Endovascular Treatment of Popliteal Artery Entrapment Syndrome: Technical Aspects and Results of Endovascular Treatment With Surgical Release of Popliteal Artery
ABSTRACT: Objectives: There is no standardized endovascular technique for treatment of popliteal artery entrapment syndrome (PAES). We retrospectively evaluated technical aspects and results of endovascular treatment with surgical releasing of popliteal artery for PAES. Methods: Five patients (all male; mean age, 33 years; range, 21 to 55 years) who underwent endovascular recanalization combined with surgical releasing of popliteal artery for PAES in a 3-year period were reviewed retrospectively. Balloon angioplasty was used for all patients, and manual aspiration thrombectomy was used when required to remove thrombus to restore blood flow in the popliteal artery. Musculotendinous resection and popliteal artery release was performed surgically in all patients after the endovascular treatment. Results: Endovascular techniques and surgical decompression were successful in all patients with an initial technical success rate of 100%. Primary and secondary patency rates were 60% and 60% respectively at a median follow-up of 64 months (range, 41-100 months). Three of 5 patients had an uneventful long-term follow-up. After treatment, thrombosis of the popliteal artery was observed in 2 patients, one of whom underwent endovascular treatment again at 4 and 18 months. That patient presented with a delayed thromboembolic occlusion in follow-up. Another patient with rethrombosis of the popliteal artery refused additional endovascular intervention and underwent bypass surgery. Conclusions: Endovascular treatment with surgical decompression of popliteal artery is a potential alternative treatment for PAES that is less invasive and offers an alternative to conventional bypass surgery, especially for young patients.
VASCULAR DISEASE MANAGEMENT 2015;12(5):E77-E83
Key words: popliteal artery, entrapment syndrome, endovascular treatment
_______________________________________________
Popliteal artery entrapment syndrome (PAES) is an uncommon clinical entity resulting from compression of the popliteal artery by adjacent muscle and/or tendinous structures in the popliteal fossa. This compression results in repetitive microtrauma and early atherosclerosis leading to popliteal artery stenosis or occlusion.1,2 The different types of PAES are the most common cause of limb ischemia in patients younger than 50 years of age.2
The principles of treatment in PAES with popliteal artery occlusion are to release the entrapped vessel and restore normal blood flow to the limb. This is conventionally achieved by surgical release of the compressing structure either by a venous bypass or interposition graft.3 Another treatment option is endovascular revascularization followed by surgical decompression to restore normal blood flow to the limb. However, there have only been a few reports describing endovascular revascularization followed by surgical decompression.3,4 The aim of this retrospective study is to report the long-term results of endovascular treatment combined with surgical decompression of the entrapped popliteal artery in patients with PAES.
Materials and Methods
Between September 2007 and January 2010, 5 patients (all male; mean age, 33 years; range, 21 to 55 years) underwent endovascular recanalization and surgical decompression of an entrapped popliteal artery and the files of these patients were reviewed
retrospectively. All of these patients were included in the study. All patients were symptomatic. Four patients had intermittent claudication (Rutherford category II to III) that ranged in duration from 1 to 9 years, and 1 patient had acute leg ischemia that lasted 5 days. Demographic factors, procedural and angiographic findings, and outcome variables are shown in Table 1.
