What Is This Eruption on the Chest?
© 2023 HMP Global. All Rights Reserved.
Any views and opinions expressed are those of the author(s) and/or participants and do not necessarily reflect the views, policy, or position of The Dermatologist or HMP Global, their employees, and affiliates.
Disclosure: The authors report no relevant financial relationships.
Case Report
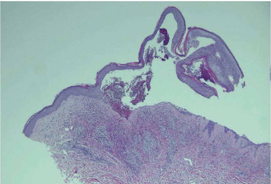
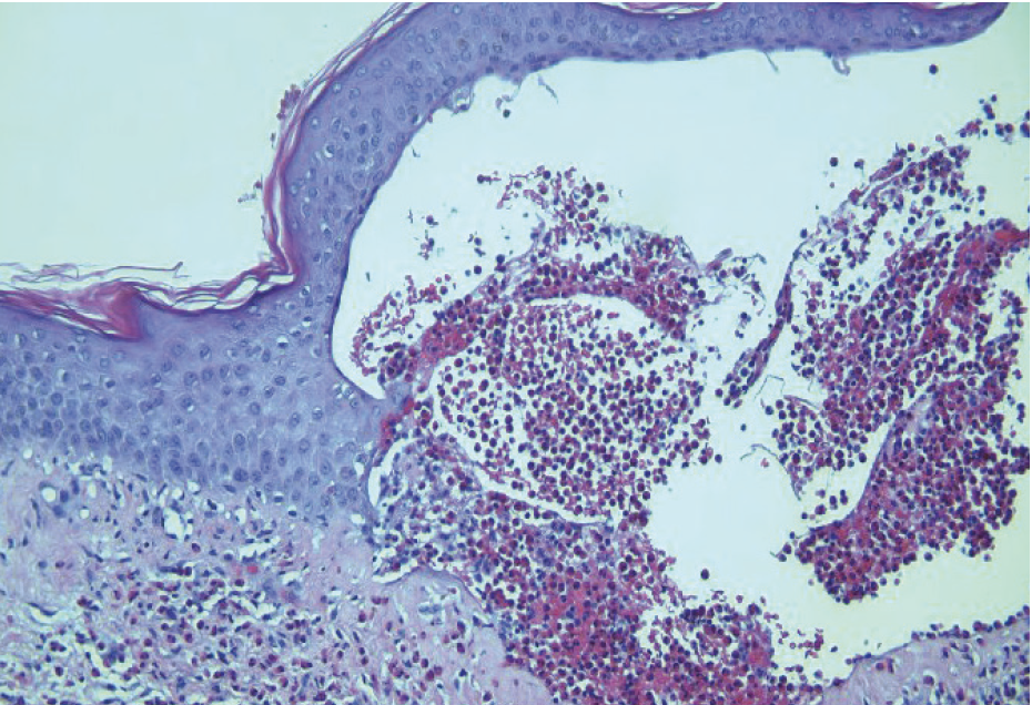
An 81-year-old man who was recently started on dialysis presented to our clinic with complaints of a pruritic vesiculobullous dermatitis around his tunneled dialysis catheter for 4 to 6 weeks. He had a past medical history of hypertension, end-stage renal disease secondary to hypertension, myocardial infarction, and hypothyroidism. The patient was thought to have contact dermatitis to the adhesive in his wound dressing by the referring physician. Previous therapies included zinc spray and switching to paper tape and gauze for dressings over his dialysis port. Physical examination revealed a cluster of multiple, tense bullae on his right upper chest surrounding his dialysis catheter. An erythematous background and areas of denudation were appreciated (Figure 1). No other cutaneous or mucosal surfaces were involved. Biopsy for hematoxylin-eosin stain revealed eosinophil-rich subepidermal blistering. Direct immunofluorescence revealed a linear deposition of IgG and C3 along the basement membrane.
What Is The Diagnosis?
Check your answer below.
Diagnosis: Localized bullous pemphigoid
Bullous pemphigoid (BP) is a chronic, autoimmune, subepidermal vesiculobullous disorder that tends to affect older individuals. Onset typically occurs after age 60 years at an annual incident rate of approximately 10 per million. Characteristic skin findings include symmetric, tense, inflammatory bullae predominately on flexural surfaces of the trunk and lower extremities. Mucous membranes are rarely involved. Pruritus is a common presenting symptom and can occur before the development of bullae. Associations with diabetes mellitus, autoimmune condi tions, and current or previous malignancy have been reported. BP may be drug-induced, notably with use of sulfasalazine, furosemide, fluoxetine, and penicillin, among others. Although diffuse cutaneous involvement is most common, localized variants are possible and account for 20% of cases.2 Categories of this rare subtype include localized scarring pemphigoid, localized nonscarring pemphigoid, and a variant of mucous membrane cicatricial pemphigoid also known as Brunsting-Perry pemphigoid.3,4
Localized BP tends to involve the limbs, particularly the pretibial area. It is thought that increased hydrostatic pressure, related to chronic edema of the lower extremities, plays a role in the initiation of vesicles and bullae.5 Cases have also been reported after radiotherapy, phototherapy, thermal or electrical burns, surgical procedures, and transplants.2,6 Localized BP has been described around stoma sites,4 but is not commonly reported to surround tunneled catheters.
