What Is This White Lesion on the Cheek?
Case Report
A 66-year-old male patient with a history of hypertension, hypercholesterolemia, and numerous keratinocyte carcinomas presented to the clinic with a skin-colored papule and an adjacent gritty, hyperkeratotic, erythematous papule on the right cheek. The gritty papule was biopsied for concern of squamous cell carcinoma, and pathology revealed a hyperkeratotic actinic keratosis. At the 6-month follow up, the patient reported continued growth of the papule on the right cheek. Clinically, it appeared as a 5-mm, skin-colored papule adjacent to the previous biopsy scar (Figure 1 and Figure 2). A tangential biopsy was performed due to concern for another keratinocyte neoplasm.
What Is The Diagnosis?
Keep scrolling for the answer!
Diagnosis
Sebaceous Adenoma
Sebaceous glands are an essential component of the skin that produce a unique combination of lipids, known as sebum, under hormonal influences.1,2 Most sebaceous glands develop alongside hair follicles and release their contents into the follicular infundibulum via holocrine secretion.2,3 Free sebaceous glands can be found on the eyelids (meibomian glands); the vermilion of the lips, oral mucosa, and labia minora (Fordyce granules), the areolas (Montgomery tubercles), and the prepuce (Tyson glands).3-5
Sebaceous hyperplasia is a common condition resulting from sebaceous gland hypertrophy. It primarily affects the middle-aged to older population and is uncommon during childhood and adolescence.6 Sebaceous hyperplasia occurs in 1% of the general population; however, its incidence can be as high as 16% in patients on chronic cyclosporine immunosuppression due to its stimulatory effects on undifferentiated sebocytes.7,8
Clinical Presentation and Histology
Sebaceous hyperplasia clinically presents as small, umbilicated, white to yellow papules on the forehead, nose, and cheeks. These lesions are benign, and treatment is considered cosmetic. Histologically, sebaceous hyperplasia presents with increased sebaceous lobules localized superficially in the dermis, surrounding a central pore.9
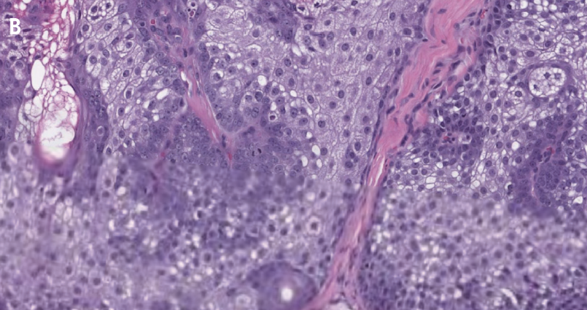
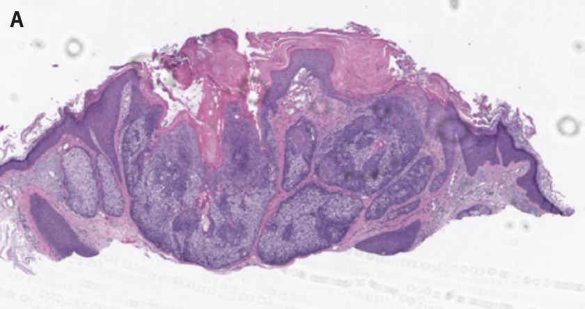
Sebaceous adenomas are true sebaceous neoplasms that present as pink, yellow, or whitish papules or nodules. They have a predilection for the head and neck.10 Similar to sebaceous hyperplasia, sebaceous adenomas have a higher incidence in patients on chronic cyclosporine immunosuppression, affecting as many as 30% of patients receiving this therapy.11-13 Histologically, sebaceous adenomas retain a well circumscribed and lobular architecture with mature sebocytes but show connection to the overlying epithelium. The increase in peripheral basaloid germinative cells distinguishes sebaceous adenomas from hyperplasia.10 Concerning features such as increased mitosis or cytologic atypia are not typically noted.10,14,15
Sebaceomas display a similar distribution to sebaceous adenomas but are generally larger and more yellow in appearance. On histologic examination, basaloid germinative cells outnumber mature sebocytes and compose greater than 50% of the tumor. Although sebaceomas tend to lose the structured lobular architecture, they remain well circumscribed and symmetric without significant cytologic atypia.16
Both sebaceous adenomas and sebaceomas are associated with Muir-Torre syndrome, a rare autosomal dominant disease that occurs secondary to deficits in mismatch repair genes, resulting in sebaceous neoplasms and visceral malignancies.17,18 Screening for Muir-Torre syndrome on biopsy specimens shows loss of expression of MLH1, MSH2, MSH6, and PMS2 in tumors associated with Muir-Torre syndrome but not in sporadically arising tumors.19,20
