Umbilical Cord Mesenchymal Stem Cells Combined With a Collagen-fibrin Double-layered Membrane Accelerates Wound Healing
Abstract
The aim of this study was to examine the effects of human umbilical cord mesenchymal stem cells (hUCMSCs) in combination with a collagen-fibrin double-layered membrane on wound healing in mice. A collagen-fibrin double-layered membrane was prepared, and the surface properties of the support material were investigated using a scanning electron microscope. Twenty-four mice were prepared for use as full-thickness skin wound models and randomly divided into 3 groups: group A, a control group in which the wounds were bound using a conventional method; group B, a group treated with hUCMSCs combined with a collagen membrane; and group C, a group treated with hUCMSCs combined with a collagen-fibrin double-layered membrane. The postoperative concrescence of the wounds was observed daily to evaluate the effects of the different treatments. Scanning electron microscope observation showed the collagen-fibrin scaffolds exhibited a highly porous and interconnected structure, and wound healing in the double-layered membrane group was better than in groups A or B. Treatment with hUCMSCs combined with a collagen-fibrin double-layered membrane accelerated wound healing.
Introduction
Tissue engineering is the use of a combination of cells, engineering, materials, methods, and suitable biochemical and physicochemical factors to improve or replace biological functions.1 Over the past few decades, significant progress has been made in the development of skin tissue engineering techniques.2 Several skin substitutes for use in skin replacement therapies are commercially available, but these substitutes are still not fully able to replace real skin tissue with its cellular components and skin appendages.
For optimal seeding of cells for skin tissue engineering, one type of stem cells—human umbilical cord mesenchymal stem cells (hUCMSCs) —have the ability for self-renewal and omnidirectional transformation into specific cell populations, and are highly effective for repairing skin wounds when combined with tissue engineering materials.3,4 Among the many tissue engineering materials available, collagen, a type of natural protein present in animal skin, bone, tendon, ligament, and cornea tissue, is extensively accepted in tissue engineering as a drug carrier and a raw material for building active 3-dimensional (3D) scaffolds.5 This fibrous protein is also often used to fabricate 3D scaffolds in tissue engineering.6 However, collagenous fiber only dissolves in an acidic environment, and it is difficult to uniformly disperse water-soluble proteins, cytokines, and other nutrient content in a neutral environment.7 Although fibrous protein has good hemostatic function, its mechanical strength is low,8 restricting its potential clinical applications. Thus, the shortcomings of these 2 materials could be compensated for to a certain extent by combining collagen and fibrin into a composite scaffold.9 The aim of the present study was to employ a collagen-fibrous protein composite material as a scaffold in combination with hUCMSCs to repair full-thickness skin wounds, and to evaluate its therapeutic effect to provide a reference for clinical practice in the application of tissue-engineered skin.
Materials and Methods
Isolation and incubation of human umbilical cord mesenchymal stem cells. The human umbilical cord used in this experiment was collected at the Third Affiliated Hospital of Xinxiang Medical College (Xinxiang, China). The mother who donated the material was considered healthy— all indexes of routine blood examination were normal; HbsAg, anti-HCV, anti-HIV, and syphilis antibody checks were all negative expression; and the baby was delivered by cesarean section at full-term. The mother and her family provided written, informed consent. The experimental plan was approved by the Xinxiang Medical College Medical Ethics Committee.
Human umbilical cord mesenchymal stem cells were cultured using the tissue explants adherent method.10 A 3 cm section of the umbilical cord was collected in aseptic conditions, digested using a collagen enzyme, then filtrated and centrifuged before the cells were collected for culture. When the cells reached 80% confluence, they were digested and centrifuged, and added to a new culture apparatus. Cells were maintained in a saturated humidity incubator at 37°C in a 5% CO2 atmosphere to observe their growth.
Preparation of collagen. Based on past studies, a collagen sponge scaffold was created by freeze-drying a collagen dispersion after it had been centrifuged, stirred, and poured into a flat, stainless steel mold.5 The lyophilized collagen sponge scaffold was soaked in a 0.3% glutaraldehyde solution with a pH of 8.4 for 2 hours, making the bracket for collagen cross-linking, and washed in deionized water 10 times for adequate removal of the residual glutaraldehyde from the bracket. Samples were then precooled in a -80°C ultra-low temperature freezer, and returned to the freeze-drying apparatus for a second round of freeze-drying, to produce the collagen scaffold.5
Preparation of collagen-fibrin glue composite materials. Fibrinogen was evenly mixed by magnetic stirring, thrombin was added, and the resulting mixture was added to the prepared collagen scaffold immediately, along with fibrin glue. A collagen mass ratio of 1:1 to 1:3 was used to prepare the collagen-fibrin double composite scaffold materials. The prepared scaffold materials were cut into circles with a diameter of 14 mm, placed into individual polyethylene film bags, and sealed after gamma radiation sterilization (60 Co, 2 × 106 rad).
