Successful Treatment of Melasma in Fitzpatrick Skin Type IV
© 2024 HMP Global. All Rights Reserved.
Any views and opinions expressed are those of the author(s) and/or participants and do not necessarily reflect the views, policy, or position of The Dermatologist or HMP Global, their employees, and affiliates.
Melasma is a chronic hyperpigmentation disorder presenting as brown patches on sun-exposed areas, primarily the face.1 It commonly affects people with darker skin types (phototype III to V) and women. The disease can have a significant impact on patients’ quality of life and therapeutic management is challenging due to the high rate of recurrence. Reported treatment options include topical hydroquinone, tranexamic acid, microneedling, chemical peels, and laser therapy.2 Of these therapies, laser therapies are associated with increased melasma clearance and reduced Melasma Area and Severity Index scores, but they are still less frequently used than topicals.3 We present a case of melasma in a woman with Fitzpatrick skin type IV who was treated with several sessions of nonablative Alexandrite laser (755 nm).
Case Report
A 40-year-old woman presented with hyperpigmented patches on both malar regions. The areas of hyperpigmentation were clinically identified as melasma. Previous treatment with topicals, including hydroquinone at different concentrations ranging from 6% to 10%, Kojic acid 6%, fluocinolone 0.1%, and tretinoin 0.025%, had been unsuccessful since the onset of her condition. She was not financially able to undergo chemical peels for treatment.
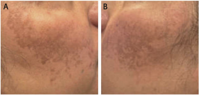
An Alexandrite laser system at 755 nm with a repetition rate of 1 Hz and a spot size of 10 mm was used to treat the pigmented lesions over several sessions. The pulse energy of the laser was initially 6.0 J/cm.2 However, the patient tolerated the laser well, so the settings were modified for her next 3 sessions to 7, 10, and 12 J/cm. Endpoints were erythema, and each area received several passes. Digital photography was used for gross observation at baseline (Figure 1) and after the laser therapy sessions (Figure 2) and findings were compared.
The patient continued to use hydroquinone 6% throughout her laser therapy. Upon conclusion of the treatment, the patient was counseled on continuing hydroquinone 8%, Kojic acid 6%, and fluocinolone 0.1% due to high rates of reoccurrence when off treatment. Of note, she will be seen in clinic every 3 to 4 months and will be recommended the appropriate drug holidays to avoid the risk of ochronosis.
Discussion
Melasma is a common chronic dermatologic condition that is challenging to treat. Laser therapies display high pigmentation clearance rate after a single procedure. The Alexandrite laser is a nonablative laser that is commonly used to treat pigmentation disorders because it has been reported to normalize skin color and tone. In contrast to traditional therapies like topical hydroquinone, laser therapies show increased clearance and minimal recovery time and sequelae. However, the literature shows hyperpigmentation is a common adverse event in darker skin types following therapy with the Q-switched Alexandrite laser.3
Clinical photography taken at baseline and after the laser therapy sessions demonstrated an improvement in the patient’s skin tone and pigmentation. No adverse events, including hyperpigmentation, were noted. This case supports existing evidence that laser therapy with Alexandrite lasers is a good option for treating melasma that has been resistant to other treatment options such as topical hydroquinone. Alexandrite lasers produce high-intensity laser beams that permeate the epidermis, reducing excess pigmentation and resulting in a more even skin tone. The Alexandrite laser (755 nm) proved efficacious in treating the patient with Fitzpatrick skin type IV presented in this case report.
Conclusion
Alexandrite laser therapy may be an effective method of treating melasma in darker skin types. We present this case to highlight successful results of several sessions with an Alexandrite laser. Additional studies are needed to determine reproducibility of our results and applicability to other Fitzpatrick skin types.
At the University of South Florida Morsani College of Medicine in Tampa, FL, Monica Khadka is a medical student, Dr Hennessy is a senior resident in the department of dermatology and cutaneous surgery, and Dr Correa is an associate professor in the department of dermatology and cutaneous surgery.
Disclosure: Dr Correa has been a speaker for La Roche-Posay; a consultant for AccuTec blades, Enspectra Health, and Novartis Pharmaceuticals; and a researcher for Pfizer, Sanofi, and Novartis Pharmaceuticals.
References
1. Basit H, Godse KV, Al Aboud AM. Melasma. StatPearls [Internet]. StatPearls Publishing; 2023.
2. Neagu N, Conforti C, Agozzino M, et al. Melasma treatment: a systematic review. J Dermatolog Treat. 2022;33(4):1816-1837. doi:10.1080/09546634.2021.1914313
3. Lai D, Zhou S, Cheng S, Liu H, Cui Y. Laser therapy in the treatment of melasma: a systematic review and meta-analysis. Lasers Med Sci. 2022;37(4):2099-2110. doi:10.1007/s10103-022-03514-2


