Hidrocystoma Arising on the Conjunctiva: A Rare Clinical Presentation
Hidrocystomas are rare, benign, cystic lesions that arise in ductal sweat glands. Either eccrine or apocrine in origin, the cysts appear clinically as flesh to blue-colored papules ranging in size from 1 to 15 mm. Although indistinguishable on clinical examination, the 2 types of hidrocystomas differ histologically. Apocrine cysts demonstrate decapitation secretion, whereas eccrine cysts do not. Typically affecting adults aged 30 to 75 years, hidrocystomas are most often seen on and around the eyelids, although they can appear in multiple locations on the face, upper extremities, and trunk.1,2 Multidisciplinary care is often required for diagnosis and management of hidrocystomas due to their varied presentation.
Here, we report on a unique case of a hidrocystoma appearing on the temporal conjunctiva of a 14-year-old female patient. This stands as only the fourth recorded case of such a lesion presenting on the conjunctiva.3 Moreover, it is the first report of a conjunctival hidrocystoma arising in a pediatric patient.
Case Synopsis
A 14-year-old female patient with a history of bilateral strabismus repair presented to the ophthalmology clinic with complaints of pain on lateral gaze and a progressively enlarging nodule on the right temporal conjunctiva. This lesion had been excised a year before presentation but a specimen for histologic analysis could not be obtained at that time. The nodule started to regrow soon after the initial excision.
On examination, there was a solitary, 4-mm, well-defined, dome-shaped nodule with a bluish hue on the inferior border of the right temporal conjunctiva. There was no involvement of surrounding structures, including the eyelid margin (Figure 1). The lesion was excised, and the resulting defect was repaired by means of an amniotic membrane transplantation graft.
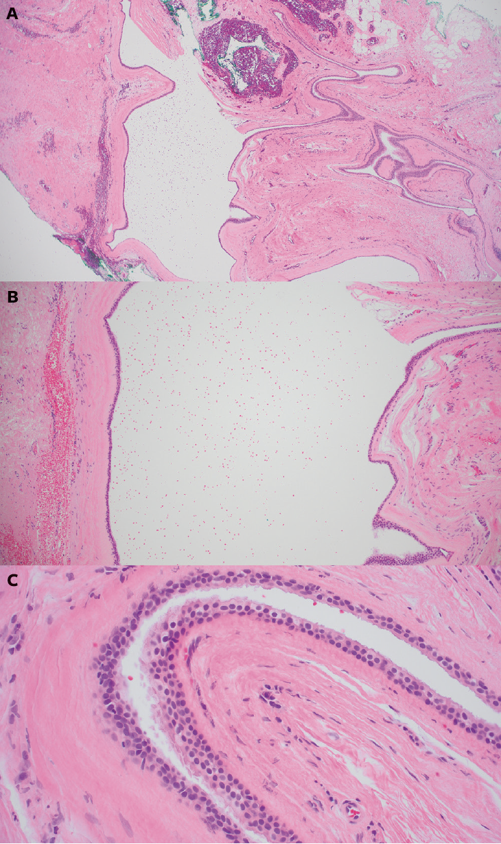
Histologic examination of the nodule showed conjunctival mucosa with a submucosally-based cystic lesion lined by 2 layers of columnar epithelium with focal decapitation secretion. The lesion was surrounded by a single myoepithelial layer (Figure 2). The findings were diagnostic of an apocrine hidrocystoma. The patient tolerated the procedure and was doing well at the 3-week follow up with no evidence of recurrence.
Discussion
Hidrocystomas are uncommon cystic nodules that can appear in multiple locations, including the face, ears, neck, chest, axillae, shoulders, and genitalia. Although unable to be distinguished based on clinical appearance alone, hidrocystomas can be of either apocrine or eccrine origin.