Like their nonmalignant counterparts, sebaceous carcinomas are more common in older adults. The periocular type is more common than the extraocular type and is more often associated with Muir-Torre syndrome.21 Periocular sebaceous carcinomas are the second most common malignancies in the periocular region after basal cell carcinomas (BCCs).22,23 They typically present as painless nodules on the upper eyelid and are often mistaken for an inflammatory or infectious process, leading to delayed diagnosis.24,25 At the time of diagnosis, lymphovascular extension can be observed in up to 20% of cases.26 Histologically, sebaceous carcinomas demonstrate infiltrative growth and invasion into the dermis, subcutis, and even skeletal muscle of the eyelid.18 Tumor cells often lose evidence of sebaceous differentiation, presenting as pleomorphic cells with high mitotic figures and hyperchromatic nuclei.27
Differential Diagnosis
Given their clinical appearance, the most common differential diagnosis for sebaceous adenomas is BCC. Histologically, the foamy cytoplasm of sebaceous tumors can mimic primary clear cell neoplasms of eccrine, melanocytic, keratinocytic, or xanthomatous lesions or metastatic tumors.18
Treatment
Surgical excision is considered the appropriate treatment for sebaceous adenomas and sebaceomas. However, given their frequent association with Muir-Torre syndrome, patients diagnosed with sebaceous adenomas or sebaceomas should undergo screening to evaluate the risk of internal malignancies.
Our Patient
Evaluation of the biopsy specimen showed a well-circumscribed tumor composed of mature sebocytes arranged in lobular architecture with an increase in peripheral basaloid cells, suggestive of a sebaceous adenoma (Figure 3 and Figure 4). Tumor involvement extended beyond the deep margins. Results were discussed with the patient, who elected to undergo excisional removal, genetic screening, and routine full body examinations, as recommended.
Conclusion
The sebaceous gland is a vital structure that produces a unique cocktail of lipids essential to the normal function of the skin. With increasing age and hormonal changes, sebaceous glands can undergo hyperplasia, which produces a common but benign lesion that mostly carries cosmetic concerns. True sebaceous neoplasms can arise sporadically but may also be associated with Muir-Torre syndrome and mismatch repair gene deficits. Patients with sebaceous adenomas, sebaceomas, or sebaceous carcinomas should undergo screening tests for Muir-Torre syndrome to determine their risk of visceral malignancies. They should also be followed regularly by a dermatologist.
References
1. Hoover E, Aslam S, Krishnamurthy K. Physiology, sebaceous glands. Updated October 14, 2021. In: StatPearls [Internet]. StatPearls Publishing; 2021. https:// www.ncbi.nlm.nih.gov/books/NBK499819
2. Shamloul G, Khachemoune A. An updated review of the sebaceous gland and its role in health and diseases. Part 1: Embryology, evolution, structure, and function of sebaceous glands. Dermatol Ther. 2021;34(1):e14695. doi:10.1111/dth.14695
3. Bolognia JL, Schaffer JV, Duncan KO, Ko CJ. Dermatology Essentials. 2nd ed. Elsevier; 2021:1054.
4. McCulley JP, Shine WE. The lipid layer of tears: dependent on meibomian gland function. Exp Eye Res. 2004;78(3):361-365. doi:10.1016/s0014-4835(03)00203-3
5. Butovich IA. Meibomian glands, meibum, and meibogenesis. Exp Eye Res. 2017;163:2-16. doi:10.1016/j.exer.2017.06.020
6. Ireland AM, Harvey NT, Berry BD, Wood BA. Paediatric cutaneous adnexal tumours: a study of 559 cases. Pathology. 2017;49(1):50-54. doi:10.1016/j. pathol.2016.10.003
7. Boschnakow A, May T, Assaf C, Tebbe B, Zouboulis CC. Ciclosporin A-induced sebaceous gland hyperplasia. Br J Dermatol. 2003;149(1):198-200. doi:10.1046/ j.1365-2133.2003.05397.x
8. de Berker DA, Taylor AE, Quinn AG, Simpson NB. Sebaceous hyperplasia in organ transplant recipients: shared aspects of hyperplastic and dysplastic processes? J Am Acad Dermatol. 1996;35(5 Pt 1):696-699. doi:10.1016/s0190- 9622(96)90723-9
