What Is the Cause of This Hypopigmentation on the Trunk?
Case Report
A 36-year-old man with no known past medical history presented with light patches on the trunk and extremities that he had for many years. He emigrated from Guyana to the United States approximately 25 years prior. He first noticed light pink spots on his shoulder that gradually enlarged over time. Additionally, the patient reported that over the past 4 months, he started having difficulty gripping objects, numbness/tingling in both hands, and left foot drop. On physical examination, there were several hypopigmented, anesthetic plaques with erythematous annular borders on the patient’s chest, back, and extremities (Figure 1 and Figure 2).
What Is The Diagnosis?
Check your answer below.
Diagnosis
Borderline Tuberculoid Leprosy (Paucibacillary Leprosy)
Leprosy, also known as Hansen disease, is a chronic infectious condition caused by Mycobacterium leprae, an aerobic, intracytoplasmic, acid-fast bacillus that primarily affects the skin and peripheral nerves. Leprosy is estimated to impact 2 to 3 million people worldwide and is particularly prevalent in India, Brazil, and Indonesia.1
Clinical Presentation
Although intermediate hosts, such as the 9-banded armadillo in the United States, may play a role in disease spread, M. leprae most often spreads human to human via nasal or oral droplets, with the majority of infections resulting from close interaction with a contagious household contact.2,3 The household contacts of an untreated individual have an approximately 25% chance of being infected with M. leprae.4 Due to this significant risk, it is essential to examine close contacts for signs of disease after diagnosing leprosy.
M. leprae infections lead to 2 major clinical forms of leprosy depending on the patient’s relative immunity to the bacterium: tuberculoid leprosy and lepromatous leprosy. Tuberculoid leprosy is characterized by a predominantly Th1 immune response, whereas lepromatous leprosy is characterized by a Th2 immune response.
In tuberculoid leprosy, individuals often present with less than 5 erythematous, annular plaques with well-defined borders.2 These lesions are often hypopigmented and alopecic.5 They may also be anesthetic and hypohidrotic due to involvement of local peripheral nerves.
In lepromatous leprosy, patients often present with more extensive cutaneous disease due to poor cell-mediated immunity. These patients tend to have widespread and symmetric plaques and papules on the face, buttocks, and extremities.2 Patients may also have leonine facies, destruction of nasal cartilage, digital bone resorption, orchitis, neurotrophic ulcers, and acquired ichthyosis. M. leprae grows optimally at 95° F (35° C), which explains why the skin manifestations of leprosy are most frequently seen in cooler parts of the body, such as the nose, earlobes, and testes.
Because leprosy affects both the skin and peripheral nerves, a complete skin examination, along with a neurologic examination, should be performed in patients with a clinical suspicion for the disease. Neurologic examination should involve both an evaluation of sensation and palpation of peripheral nerves of the head, neck, and extremities. Early diagnosis of leprosy requires a high clinical suspicion and is essential to reduce the disability, morbidity, and stigma associated with the disease.
