Epicardial Ventricular Tachycardia Ablation for Nonischemic Cardiomyopathy
EP LAB DIGEST. 2023;23(4):1,11-13.
Boldizsar Kovacs, MD, MSc, and Jackson J Liang, DO
Electrophysiology Section, Division of Cardiology, University of Michigan, Ann Arbor, Michigan
Catheter ablation of ventricular tachycardia (VT) is a commonly performed procedure in the cardiac electrophysiology (EP) lab. While recurrence rates are low in ischemic cardiomyopathy, nonischemic cardiomyopathy (NICM) presents some unique challenges during VT ablation.1 The following case will highlight some of these challenges and demonstrate the approach used to overcome them.
Case Presentation
A 79-year-old man with a history of mixed cardiomyopathy (coronary artery disease status post percutaneous coronary intervention of the mid left anterior descending artery and posterior descending artery and noncompaction cardiomyopathy) with a left ventricular ejection fraction (LVEF) of 20% presented with recurrent implantable cardioverter-defibrillator (ICD) shocks. He was previously implanted with a cardiac resynchronization therapy defibrillator (CRT-D) due to complete heart block and for primary prevention due to his reduced LVEF. Review of the arrhythmia log of the CRT-D revealed several unsuccessful antitachycardia pacing attempts and appropriate shocks for recurrent monomorphic VT. The patient received a short course of amiodarone and was scheduled for VT ablation.
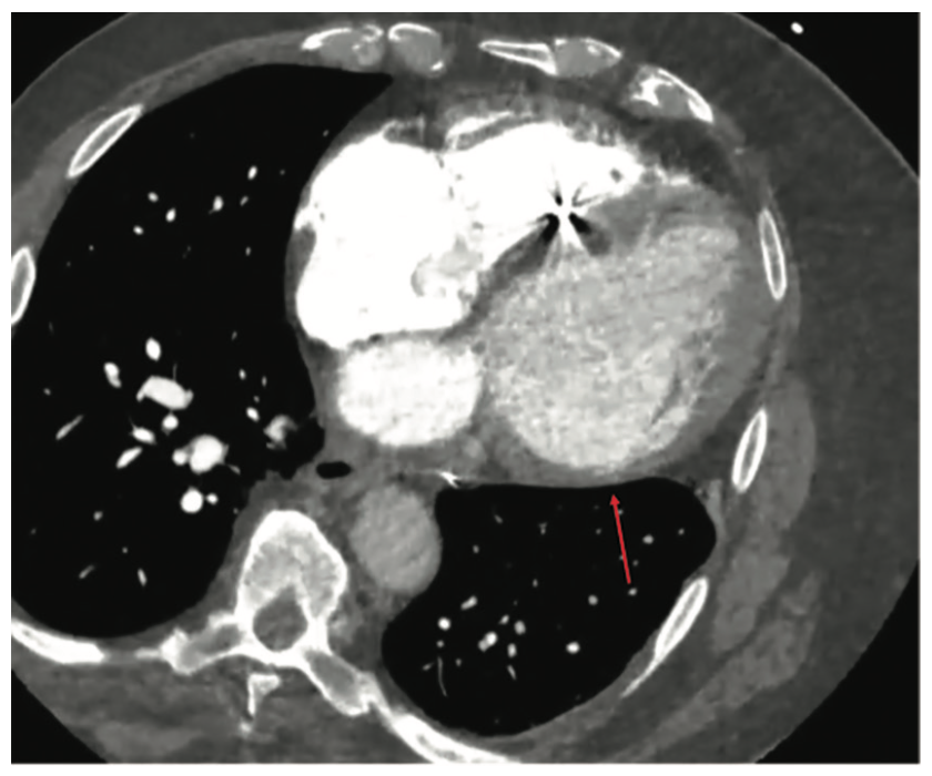
Preoperative workup of the patient included transthoracic echocardiography (TTE), computed tomography (CT), and magnetic resonance imaging (MRI). TTE confirmed the previously described severely reduced LVEF and did not show visible thrombus. Cardiac CT (Figure 1) revealed thinning of the basal LV wall segments, and cardiac MRI demonstrated late gadolinium enhancement (LGE) in the mid-myocardial and epicardial regions (Figure 2).
