What Is This Papular Lesion on the Lower Eyelid?
Case Report
A 48-year-old male patient presented to the dermatology clinic with a 5-year history of a slow-growing, asymptomatic papule on his left lower eyelid. He had no personal history of skin cancer or other medical problems and was not taking any medications. On physical examination, a 0.6-cm, flesh-colored, smooth, dome-shaped papule was present on the left lower eyelid (Figure 1). No other growths were seen on his face, neck, or upper trunk.
What Is The Diagnosis?
Check your answer below.
Diagnosis: Fibrofolliculoma
Fibrofolliculomas are benign neoplasms arising from hair follicles that may be solitary or multiple.1,2 Multiple fibrofolliculomas and trichodiscomas are classically associated with Birt-Hogg-Dubé syndrome (BHDS), an autosomal dominant condition caused by a mutation in the folliculin, or FLCN, gene located on chromosome 17p. BHDS is associated with the development of renal carcinoma, lung cysts, and spontaneous pneumothorax.3 Acrochordons, lipomas, angiolipomas, collagenomas, angiofibromas, intestinal polyps, thyroid tumors, and parathyroid tumors may also be found in this condition.4,5
Clinical Presentation and Histopathology
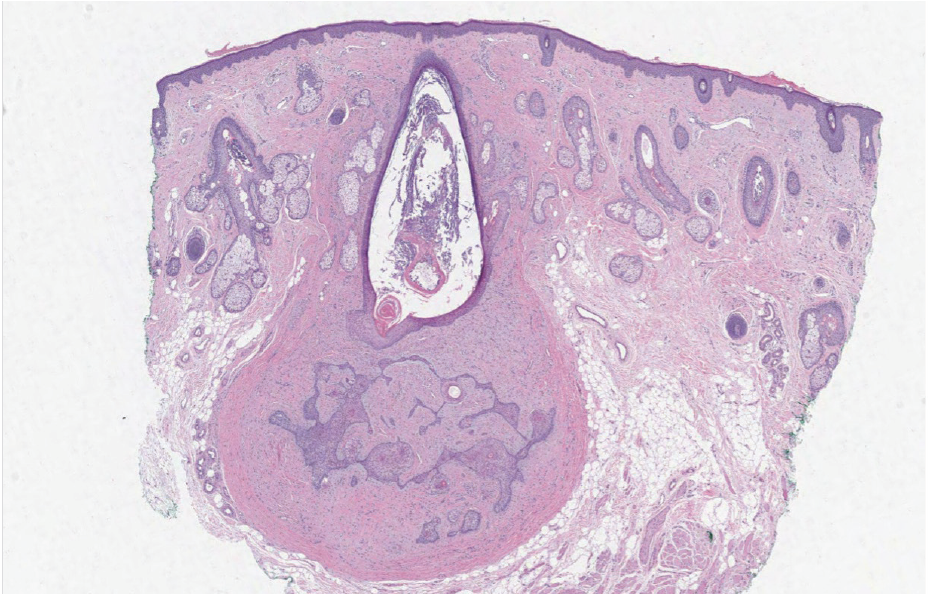
Fibrofolliculomas present as 2- to 4-mm flesh to white-colored, dome-shaped, smooth papules that appear on the head, neck, or upper trunk. They are asymptomatic and do not regress.1 On histology, fibrofolliculomas are identified as thin epithelial strands extending from a hair follicle and into either a mucinous or sclerotic stroma.6
Differential Diagnosis
The differential diagnosis includes trichodiscomas, angiofibroma, cutaneous neurofibroma, acrochordon, trichilemmomas, desmoplastic trichilemmomas, trichoepitheliomas, and basaloid follicular hamartoma (eTable 1).7-13 Properly identifying domed-shaped papules appearing on the head and neck is important because of their association with certain syndromes and diseases. In addition to BHDS, other syndromes presenting with facial papules include Brooke-Spiegler syndrome, Cowden syndrome, basaloid follicular hamartoma syndrome, tuberous sclerosis, and Rombo syndrome (eTable 2).14-20
Given the association of both fibrofolliculomas and trichodiscomas with BHDS, some authors consider both of these benign neoplasms to be a singular entity in different stages of development.21 Although histopathologic analysis can often confirm the diagnosis of fibrofolliculoma, overlapping features may be found in the angiofibromas of tuberous sclerosis, specifically positive immunostaining with CD34 and factor XIIIa, as well as follicular and perifollicular elements.22 Therefore, establishing the diagnosis of BHDS may often require significant clinical-pathologic correlation, as well as obtaining a focused family history.23
Treatment
