Transition From Transvenous to Subcutaneous to Extravascular Implantable Cardioverter-Defibrillator: The Right Device for the Right Patient
© 2024 HMP Global. All Rights Reserved.
Any views and opinions expressed are those of the author(s) and/or participants and do not necessarily reflect the views, policy, or position of EP Lab Digest or HMP Global, their employees, and affiliates.
EP LAB DIGEST. 2024;24(3):21-22.
Nicole Mamprejew, MD1; Sankalp Patel, DO2; Samantha Sublette, MD3; Luis Rechani, MD3;
1Internal Medicine Resident. NCH Healthcare System, Naples, Florida; 2Cardiovascular Medicine Fellow, Rooney Heart Institute at NCH Healthcare System, Naples, Florida; 3Clinical Cardiac Electrophysiologist, Rooney Heart Institute at NCH Healthcare System, Naples, Florida
Implantable cardioverter-defibrillators (ICDs) provide primary and secondary prevention of sudden arrhythmia-related cardiac death. Types of ICDs include transvenous, subcutaneous, and extravascular devices, each with advantages and limitations to their use.
A transvenous defibrillator (TV-ICD) is capable of antitachycardia (ATP) and bradycardia pacing, but it is vulnerable to infection from bacteremia as well as from the subcutaneous or subpectoral pocket. A subcutaneous defibrillator (S-ICD) utilizes a pulse generator placed over the serratus anterior in the midaxillary line, and the lead is tunneled subcutaneously over the sternal body. It avoids the risks related to bacteremia, vascular complications, and pneumothorax, but does not provide ATP or bradycardia pacing. The extravascular ICD (EV-ICD) has a similarly placed pulse generator, but the lead is substernally implanted. The EV-ICD system offers similar benefits to the S-ICD while retaining some of the features of the traditional TV-ICD systems, specifically ATP and limited pause-prevention pacing.
This case aims to illustrate the importance of tailoring ICD selection to each unique patient.
Case Presentation
A 77-year-old man with ischemic cardiomyopathy, 7 prior coronary stents, previously measured left ventricular ejection fraction (LVEF) of 25%, TV-ICD placement complicated by Staphylococcus aureus bacteremia that resulted in device extraction and replacement with an S-ICD, and peripheral vascular disease, presented with chest pain, flushing, and syncope.
Upon arrival, he was found to be in a wide complex tachycardia at 180 beats per minute (bpm), with electrocardiographic confirmation of monomorphic ventricular tachycardia (VT) (Figure 1). His S-ICD was programmed to recognize ventricular arrhythmias at or above 200 bpm due to prior inappropriate shock therapy for atrial arrhythmias, and the patient sustained this rhythm until subsequent chemical conversion with an amiodarone bolus. Upon restoration of sinus rhythm, the patient was free of chest pain and asymptomatic. His blood chemistries were unremarkable. High-sensitivity troponin peaked at 733 ng/L (normal <59 ng/L).
Transthoracic echocardiogram confirmed similar findings to his prior studies, with LVEF 25% and no new valvulopathies. Cardiac catheterization revealed significant in-stent restenosis within the left anterior descending artery (LAD), which was successfully treated with 2 overlapping drug-eluting stents. The next day, he underwent electrophysiology study, which demonstrated inducible VT mapped to an anteroseptal scar. The scar was homogenized, with no inducible ventricular arrhythmias.
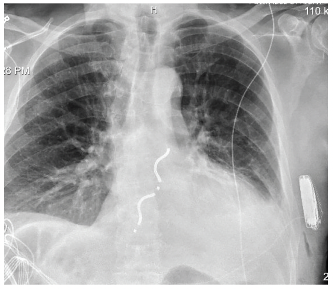
The patient was then brought back to the EP lab for device exchange. An Aurora EV-ICD (Medtronic) was implanted and the patient’s existing S-ICD system was removed (Figure 2). He received inappropriate ATP for atrial flutter. Device settings were adjusted to avoid atrial oversensing.
Discussion
removed.
This report highlights the case of a patient with prior TV-ICD infection, paroxysmal atrial arrhythmias, and sustained monomorphic VT in need of reliable ICD therapy. This patient had previous TV-ICD infection and previous inappropriate S-ICD therapy. He was an excellent candidate for the EV-ICD system, which utilizes a substernal extravascular lead.
The concept of alternative defibrillation therapy first garnered promise from the PRAETORIAN trial and EFFORTLESS registry, which showcased comparable effectiveness of S-ICD systems to their TV-ICD counterparts, with more feasibility in patients with poor vascular access, significant endocardial infection propensity, or significant tricuspid regurgitation.1,2 With the novel EV-ICD system, the defibrillator coil is now directly in contact with the cardiac silhouette, reducing the energy needed to be delivered per shock therapy while also providing the ability to administer ATP. As with any defibrillator system, caution must be taken to avoid inappropriate therapies.
In a study by Friedman et al, 4.1% of patients experienced a system- or procedure-related infection, though only 1.3% required device removal during the mean follow-up period, with no cases of sepsis, endocarditis, or mediastinitis.2 Generally, an ICD carries a <2% risk of infection throughout the lifetime.3 It can be argued that the infections associated with EV-ICD have lower morbidity and mortality, as the integrity of the circulatory system is unaffected, theoretically removing the nidus for sepsis and endocarditis.
Summary
The EV-ICD system draws on the multimodal treatment benefits of a TV-ICD by providing lower defibrillating energy than the S-ICD, ATP, and pause-preventing pacing, while sharing the benefits of the S-ICD, including lower rates of endocarditis, cardiac perforation, pneumothorax, and vascular injury. ICD placement requires the careful consideration of unique patient characteristics for the most appropriate selection to balance the benefits of treatment and risks of complications.
Disclosure: The patient consented for description of case and use of images for publication.
Disclosure: The authors have completed and returned the ICMJE Form for Disclosure of Potential Conflicts of Interest, and report no conflicts of interest regarding the content herein. Dr Sublette reports she is Chair of the Performance Improvement Committee at NCH Healthcare System.
References
1. Crozier I, O’Donnell D, Boersma L, et al. The extravascular implantable cardioverter-defibrillator: the pivotal study plan. J Cardiovasc Electrophysiol. 2021;32(9):2371-2378. Published online 2021 Aug 5. doi:10.1111/jce.15190
2. Friedman P, Murgatroyd F, Boersma L, et al. Efficacy and safety of an extravascular implantable cardioverter-defibrillator. N Engl J Med. 2022;387:1292-1302. doi:10.1056/NEJMoa2206485
3. Birnie DH, Wang J, Alings M, et al. Risk factors for infections involving cardiac implanted electronic devices. J Am Coll Cardiol. 2019;74(23):2845-2854. doi:10.1016/j.jacc.2019.09.060


