What Is This Pink, Pedunculated Papule on the Lower Back?
Case Report
A 96-year-old, light-skinned woman with a history of hypothyroidism, hypertension, and squamous cell carcinoma presented to our clinic with a skin growth on her back of at least 12 months’ duration. Of note, the patient had a remote history of breast cancer that had been treated with lumpectomy and radiation therapy about 20 years prior. Her current medications included levothyroxine, amlodipine-benazepril, vitamin B12, and vitamin D3.
The physical examination findings were remarkable for waxy, brown papules on the trunk and extremities with a “stuck-on” appearance. On her mid-lower back, the patient had a skin-colored to pink pedunculated papule with surrounding brown crust. (Figure 1) The lesion was not particularly painful or itchy but was irritating to the patient because of its location near the bra strap line. The lesion was removed via shave biopsy and results are awaiting confirmation.
What Is The Diagnosis?
Keep scrolling for the answer!
Diagnosis
Basal Cell Carcinoma, Fibroepithelioma of Pinkus Type
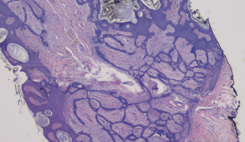
This patient’s skin growth was confirmed via biopsy to be fibroepithelial basal cell carcinoma (BCC), which is characterized as a rare subtype of BCC known as fibroepithelioma of Pinkus (FeP). (Figure 2)
Skin cancer is the most common type of cancer in the United States, with BCC accounting for about 80% of nonmelanoma cases.1 BCC is associated with intermittent episodes of intense sun exposure throughout a person’s lifetime versus continuous exposure, as observed in squamous cell carcinoma (SCC).1 Further, immunosuppression is a well-known risk factor for developing BCC and SCC. First delineated by Hermann Pinkus in 1953, FeP typically affects adults older than age 50 years, with a slight predilection for women.2,3 The most common site of involvement is the trunk, particularly the lumbosacral area.3 In general, BCCs most frequently affect the head and neck.2 FeP consists of asymptomatic, pedunculated or dome-shaped papules or nodules that may appear in clusters.3,4 Colors may vary from pink to reddish-brown or skin colored.3 Because FeP can mimic other benign skin growths, biopsy is required to confirm the diagnosis.
Clinical Presentation and Histology
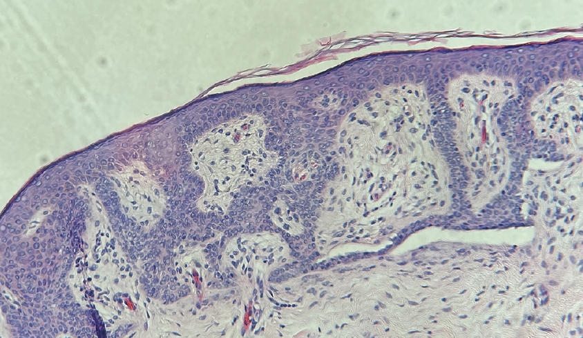
Histopathologic findings may reveal tumor islands and anastomosing strands of basaloid, palisading cells residing in a fibromatous stroma.4 These downward projections of basaloid strands may follow a fenestrated pattern and extend as deep as the reticular dermis.2 (Figure 3) Like the typical BCC, there may be palisading, columnar cells bordering the tumor islands, as well as clefts separating the fenestrations and stroma filled with mucin.2 (Figure 4) Reported to grow over the course of 8 years, these lesions have a low likelihood of metastasis, and the prognosis is generally favorable.3 Tools, such as dermoscopy and reflectance confocal microscopy, are increasingly used to distinguish subtle, fine characteristics among different neoplastic skin processes that appear clinically similar to the naked eye. However, obtaining histopathologic confirmation through biopsy is necessary because these skin growths may clinically simulate amelanotic melanoma, among other life-threatening cutaneous neoplasms.4
Differential Diagnosis
The differential diagnosis of FeP includes seborrheic keratosis, SCC, amelanotic melanoma, and acrochordon.5-9 (eTable)
Treatment
There are a variety of surgical techniques to remove BCCs, including FeP, depending on the tumor’s location and size.10 A primary, low-risk BCC may be safely and effectively removed via complete excision, with a greater than 99% cure rate noted at 5 years.1,2 However, Mohs micrographic surgery remains the most effective surgical modality with the highest rate of clearance and lowest risk of recurrence. Usually reserved for superficial BCCs, topical agents include 5-fluorouracil and imiquimod, although the latter may be ineffective for FeP.1,10
Preventive modalities to reduce UV exposure are essential to optimize skin cancer management. Sun protection, including use of wide-brimmed hats and sunscreen with an SPF of at least 30, helps lower skin cancer incidence, although less so for BCC than SCC.10 Moreover, in early studies, novel medical treatments such as oral nicotinamide have been shown to lower the risk of new nonmelanoma skin cancers.5 Other promising chemopreventive agents include polyphenolic antioxidants, such as epigallocatechin gallate (found in green tea and grape seed extract), silymarin, isoflavone genistein, curcumin, lycopene, vitamin E, ß-carotene (found in sweet potatoes, carrots, and pumpkin), and selenium.10
Our Patient
Two months after presentation, our patient successfully underwent Mohs micrographic surgery without complication. Four years later—at 100 years of age—the patient continues to present to the outpatient dermatology clinic for routine skin examinations and has not experienced any recurrences.
