the patient to switch to aspirin (81 mg).
Discussion
This case highlights the need for preprocedural imaging, especially in patients who have had prior cardiac surgery, as some surgical reports may either be unavailable or incomplete. After having to cancel some cases on the table due to unknown surgical ligation of the LAA, a policy of preprocedural imaging was instituted at Northside Hospital Heart Institute for all patients with a history of cardiac surgeries.
This case also highlights the need for postprocedural imaging to confirm adequate closure after post-surgical closure, as is the standard of care
now for transcatheter closure. When leaks are noted in post-surgical closure, patients are not left on long-term oral anticoagulation if they are not good candidates. With improvements in transcatheter closure techniques comes the ability to close many LAAs that may have post-surgical leaks. Preprocedural imaging can guide the type of device that may be suitable for post-surgical leak closure, such as endovascular coils, endovascular plugs, or transcatheter LAAC devices. This is important to understand the cross-sectional geometry of the leak, the landing zone, and any radial forces on the surgical scar before deciding on the device, and can be done successfully with good outcomes.
Disclosure: The authors have completed and returned the ICMJE Form for Disclosure of Potential Conflicts of Interest. Dr Gambhir reports consulting fees as a proctor for the Amulet implant (Abbott), and participation on a Watchman Advisory Board (Boston Scientific).
References
1. Tsao CW, Aday AW, Almarzooq ZI, et al; American Heart Association Council on Epidemiology and Prevention Statistics Committee and Stroke Statistics Subcommittee. Heart disease and stroke statistics—2023 update: a report from the American Heart Association. Circulation. 2023;147(8):e93-e621. doi:10.1161/CIR.0000000000001123
2. Hsu JC, Maddox TM, Kennedy KF, et al. Oral anticoagulant therapy prescription in patients with atrial fibrillation across the spectrum of stroke risk: insights from the NCDR PINNACLE registry. JAMA Cardiol. 2016;1(1):55-62. doi:10.1001/jamacardio.2015.0374
3. Reddy VY, Doshi SK, Kar S, et al. 5-year outcomes after left atrial appendage closure: from the PREVAIL and PROTECT AF trials. J Am Coll Cardiol. 2017;70(24):2964-2975. doi:10.1016/j.jacc.2017.10.021
4. Lakkireddy D, Thaler D, Ellis C, et al. 3-year outcomes from the Amplatzer Amulet Left Atrial Appendage Occluder randomized controlled trial (Amulet IDE). JACC Cardiovasc Interv. 2023;16(15):1902-1913. doi:10.1016/j.jcin.2023.06.022
5. Whitlock RP, Belley-Cote EP, Paparella D, et al; LAAOS III Investigators. Left atrial appendage occlusion during cardiac surgery to prevent stroke. N Engl J Med. 2021;384(22):2081-2091. doi:10.1056/NEJMoa2101897


