What Is This Nodule on the Psoriatic Plaque on the Elbow?
© 2023 HMP Global. All Rights Reserved.
Any views and opinions expressed are those of the author(s) and/or participants and do not necessarily reflect the views, policy, or position of The Dermatologist or HMP Global, their employees, and affiliates.
Case Report
A 70-year-old man presented to the office with concern for a growth developing in a preexisting psoriatic plaque on the left elbow. The patient related that he had noticed this lesion for about 5 months. He initially thought the area might be a “boil” and ignored it. When the area did not heal, he presented for evaluation. His past medical history was significant for a nephrectomy at 3 months of age secondary to reported actinomycosis and psoriasis without history suggestive of psoriatic arthritis. He reported use of topical agents previously for his psoriasis and a very brief (1 month) course of phototherapy more than 20 years prior. No use of systemic agents was reported. On physical examination, a 1.8- x 1.6-cm scaly nodule was noted over a scaly, pink, well-demarcated plaque on the extensor aspect of the left elbow (Figure 1). Two small macules, with a purplish hue noted on dermoscopy, were present on the superior and inferior aspects of the nodule. The patient additionally had scaly pink patches on the right elbow, extensor knees, and prominently on his bilateral hands.
What Is Your Diagnosis?
Check your answer below!
Diagnosis: Amelanotic Melanoma Developing in Plaque Psoriasis
Psoriasis is a chronic disease resulting from systemic inflammation. Patients with psoriasis not only exhibit cutaneous manifestations but are also at increased risk for systemic complications particularly atherosclerosis.1A variety of cytokines are implicated in the pathophysiology of psoriasis including Tumor Necrosis Factor-alpha (TNFa), IL-17 and IL-23.2 The phenotypic features of psoriatic plaques would suggest a propensity to malignant conversion. These features include chronic inflammation, angiogenesis, keratinocyte hyperplasia, resistance to apoptosis, altered differentiation, and elevated telomerase levels. The association of chronic inflammation with an increased risk of malignant conversion is well established in several disease processes including chronic esophagitis (esophageal cancer), chronic hepatitis (hepatocellular carcinoma), inflammatory bowel disease (colon cancer), and a variety of chronic inflammatory conditions of the skin. Yet, despite the seeming predisposition, malignant transformation of psoriasis plaques is extremely rare.3
A suggested explanation is that senescence develops in the mid and upper epidermal levels of psoriatic plaques. These senescent keratinocytes may not only endow resistance to apoptosis, but also to malignant transformation. An increase in cyclin-dependent kinase inhibitors, like p16, may play a role.3 This protein is encoded by the CDKN2A gene, which is commonly deleted or mutated in malignant tumors.4 Aberrations of p16 expression have been noted in patients with invasive cutaneous squamous cell carcinomas(cSCC) and melanomas.3
In the late 1880s, British physician Dr Jonathon Hutchinson noted that many of his psoriasis patients who had ingested arsenic (at the time, a common medical treatment) developed cSCC, but typically at sites uninvolved by psoriasis.3 Similarly, Psoralen-UV-A (PUVA) treatment for psoriasis has been linked with an increased risk for developing cSCC and melanoma.3,5 These malignancies typically do not develop in existing psoriasis plaques but rather in uninvolved skin.3
Epidemiology
Conflicting literature exists regarding the association of psoriasis and skin cancer. Data from the Western Canada Melanoma Study, published in 1986, examined 651 patients with melanoma and matched controls. No increased risk for melanoma was noted in patients with a history of psoriasis.6 Recent research has not provided clarity on this issue. A large retrospective study showed that psoriasis patients had a significantly lower likelihood of developing melanomas compared with patients without skin disease.7,8 In contrast, a case control and retrospective cohort study found that patients with psoriasis had an increased risk of developing melanoma and hematologic malignancies.9
Treatment of psoriasis with PUVA has been shown to cause a considerable increase in the risk of cSCC and, after a more extended period, melanoma. UV-B phototherapy, especially narrowband, to date does not appear to be associated with an increased risk of skin cancer.5,6,10
Immunosuppressants used in treating psoriasis, including methotrexate and cyclosporine, are associated with an increased risk of skin cancers, primarily cSCC. Transplant patients on continued treatment with cyclosporine have an escalating risk year to year of developing cSCC. A prior study showed the most common cause of mortality for renal transplant patients on cyclosporine to be metastatic cSCC.10 Fortunately, the use of cyclosporine for psoriasis has diminished with the introduction of newer, targeted agents. Transplant dermatology clinics have been developed to optimize surveillance of patients on long-term immunosuppressants.