Histopathology
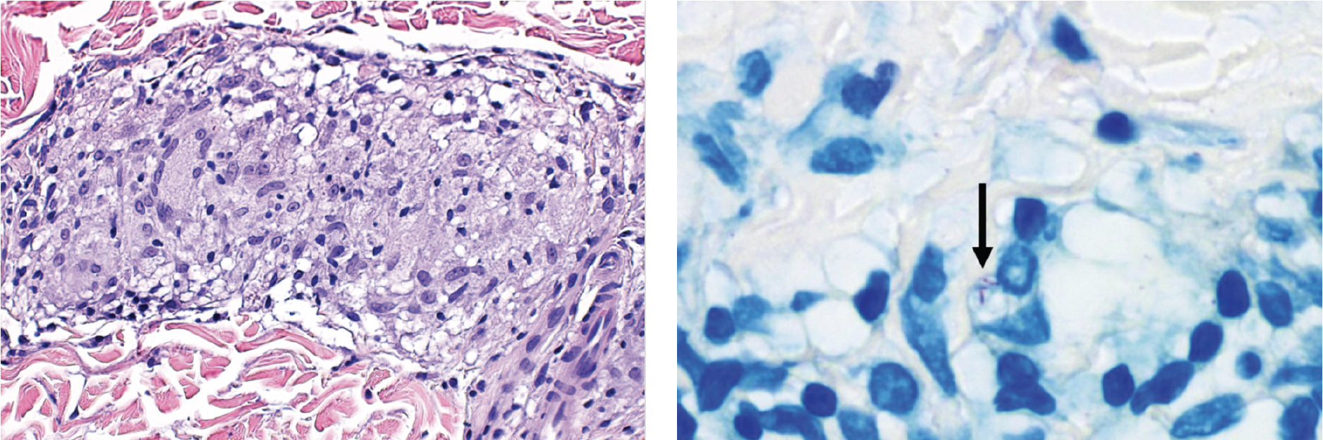
Histologic analysis of the tuberculoid pattern of leprosy demonstrates elongated sarcoid granulomas that track along nerves. In tuberculoid leprosy, there are often few organisms present.5 In lepromatous leprosy, a perivascular lymphohistiocytic infiltrate and large aggregates of macrophages containing collections of mycobacteria (termed globi) are seen in the dermis. M. leprae bacilli can be visualized with Fite or Ziehl-Neelsen stains.5
Diagnosis of leprosy is confirmed in several ways that depend on the form of leprosy. Multibacillary forms of leprosy can be confirmed with a slit smear for bacilloscopy or biopsy with an acid-fast stain, such as Fite or Ziehl-Neelsen stains. However, polymerase chain reaction or immunohistochemical staining of biopsy specimens can help confirm paucibacillary cases where confirmation with acid-fast stains is difficult.6
One prospective study demonstrated that tuberculoid leprosy lesions have characteristic dermoscopic features, including yellowish-orange areas and linear vascular structures that correlate with dermal granulomas and dilated vessels, respectively.7
Pathogenesis
The pathogenesis and wide spectrum of clinical presentations are believed to be due to differences in genetic susceptibility. Human leukocyte antigen type and genetic polymorphisms related to immune system function predispose an individual to a specific spectrum of the disease.8
The Ridley-Jopling classification spectrum for leprosy is based on the 2 polar forms of tuberculoid and lepromatous leprosy, with the tuberculoid form characterized by primarily cell-mediated immunity and the lepromatous form characterized by primarily humoral-mediated immunity at the opposite end of the spectrum.8 Tuberculoid leprosy is characterized by a Th1 response and increased cytokines, such as IL-2 and interferon-gamma, that upregulate cell-mediated immunity, which stimulates macrophage activity and phagocytosis of M. leprae, leading to the clinical phenotype.8 The immunologic phenotype of lepromatous leprosy is characterized by a predominantly Th2 response due to increased cytokines, such as IL-4 and IL-10, that inhibit macrophage function.8
Differential Diagnosis
The clinical differential diagnosis for tuberculoid leprosy includes tinea corporis, mycosis fungoides, tuberculosis, sarcoidosis, granuloma annulare, plaque psoriasis, and syphilis. A high index of clinical suspicion is necessary for at-risk populations, especially given the diverse presentations of leprosy and the importance of early diagnosis.
Management
Treatment consists of a combination of antibiotics, such as rifampin, dapsone, clofazimine, ofloxacin, and minocycline.9 A patient is no longer considered to be infectious to others after they receive their first dose of multidrug therapy.2 Although the infection can be treated with antibiotics, it is essential to diagnose and treat the disease as early as possible because nerve damage and subsequent physical disfigurement are typically irreversible.10
Our Patient
A punch biopsy was performed at the leading annular border of a lesion. Histology demonstrated elongated perineural granulomas on hematoxylin-eosin stain (Figure 3) and rare acid-fast bacilli on Fite stain (Figure 4, arrow). The patient was diagnosed with borderline tuberculoid leprosy (paucibacillary leprosy). Household contacts were examined, and no evidence of disease was found.
