Atrial Fibrillation Ablation in a Patient With Atrial Septal Closure Device Performed in an Outpatient Same Day Ambulatory Surgery Center
© 2024 HMP Global. All Rights Reserved.
Any views and opinions expressed are those of the author(s) and/or participants and do not necessarily reflect the views, policy, or position of EP Lab Digest or HMP Global, their employees, and affiliates.
EP LAB DIGEST. 2024;24(12):14-15.
Sudarone Thihalolipavan, MD; Vijendra Swarup, MD, FHRS, FACC; and Jacob Hantla, CRNA, FHRS
Arizona Heart Rhythm Center, Phoenix, Arizona
In recent years, advancements in cardiac care have enabled more complex procedures such as catheter ablation to be performed in an ambulatory surgery center (ASC). This shift offers numerous benefits, including reduced health care costs and increased patient convenience, without compromising quality of care. Our facility, the Heart Health Center (HHC), received the “Hospital Without Walls” (HWW) designation from the Centers for Medicare & Medicaid Services (CMS) during the COVID-19 pandemic, allowing for hospital-based procedures in an outpatient setting for Medicare patients from 2020 to 2023. Additionally, HHC has maintained contracts with private insurers since 2019 to perform outpatient atrial fibrillation (AF) ablations. During this period, a wide range of complex right- and left-sided ablations have been successfully conducted in the ASC setting, excluding only ischemic ventricular tachycardia (VT) cases and epicardial VT ablations. Our experience demonstrates both the therapeutic efficacy across various arrhythmias and a safety profile comparable to or exceeding that reported in clinical trials. Recently, we contributed to a landmark publication, in collaboration with other outpatient centers across the United States, showcasing the applicability and success of these procedures in the ASC environment.1
In this article, we share a case highlighting a complex left-sided ablation performed in our ASC in 2021.
Case Presentation
The patient is a 60-year-old man with an extensive cardiac history including hypertension, hyperlipidemia, systolic congestive heart failure (left ventricular ejection fraction 45%), atrial septal defect (ASD) status post closure with an Amplatzer Septal Occluder Device (38 mm) (Abbott), and symptomatic persistent AF and atypical atrial flutter (AAFL). Despite undergoing multiple direct current cardioversions (DCCVs) and a previous radiofrequency ablation (RFA) in 2011, he continued to experience symptomatic AF/AAFL. Specifically, he reported severe intermittent palpitations and associated dyspnea during episodes of AF. However, when not in AF, he remained active, frequently exercising, hiking, and going to the gym 2-3 days a week.
This patient has a long-standing history of persistent AF and underwent his first ablation in 2011. During that procedure, a large ASD was identified on transesophageal echocardiography (TEE). He subsequently underwent pulmonary vein isolation (PVI), complex fractionated atrial electrogram (CFAE) RFA, and a right-sided cavotricuspid isthmus (CTI) line ablation. Following these interventions, he was referred for ASD closure, which was successfully achieved with the implantation of a large 38-mm ASD device.
However, a few years after the ASD closure, he experienced a recurrence of AF, requiring DCCVs and the use of antiarrhythmic medications. By 2021, clinical follow-up revealed both AF and AAFL. At that time, all antiarrhythmic treatment options had been exhausted, which either failed or were not tolerated by the patient. Consequently, a repeat ablation was considered. A recent TEE showed the ASD occluder device with a very small posterior superior rim, measuring approximately 1-2 mm.
Given the patient’s active lifestyle and symptomatic profile, the consideration of a repeat ablation was strongly considered. However, since his last ablation in 2011, it was anticipated that the large ASD occluder device might pose a challenge for transseptal puncture and left atrial (LA) engagement.
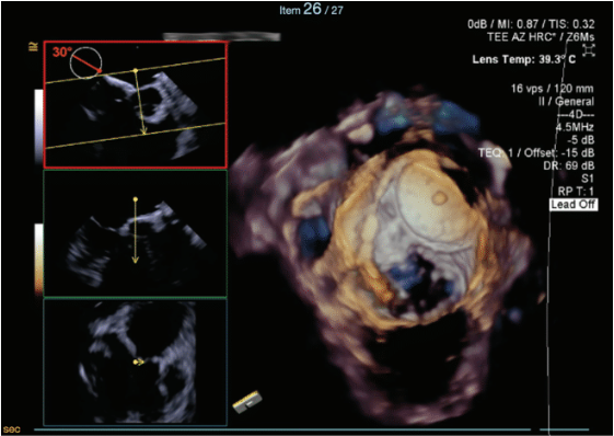
Due to the complexity of the transseptal puncture, the decision was made to have 2 operators perform the case. To ensure the most accurate visualization of the ASD occluder and the target puncture site, 4-dimensional TEE was utilized as a guide.
The ablation was performed under general anesthesia and therapeutic anticoagulation with heparin. Right common femoral vein (CFV) access was obtained with 2 sheaths (SL-1 and Agilis steerable sheath, Abbott) and right internal jugular (IJ) vein access for a decapolar coronary sinus (CS) catheter. The patient presented in an AAFL with a ventricular rate of 99 beats per minute (bpm) (Figure 1).