Preparation of full-thickness skin wounds in mice models. Healthy, clean male mice (n = 24, weighing 25 g - 30 g) were provided by the Xinxiang Medical College Laboratory Animal Center. The dorsi of the mice were shaved, and the mice were anesthetized via intramuscular injection of ketamine, followed by regular disinfection. Circular full-thickness sections of skin, 1 cm in diameter, were excised from both sides of the back, and wounds were stanched with sterile gauze.
Human umbilical cord mesenchymal stem cell surface antigen identification. Flow cytometry was used to detect mesenchymal stem cell phenotypes, CD90, CD105, CD73, CD34, CD45, HLA-DR, CD79a, and CD14.
Preparation of human umbilical cord mesenchymal stem cell double-composite materials. Third-generation hUCMSCs were incubated in suspension at a density of 2 × 107 cells/mL for 30 minutes, and washed with phosphate buffered saline (PBS). Cells were resuspended in α-Dulbecco’s modified eagle medium (α-DMEM) culture medium with 10% fetal bovine serum (FBS). Cells were placed on the prepared sterile collagen-fibrin double membrane and incubated for 24 hours. The resulting composite hUCMSCs collagen-fibrin composite material was used in for this study.
Animal grafting experiment. Mice models were randomly divided into 3 groups: group A, a control group treated with collagen-fibrin double-layered membrane without hUCMSCs; group B, treated with hUCMSCs combined with a collagen membrane; and group C, treated with hUCMSCs combined with the collagen-fibrin double-layered membrane.
Histological observation. The cicatrization of the injured areas was observed and histologically examined. Results were recorded and compared between groups.
Results
Culture and identification of human umbilical cord mesenchymal stem cells. A small piece of umbilical cord Huatong glue tissue was cultivated in a nutrient solution. Newly generated cells could be seen after 5-7 days. The cells grew, adhering to the wall, and were shuttle-shaped or polygons; their distribution was mostly non-uniform (Figure 1). Examination by flow cytometry showed the phenotype of the hUCMSCs conformed with the phenotypic characteristics of mesenchymal stem cells: CD90(+), CD105(+), CD73(+), CD34(-), CD45(-), HLA-DR(-), CD79a(-), CD14(-) (Figure 2). The following percentages of antigen expression were observed: CD90, CD105, CD73 ≥ 95%; CD34, CD45, HLA-DR, CD79a, CD14 ≤ 2%.

Figure 1. Morphological character of human umbilical cordmesenchymal stem cells.

Figure 2. Surface markers of human umbilical cord mesenchymal stem cells.
Scanning electron microscopy images of scaffold. Figure 3 shows a cross-section of the double-layered collagen scaffold, stent microporous interlinked with each other. The 3D structure was clear, and the aperture of the scaffold material was measured to be 100 µm and 200 µm by scanning electron microscopy. Figure 3 shows the cross-section of the fibrin glue composite material; the line is a branch of the 3D reticular structure.

Figure 3. Scanning electron microscopy images of scaffold. (A) Collagen layer of scaffold; (B) fibrin layer of scaffold
Full-thickness skin wound healing. Figure 4 shows the wound healing rates of the 3 groups. At 5 days, the wound healing percentages of the 3 groups were as follows: group A, 25.76% ± 2.91%; group B, 56.32% ± 3.47%; and group C, 62.62% ± 6.27%. The healing effect in group C was higher than in the group A. At 10 days, the wound healing percentages of the 3 groups were as follows: group A, 48.36% ± 3.75%; group B, 68.79% ± 4.78%; and group C, 88.47% ± 7.14%. This result showed the healing effect of group C was better than groups A or B. The wound healing percentages of the 3 groups at 15 days were 62.72% ± 5.42% for group A; 81.27% ± 4.26% for group B; and 96.14% ± 4.56% for group C. In group C, the wounds had almost completely healed. The differences between the 3 groups were significant (P < 0.05).

Figure 4. Wound healing rate of 3 groups. hUCMSCs: human umbilical cord mesenchymal stem cells.