The newer biologic medications have shown a mixed relationship with skin cancer development. Registries have suggested that TNFa blockers elevate the risk for cSCC but have not shown a statistically significant association with the occurrence of melanoma.9,10 Registries to date of IL-17 and IL-23 inhibitors have not shown a correlation with an increase in skin cancers. Moreover, patients with congenital defects of these cytokines do not appear to be at higher risk for skin cancers.10
Acitretin has not been implicated in the development of skin cancers rather has been shown to be protective against this occurring.9,10 Cessation of treatment with this medication is associated with a rebound in skin cancer incidence.10
Clinical Presentations
Only sparse reports of malignant neoplasms developing in psoriatic plaques have been made thus a classic presentation is not well established. Gupta et al. reported on a patient who developed large growths on preexisting psoriasis plaques of the elbows. Pathology revealed well differentiated cSCC.11
In 1976, Grobe described a case of superficial spreading melanoma arising in a psoriasis focus on a patient who had previously been treated with arsenic. Proctor et al reported in 1981 on a patient who developed lentigo maligna melanoma in a psoriatic plaque treated with considerable radiation therapy.12 Tran et al published in 2000 what they felt at the time was the first report of melanoma developing in a psoriatic plaque.13 In 2016, Kato et al reported a case of a superficial spreading melanoma developing in a psoriatic plaque. This patient had received a low cumulative dosage of methotrexate and a brief period of PUVA therapy.14
Management
The initial evaluation of a suspected melanoma optimally would include an excisional biopsy.
Histologic evaluation of the entire lesion is of paramount importance as this information will guide further management. The Breslow depth, presence or absence of ulceration, presence or absence of in-transit, satellite and/or microsatellite metastases and regional lymph node involvement determines the staging for stage I to III melanomas. Patients with distant metastases (stage IV) are categorized by the site of involvement and lactate dehydrogenase level when diagnosed.15 For patients with concurrent psoriasis, management decisions need to be made taking into consideration the history of cutaneous malignancy and associated stage.
After the appropriate excision is done of the primary tumor, adjuvant therapy can be considered for stage III and IV melanomas. FDA-approved adjuvant treatment options include immune checkpoint inhibitors and agents that target the mitogenactivated protein kinase (MAPK) signaling pathway.16 To date, these agents have not been approved for use for patients with stage II melanoma. However, clinical trials are in progress to assess their potential benefit for this subset as patients with stage II disease and high-risk features can have a poorer prognosis than some patients with stage III disease.15,17 Five- and 10-year survival rates for patients with stage IIC disease by one estimation are 82% and 75% respectively, vs 93% and 88% for patients with stage IIIA disease.15
Immune checkpoint inhibitors include antibodies to the PD-1 and CTLA-4 receptors on activated T lymphocytes.18,19 Malignant cells can inactivate T lymphocytes when they attach to these receptors. By blocking these sites, T lymphocytes can remain active and function against malignant cells.20
PD-L1, a protein that can be found on tumor cells, binds to PD-1 on activated T lymphocytes inactivating these cells. Antibodies against this ligand can prevent this inhibition.18 Three agents are currently approved for use with variable indications including treatment of metastatic urothelial, non-small cell lung and Merkel cell carcinomas.21 To date, no PD-L1 inhibitors are approved for use in treating melanoma.