Conscious sedation was administered by the anesthesia team to lower the risk of hemodynamic compromise, which can be seen with general anesthesia. Because preop imaging suggested an epicardial substrate for VT, the patient’s chest was prepped in a sterile manner to facilitate possible epicardial access. An intracardiac echocardiography (ICE) catheter was inserted in the right atrium and ventricle. Ultrasound imaging of the LV showed basal inferolateral wall thinning with enhanced echogenicity of the epicardium, suggesting possible scar. Subsequent mapping of the LV was performed using a multipolar mapping catheter through a steerable sheath after a single transseptal puncture. A target activated clotting time (ACT) of 300-350 seconds was achieved with heparin boluses and a continuous infusion. To facilitate electroanatomic mapping, pacing was performed from the right ventricle using a quadripolar catheter. Using this approach, a detailed isochronal late activation and bipolar voltage map was created, confirming a predominantly basal inferolateral low voltage with areas of isochronal crowding (Figure 3). The patient was pretreated with intravenous (IV) norepinephrine (.03 mcg/kg/min) infusion in case of hypotension and programmed ventricular stimulation was performed. This induced several different right bundle branch block (RBBB) morphology monomorphic VTs with cycle lengths varying from 280-330 milliseconds, with positive precordial concordance suggestive of a basal LV origin requiring external cardioversion. However, none of the induced VTs had matching ICD electrograms to the clinical VT. As such, the decision was made to proceed with a substrate-based approach targeting endocardial substrate corresponding with regions with isochronal crowding and late potentials within the bipolar scar. A half-normal saline irrigated ablation catheter was introduced and ablation was performed (30-40 watts, duration of 60-300 seconds) with contact force >10g in the low-voltage basal LV segments (Figure 4).
After this ablation lesion set, programmed stimulation was repeated and several new RBBB morphology VTs were induced. Pace mapping was performed in the areas of interest, but revealed a poor match from the endocardium. As such, the decision was made to proceed with epicardial mapping and ablation.
The sheath and catheter were withdrawn from the LV back into the right atrium. Heparin was reversed with IV protamine to achieve an ACT of <150 seconds. The previously prepped subxiphoid area was injected with local anesthesia and a small nick was made in the skin. Using biplane fluoroscopy, a 6-inch, 18-gauge bevel-tipped Tuohy needle was introduced 1 cm below the subxiphoid process directed toward the left shoulder via a shallow (15- to 30-degree) angle to pass above the diaphragm and below the sternum, and aimed at the epicardial space via an anterior approach. Fluoroscopic guidance was achieved with steep left lateral view, ensuring needle advancement above the diaphragm and liver, and coursing just below the sternum. Before reaching the cardiac silhouette, the stylet was removed from the needle and advanced in small increments with injection of small amounts of contrast medium (.5 cc) until tenting of the pericardium was visualized. Eventually, a loss of resistance (“pop”) was felt and contrast was visualized to flow freely within the pericardial space. Subsequently, a .35 J-tipped wire was introduced and epicardial location was confirmed by fluoroscopic visualization of the wire crossing all 4 cardiac chambers in multiple views, and visualization of the wire in the pericardial space on ICE. The track was dilated using a 23-cm, 8-French dilator, and a 45-cm steerable sheath was advanced over the wire, through which a multielectrode mapping catheter was inserted and advanced across the pericardial space.
The isochronal late activation map was repeated in the epicardium, identifying isochronal crowding in the basal inferolateral LV epicardium corresponding to the endocardial site (Figure 5). Coronary angiography confirmed a distance (>5 mm) of the left circumflex artery and its branches from the region of interest (Figure 6), and the phrenic nerve position was confirmed with high-output pacing and marked on the electroanatomic map. Extensive substrate-based ablation of the region of interest followed while avoiding the phrenic nerve. Irrigation of the catheter during epicardial ablation was lowered to 5 mL/min and the steerable sheath was aspirated regularly to maintain a dry pericardial space. After this, programmed stimulation was repeated and 2 more RBBB-morphology monomorphic VTs were induced. Pace mapping identified a more anterolateral epicardial origin and further ablation was performed in this area (Figure 7). The procedure was then concluded, the pericardium aspirated dry, and the epicardial sheath was replaced with a pigtail drain to be left in site overnight. ICE revealed no residual epicardial effusion, and 20 mL of 1% bupivacaine and 200 mg of triamcinolone were injected in the pericardial space for postprocedural analgesia and anti-inflammatory effect. All venous sheaths were removed and hemostasis was achieved using a closure device. IV heparin was continued for systemic anticoagulation given extensive endocardial LV ablation. There was no further drainage from the pericardial drain, which was pulled shortly thereafter, and colchicine was given for 2 weeks postablation.
