Candida Parapsilosis Endocarditis With Early Lead Extraction and Vacuum Aspiration Device-Assisted Percutaneous Debulking
© 2025 HMP Global. All Rights Reserved.
Any views and opinions expressed are those of the author(s) and/or participants and do not necessarily reflect the views, policy, or position of EP Lab Digest or HMP Global, their employees, and affiliates.
EP LAB DIGEST. 2025;25(3):1,12-14.
Laura Bradel, DO1; Lu Chen, MD2; Jonathan Arnedo, MD3; Moshe Y Gunsburg, MD4; Tatyana Zagoruy, MD5; Berhane Worku, MD6; Rajesh Malik, MD7; Jude ElSaygh, MD8; Abeer Ashfaq, MD2; Gioia Turitto, MD9; Bharath Reddy, MD10; Brian Wong, MD10; Jeremy Berman, MD10
1Cardiology Fellow, New York Presbyterian-Brooklyn Methodist/Weill Cornell Medicine, Brooklyn, New York; 2Electrophysiology Fellow, New York Presbyterian-Brooklyn Methodist/Weill Cornell Medicine, Brooklyn, New York; 3Electrophysiology Attending, New York University Long Island, Brooklyn, New York; 4Director of Electrophysiology, Brookdale Hospital, Brooklyn, New York; 5Internal Medicine Attending, Brookdale Hospital, Brooklyn, New York; 6Cardiothoracic Surgery Attending, New York Presbyterian-Brooklyn Methodist/Weill Cornell Medicine, Brooklyn, New York; 7Chief of Vascular Surgery, New York Presbyterian-Brooklyn Methodist/Weill Cornell Medicine, Brooklyn, New York; 8Internal Medicine Resident, New York Presbyterian-Brooklyn Methodist/Weill Cornell Medicine, Brooklyn, New York; 9Director of Electrophysiology, New York Presbyterian-Brooklyn Methodist/Weill Cornell Medicine, Brooklyn, New York; 10Electrophysiology Attending, New York Presbyterian-Brooklyn Methodist/Weill Cornell Medicine, Brooklyn, New York
Fungal endocarditis in the setting of cardiac devices is becoming increasingly common. A high index of suspicion is recommended for diagnosis, and the treatment usually involves a combination of early medical and surgical therapies.
Case Presentation
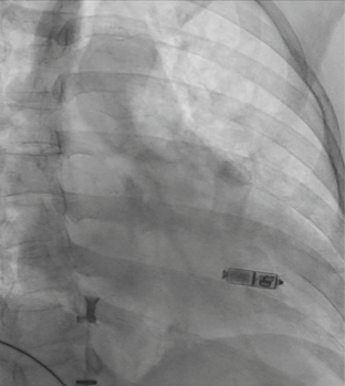
A 46-year-old woman with sickle cell disease (hemoglobin SS) and protein C deficiency, who underwent dual-chamber pacemaker implantation with active fixation leads 5 years prior to presentation for syncope and intermittent complete heart block (Figure 1), was admitted with anemia, pain crisis, and SARS-CoV-2 infection, and treated in the intensive care unit. She was found to have persistent Candida parapsilosis bloodstream infection with subacute fungal endocarditis and a large vegetation (4 cm x 1.6 cm) circumferentially encasing the atrial pacing lead, as well as smaller vegetations on the tricuspid valve (Videos 1 and 2). Her device interrogation showed minimal right atrial and right ventricular pacing as well as normal pacemaker function. Due to persistently positive blood cultures after removal of a permcath, as well as the presence of multiple vegetations, she underwent successful laser extraction of the entire pacemaker system with a vacuum aspiration device for debulking (Video 3). She was maintained on antifungal agents, with negative blood cultures and no evidence of residual vegetation on repeat transthoracic echocardiogram (TTE) (Figure 2, Video 4). She underwent successful leadless pacemaker implantation prior to discharge (Figure 3).
Discussion
The incidence of bloodstream infections in pacemaker recipients is on the rise and reported to be close to 4%.1,2 Common predisposing factors for fungal infection include immunosuppression, prosthetic valves, intravenous drug use, and prior treatment with broad spectrum antibiotics. As in this patient, persistent candidemia in an immunocompromised host with a cardiac device should be evaluated with early TTE or transesophageal echocardiogram (TEE). Treatment may include an antifungal regimen and early removal of the device.3-5 As per the 2010 American Heart Association guidelines, definite cardiovascular implantable electronic device (CIED) infection requires complete device removal, given the high rate of relapse.6 No randomized controlled trials to determine the optimal timing of complete device removal has been performed. However, immediate removal within 7 days of diagnosis compared with a delayed removal was associated with a threefold decrease in 1-year mortality.7
Our patient had fungal endocarditis with a complex, sessile lesion encasing the pacemaker hardware. In a retrospective study of 12 patients with cardiac devices and concurrent candidemia, 4 patients with visible vegetations underwent CIED removal without complications, while the remaining 8 patients were managed nonoperatively. During follow-up, all patients without lead removal expired, while 3 of 4 patients with lead extraction survived. Of note, 50% of deaths in the patients without lead removal were associated with fungal sepsis. The authors concluded that Candida fungemia is associated with a high mortality.8 Therefore, device removal should be an early consideration in these patients.