The MAPK signaling pathway plays a vital role in cell growth and viability. A mutation in this pathway may result in unabated cell growth and resistance to cell death. Key signaling proteins in this pathway include Ras, Raf, MEK and ERK. Mutations of the BRAF gene can cause dysregulation in this pathway resulting in abnormal cellular proliferation. Around 90% of BRAF mutations are V600E resulting in the replacing of valine(V) by glutamic acid(E) at amino acid position number 600 on the Raf protein. Other types of mutations of this gene result in the replacing of the valine at position 600 by lysine(K), aspartic acid(D) and arginine(R). About 50% of melanomas bear BRAF V600 mutations.16
Importantly, Raf inhibitors should not be used for patients with wild type Raf as not only are they ineffective but can cause a paradoxical stimulus of the Raf enzyme exacerbating tumor proliferation.22,23
Treatment options for the concurrent psoriasis should be considered carefully. As in the case of our patient (Figure 1), if a deeper invasive melanoma is diagnosed, IL-17 and IL-23 inhibitors should be considered in lieu of TNFa blockers. Similar caution should be used in patients with a history of multiple cSCC. Phototherapy should also be used with caution in such patients.10 Another treatment option is apremilast (Otezla), which has not been associated with an increased risk of malignancy.24 For patients with more superficial melanomas and limited cSCC of the skin, TNFa blockers are an acceptable treatment consideration.10
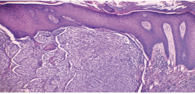
Histopathology Findings
The initial clinical impression was possible SCC arising in a preexisting psoriatic plaque. In the light of this, a biopsy by shave was performed.
Hematoxylin-eosin stained sections revealed superficial spreading melanoma with focal spitzoid morphology and ulceration (Figure 2). Background psoriasiform epidermal hyperplasia was also seen. The tumor displayed a high mitotic rate (17 mitoses per mm2 ). In the initial shave biopsy specimen, the tumor was transected and a Breslow thickness of at least 2.5 mm was noted with a Clark level of V. Other pertinent findings included vertical growth phase, presence of regression, and focally brisk host response. Microscopic satellites, angiolymphatic invasion, angiotropism, and neurotropism were absent. Tumor cells stained positive with Mart-1 and HMB-45 immunostains (Figure 3). No BRAF mutations were detected but KIT and EZH2 mutations were identified.
Treatment
The patient underwent wide excision of the melanoma after successful removal of 2 sentinel nodes. Both sentinel lymph nodes were negative for malignancy. Twocentimeter margins were marked from the clinical lesion and a full thickness skin and fascia excision was performed. The defect was closed with a fasciocutaneous flap. The pathology from the wide excision revealed tumor thickness of 3.5 mm, no microsatellites, mitotic rate around 2 and margins uninvolved by melanoma.
Based on the Eight Edition American Joint Committee on Cancer Melanoma Staging System, the stage of this tumor was at least IIB15. The possibility of a stage IIC tumor could not be ruled out due to the incomplete initial biopsy.
Adjuvant treatment options were discussed with the patient. In light of either stage IIB or IIC disease, immunotherapy with interferon alfa-2b was offered to the patient. Treatment with this medication has been shown to extend disease free survival but not overall survival in patients with stage IIB/IIC disease.17 Additionally, enrollment in a clinical trial using the above reviewed adjuvant treatments for stage III or IV melanomas was discussed with the patient. He declined adjuvant therapy at this time. Though he had significant cutaneous involvement, he did not wish for treatment of his psoriasis.
Conclusion
Our case highlights the need for physicians to be vigilant about growths that might develop within psoriatic lesions. An excisional biopsy would have improved the evaluation of this lesion. Reporting of similar cases is encouraged to improve the understanding of the incidence of this rare occurrence and increase awareness so that the initial evaluation of these presentations may be optimized.
References
1. Bankhead C. AAD: look for systemic diseases in patients with psoriasis. MedPage Today. March 12, 2009. https://www.medpagetoday.com/meetingcoverage/aad/13249. Accessed February 28, 2019.
2. Habashy J, Robles DT. Psoriasis. Medscape. https://emedicine.medscape.com/article/1943419-overview#a3. Updated February 28, 2019. Accessed February 28, 2019.
3. Nickoloff BJ. Creation of psoriatic plaques: the ultimate tumor suppressor pathway. J Cutan Pathol. 2011;28(2):57-64.
4. CDKN2A cyclin-dependent kinase inhibitor 2A. PubMed.gov. https://www.ncbi.nlm.nih.gov/gene?Db=gene&Cmd=ShowDetailView&TermToSearch=1029. Accessed February 28, 2019.
5. Stern RS, Nichols KT, Vakeva LH. Malignant melanoma in patients treated for psoriasis with methoxsalen (psoralen) and ultraviolet A radiation (PUVA). The PUVA Follow-Up Study. N Engl J Med. 1997;336(15):1041-1045. doi:10.1056/NEJM199704103361501
6. Elwood JM, Gallagher RP, Stapleton PJ. No association between malignant melanoma and acne or psoriasis: results from the Western Canada Melanoma Study. Br J Dermatol. 1986;115(5):573-576.
