Skip to main content

Volume 23 - Issue 4 - April 2023

Letter From the Editor
03/29/2023
Bradley P. Knight, MD, FACC, FHRS
Results from the PULSED AF pivotal study were presented during the late-breaking clinical trials at the 2023 American College of Cardiology’s annual scientific session together with the World Congress of Cardiology.
Results from the PULSED AF pivotal study were presented during the late-breaking clinical trials at the 2023 American College of Cardiology’s annual scientific session together with the World Congress of Cardiology.
Results from the PULSED AF...
03/29/2023
EP Lab Digest
EP Spotlight
03/29/2023
Zayd A. Eldadah, MD, PhD; Simone Payne, RN, BSN, MSA; Alex Ayalew, BSc, MA, RCES; Bonnie J. Bosler, BSN, MSA, CCRN
In this month’s issue, we highlight the EP program at MedStar Washington Hospital Center, which has 6 full-service EP labs and 4 additional labs for noninvasive cases.
In this month’s issue, we highlight the EP program at MedStar Washington Hospital Center, which has 6 full-service EP labs and 4 additional labs for noninvasive cases.
In this month’s issue, we...
03/29/2023
EP Lab Digest
EP Tips & Techniques
03/27/2023
Becky Whiteway, BSc
Royal Devon University Hospital has 3 cath labs, one of which is used for electrophysiology. Sharing lab time was a limiting factor in providing timely ablations. To increase capacity, a fluoroscopy-free procedure room was created.
Royal Devon University Hospital has 3 cath labs, one of which is used for electrophysiology. Sharing lab time was a limiting factor in providing timely ablations. To increase capacity, a fluoroscopy-free procedure room was created.
Royal Devon University Hospital...
03/27/2023
EP Lab Digest
Case Study
03/27/2023
Boldizsar Kovacs, MD, MSc; Jackson J. Liang, DO
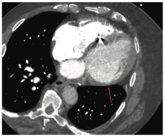
Ablation of ventricular tachycardia in patients with nonischemic cardiomyopathy can be challenging, but several tools are available to improve the success rate and safety of the procedure.
Ablation of ventricular tachycardia in patients with nonischemic cardiomyopathy can be challenging, but several tools are available to improve the success rate and safety of the procedure.
Ablation of ventricular...
03/27/2023
EP Lab Digest
Case Study
03/17/2023
Matthew C. Sackett, MD; Kenneth E. Saum, MD; Madelyn M. Chapline, PA-C; Matthew C. Meadows, PA-C
Dr Sackett and colleagues present an interesting case of persistent atrial fibrillation and the successful restoration of sinus rhythm with convergent ablation.
Dr Sackett and colleagues present an interesting case of persistent atrial fibrillation and the successful restoration of sinus rhythm with convergent ablation.
Dr Sackett and colleagues...
03/17/2023
EP Lab Digest
Case Study
03/17/2023
Hakeem Ayinde, MD, MS, FACC, FHRS; Oluwaseun Adeola, MD, MS, FACC, FHRS
Drs Ayinde and Adeola review pace mapping and anatomical-based implantation techniques for left bundle branch area pacing and discuss practical steps of troubleshooting during lead implantation.
Drs Ayinde and Adeola review pace mapping and anatomical-based implantation techniques for left bundle branch area pacing and discuss practical steps of troubleshooting during lead implantation.
Drs Ayinde and Adeola review...
03/17/2023
EP Lab Digest