Once fibrofolliculomas have developed, they are permanent. These lesions are benign and do not require treatment. However, if multiple lesions are present, they may become cosmetically disfiguring. Treatment options include surgical excision, dermabrasion, laser, cautery, and curettage.11 Recurrence is common.24,25 Patients with BHDS should be screened for pulmonary cysts and renal cell carcinoma. Pulmonary cysts carry a significant risk of spontaneous pneumothorax, which is a frequent cause of morbidity and mortality in this condition.26
Our Patient
A deep tangential shave biopsy was performed. Histopathologic analysis revealed epithelial strands radiating outward from a central follicular structure within a fibrous orb (Figure 2 and Figure 3). The histopathologic features were consistent with a diagnosis of a solitary fibrofolliculoma. Upon further discussion with the patient, no first-degree relatives reported having similar facial papules, and his family history was negative for spontaneous pneumothorax or renal cell carcinoma, thus excluding BHDS as the etiology.
Conclusion
Fibrofolliculomas are benign papules frequently seen on the head, neck, and upper trunk. Upon clinical examination, these tumors can mimic a wide variety of facial papules, and thus clinical-pathologic correlation is essential for arriving at the correct diagnosis. Although they are benign, these papules have been associated with BHDS. Recognizing this syndrome is important because it is associated with the development of kidney cancer and spontaneous pneumothorax.
References
1. Toro JR, Glenn G, Hou L, et al. Facial papules, spontaneous pneumothorax, and renal tumors. J Am Acad Dermatol. 2003;48(1):111-114. doi:10.1067/mjd.2003.67
2. Starink TM, Brownstein MH. Fibrofolliculoma: solitary and multiple types. J Am Acad Dermatol. 1987;17(3):493-496. doi:10.1016/s0190-9622(87)70235-7
3. Schmidt LS, Linehan WM. FLCN: the causative gene for Birt-Hogg-Dubé syndrome. Gene. 2018;640:28-42. doi:10.1016/j.gene.2017.09.044
4. Vincent A, Farley M, Chan E, James WD. Birt-Hogg-Dubé syndrome: a review of the literature and the differential diagnosis of firm facial papules. J Am Acad Dermatol. 2003;49(4):698-705. doi:10.1067/s0190-9622(03)01582-2
5. Ubogy-Rainey Z, James WD, Lupton GP, Rodman OG. Fibrofolliculomas, trichodiscomas, and acrochordons: the Birt-Hogg-Dubé syndrome. J Am Acad Dermatol. 1987;16(2):452-457. doi:10.1016/s0190-9622(87)70060-7
6. Scully K, Bargman H, Assaad D. Solitary fibrofolliculoma. J Am Acad Dermatol. 1984;11(2):361-363. doi:10.1016/s0190-9622(84)70173-3
7. Misago N, Kimura T, Narisawa Y. Fibrofolliculoma/trichodiscoma and fibrous papule (perifollicular fibroma/angiofibroma): a revaluation of the histopathological and immunohistochemical features. J Cutan Pathol. 2009;36(9):943-951. doi:10.1111/j.1600-0560.2009.01198.x
8. Zhao M, Sun K, Li C, et al. Angiofibroma of soft tissue: clinicopathologic study of 2 cases of a recently characterized benign soft tissue tumor. Int J Clin Exp Pathol. 2013;6(10):2208-2215.
