What Happens if Left Bundle Branch Area Pacing Fails: Left Bundle Branch-Optimized Cardiac Resynchronization Therapy
© 2024 HMP Global. All Rights Reserved.
Any views and opinions expressed are those of the author(s) and/or participants and do not necessarily reflect the views, policy, or position of EP Lab Digest or HMP Global, their employees, and affiliates.
EP LAB DIGEST. 2024;24(10):24-25.
Enes Elvin Gul, MD, and Ahmet Lutfu Sertdemir, MD
Division of Cardiac Electrophysiology, Necmettin Erbakan University Hospital, Konya, Turkiye
Conduction system pacing (CSP) with either His bundle pacing (HBP) or left bundle branch area pacing (LBBAP) can be an alternative to conventional cardiac resynchronization therapy (CRT) when left ventriucular (LV) lead implantation is not feasible. In cases where traditional CRT cannot provide proper synchronization, another modality, LBBAP-optimized CRT (LOT-CRT), may be a feasible option. In this article, we present an interesting case of a patient with ischemic cardiomyopathy who underwent LOT-CRT upgrade due to complete heart block and high burden of ventricular pacing.
Case Presentation
A 67-year-old man with a history of ischemic cardiomyopathy, s/p coronary artery bypass grafting, and dual-chamber implantable cardioverter-defibrillator implantation for primary prevention was referred to our center for CRT upgrade due to complete heart block and high burden of ventricular pacing. Device interrogation revealed stable lead parameters and 100% pacemaker dependency. Clinical examination was unremarkable. Functional capacity (NYHA) was II-III. Baseline 12-lead electrocardiogram (ECG) showed paced rhythm (ApVp) at a rate of 60 beats per minute (bpm) and paced QRS duration of 177 ms (Figure 1A). Transthoracic echocardiography revealed severely depressed left ventricular (LV) function (LV ejection fraction of 25%) and dilated LV (LV end-diastolic volume of 68 mm, LV end-systolic volume of 49 mm). The patient was scheduled for CRT or CSP upgrade.
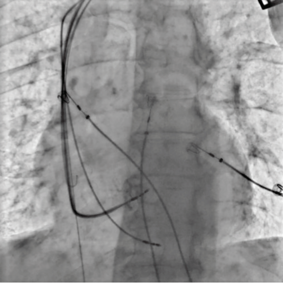
After obtaining both verbal and written consent, the patient was taken to the laboratory. The device therapy was turned off and the mode was changed to DOO. A venogram was performed and showed vein patency. Two axillary venous access were obtained. The Selectra 65/39 delivery sheath (Biotronik) was used to engage the septum. A Solia S 60-cm lead (Biotronik) was prepared for septal penetration. A good septal spot was found and the lead penetrated towards the LV septum (Video 1). Although unipolar pacing showed a right bundle branch block pattern and stable lead parameter, the V5-R Wave Peak Time (RWPT) was too long (140 ms) (Figure 2A). Therefore, we opted to implant an LV lead as well. The coronary sinus (CS) was engaged and good lateral branch was observed. A quadripolar LV lead was placed into the lateral branch (Video 2). Lead parameters were stable with no evidence of phrenic nerve stimulation. Both the Selectra sheath and CS sheaths slitted with no evidence of lead dislodgements. Leads attached to the device (Intica Neo 5 HF-T, Biotronik). The device was programmed as DDD @50 bpm, LV>RV offset of 20 ms, and atrioventricular delay (AVD) of 120 ms (Figure 2B). The final paced QRS duration was 126 ms (Figure 1B). The patient was discharged same day and no acute complication was noted.
Discussion
CRT is one of the most effective treatments for heart failure (HF) with LBBB. CSP or physiologic pacing by either HBP or LBBAP can achieve synchronous myocardial activation and has been proposed as an alternative or bailout strategy in cases where traditional CRT implantation fails or is not feasible.
