What Is This Rubbery Nodule on the Antitragus?
Case Report
A 90-year-old man with a history of diffuse actinic skin damage and multiple nonmelanoma skin cancers postexcision presented with a painless lesion on his left antitragus. He reported the lesion had grown slowly over the last 2 years. He was bothered by the appearance, prompting him to obtain an evaluation for removal.
A physical examination revealed a 2 × 2-cm rubbery, nontender, firm, mobile nodule with no visible central punctum on the left antitragus area (Figure 1 and Figure 2). Possible diagnoses, further management, risks and benefits of surgical removal, and alternative treatment options were discussed with the patient. Surgical excision of the nodule was performed based on patient preference.
What Is The Diagnosis?
Keep scrolling for the answer!
Diagnosis
Angioleiomyoma
Angioleiomyomas, also known as angiomyomas, vascular leiomyomas, or dermal angiomas, are benign, solitary, subcutaneous smooth muscle tumors arising from the muscularis layer (tunica media) of blood vessel walls. Angioleiomyomas represent 5% of benign soft tissue tumors and are difficult to diagnose before excision.1
Clinical Presentation and Histology
Angioleiomyomas typically present as solitary, firm, mobile, flesh-colored subcutaneous nodules with gradual growth, usually measuring less than 2 cm in diameter.1 They show a slight predilection for women and tend to present between ages 30 and 60 years.2
In a comprehensive study of 562 patients, Hachisuga and colleagues found that angioleiomyomas can occur anywhere but most commonly present on the extremities (89%), usually the lower legs, with only 48 patients presenting with angioleiomyomas on the head (8%).2 About 60% of patients reported pain, typically paroxysmal and triggered by various stimuli, including skin contact, cold water, or wind.2 The majority of patients reported no initial symptoms, with pain developing over time. Notably, tumors in the cephalic region were painless.2
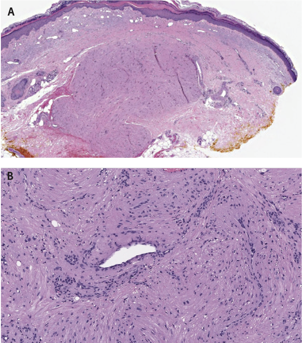
Hachisuga and colleagues classified the angioleiomyomas into 3 subtypes based on their histologic appearance: solid, venous, and cavernous.2 Solid tumors were the most common and displayed many small, slit-like vascular channels surrounded and intervened by smooth muscle bundles. Venous tumors exhibited veins with thicker muscular walls that were easily discernible from the looser smooth muscle bundles. Cavernous tumors had dilated vessels with thinner walls and smaller amounts of smooth muscle, making it difficult to distinguish between the 2 elements.2
Etiopathogenesis
There are no definitive explanations for why angioleiomyomas arise, but a few theories exist. The first is that angioleiomyomas occur as a response to minor trauma, supported by the fact that the most common location is the lower leg.1 Another theory suggests a correlation with estrogen hormonal changes, supported by the slight female predominance. Finally, changes related to venous stasis have been proposed, supported by the presence of chronic inflammatory cells in some cases on histology.1
The reason for discomfort is unknown, but several mechanisms have been suggested. Constriction of vessels in response to local injury or fluctuations in temperature leading to local ischemia could lead to discomfort.3 Geddy and colleagues proposed a related but different mechanism, postulating that given the high vascularity of angioleiomyomas, ischemia is unlikely, but pain could be due to smooth muscle relaxation after contraction, resulting in congestion and leading to painful compression of local nerves.4 Their theory is supported by reported pain in lower extremity angioleiomyomas, likely caused by increased venous pressure and subsequent edema postvasodilation.4
Differential Diagnosis
Diagnosis can presumptively be made clinically based on pain with prototypical location, but excision and histopathologic examination are required for confirmation (eTable).5-7
Treatment
Management depends on symptoms and patient preference. Treatment with local excision and pathology review is curative and concurrently diagnostic.2 Interestingly, some extremity angioleiomyomas shrink significantly as patients age.8 A few case reports describe angioleiomyomas occurring on the ear, including the auricle, helix, pinna, and lobule.3, 9-11 All were diagnosed and treated with skin-sparing surgical excisions, with no recurrence reported to date.