9. Ortonne N, Wolkenstein P, Blakeley JO, et al. Cutaneous neurofibromas: current clinical and pathologic issues. Neurology. 2018;91(2 suppl 1):S5-S13. doi:10.1212/WNL.0000000000005792
10. Hidayat AA, Font RL. Trichilemmoma of eyelid and eyebrow. A clinicopathologic study of 31 cases. Arch Ophthalmol. 1980;98(5):844-847. doi:10.1001/archopht.1980.01020030838007
11. Tellechea O, Reis JP, Baptista AP. Desmoplastic trichilemmoma. Am J Dermatopathol. 1992;14(2):107-114. doi:10.1097/00000372-199204000-00004
12. du Toit JP, Schneider JW, Visser WI, Jordaan HF. The clinicopathological spectrum of trichoepitheliomas: a retrospective descriptive study. Int J Dermatol. 2016;55(3):270-277. doi:10.1111/ijd.12855
13. Choi E, Liau M, Huang J, Tan KB, Aw D. Basaloid follicular hamartoma: clinical, dermoscopic, and histopathological characteristics of case. Dermatol Online J. 2017;23(5):13030/qt3xn054wf.
14. Mohiuddin W, Laun J, Cruse W. Brooke-Spiegler syndrome. Eplasty. 2018;18:ic14.
15. Rathi M, Awasthi S, Budania SK, Ahmad F, Dutta S, Kumar A. Brooke-Spiegler syndrome: a rare entity. Case Rep Pathol. 2014;2014:231895. doi:10.1155/2014/231895
16. Lopes S, Vide J, Moreira E, Azevedo F. Cowden syndrome: clinical case and a brief review. Dermatol Online J. 2017;23(8):13030/qt0023k3x0.
17. Brownstein MH. Basaloid follicular hamartoma: solitary and multiple types. J Am Acad Dermatol. 1992;27(2 Pt 1):237-240. doi:10.1016/0190-9622(92)70177-h
18. Wheeler CE Jr, Carroll MA, Groben PA, Briggaman RA, Prose NS, Davis DA. Autosomal dominantly inherited generalized basaloid follicular hamartoma syndrome: report of a new disease in a North Carolina family. J Am Acad Dermatol. 2000;43(2 Pt 1):189-206. doi:10.1067/mjd.2000.108018.
19. Schwartz RA, Fernández G, Kotulska K, Jóźwiak S. Tuberous sclerosis complex: advances in diagnosis, genetics, and management. J Am Acad Dermatol. 2007;57(2):189-202. doi:10.1016/j.jaad.2007.05.004.
20. Ashinoff R, Jacobson M, Belsito DV. Rombo syndrome: a second case report and review. J Am Acad Dermatol. 1993;28(6):1011-1014. doi:10.1016/s0190-9622(08)80656-1.
21. Weedon D. Weedon’s Skin Pathology. 3rd ed. Churchill Livingstone Elsevier; 2010:460.
22. Misago N, Kimura T, Narisawa Y. Fibrofolliculoma/trichodiscoma and fibrous papule (perifollicular fibroma/angiofibroma): a revaluation of the histopathological and immunohistochemical features. J Cutan Pathol. 2009;36(9):943-951. doi:10.1111/j.1600-0560.2009.01198.x
23. Torricelli E, Occhipinti M, Cavigli E, et al. The relevance of family history taking in the detection and management of Birt-Hogg-Dubé syndrome. Respiration. 2019;98(2):125-132. doi:10.1159/000498973
24. Farrant PB, Emerson R. Letter: hyfrecation and curettage as a treatment for fibrofolliculomas in Birt-Hogg-Dube syndrome. Dermatol Surg. 2007;33(10):1287-1288. doi:10.1111/j.1524-4725
25. Gambichler T, Wolter M, Altmeyer P, Hoffman K. Treatment of Birt-Hogg-Dubé syndrome with erbium:YAG laser. J Am Acad Dermatol. 2000;43(5):856-858. doi:10.1067/mjd.2000.109294
26. Marciniak SJ, Johnson SR. Pneumothorax and the biology of Birt-Hogg-Dubé syndrome. Thorax. 2020;75(6):442-443. doi:10.1136/thoraxjnl-2020-214861


