Pityriasis Lichenoides Chronica in Skin of Color
Pityriasis lichenoides chronica (PLC) is an uncommon skin eruption characterized by diffuse erythematous papules that progress to hyper- or hypopigmented macules. Typically, onset is at a young age, and severity waxes and wanes over time. The differential diagnosis includes guttate psoriasis, pityriasis versicolor, papular pityriasis rosea, and lymphomatoid papulosis. Histology can distinguish PLC from other diagnoses. The condition’s etiology is unknown, but it is often associated with a precipitating infection.
Case Report
A 21-year-old active-duty Marine presented with diff use nonpruritic, nonpainful hypopigmented macules and thin papules with central necrosis most prominently over the trunk and upper extremities (Figure 1 and Figure 2). His rash began 2 years prior, first developing on his upper extremities then his trunk. At the time of presentation, he was evaluated by his primary care physician and diagnosed with pityriasis versicolor. Topical and oral antifungals were prescribed. The patient had no response to these treatments. Shortly after, he was prescribed oral doxycycline for acne. During this course, he had significant improvement and near resolution of the lesions, which recurred after discontinuing doxycycline. A follow-up biopsy showed interface changes and nonspecific lymphohistiocytic infiltrate. Three syphilis panels were negative. The patient was referred to dermatology for further evaluation.
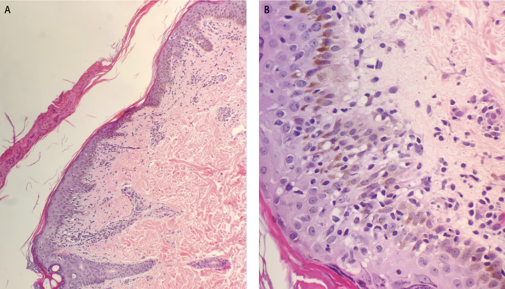
When seen by dermatology, repeat skin biopsies were performed. There was a superficial and mid-dermal lymphoid infiltrate with a predominance of CD4+ cells (Figure 3). The histology paired with the clinical presentation was consistent with PLC. The patient was prescribed oral doxycycline 100 mg 2 times a day and topical tacrolimus 0.1% for twice-daily application. The eruption improved and upon follow up 6 weeks later, the patient elected to transition to narrowband UVB (NB-UVB) to avoid daily use of oral medications. He has since maintained near remission with regular NB-UVB treatments.
Discussion
PLC is a chronic skin condition on a spectrum, with the acute eruption of pityriasis lichenoides et varioliformis acuta. It typically presents at a young age, with mean age of onset at 12 years.1The pathogenesis of PLC is unknown, but it has been associated with numerous infections, most notably viral, including Epstein-Barr virus, parvovirus B19, and HIV. PLC is characterized by a superficial lymphocytic T-cell infiltrate dominated by CD4+ cells. The leading theories are that it is a hypersensitivity reaction or a lymphoproliferative disorder, possibly in reaction to an infectious pathogen.2
The characteristic presentation of PLC is diff use erythematous papules with overlying micaceous scales and central necrosis that progress to hyper- or hypopigmented macules. These macules often wax and wane. The course is variable and occasionally unremitting.1 It typically affects the trunk and proximal extremities, but palmoplantar distribution has been observed.3
There are numerous therapies for PLC. The most effective of these is NB-UVB. Other therapies include oral tetracycline, erythromycin, dapsone, and acyclovir. Topical corticosteroids and calcineurin inhibitors have also shown efficacy.1
Conclusion
PLC is an uncommon, chronic, and often misdiagnosed skin condition. Misdiagnosis can delay appropriate treatment and remission. Our patient was initially misdiagnosed as having pityriasis versicolor. Being aware of the presentation of dermatologic conditions in all skin types may improve diagnostic efficiency.
References
- Zang JB, Coates SJ, Huang J, Vonderheid EC, Cohen BA. Pityriasis lichenoides: long-term follow-up study. Pediatr Dermatol. 2018;35(2):213-219. doi:10.1111/pde.13396
- Bowers S, Warshaw EM. Pityriasis lichenoides and its subtypes. J Am Acad Dermatol. 2006;55(4):557-576. doi:10.1016/j.jaad.2005.07.058
- Avshalumova L, Richardson B, Miller R. Pityriasis lichenoides chronica presenting with bilateral palmoplantar involvement. Cutis. 2016;97(5):345-358.