7. Paradisi A, Tabolli S, Didona B, Sobrino L, Russo N, Abeni D. Reduced frequency of melanoma in 72,739 patients with psoriasis: A retrospective study. Eur J Dermatol. 2015;25(2):133-137. doi:10.1684/ejd.2014.2501
8. Chiesa Fuxench ZC, Shin, DB, Ogdie Beatty A, Gelfand JM. The risk of cancer in patients with psoriasis: A population-based cohort study in the Health Improvement Network. JAMA Dermatol. 2016;152(3):282-290. doi:10.1001/jamadermatol.2015.4847
9. Reddy SP, Martires K, Wu JJ. The risk of melanoma and hematologic cancers in patients with psoriasis. J Am Acad Dermatol. 2017;76(4):639-647.e2. doi:10.1016/j.jaad.2016.09.047
10. Kronemyer B. Psoriasis and skin cancer. DermatologyTimes. April 4, 2017. http://dermatologytimes.modernmedicine.com/dermatology-times/news/psoriasis-andskin-cancer. Accessed February 28, 2019.
11. Gupta M, Das JK, Gangopadhyay A. Multicentric squamous cell carcinoma arising on psoriatic plaque. Indian J Dermatol. 2013;58(2):151-153. doi:10.4103/0019-5154.108065
12. Proctor MS, Cox AJ, Grais LS. Lentigo maligna melanoma in a treated psoriatic plaque. Arch Dermatol. 1981;117(3):149-150.
13. Tran N, Rabinovitz HS, Oliviero M, Kopf A. Melanoma in a psoriatic plaque. Cutis. 2000;65(2):93-94.
14. Kato Y, Yamamoto T. Superfi cial spreading melanoma in a psoriatic plaque of a patient with psoriatic arthritis. J Dermatol. 2016;43(10):1238-1239. doi:10.1111/1346-8138.13376
15. Keung EZ, Balch CM, Gershenwald JE, Halpern AC. Key Changes in the AJCC Eight Edition Melanoma Staging System. The Melanoma Letter. 2018;36(1):1-10.
16. Roche. The MAPK pathway, revisited. https://www.roche.com/research_and_development/what_we_are_working_on/oncology/mapk.htm. Published October 2014. Accessed February 28, 2019.
17. Aim at Melanoma Foundation. Treatment options for stage II melanoma. https://www.aimatmelanoma.org/stages-of-melanoma/stage-ii-melanoma/treatment-options-for-stage-ii-melanoma/. Accessed February 28, 2019.
18. National Cancer Institute. Melanoma treatment (PDQ)-patient version. https://www.cancer.gov/types/skin/patient/melanoma-treatment-pdq#section/_135. Updated February 22, 2019. Accessed February 28, 2019.
19. Muppidi MR, George S. Immune checkpoint inhibitors in renal cell carcinoma. Targeted Oncology. October 28, 2015. https://www.targetedonc.com/publications/targeted-therapies-cancer/2015/jtt-october-2015/immune-checkpoint-inhibitors-inrenal-cell-carcinoma. Accessed February 28, 2019.
20. West H. JAMA Oncology patient page. Immune checkpoint inhibitors. JAMA Oncol. 2015;1(1):115. doi:10.1001/jamaoncol.2015.0137
21. MediPaper Medical Communications Ltd. U.S. FDA approved immune-checkpoint inhibitors for cancer. https://medi-paper.com/us-fda-approved-immune-checkpoint-inhibitors-approved-immunotherapies/. Accessed February 28, 2019.
22. Hatzivassiliou G, Song K, Yen I, et al. RAF inhibitors prime wild-type RAF to activate the MAPK pathway and enhance growth. Nature. 2010;464(7287):431-435. doi:10.1038/nature08833
23. Halaban R, Zhang W, Bacchiocchi A, et al. PLX4032, a selective BRAF (V600E) kinase inhibitor, activates the ERK pathway and enhances cell migration and proliferation of BRAF melanoma cells. Pigment Cell Melanoma Res. 2010;23(2):190-200. doi:10.1111/j.1755-148X.2010.00685.x
24. Han G. Biologics and systemic therapies for psoriasis: treat the patient, not the disease. Cutis. 2018;101(3S):14-15.