Prognosis is excellent, with recurrence being rare after simple surgical excision. Hachisuga and colleagues noted only 2 cases of recurrence of the same benign tumor within their extensive review of 562 patients at 1 and 7 years after surgery.2 Although exceedingly rare, recurrence with malignant transformation has been reported postexcision on 2 separate occasions, indicating the need for patient education and follow-up, especially in patients with recurrence.2 The malignant variant of angioleiomyoma, primary vascular leiomyosarcoma, is also uncommon, accounting for only 7% of all soft tissue sarcomas.12
Our Patient
Pathologic evaluation of the biopsy specimen showed a dermal, nodular, demarcated lesion with spindle cell proliferation. The cells within the lesion contained abundant eosinophilic cytoplasm and cigar-shaped nuclei with minimal pleomorphism. No necrosis, increased mitosis, or atypical mitotic figures were seen. Within the lesion, there were slit-like vascular spaces. The overall morphological and immunohistochemical findings were diagnostic of angioleiomyoma (Figure 3). The patient tolerated the procedure well and returned 1 week later for suture removal (Figure 4). At the 6-month follow-up, the patient demonstrated a well-healed surgical scar and no recurrence of the lesion.
Conclusion
Angioleiomyomas are benign subcutaneous tumors that tend to occur on the lower extremities. These tumors are generally small, slow-growing, and sometimes associated with pain. Clinical diagnosis is challenging and can be confirmed with local excision and pathology review. Recurrence is extremely rare, so surgical excision is usually curative.
Nadine Abouchaleh is a recent graduate of the University of Illinois College of Medicine at Rockford in Rockford, IL. Dr Khachemoune is the Derm DX section editor and a dermatologist affiliated with SUNY Downstate and VA New York Harbor Care-Brooklyn in Brooklyn, NY.
References
1. Ramesh P, Annapureddy SR, Khan F, Sutaria PD. Angioleiomyoma: a clinical, pathological and radiological review. Int J Clin Pract. 2004;58(6):587-591. doi:10.1111/j.1368-5031.2004.00085.x
2. Hachisuga T, Hashimoto H, Enjoji M. Angioleiomyoma. A clinicopathologic reappraisal of 562 cases. Cancer. 1984;54(1):126-130. doi:10.1002/1097- 0142(19840701)54:1<126::aid-cncr2820540125>3.0.co;2-f
3. Wirth GA, Sundine MJ, Kong AP, Carpenter PM. Auricular angioleiomyoma: a case report and review of the literature. Ear Nose Throat J. 2007;86(5):281-283. doi:10.1177/014556130708600512
4. Geddy PM, Gray S, Reid WA. Mast cell density and PGP 9.5-immunostained nerves in angioleiomyoma: their relationship to painful symptoms. Histopathology. 1993;22(4):387-390. doi:10.1111/j.1365-2559.1993.tb00141.x
5. Darrow DH, Greene AK, Mancini AJ, Nopper AJ. Diagnosis and management of infantile hemangioma: executive summary. Pediatrics. 2015;136(4):786-791. doi:10.1542/peds.2015-2482
6. Holst VA, Junkins-Hopkins JM, Elenitsas R. Cutaneous smooth muscle neoplasms: clinical features, histologic findings, and treatment options. J Am Acad Dermatol. 2002;46(4):477-794. doi:10.1067/mjd.2002.121358
7. Gombos Z, Zhang PJ. Glomus tumor. Arch Pathol Lab Med. 2008;132(9):1448-1452. doi:10.5858/2008-132-1448-gt
8. Freedman AM, Meland NB. Angioleiomyomas of the extremities: report of a case and review of the Mayo Clinic experience. Plast Reconstr Surg. 1989;83(2):328-331.
9. Oh JH, Park JM, Choi H, Choi Y. Two cases of angioleiomyoma of the auricle.
J Int Adv Otol. 2015;11(1):95-96. doi:10.5152/iao.2015.254
10. Kim HU, Mun JH, Park SH, Yun SK, Ihm CW. Angioleiomyoma on the helix of the ear. J Dermatol. 2004;31(10):858-859. doi:10.1111/j.1346-8138.2004.tb00618.x
11. Picciotti PM, Cantore I, La Greca C, Di Nardo W, Scarano E. Angioleiomyoma of the external auditory canal. Am J Otolaryngol. 2007;28(4):235-237. doi:10.1016/j. amjoto.2006.08.011
12. Woo KS, Kim SH, Kim HS, Cho PD. Clinical experience with treatment of angioleiomyoma. Arch Plast Surg. 2014;41(4):374-378. doi:10.5999/aps.2014.41.4.374