In all patients, the diagnosis of popliteal artery stenosis or occlusion was established with color Doppler ultrasonography (CDUS) or magnetic resonance angiography (MRA) and confirmed with angiography during the endovascular procedure. Compression of the popliteal artery secondary to PAES was established with magnetic resonance imaging (MRI) in all patients. MRI images were obtained using one of two 1.5-T scanner units (Vision Plus or Avanto; Siemens) containing a standard knee coil. MRI images were examined for abnormal deviation of the head of gastrocnemius muscle, an insertion abnormality of the gastrocnemius muscle, the presence of aberrant fibrous bands, and aneurysm and/or thrombosis of the popliteal artery in each patient. Subtypes of PAES were determined using MRI according to the Whelan and Rich classification (Table 2).5,6
Endovascular procedure
All endovascular treatments were performed in the angiography unit (Multistar; Siemens or Innova 3100 IQ; General Electric) under local anesthesia supplemented with intravenous sedation and analgesia using midazolam and fentanyl citrate. Access to the artery was obtained through the common femoral artery using the antegrade approach in all patients. Additional retrograde tibial artery access was obtained when recanalization of the occlusion was not possible from the antegrade approach. Heparin was administered intra-arterially at a dose of 5,000 IU after placement of a vascular sheath. The occlusion or stenosis of the popliteal artery was traversed using hydrophilic guide wires (Glidewire; Terumo). The lesions were then dilated using 5-mm to 6-mm balloons (Sterling or Ultrathin; Boston Scientific). Percutaneous manual aspiration thrombectomy (MAT) using 5 Fr to 6 Fr Envoy guiding catheters (Cordis) was performed when there was an associated thrombus after balloon dilatation in order to eliminate thrombotic and/or embolic material in the popliteal or crural arteries. If there were additional lesions of the superficial femoral or crural arteries, balloon dilatations were performed. A self-expanding nitinol stent (Protege; ev3) was deployed if there was residual stenosis of more than 30% in the superficial femoral artery.
Surgical procedure
The patients in the study group were surgically operated using a decompression procedure after the endovascular intervention. All patients were given low molecular weight heparin after endovascular treatment until surgical decompression. The patient was placed on the operating table in prone position. In surgery, the posterior approach with general anesthesia and S-shaped incision in the popliteal fossa, which enables complete exposure of the popliteal artery and its surrounding structures, was used to enter the popliteal fossa. A constricting band formed by the medial head of the gastrocnemius muscle was excised.
Clopidogrel and acetylsalicylic acid were administered to all patients after decompression surgery. Only 1 patient needed warfarin sodium after the second intervention when he presented with thrombotic occlusion. Follow-up examinations were done at 1, 6, and 12 months and then every year and consisted of clinical evaluation and CDUS. Contrast-enhanced MRA was also obtained at the yearly follow-up appointments. A last follow-up was performed for all patients on March 2013.
Results
Type 1 PAES was diagnosed in 2 limbs, Type 2 in 1 limb and Type 3 in 2 limbs using MRI according to the Whelan and Rich classification.5,6 Arteriography revealed popliteal artery occlusion in four patients and stenosis in 1 patient (Figure 1). Additionally,
the occlusive lesion in the popliteal artery extended to the distal femoral artery in one patient, and crural arteries in 2 patients. Angiograms of the patients were examined one by one. All patients, except patients with acute ischemia, developed many collateral arteries. Furthermore, 1 patient had a small popliteal artery aneurysmatic dilatation.
Technical success, defined as successful negotiation of the occlusion and patency after balloon dilatation using the endovascular method, was achieved in all patients. The antegrade approach via the femoral artery was successful in 4 patients, but 1 patient required a retrograde approach via the anterior tibial artery when the occlusion could not be negotiated from the antegrade approach. Balloon angioplasty of the popliteal artery was performed in all patients. Additional treatments such as MAT in 1 patient to eliminate thrombus in popliteal and crural arteries, balloon angioplasty of crural arteries in 2 patients, and stenting of distal femoral artery in 1 patient were required.
Musculotendinous resection and popliteal artery release was performed in all patients. The time interval between endovascular treatment and decompressive surgery varied from 1 to 2 weeks. After decompression surgery, all patients were discharged within 2 days. All patients were asymptomatic immediately after the endovascular and surgical treatments.