Conclusion
Histopathologic evaluation is important even when there is a low suspicion of malignancy. Banal-appearing lesions can harbor a malignancy; therefore, histopathologic evaluation should be performed on suspicious skin growths as deemed appropriate. Common and harmless entities such as acrochordons may appear clinically similar to FeP, warranting an appropriate workup that includes biopsy.
References
- Rubin AI, Chen EH, Ratner D. Basal-cell carcinoma. N Eng J Med. 2015;353(21)2262-2269. doi:10.1056/NEJMra044151
- Haddock ES, Cohen PR. Fibroepithelioma of Pinkus revisited. Dermatol Ther (Heidelb). 2016;6(3):347-362. doi:10.1007/s13555-016-0123-8
- Bartos V, Pokorny D, Zacharova O, Kullova M, Adamicova K, Pec M. Fibroepithelioma of Pinkus. Bratisl Lek Listy. 2012;113(10):624-627. doi:10.4149/bll_2012_142
- Reggiani C, Zalaudek I, Piana S, et al. Fibroepithelioma of Pinkus: case reports and review of the literature. Dermatology. 2013;2262(3):207-211. doi:10.1159/000348707
- James W, Elston D, Treat J, Rosenbach M, Micheletti R. Chapter 29: Epidermal nevi, neoplasms, and cysts. In: James W, Elston D, Treat J, Rosenbach M, Micheletti R. Andrews' Diseases of the Skin: Clinical Dermatology. 13th ed. Elsevier; 2019.
- Combalia A, Carrera C. Squamous cell carcinoma: an update on diagnosis and treatment. Dermatol Pract Concept. 2020;10(3):e2020066. doi:10.5826/dpc.1003a66
- Thomas NE, Kricker A, Waxweiler WT, et al. Comparison of clinicopathologic features and survival of histopathologically amelanotic and pigmented melanomas: a population-based study. JAMA Dermatol. 2014;150(12):1306-1314. doi:10.1001/jamadermatol.2014.1348
- Koch SE, Lange JR. Amelanotic melanoma: the great masquerader. J Am Acad Dermatol. 2000;42(5 Pt 1):731-734. doi:10.1067/mjd.2000.103981
- Belgam Syed SY, Lipoff JB, Chatterjee K. Acrochordon. In: StatPearls [Internet]. StatPearls Publishing; 2021. https://www.ncbi.nlm.nih.gov/books/NBK448169
- Bolognia JL, Schaffer JV, Cerroni L. Chapter 108: Actinic keratosis, basal cell carcinoma, and squamous cell carcinoma. In: Bolognia JL, Schaffer JV, Cerroni L. Dermatology. 4th ed. Elsevier; 2018.
- Johnston RB. Weedon's Skin Pathology Essentials. 2nd ed. Elsevier; 2016.
- Napolitano M, Didona B, Passarelli F, Annessi G, Bono R. Amelanotic melanoma mimicking cutaneous epitheliomas. J Am Acad Dermatol. 2014;70(4):e75-e76. doi:10.1016/j.jaad.2013.10.012
Author Bio
Dr McNamara is a resident in the department of dermatology at Broward Health Medical Center in Fort Lauderdale, FL. Dr Akhtar is a board-certified dermatologist in the department of dermatology at the Cleveland Clinic Florida in Weston, FL.
Disclosure: The authors report no relevant financial relationships.