Not all patients benefit from CSP. In approximately 30% of LBBB cases, LBBAP is not adequate to correct the dyssynchrony due to either septal
scar/fibrosis or the presence of distal conduction disease. Lower efficacy of CSP is reported in patients with diffuse conduction disease.1 Septal scar is one of the main obstacles to obtain effective LBBAP and is associated with poor clinical prognosis.2-5 In addition to septal scar, CSP is negatively affected by severe conduction disturbance/slowing in the His-Purkinje system and by the presence of extensive septal scar.4 Dyssynchrony induced by LV His-Purkinje conduction slowing can be corrected using HOT-CRT and LOT-CRT.4
In patients not responding to standard CSP, His-optimized CRT (HOT-CRT) and left bundle-optimized (LOT-CRT), delivered as CSP in combination with an LV epicardial lead, have been proposed as alternative delivery methods to resynchronize the ventricles.6,7 In these patients, the addition of an LV lead (LOT-CRT) might result in better electrical resynchronization and narrower QRS duration as well as QRS area.8 In our case, adding the LV lead resulted in narrower QRS duration compared to LBBAP alone (126 ms vs 180 ms). A recent study described the effect of different conduction system disturbances on various CSP modalities with the use of computational modeling and found that patients with diffuse LV conduction system disease showed significantly shorter activation times with LOT-CRT when compared to LBBAP.4 Despite all technological improvements, patient selection and therapy personalization of CSP delivery remain poorly understood.
In our clinical practice, we consider LOT-CRT in the following circumstances:
a) Prolonged RWPT despite good penetration of the LBBAP lead
b) Absence of rSR or qR pattern in V1 despite adequate penetration of LBBAP lead
c) Non-responders to conventional biventricular CRT
d) Suboptimal electrical resynchronization with biventricular CRT
Summary
This case demonstrates how dyssyncrony can be improved by adding an extra LV lead in a patient with ischemic cardiomyopathy and pacemaker
dependency. Further studies are needed to validate the value of LOT-CRT in long-term follow-up.
Disclosure: The authors have completed and returned the ICMJE Form for Disclosure of Potential Conflicts of Interest and report no conflicts of interest regarding the content herein.
References
1. Upadhyay GA, Cherian T, Shatz DY, et al. Intracardiac delineation of septal conduction in left bundle-branch block patterns. Circulation. 2019;139(16):1876-1888. doi:10.1161/CIRCULATIONAHA.118.038648
2. Ponnusamy SS, Arora V, Namboodiri N, et al. Left bundle branch pacing: a comprehensive review. J Cardiovasc Electrophysiol. 2020;31(9):2462-2473. doi:10.1111/jce.14681
3. Ali N, Arnold AD, Miyazawa AA, Keene D, Peters NS, Kanagaratnam P, et al. Septal scar as a barrier to left bundle branch area pacing. Pacing Clin Electrophysiol. 2023;46(9):1077-1084.
4. Strocchi M, Wijesuriya N, Mehta V, et al. Computational modelling enabling in silico trials for cardiac physiologic pacing. J Cardiovasc Transl Res. 2024;17(3):685-694. doi:10.1007/s12265-023-10453-y
5. Chen Z, Ma X, Wu S, et al. A comparison of the association of septal scar burden on responses to LBBAP-CRT and BVP-CRT. JACC Clin Electrophysiol. 2024;10(7 Pt 1):1439-1451. doi:10.1016/j.jacep.2024.03.005
6. Vijayaraman P, Herweg B, Ellenbogen KA, Gajek J. His-optimized cardiac resynchronization therapy to maximize electrical resynchronization: a feasibility study. Circ Arrhythm Electrophysiol. 2019;12(2):e006934. doi:10.1161/CIRCEP.118.006934
7. Jastrzebski M, Moskal P, Huybrechts W, et al. Left bundle branch-optimized cardiac resynchronization therapy (LOT-CRT): results from an international LBBAP collaborative study group. Heart Rhythm. 2022;19(1):13-21. doi:10.1016/j.hrthm.2021.07.057
8. Parale C, Bootla D, Jain A, et al. Comparison of electrocardiographic parameters between left bundle optimized cardiac resynchronization therapy (LOT-CRT) and left bundle branch pacing-cardiac resynchronization therapy (LBBP-CRT). Pacing Clin Electrophysiol. 2023;46(8):840-847. doi:10.1111/pace.14793