The patient was started on dapsone 100 mg daily and rifampicin 600 mg once monthly for a planned duration of 12 months. He was also started on prednisone 50 mg daily to attempt to prevent immune-mediated inflammation that can lead to worsened nerve damage after starting bacterial treatment.11 The patient’s symptoms improved while on this regimen and the prednisone was slowly tapered. After completing the 1-year course of treatment, the erythematous annular borders resolved and only residual hypopigmentation was seen at previously affected skin sites. Additionally, the patient’s foot drop resolved following treatment; however, his bilateral upper extremity neuropathy and interosseous muscle wasting persisted.
Conclusion
Tuberculoid leprosy is caused by M. leprae infection in individuals who develop a predominantly Th1 response. Patients with this form of leprosy usually present with less than 5 erythematous plaques with anesthesia and sharp, well-defined borders. Histologic analysis demonstrates elongate perineural granulomas on hematoxylin-eosin stain and rare acid-fast bacilli on Fite stain. Treatment consists of a combination of antibiotics, including rifampicin, dapsone, and clofazimine. Although the infection can be treated with antibiotics, it is critical to diagnose and treat the disease as early as possible to reduce disability due to nerve damage.
References
1. Mushtaq S. Leprosy in the post-elimination phase: so near and yet so far. G Ital Dermatol Venereol. 2020;155(3):269-279. doi:10.23736/S0392-0488.19.06249-7
2. Ramos-e-Silva M, Cristina Ribeiro de Castro M. Mycobacterial infections. In: Bolognia JL, Schaffer JV, Cerroni L, eds. Dermatology. 4th ed. Elsevier; 2017: 1296-1318.
3. Truman RW, Singh P, Sharma R, et al. Probable zoonotic leprosy in the southern United States. N Engl J Med. 2011;364(17):1626-1633. doi:10.1056/NEJMoa1010536
4. Canizares O, Harman R, Adriaans B. Clinical Tropical Dermatology. 2nd ed. Blackwell Scientific; 1992.
5. Lockwood DNJ, Nicholls P, Smith WCS, et al. Comparing the clinical and histological diagnosis of leprosy and leprosy reactions in the INFIR cohort of Indian patients with multibacillary leprosy. PLoS Negl Trop Dis. 2012;6(6):e1702. doi:10.1371/journal.pntd.0001702
6. Martinez AN, Talhari C, Moraes MO, Talhari S. PCR-based techniques for leprosy diagnosis: from the laboratory to the clinic. PLoS Negl Trop Dis. 2014;8(4):e2655. doi:10.1371/journal.pntd.0002655
7. Vinay K, Kamat D, Chatterjee D, Narang T, Dogra S. Dermatoscopy in leprosy and its correlation with clinical spectrum and histopathology: a prospective observational study. J Eur Acad Dermatol Venereol. 2019;33(10):1947-1951. doi:10.1111/jdv.15635
8. Lastória JC, Abreu MA. Leprosy: review of the epidemiological, clinical, and etiopathogenic aspects—part 1. An Bras Dermatol. 2014;89(2):205-218. doi:10.1590/abd1806-4841.20142450
9. Guidelines for the diagnosis, treatment and prevention of leprosy. World Health Organization. 2018. Accessed September 9, 2022. https://apps.who.int/iris/handle/10665/274127
10. Reyila VP, Betsy A, Riyaz N, et al. Clinico-epidemiological study of disability due to leprosy at the time of diagnosis among patients attending a tertiary care institution. Indian J Dermatol. 2019;64(2):106-111. doi:10.4103/ijd.IJD_185_17
11. Wagenaar I, Post E, Brandsma W, et al. Effectiveness of 32 versus 20 weeks of prednisolone in leprosy patients with recent nerve function impairment: a randomized controlled trial. PLoS Negl Trop Dis. 2017;11(10):e0005952. doi:10.1371/ journal.pntd.0005952