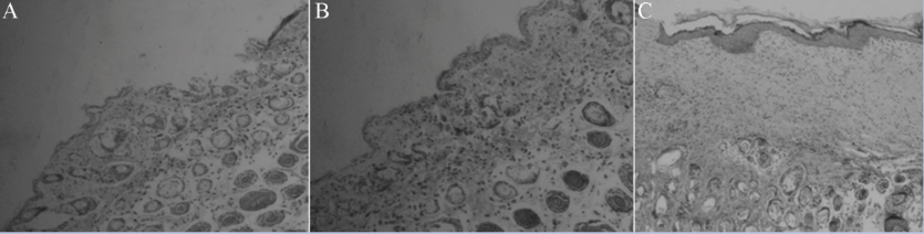
Full-thickness skin wounds, histological examination. After 2 weeks, the wounds in group C had almost completely healed. In group A, the wounds were partially covered with granulation tissue and ingrowth of fibroblasts had formed granulation tissue (Figure 5A). In wounds treated with hUCMSCs combined with the collagen membrane or the collagen-fibrin double-layered membrane (group B and C), a good combination between the treatment material and wound edge was formed. The basal layer, stratum spinosum, stratum granulosum, stratum lucidum, and stratum corneum could clearly be observed. In group C, the reepithelialization process was rapid. Collagen was evenly distributed under the neonatal keratinocytes. The basal layer was flat and closely combined with the collagen, and formation of epithelization was observed by histological examination (Figures 5B and 5C).

Figure 5. Histologic findings of skin tissue. (A) Control group (group A); (B) human umbilical cord mesenchymal stem cells(HUCMSCs) combined with collagen membrane treated group (group B); (C) HUCMSCs combined with collagen-fibrin doublelayer membrane treated group (group C).
Discussion
Wound healing is an intricate process in which the skin (or other organ tissue) repairs itself after injury.11 Although damaged skin tissue has a capacity for self-repair, in certain large areas of skin trauma and chronic skin wounds this is limited,12,13 and human intervention is necessary to promote wound healing. In skin tissue engineering research, wounds are often treated with stem cells combined with other materials.14 This method does not just promote wound healing, but also plays a long-term repair role in the healing process, because the cytokines are released from tissue-engineering materials.15,16 In this study, collagen and fibrin were combined to prepare a new collagen-fibrin double-layered membrane which produced highly efficient wound healing.
The collagen-fibrin double-layered membrane showed a good 3D conformation. A cross-section of the collagen-fibrin scaffolds exhibited a highly porous and interconnected structure with an even pore size and a clear 3D structure. A cross-section of the compact fibrin network was made up of branched fibrin fibers. The presence of the fibrin layer is beneficial to add mechanical strength to the collagen, and thus has broad clinical application prospects. The current study used 3 experimental groups for treatment of full-thickness skin wounds in mice to investigate the effect of wound healing using stem cells combined with the double-layered material. Group A was a control group treated with a collagen-fibrin double-layered material without hUCMSCs; group B was treated with hUCMSCs combined with a single-layer collagen material; and group C was treated with hUCMSCs combined with the collagen-fibrin double-layered material. To detect the wound-healing rate after treatment with the different methods, histological examination for new skin tissue was performed by hematoxylin-eosin staining. When compared with group A 5 days after surgery, groups B and C showed improved wound healing (differences were significant); 10 days after surgery, group C was better than the other 2 groups (differences were significant); and after 15 days, the wounds had almost completely healed in group C, which hastened the reepithelialization process. Collagen was evenly distributed under the neonatal keratinocytes. The basal layer was flat and combined closely with the collagen, and epithelization was observed by histological examination. These results indicate that the collagen-fibrin double-layered membrane may be used as a skin substitute. If the material is combined with stem cells, such as hUCMSCs, it could play a long-term repair role in wound healing, because the cytokines are released from tissue-engineering materials.
Umbilical cord mesenchymal stem cells are a population of multipotent cells. Wound healing can be accelerated using hUCMSCs treatments.17 The mechanism of wound repair involves many aspects.Early covering of the wound with a dressing material can help prevent infection, and stem cells play an important role in accelerated wound healing by promoting cell differentiation, homing, and paracrine secretion.18,19 The current study’s results showed the presence of a fibrin layer is beneficial for mechanical strengthening of collagen, and the collagen-fibrin double-layered material combined with hUCMSCs improved wound healing. It appears stem cells grow well in the double-layered material, and that the material encourages the stem cells to release cytokines. This mechanism is worthy of further research.
Conclusion
The collagen-fibrin double-layered material developed for this study could be used as a tissue engineering material for promoting wound healing. The double-layered material adds mechanical strength and, when combined with hUCMSCs, the material improved wound healing. These results widened ideas of tissue-engineering skin research.
Acknowledgments
Wenbin Nan, PhD; Hongli Chen, PhD; Zhihao Xu, PhD; Jiannan Chen, MS; Manman Wang, MS; Zhiqing Yuan, PhD are from the Department of Life Sciences and Technology, Xinxiang Medical University, Henan, China; Rui Liu, MS is from Sanquan Medical College, Xinxiang Medical University, Henan, China.