9. Prioleau PG, Santa Cruz DJ. Sebaceous gland neoplasia. J Cutan Pathol. 1984;11(5):396-414. doi:10.1111/j.1600-0560.1984.tb00397.x
10. Rulon DB, Helwig EB. Cutaneous sebaceous neoplasms. Cancer. 1974;33(1):82- 102. doi:10.1002/1097-0142(197401)33:1<82::aid-cncr2820330115>3.0.co;2-4
11. Reinhart J, James WD. Sebaceous adenoma in the setting of immunosuppression for kidney transplantation. JAAD Case Rep. 2019;5(9):818-820. doi:10.1016/j. jdcr.2019.07.027
12. Griffard EA, McCoppin HH, Wieberg J, Feldman M. The cutaneous effects of post-transplant immunosuppression with cyclosporine in Muir-Torre syndrome. J Am Acad Dermatol. 2011;64(5):e86-e87. doi:10.1016/j.jaad.2010.08.023
13. Imko-Walczuk B, Kryś A, Lizakowski S, et al. Sebaceous carcinoma in patients receiving long-term immunosuppresive treatment: case report and literature review. Transplant Proc. 2014;46(8):2903-2907. doi:10.1016/j.transproceed.2014.09.064
14. Kazakov DV, Kutzner H, Spagnolo DV, Rütten A, Mukensnabl P, Michal M. Discordant architectural and cytological features in cutaneous sebaceous neoplasms—a classification dilemma: report of 5 cases. Am J Dermatopathol. 2009;31(1):31-36. doi:10.1097/DAD.0b013e31818520bf
15. Resnik KS. Classifying neoplasms with sebaceous differentiation—a reviewer’s comments. Am J Dermatopathol. 2009;31(1):94-96. doi:10.1097/ DAD.0b013e318185a6a5
16. Misago N, Mihara I, Ansai S, Narisawa Y. Sebaceoma and related neoplasms with sebaceous differentiation: a clinicopathologic study of 30 cases. Am J Dermatopathol. 2002;24(4):294-304. doi:10.1097/00000372-200208000-00002
17. Vidal CI, Sutton A, Armbrect EA, et al. Muir-Torre syndrome appropriate use criteria: effect of patient age on appropriate use scores. J Cutan Pathol. 2019;46(7):484-489. doi:10.1111/cup.13459
18. Shalin SC, Lyle S, Calonje E, Lazar AJ. Sebaceous neoplasia and the Muir-Torre syndrome: important connections with clinical implications. Histopathology. 2010;56(1):133-147. doi:10.1111/j.1365-2559.2009.03454.x
19. Boennelycke M, Thomsen BM, Holck S. Sebaceous neoplasms and the immunoprofile of mismatch-repair proteins as a screening target for syndromic cases. Pathol Res Pract. 2015;211(1):78-82. doi:10.1016/j.prp.2014.10.002
20. North JP. Molecular genetics of sebaceous neoplasia. Surg Pathol Clin. 2021;14(2):273-284. doi:10.1016/j.path.2021.03.005
21. Dores GM, Curtis RE, Toro JR, Devesa SS, Fraumeni JF. Incidence of cutaneous sebaceous carcinoma and risk of associated neoplasms: insight into Muir-Torre syndrome. Cancer. 2008;113(12):3372-3381. doi:10.1002/cncr.23963
22. Xu XL, Li B, Sun XL, et al. Eyelid neoplasms in the Beijing Tongren Eye Centre between 1997 and 2006. Ophthalmic Surg Lasers Imaging. 2008;39(5):367-372. doi:10.3928/15428877-20080901-18
23. Deprez M, Uffer S. Clinicopathological features of eyelid skin tumors. A retrospective study of 5504 cases and review of literature. Am J Dermatopathol. 2009;31(3):256-262. doi:10.1097/DAD.0b013e3181961861
24. Buitrago W, Joseph AK. Sebaceous carcinoma: the great masquerader: emgerging concepts in diagnosis and treatment. Dermatol Ther. 2008;21(6):459-466. doi:10.1111/j.1529-8019.2008.00247.x
25. Dowd MB, Kumar RJ, Sharma R, Murali R. Diagnosis and management of sebaceous carcinoma: an Australian experience. ANZ J Surg. 2008;78(3):158-163. doi:10.1111/j.1445-2197.2007.04393.x
26. Rao NA, Hidayat AA, McLean IW, Zimmerman LE. Sebaceous carcinomas of the ocular adnexa: a clinicopathologic study of 104 cases, with five-year follow-up data. Hum Pathol. 1982;13(2):113-122. doi:10.1016/s0046-8177(82)80115-9
27. Pereira PR, Odashiro AN, Rodrigues-Reyes AA, Correa ZM, de Souza Filho JP, Burnier MN. Histopathological review of sebaceous carcinoma of the eyelid. J Cutan Pathol. 2005;32(7):496-501. doi:10.1111/j.0303-6987.2005.00371.x