Histology and Pathogenesis
BP is driven by pathogenic antibodies to BP antigens 180 (also known as BPAG2 or type XVII collagen) and 230 (also called BPAG1). These antigens are found within the hemidesmosomes, which act as adhesion complexes in the epithelium. When circu lating antibodies bind to antigens within the hemidesmosomes, a cascade of inflammatory responses occurs. The release of proteases, such as matrix metalloproteinase-9, neutrophil elastase, and mast cell proteases, leads to degradation of extracellular matrix proteins, including BP180, which results in the formation of sub- epidermal vesicles and bullae.6
Theories related to the pathogenesis of localized BP include koebnerization, a phenomenon in which trauma to the basement membrane zone exposes antigens previously “hidden” from the immune system. Such trauma can act as the inciting event for individuals with subclinical BP who have pre-existing low-level titers of epidermal autoantibodies.2,7 This theory provides an explanation for the occurrence of localized BP arising in scars and on amputation stumps, stoma, and urostomy sites4,5 and could explain the development of BP in our patient.
Histopathology will reveal a clean split at the dermoepidermal junction and formation of a subepidermal blister with eosinophils. Direct immunofluorescence (DIF) is considered the gold standard for diagnosis and will reveal linear IgG and/or C3 at the basement membrane in nearly 100% of cases. Serologic workup will be positive for autoantibodies against BP180 or BP230.2
Differential Diagnosis
Clinically, localized BP may mimic other vesiculobullous disorders, such as linear IgA bullous disease (LABD) and epidermolysis bullosa acquisita (EBA). Other conditions, such as contact dermatitis and bullous drug eruption, should also be considered. Thorough history, physical examination, and both histopathologic and immunofluorescent investigation are used to differentiate these conditions. The presence of circulating IgG antibodies and anti- BP180 and 230 antibodies supports a diagnosis of BP.
DIF is necessary to differentiate BP from other vesiculobullous conditions (eTable 1). DIF of perilesional skin in patients with BP will reveal a continuous, linear deposition of IgG and C3 along the epidermal basement membrane in a n-serrated pattern. In contrast, EBA demonstrates a linear deposition of IgG along the dermal side of the basement membrane, which creates a u-serrated pattern on salt-split skin. As the name implies, LABD will have a linear deposition of IgA along the basement membrane zone. Contact dermatitis and bullous drug eruption will have negative findings on immunofluorescence. Clinical history, such as contact with an irritant or allergen or initiation of new medication, may also be helpful in differentiating these conditions.1
Diagnosis
The work up for patients suspected of having BP includes tissue sampling for both hematoxylin-eosin stain (H&E) stain and DIF and testing for IgG BP antibodies via indirect immunofluorescence or enzyme-linked immunosorbent assay (eTable 2). Of note, DIF should be taken from perilesional skin to avoid proteases within the bullae from degrading the autoantibodies and creating a false-negative result. DIF biopsies of urticarial or pre- bullous BP should be taken directly from the lesion.

Management
Corticosteroids, either topical or systemic, are the mainstay of BP treatment. Patients with localized disease tend to respond well to topical steroids alone. On occasion, those with localized BP may progress to have generalized disease.2 Thus, patients require close monitoring, and treatment is necessary to prevent epitope spreading and worsening of disease.8 Other second-line therapies for localized disease include nicotinamide, tetracycline class of antibiotics, erythromycin, dapsone, and topical immunomodulators such as tacrolimus.1
Our Patient
The patient’s diagnosis of localized BP was confirmed with H&E stain and DIF histopathology, which revealed eosinophil-rich subepidermal blistering and a linear deposition of IgG and C3 along the basement membrane, respectively (Figures 2–4). Serology was also positive for BP180 antibodies. The patient was prescribed topical clobetasol propionate 5% cream, which led to significant improvement in his pruritus and bullae. He denied systemic therapy and is being closely monitored. To date, the patient has not experienced any recurrence or disease progression.
Conclusion
Clinically, localized BP may mimic other conditions and, there- fore, accurate diagnosis is often delayed. Because of the clinical overlap with other immunobullous conditions and entities such as acute contact dermatitis, prompt histopathologic and immuno- fluorescent investigation is often necessary to differentiate these conditions and provide appropriate care for patients.
References
- Bolognia JL, Jorizzo JL, Schaffer JV. Dermatology: Expert Consult. 3rd edition. Elsevier; 2012.
- Cozzani E, Gasparini G, Burlando M, Drago F, Parodi A. Atypical presentations of bullous pemphigoid: clinical and immunopathological aspects. Autoimmun Rev. 2015;14(5):438-445. doi:10.1016/j.autrev.2015.01.006
- Kaplan RP. Cutaneous involvement in localized forms of bullous pemphigoid. Clin Dermatol. 1987;5(1):43-51. doi:10.1016/0738-081x(87)90048-4
- Batalla A, De la Torre C, Peón G. Localized bullous pemphigoid at urostomy site. Indian J Dermatol Venereol Leprol. 2011;77(5):625. doi:10.4103/0378-6323.84067
- Yesudian PD, Dobson CM, Ahmad R, Azurdia RM. Trauma-induced bullous pemphigoid around venous access site in a haemodialysis patient: correspondence. Clin Exp Dermatol. 2002;27(1):70-72. doi:10.1046/j.0307-6938.2001.00938.
- Tran JT, Mutasim DF. Localized bullous pemphigoid: a commonly delayed diagnosis. Int J Dermatol. 2005;44(11):942-945. doi:10.1111/j.1365-4632.2004.02288.
- Seishima M, Izumi T, Kitajima Y. Antibody to bullous pemphigoid antigen 1 binds to the antigen at perilesional but not uninvolved skin, in localized bullous pemphigoid. Eur J Dermatol EJD. 1999;9(1):39-42.
- Parslew R, Verbov JL. Bullous pemphigoid at sites of trauma. Br J Dermatol. 1997;137(5):825-826. doi:10.1111/j.1365-2133.1997.tb01130.x