Given the demonstrated inability to clear infection with medical therapy alone in this patient, and taking the size of the vegetations into consideration, a hybrid minimally invasive approach utilizing a vacuum aspiration device and lead extraction was pursued and successfully implemented. The percutaneous aspiration procedure is highly effective and associated with a low complication profile in patients with right-sided bacterial endocarditis.9 Vacuum aspiration devices used in combination with lead extraction to debulk large infectious material are associated with reduced periprocedural risk compared to surgery and extraction alone, reduced risk of periprocedural septic pulmonary embolism, reduced risk of hemodynamically significant pulmonary embolism, and increased long-term survival benefit in patients with both fungal and bacterial endocarditis.8,9
Summary
As the population with CIEDs and comorbidities including immunosuppression and central venous catheters expands, suspicion for endocarditis must be maintained. Workup for bloodstream infection includes early TTE and/or TEE. Treatment includes antifungals and early removal of the device system, which may require percutaneous debulking or hybrid surgical approach.11 No randomized controlled trials to determine the optimal timing of complete device removal have been conducted, but there are survival data supporting early CIED extraction. Thus, early identification of these patients and prompt referral to a specialized center are needed to improve outcomes.
Disclosure: The authors have completed and returned the ICMJE Form for Disclosure of Potential Conflicts of Interest and report no conflicts of interest regarding the content herein.
Video 1
Video 1. TTE prior to the procedure, apical 4-chamber view, showing a mass at the level of the tricuspid valve.
Video 2
Video 2. Intraoperative TEE, mid-esophageal 4-chamber view, showing normal left ventricular ejection fraction, a mildly dilated right ventricle, and a mass encircling the atrial aspect of the pacemaker wire.
Video 3
Video 3. Fluoroscopic image status post successful laser lead extraction of the entire dual-chamber pacemaker system due to fungal endocarditis on pacemaker lead. Vacuum aspiration device in the right atrium with percutaneous debulking of vegetation under TEE guidance.
References
1. Johansen JB, Jørgensen OD, Møller M, et al. Infection after pacemaker implantation: infection rates and risk factors associated with infection in a population-based cohort study of 46299 consecutive patients. Eur Heart J. 2011;32(8):991-998. doi:10.1093/eurheartj/ehq497
2. Greenspon AJ, Patel JD, Ochoa JA, et al. 16-year trends in the infection burden for pacemakers and implantable cardioverter-defibrillators in the United States 1993 to 2008. J Am Coll Cardiol. 2011;58(10):1001-1006. doi:10.1016/j.jacc.2011.04.033
3. Pappas PG, Kauffman CA, Andes D, et al. Clinical practice guidelines for the management of candidiasis: 2009 update by the Infectious Diseases Society of America. Clin Infect Dis. 2009;48(5):503-535. doi:10.1086/596757
4. Cornely OA, Arikan-Akdagli S, Dannaoui E, et al. ESCMID and ECMM joint clinical guidelines for the diagnosis and management of mucormycosis 2013. Clin Microbiol Infect. 2014;20(Suppl 3):5-26. doi:10.1111/1469-0691.12371
5. Silva-Pinto A, Ferraz R, Casanova J, Sarmento A, Santos L. Candida parapsilosis prosthetic valve endocarditis. Med Mycol Case Rep. 2015;9:37-38. doi:10.1016/j.mmcr.2015.07.004
6. Baddour LM, Epstein AE, Erickson CC, et al. Update on cardiovascular implantable electronic device infections and their management: a scientific statement from the American Heart Association. Circulation. 2010;121(3):458-477. doi:10.1161/CIRCULATIONAHA.109.192665
7. Le KY, Sohail MR, Friedman PA, et al. Mayo cardiovascular infections study group: impact of timing of device removal on mortality in patients with cardiovascular implantable electronic device infections. Heart Rhythm. 2011;8(11):1678-1685. doi:10.1016/j.hrthm.2011.05.015
8. Nakamura T, Narui R, Holmes B, et al. Candidemia in patients with cardiovascular implantable electronic devices. J Interv Card Electrophysiol. 2021;60(1):69-75. doi:10.1007/s10840-020-00706-0
9. Starck CT, Schaerf RHM, Breitenstein A, et al. Transcatheter aspiration of large pacemaker and implantable cardioverter-defibrillator lead vegetations facilitating safe transvenous lead extraction. Europace. 2020;22(1):133-138. doi:10.1093/europace/euz283
10. Divekar AA, Scholz T, Fernandez JD. Novel percutaneous transcatheter intervention for refractory active endocarditis as a bridge to surgery-AngioVac aspiration system. Catheter Cardiovasc Interv. 2013;81(6):1008-1012. doi:10.1002/ccd.24593
11. Bradel L, Chen L, Arnedo J, et al. Po-02-004 Candida Parasiplosis Endocarditis With Early Lead Extraction And Angiovac Percutaneous Debulking. Heart Rhythm. 2024;21(5)(Suppl):S305-S306. doi:10.1016/j.hrthm.2024.03.884