Address correspondence to:
Zhiqing Yuan, PhD
Department of Life Sciences and Technology
Xinxiang Medical University
No. 601 Jinsui Road
Hongqi District Xinxiang 453003
Henan, China
wenbinnancn@126.com
Disclosure: The authors disclose no financial or other conflicts of interest. This study was supported by the Natural Science Research Program of the Education Department in Henan Province (grant no. 13B180214), the Scientific Research Fund of Xinxiang Medical University (grant no. 2014QN137), and Natural Science Foundation of China (grant no. U1304819).
References
1. Biedermann T, Boettcher-Haberzeth S, Reichmann E. Tissue engineering of skin for wound coverage. Eur J Pediatr Surg. 2013;23(5):375-382. 2. Groeber F, Holeiter M, Hampel M, Hinderer S, Schenke-Layland K. Skin tissue engineering--in vivo and in vitro applications. Adv Drug Deliv Rev. 2011;63(4-5):352-366. 3. Zhang Y, Hao H, Liu J, Fu X, Han W. Repair and regeneration of skin injury by transplanting microparticles mixed with Wharton’s jelly and MSCs from the human umbilical cord. Int J Low Extrem Wounds. 2012;11(4):264-270. 4. Biazar E, Keshel SH. The healing effect of stem cells loaded in nanofibrous scaffolds on full thickness skin defects. J Biomed Nanotechnol. 2013;9(9):1471-1482. 5. Chen H, Chen H, Liu L, Yuan P, Zhang Q. The study of improved controlled release of vincristine sulfate from collagen-chitosan complex film. Artif Cells Blood Substit Immobil Biotechnol. 2008;36(4):372-385. 6. de la Puente P, Ludena D. Cell culture in autologous fibrin scaffolds for applications in tissue engineering. Exp Cell Res. 2014;322(1):1-11. 7. Brouwer KM, van Rensch P, Harbers VE, et al. Evaluation of methods for the construction of collagenous scaffolds with a radial pore structure for tissue engineering. J Tissue Eng Regen Med. 2011;5(6):501-504. 8. Whelan D, Caplice NM, Clover AJ. Fibrin as a delivery system in wound healing tissue engineering applications. J Control Release. 2014;196:1-8. 9. Lai VK, Frey CR, Kerandi AM, Lake SP, Tranquillo RT, Barocas VH. Microstructural and mechanical differences between digested collagen-fibrin co-gels and pure collagen and fibrin gels. Acta Biomater. 2012;8(11):4031-4042. 10. Harris DT. Umbilical cord tissue mesenchymal stem cells: characterization and clinical applications. Curr Stem Cell Res Ther. 2013;8(5):394-399. 11. Zhong SP, Zhang YZ, Lim CT. Tissue scaffolds for skin wound healing and dermal reconstruction. Wiley Interdiscip Rev Nanomed Nanobiotechnol. 2010;2(5):510-525. 12. Rea S, Giles NL, Webb S, et al. Bone marrow-derived cells in the healing burn wound--more than just inflammation. Burns. 2009;35(3):356-364. 13. Falanga V. Wound healing and its impairment in the diabetic foot. Lancet. 2005;366(8498):1736-1743. 14. Hayward CJ, Fradette J, Morissette Martin P, Guignard R, Germain L, Auger FA. Using human umbilical cord cells for tissue engineering: a comparison with skin cells. Differentiation. 2014;87(3-4):172-181. 15. Li H, Fu X, Ouyang Y, Cai C, Wang J, Sun T. Adult bone-marrow-derived mesenchymal stem cells contribute to wound healing of skin appendages. Cell Tissue Res. 2006;326(3):725-736. 16. Sasaki M, Abe R, Fujita Y, Ando S, Inokuma D, Shimizu H. Mesenchymal stem cells are recruited into wounded skin and contribute to wound repair by transdifferentiation into multip skin cell type. J Immunol. 2008;180(4):2581-2587. 17. Luo G, Cheng W, He W, et al. Promotion of cutaneous wound healing by local application of mesenchymal stem cells derived from human umbilical cord blood. Wound Repair Regen. 2010;18(5):506-513. 18. Liu L, Yu Y, Hou Y, et al. Human umbilical cord mesenchymal stem cells transplantation promotes cutaneous wound healing of severe burned rats. PloS One. 2014;9(2):e88348. doi: 10.1371/journal.pone.0088348. 19. Yang S, Huang S, Feng C, Fu X. Umbilical cord-derived mesenchymal stem cells: strategies, challenges, and potential for cutaneous regeneration. Front Med. 2012;6(1):41-47. Wounds. 2015;27(5):134-140