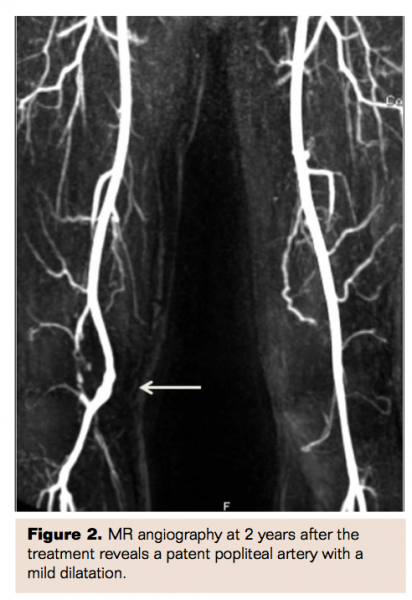
The surgical and endovascular outcomes were good and there were no intraoperative or postoperative complications. The patients had a median follow-up of 64 months (range, 41-100 months). Three of 5 patients had an uneventful, long-term follow-up and did not need any further intervention. Follow-up CDUS or MRA revealed patent popliteal arteries in these patients, but 1 patient had a small popliteal artery aneurysm visualized by MRA at 2 years (Figure 2). Two patients had recurrent thrombosis of the popliteal artery after treatment. One of these patients had repeated endovascular treatments at 4 and 18 months because of rethrombosis of the femoral and popliteal arteries. This oldest patient had the worst distal run-off (distal embolic occlusions of all
crural arteries) and concomitant atherosclerotic stenosis of the distal femoral artery treated by stenting. After repeated endovascular treatments, he was asymptomatic. However he presented with a delayed thromboembolic occlusion in his follow-up, therefore below-knee amputation was performed in another institution 30 months after the first intervention. In another patient, recurrent thrombosis of the popliteal artery was observed 1 week after the decompressive surgery. This patient refused endovascular reintervention and underwent bypass surgery.
Discussion
Popliteal artery entrapment syndrome is an unusual but important cause of acute or chronic lower limb ischemia. Symptoms usually develop over time, but acute onset may occur due to acute thrombosis of the lower limb arteries. Abnormal position of the popliteal artery and/or the adjacent structures may cause repetitive compression or microtrauma to the popliteal artery and may result in popliteal artery stenosis or occlusion, leading to foot or calf claudication. Additionally, popliteal artery aneurysm, pseudoaneurysm, early atherosclerosis, thrombosis, or distal embolism may occur.7,8
Early diagnosis, prior to the occurrence of irreversible changes, including premature atherosclerosis, aneurysm and/or thromboembolism, is important. If diagnosed and treated early, the outcome of PAES after treatment is generally good, but any delay in treatment when there is extensive arterial occlusion may result in permanent claudication or even limb loss.7,9 The conventional treatment consists of surgical revascularization of the occluded artery and/or release of entrapped popliteal artery. Although early surgical treatment has a good outcome, definitive diagnosis is usually delayed because PAES is often seen in young patients in whom traditional cardiovascular risk factors are not evident, and thus vascular disease typically is not considered.2,3
The standard surgical treatment consists of release of the abnormal muscle, tendon or fibrous bands, thrombectomy by incision with or without patch angioplasty (in case of longitudinal incision). Another treatment option after decompressive surgery is arterial reconstruction using a venous interposition bypass graft or arterial bypass.10-12 Early diagnosis may permit treatment with musculotendinous release alone, without arterial bypass. It has been reported that treatment at an early stage by simple division of the musculotendinous tissue leads to a 94% patency rate of the popliteal artery after a mean follow-up of 46 months. However, the long-term patency rate in patients who required arterial grafting was only 58% after a mean follow-up of 43 months.9
Endovascular treatment of popliteal artery occlusion due to PAES has only been reported in small case series. In most of those studies, endovascular treatment such as catheter-directed thrombolysis was reported as an adjunctive therapy to avoid arterial bypass, decrease the extent of the vascular reconstruction, or improve distal run-off.8,13 Thus there are limited data concerning the use of endovascular treatment of PAES as primary treatment. Hence, the safety and efficacy of endovascular treatment have not been well established. In a study of 3 patients with PAES with thrombotic and/or embolic complications treated by a combination of endovascular treatment and surgical release, the procedures proved successful in all patients with continued patency at the 1-year follow-up appointment.3 In another study consisting of 3 patients receiving endovascular treatment, 1 patient was asymptomatic at the 1-year follow-up, and the second patient had a popliteal artery aneurysm 4 months after the index procedure. The third patient had restenosis of the popliteal artery, which was successfully treated with angioplasty at 2 years. The same patient had occlusion of the artery due to a small aneurysm 4 years later.4 Three of 5 patients in our study had an uneventful follow-up at 3-8 years. Two patients had early rethrombosis of the popliteal artery, and of them one had successful repeat endovascular treatments. However that patient presented with a delayed thromboembolic occlusion in follow-up, therefore below-knee amputation was performed after the third intervention. The second patient who had rethrombosis of the popliteal artery refused reintervention and underwent bypass surgery. After successful endovascular treatment of patients, one small popliteal artery aneurysm without any complication was observed. According to these small case series and our results, the main advantage of recanalization of the native popliteal artery by endovascular treatment is that it avoids bypass surgery in these patients, many of whom are young.