Postprocedural follow-up was unremarkable. More than 6 months after the index procedure, the patient remains VT-free off antiarrhythmic drug therapy.
Discussion
This case highlights 2 key aspects of VT ablation: the role of preprocedural imaging in the planning of VT ablation in structural heart disease, and epicardial VT ablation.
There is an established role for multimodality imaging in VT ablation. This is particularly true in NICM, as the underlying substrate is commonly more heterogeneous and complex in structure than in ischemic cardiomyopathy. Myocardial LGE on MRI can identify endocardial, mid-myocardial, epicardial, and transmural scars. Identification of the precise arrhythmogenic substrate can decrease procedural and ablation time, as well as increase efficacy in the long term.2 By excluding intracavitary thrombi either by MRI or CT, procedural safety can also be enhanced. Specifically for epicardial procedures, CT of the abdomen can depict the anatomy of the upper abdominal cavity, where injury to the liver or intestinal tract can occur.
If an epicardial scar is identified, epicardial access can be prepared ahead of the procedure. This includes review of patient history for prior cardiac surgery, epicardial ablation, or pericarditis. All of these may lead to pericardial adhesions, increasing the risk of complications while decreasing the likelihood of successful ablation. A recent type and screen should be available, as massive bleeding can occur, for example, in the case of inadvertent ventricular puncture. As such, we routinely ensure 4 units of crossmatched red blood cells are available in the room at the time of epicardial puncture, and we have a mechanism for autotransfusion should pericardial bleeding be encountered.
Ablation in the epicardial space has some unique aspects. First, voltage mapping may be unreliable as epicardial fat covers the valvular plane and epicardial arteries, and attenuates myocardial voltage, showing large areas of low voltage. Radiofrequency energy in these areas (after excluding ≤5 mm proximity to coronary arteries) often does not penetrate deep enough to affect the epicardial myocardium. Second, while ablation with irrigated catheters can allow for uptitration of power to create larger lesions during endocardial ablation, only minimal irrigation is necessary during epicardial ablation to prevent fluid accumulation in the pericardial space (since presence of intrapericardial fluid results in smaller lesions).3 Regular aspiration from the sheath is necessary to prevent tamponade during longer procedures.
Summary
Ablation of VT in patients with NICM can be challenging, but several tools are available to improve the success rate and safety of the procedure. Preprocedural imaging allows the operator to plan the ablation strategy (endocardial vs epicardial access, transseptal vs retrograde aortic access) and significantly shortens the procedure while increasing efficacy. Gaining epicardial access for ablation has become a routine part in patients with NICM and can be safely performed in the EP lab.
Contact Dr Liang on Twitter: @Jackson_J_Liang
Disclosures: The authors have completed and returned the ICMJE Form for Disclosure of Potential Conflicts of Interest. They have no conflicts of interest to report regarding the content herein. Outside the submitted work, Dr Kovacs reports a mobility grant from the Swiss National Science Foundation for research and EP fellowship; he also reports support for attending meetings and/or travel from Abbott, Biosense Webster, Biotronik, Boston Scientific, and Medtronic. Dr Liang reports consulting fees from Abbott, Biosense Webster, Biotronik, and Boston Scientific; he also reports payment or honoraria for lectures, presentations, speakers bureaus, manuscript writing, or educational events from Abbott and Biotronik.
References
1. Zeppenfeld K. Ventricular tachycardia ablation in nonischemic cardiomyopathy. JACC Clin Electrophysiol. 2018;4(9):1123-1140. doi:10.1016/j.jacep.2018.06.014
2. Kuo L, Liang JJ, Nazarian S, Marchlinski FE. Multimodality imaging to guide ventricular tachycardia ablation in patients with non-ischaemic cardiomyopathy. Arrhythm Electrophysiol Rev. 2020;8(4):255-264. doi:10.15420/aer.2019.37.3
3. Aryana A, O’Neill PG, Pujara DK, et al. Impact of irrigation flow rate and intrapericardial fluid on cooled-tip epicardial radiofrequency ablation. Heart Rhythm. 2016;13(8):1602-1611. doi:10.1016/j.hrthm.2016.05.008


