Video AMP 2021
CLI Case Treated from Antegrade Femoral Approach
07/22/2021
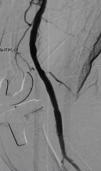
This complex CLI case highlights multilevel treatment in a patient with initial claudication that progressed to rest pain and is successfully treated from an antegrade femoral approach with multiple treatment modalities utilized.
Featuring operator Jihad A. Mustapha, MD, FACC, FSCAI, Advanced Cardiac & Vascular Amputation Prevention Centers; Michigan State University College of Osteopathic Medicine; Grand Rapids, Michigan.
Join us at the Amputation Prevention Symposium (AMP), taking place August 11-14 in Orlando and virtually, to see similar complex cases performed live by expert operators.