Apocrine hidrocystomas are derived from apocrine sweat glands and are generally described as having a darker blue to black hue compared with eccrine hidrocystomas. They are also slightly larger in size, ranging from 3 to 15 mm.1,2 Histologically, apocrine hidrocystomas appear as unilocular or multilocular cystic structures that are lined by a single or double layer of cuboidalcolumnar cells with decapitation secretion demonstrated on the luminal edge. The cells contain periodic acid-Schiff (PAS)-positive granules but stain negative for S100 protein.4 In contrast, eccrine hidrocystomas arise from eccrine sweat glands and appear as flesh-colored to light blue papules that are 1 to 6 mm in size.1,2 On histology, eccrine hidrocystomas appear as unilocular cystic structures within the mid-dermal to superficial layers of the skin. They are lined by a single or double layer of cuboidal cells that lack decapitation secretion. Solitary lesions stain positive for S100 protein but negative for PAS.4
The occurrence of apocrine hidrocystomas in children is rare.1 On review of the literature, the authors found only 23 other cases of apocrine hidrocystomas appearing within the pediatric population. Among these, 6 cases presented on the genitalia,5-7 1 case on the upper eyelid,7 1 case on the scalp,7 1 case on the left thigh,7 1 case on the right breast,8 6 cases in the orbit,9,10 and 7 cases on unspecified sites in patients aged 19 years or younger.11
To the authors’ knowledge, hidrocystomas arising specifically on the conjunctiva have been reported in only 3 previous cases. Two involved the nasal conjunctiva in patients with no history of ocular trauma. The third case involved a 54-year-old female patient with a history of habitual eye-rubbing who developed a hidrocystoma on the temporal conjunctiva.3
Currently, there are 2 purported theories explaining the formation of hidrocystomas within the orbit. The first entails traumatic implantation of Moll glands from the eyelid margin onto the conjunctival surface or deeper from factors such as chronic irritation, frequent eye-rubbing, or previous ocular surgeries.9 The second theory was introduced in a 2017 case report that described a female child who presented with a large congenital hidrocystoma of the orbit.10 In the paper, Dr Abtahi and colleagues argue against the theory of traumatic implantation, instead favoring the notion of ectopic growth of choristomatous sweat gland cells within the orbit during embryogenesis. It is possible that our patient’s history of corrective surgery predisposed her to this unique clinical presentation.
Biopsy of hidrocystomas is often performed within the dermatologic setting to exclude a malignant process, most commonly basal cell carcinoma or nodular melanoma. Multiple benign lesions should also be included in the differential diagnosis, including milla, blue nevus, and syringoma.
Management ranges from simple needle puncture to formal surgical excision. Electrodesiccation and carbon dioxide lasers have also been successfully employed. The presence of multiple hidrocystomas should alert the clinician to the possibility of underlying inheritable disorders, such as Schopf-Schulz-Passarge syndrome, Gorlin-Goltz syndrome, or Graves disease.2 However, in most cases these conditions present with other characteristic findings that enable easy diagnosis and distinction.
Conclusion
Given their range of clinical presentation and cutaneous distribution, hidrocystomas are of interest to a variety of medical specialties. This case highlights the effectiveness of adopting an integrative approach to the diagnosis and treatment of patients.
References
1.Sarabi K, Khachemoune A. Hidrocystomas—a brief review. MedGenMed. 2006;8(3):57.
2. Zaballos P, Gómez-Martín I, Martin JM, Bañuls J. Dermoscopy of adnexal tumors. Dermatol Clin. 2018;36(4):397-412. doi:10.1016/j.det.2018.05.007
3. Kim B, Kang NY. Apocrine hidrocystoma of the conjunctiva. Int J Ophthalmol. 2012;5(2):247-248. doi:10.3980/j.issn.2222-3959.2012.02.26
4. Alfadley A, Al Aboud K, Tulba A, Mourad MM. Multiple eccrine hidrocystomas of the face. Int J Dermatol. 2001;40(2):125-129. doi:10.1046/j.1365-4362.2001.01126.x.
5. Jo JW, Yang JW, Jeong DS. Apocrine hidrocystoma on the penis: report of a case and review of the previous cases. Ann Dermatol. 2019;31(4):442-445. doi:10.5021/ad.2019.31.4.442
6. Cuvelier M, Lasek A, Ngendahayo P, et al. [Transitory apocrine hidrocystomatosis of the scrotum]. [Article in French] Ann Dermatol Venereol. 2020;147(5):361-365. doi:10.1016/j.annder.2019.09.610
7. Matsuyama T, Yahagi E, Mabuchi T. Apocrine hidrocystoma on the genitalia of a 9-year-old girl. Pediatr Dermatol. 2018;35(4):e231-e232. doi:10.1111/pde.13485
8. Ben Dhaou M, Zouari M, Ammar S, et al. Apocrine hidrocystoma mimicking breast lesion in a child from Tunisia. Iran J Public Health. 2020;49(2):403-405.
9. Malihi M, Turbin RE, Mirani N, Langer PD. Giant orbital hydrocystoma in children: case series and review of the literature. Orbit. 2015;34(5):292-296. doi:10.31 09/01676830.2015.1078373
10. Eshraghi B, Abtahi MA, Sonbolastan SA, Kasaie Z, Abtahi SH. Presentation of massive orbital hidrocystoma at birth: case report and review of the literature. Eye Vis (Lond). 2017;4:5. doi:10.1186/s40662-017-0069-7
11. Anzai S, Goto M, Fujiwara S, Da T. Apocrine hidrocystoma: a case report and analysis of 167 Japanese cases. Int J Dermatol. 2005;44(8):702-703. doi:10.1111/ j.1365-4632.2005.02512.x