In conclusion, early diagnosis and surgery with musculotendinous release alone in patients who do not need arterial grafting results in a good outcome, so this should be the first-line treatment option in such patients. However, it is known that vessels of patients with advanced disease that require arterial grafting have poor long-term patency, so endovascular recanalization of the popliteal artery with surgical decompression may be an alternative treatment to conventional bypass surgery, especially for young patients. Careful follow-up of these patients is necessary because reocclusion is a possibility. Even if restenosis or rethrombosis of the popliteal artery is observed, repeated endovascular interventions or surgical bypass may provide successful recanalization.
Editor’s note: Disclosure: The authors have completed and returned the ICMJE Form for Disclosure of Potential Conflicts of Interest. The authors report no disclosures related to the content herein.
Manuscript received October 16, 2014; provisional acceptance given December 23, 2014; final manuscript accepted February 20, 2015.
Address for correspondence: Dr. Merve Ozen, Baskent University Department of Radiology, Dadaloglu Mah. Yuregir, Adana, 01250 Turkey. Email: ozenmerve@gmail.com
References
- Shen J, Abu-Hamad G, Makaroun MS, Chaer RA. Bilateral asymmetric popliteal entrapment syndrome treated with successful surgical decompression and adjunctive thrombolysis. Vasc Endovascular Surg. 2009;43(4):395-398.
- Ozkan U, Ouzkurt L, Tercan F, Pourbagher A. MRI and DSA findings in popliteal artery entrapment syndrome. Diagn Interv Radiol. 2008;14(2):106-110.
- Steurer J, Hoffmann U, Schneider E, Largiader J, Bollinger A. A new therapeutic approach to popliteal artery entrapment syndrome (PAES). Eur J Vasc Endovasc Surg 1995;10:243-247.
- Meier TO, Schneider E, Amann-Vesti B. Long-term follow-up of patients with popliteal artery entrapment syndrome treated by endoluminal revascularization. Vasa. 2010;39(2):189-195.
- Whelan TJ, Haimovici H, eds. Vascular Surgery: Principles and Techniques. 2nd Ed. New York: McGraw-Hill; 1984:557-567.
- Rich NM, Collins GJ, McDonald PT, Kozloff L, Clagett GP, Collins JT. Popliteal vascular entrapment: its increasing interest. Arch Surg. 1979;114(12):1377-1384.
- Gourgiotis S, Aggelakas J, Salemis N, Elias C, Georgiou C. Diagnosis and surgical approach of popliteal artery entrapment syndrome: a retrospective study. Vasc Health Risk Manag. 2008;4(1):83-88.
- Ring DH Jr, Haines GA, Miller DL. Popliteal artery entrapment syndrome: arteriographic findings and thrombolytic therapy. J Vasc Interv Radiol. 1999;10(6):713-721.
- Marzo L, Cavallaro A, Mingoli A, Sapienza P, Tedesco M, Stipa S. Popliteal artery entrapment syndrome: the role of early diagnosis and treatment. Surgery. 1997;122(1):26-31.
- Henry MF, Wilkins DC, Lambert AW. Popliteal artery entrapment syndrome. Curr Treat Options Cardiovasc Med. 2004;6(2):113-120.
- Turnipseed WD. Popliteal entrapment syndrome. J Vasc Surg. 2002;35(5):910-915.
- Kim SY, Min SK, Ahn S, Min SI, Ha J, Kim SJ. Long-term outcomes after revascularization for advanced popliteal artery entrapment syndrome with segmental arterial occlusion. J Vasc Surg. 2012;55(1):90-97.
- Shen J, Abu-Hamad G, Makaroun MS, Chaer RA. Bilateral asymmetric popliteal entrapment syndrome treated with successful surgical decompression and adjunctive thrombolysis. Vasc Endovascular Surg. 2009;43(4):395-398.