Two transseptal punctures were attempted, but due to the large, nearly occlusive ASD device, only a single transseptal access was secured. A 98-cm Brokenbrough needle and electrocautery was utilized to localize the posterior superior lip of the available fossa. After transseptal access, the sheath was then advanced over a 0.35” J-wire into the LA. Using the Agilis sheath, a PentaRay diagnostic catheter (Johnson & Johnson MedTech) was advanced into the LA and the entire LA was mapped. The SL-1 sheath was kept in the right atrium (RA) with irrigation.
LA mapping with Carto and PentaRay revealed that the previous wide area circumferential ablation (WACA) lines from the PVI were intact. However, the patient exhibited cranio-caudal LA roof flutter with a cycle length (CL) of 300 ms. The CL was successfully prolonged, and the roof flutter was eventually terminated with RFA on the LA roof. After confirming bidirectional block across the line, repeat induction was attempted.
Given the limited area available on the fossa ovalis, it was uncertain whether the LA could be re-entered in the future. Therefore, any inducible AFL was targeted during the same session. Counterclockwise mitral annular flutter was induced and targeted with both RF application to the endocardial and epicardial CS aspect of the lateral mitral isthmus line. Bidirectional block across the line was achieved, applying 50 watts, 60° C, and 15-second lesions (or an ablation index of 500) for endocardial lesions, and 20 watts with 10-second lesions for the CS.
Block across the mitral line was confirmed using the PentaRay catheter in the left atrial appendage (LAA), with concentric activation across the CS and clockwise activation in the CS during distal electrode pacing below the line of block. The latest electrograms were observed in the LAA, further validating the successful block.
After completing the ablation and confirming non-inducibility, the catheters and Agilis sheath were carefully removed from the LA. Postprocedural imaging of the ASD showed no measurable defects. The venipuncture site (8 French) was closed using the MynxGrip device (Cordis), and anticoagulation was reversed. The patient recovered for 2 hours while supine and was subsequently discharged home approximately 2.5 to 3 hours post-procedure from the ASC.
Discussion
TEE can be a superior tool in guiding transseptal puncture, particularly in complex AF cases, where anatomical challenges such as a prior ASD or patent foramen ovale (PFO) closure device are present. TEE provides real-time, high-resolution imaging that enhances the precision of catheter placement during transseptal puncture, reducing the risk of complications associated with inadvertent puncture of adjacent structures. In patients with prior large ASD or PFO devices, where the anatomy of the interatrial septum may be significantly altered, the ability of TEE to clearly delineate the septum and device margins is invaluable, ensuring that the puncture is performed safely and accurately. This utility makes intraprocedural TEE an essential modality in the management of such high-risk cases, optimizing outcomes and minimizing procedural risks. Although we frequently utilize ICE during AF ablations, our operators prefer the utility of TEE when encountering challenging transseptal punctures such as this case. The limitations of obtaining consistent access to intraprocedural TEE given the scarcity of cardiac anesthesia coverage is an unfortunate reality; however, we specifically request such assistance and plan for this coverage when facing complex transseptal puncture cases.
This patient did well, without reoccurrence of AF/AAFL. He continues to follow up at our clinic and maintain a healthy lifestyle.
Conclusion
This article is a small sample of the clinical considerations, potential benefits, and challenges of performing ablation procedures in an ASC, using this patient’s history and challenging transseptal puncture and ablation as a backdrop for discussion. The decision to perform this case in an outpatient ASC was driven by the operators’ confidence, developed from completing a high volume of complex cardiac electrophysiology cases in this setting during the COVID-19 pandemic, under the HWW designation. The ASC is fully equipped to manage periprocedural complications, including full airway and ventilator support by anesthesia staff. Additionally, the facility is prepared for cardiac perforation with the capacity to perform an immediate pericardiocentesis, and has a transfer agreement with a nearby large regional hospital with cardiothoracic surgery and neurointerventional teams on standby. The transfer time to this hospital, which is less than 5 minutes away, can be comparable to the response time expected for intra-facility transfer for emergency cardiothoracic surgery support in an operating room.
Disclosure: The authors have completed and returned the ICMJE Form for Disclosure of Potential Conflicts of Interest. Dr Thihalolipavan reports consulting fees from Abbott, Biosense Webster, Acutus Medical, Zoll Medical, and Pfizer; he also reports payment or honoraria for lectures, presentations, speakers bureaus, manuscript writing, or educational events from Abbott and Biosense Webster. Dr Thihalolipavan reports he is a founding member of the Arrhythmia Intervention Society.
Reference
1. Aryana A, Thihalolipavan S, Willcox ME, et al. Safety and feasibility of cardiac electrophysiology procedures in ambulatory surgery centers. Heart Rhythm. 2024:S1547-5271(24)03106-0. doi:10.1016/j.hrthm.2024.07.123


