Eruptive Squamous Atypia: Diagnosis and Management
© 2023 HMP Global. All Rights Reserved.
Any views and opinions expressed are those of the author(s) and/or participants and do not necessarily reflect the views, policy, or position of The Dermatologist or HMP Global, their employees, and affiliates.
Disclosure: The authors report no relevant financial relationships.
Eruptive squamous atypia (ESA) is a condition characterized by idiopathic and/or koebnerizing squamous proliferations. ESA commonly presents on the extremities as monomorphous, hyper- keratotic papules and plaques that occur in response to cutaneous trauma or previous surgery.1 Histologically, there is an overlap with low-grade squamous cell carcinoma (SCC). Terms previously used to describe this entity include eruptive keratoacanthoma (KA) or eruptive SCC but, recently, the term ESA was introduced to distinguish these lesions from SCC and help prevent misdiagnosis and overtreatment.1 Noninvasive therapies, such as intralesional 5-fluorouracil (IL 5-FU), should be considered as first-line treatment for these lesions because surgical intervention often triggers additional koebnerizing lesions.
Case Reports
The selected cases highlight the presentation and course of ESA. Clinical experience with this entity is also detailed.
Case #1
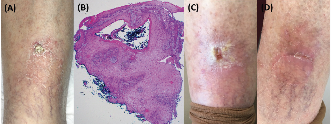
A 92-year-old man presented to the clinic with 4 verrucous papules on the left lower extremity. These papules occurred around a surgical scar created by Mohs excision with secondary healing of an SCC that was treated 3 months earlier (Figure 1A). She had a history of numerous low-grade SCCs on the lower extremities. All 4 lesions were biopsied and showed atypical squamous proliferations (Figure 1B).
Three of the 4 lesions healed following the biopsy, and repeat biopsy of the persistent, enlarging lesion was consistent with crateriform SCC (Figure 1C and Figure 1D, respectively). At this point, the patient declined intralesional therapy and requested Mohs surgery. Six weeks after Mohs excision, the patient developed 2 papules within the liner incision. Biopsies were consistent with koebnerizing ESA (Figure 1G and Figure 1H). Overall, this case is representative of the clinical course and pathologic characteristics of koebnerizing ESA lesions.
Case #2
An 83-year-old woman with a history of basal cell carcinoma (BCC) and SCC presented to the clinic with a firm papule on the right lower extremity. This papule arose on the most superior aspect of a surgical scar created by Mohs excision of a primary, well- differentiated SCC that was performed 1 month earlier (Figure 2A). The defect healed by primary closure, and the most central aspect of the incision was left open to heal by secondary intention. A shave biopsy of the papule showed a well-differentiated SCC, but it was clinically consistent with koebnerizing ESA (Figure 2B).
Two months following the initial Mohs procedure, the patient presented for a first IL 5-FU injection on the ESA lesion on the most superior aspect of the surgical scar. One month later, a new papule was noted in the most inferior aspect of the same surgical scar (Figure 2C). Both papules received IL 5-FU treatments. After the third injection, the superior ESA lesion showed complete clinical response; the papule at the inferior aspect of the incision required 4 injections with IL 5-FU before completely resolving (Figure 2D). Overall, this patient case demonstrates the importance of repeated IL 5-FU injections leading to complete resolution of ESA lesions and highlights the fact that ESA is a clinical diagnosis with potential histologic variation.
There was complete resolution of the ESA lesion on the anterior leg following a single IL 5-FU injection. Two months later, some hypertrophic scarring of the injection site was noticed.
Case #3
An 88-year-old woman was referred for treatment of a scaly lesion on the left anterior leg at the 12 o’clock margin of what appeared to be a porokeratosis. Examination of the left anterior leg showed an erythematous patch without infiltration (Figure 3A). Punch biopsy showed an atypical keratinocytic process with endophytic growth and slight atypia (Figure 3B). Clinical and pathologic features were consistent with idiopathic ESA.
Based on the patient’s personal circumstances, the decision was made to pursue nonsurgical intervention (IL 5-FU injection). Three weeks following initial IL 5-FU treatment, the patient presented with ulceration, er thema, and crusting at the site of injection (Figure 3C). Clinical presentation was consistent with ulceration secondary to IL 5-FU injection, but doxycycline was prescribed prophylactically due to mild tenderness and warmth. Six weeks after the single IL 5-FU injection, the ESA lesion on the anterior leg showed complete response (Figure 3D). In some cases, IL 5-FU treatment can completely resolve idiopathic ESA with a single injection.
Case #4
A 78-year-old woman initially present- ed to her primary care provider with a scaly lesion on her left anterior leg. Punch biopsy showed a well-differen- tiated SCC (Figure 4A); subsequent excision showed residual SCC with negative margins (Figure 4B). Two weeks after excision, 3 scaly lesions developed along the inferior and superior aspects of the sur- gery (Figure 4C). Three biopsies were performed, all of which showed SCC (Figure 4D). These lesions were treated with 2 stages of Mohs surgery at each location and scheduled for repair with skin graft (Figure 4E).
One month after Mohs, the patient presented with multiple keratotic papules and plaques around the periphery of the previous skin graft on her anterior left lower extremity (Figure 4F). Two representative shave biopsies were taken (Figure 4G). Her presentation was consistent with ESA, and the decision was made to treat with IL 5-FU. In the first round of treatment, 12 lesions were injected, and mild ulceration was noted (Figure 4H). In the second round, 12 lesions were injected, with deeper ulce ations noted on follow up (Figure 4I). In the last round, 2 residual lesions were injected (Figure 4J). After 3 rounds of IL 5-FU treatment, the patient had com plete resolution (Figure 4K).
Case #5
A 59-year-old man with a history of SCC originally presented with a keratotic lesion on his left elbow; punch and shave biopsies showed a well- differentiated SCC (Figure 5A). This lesion was subsequently treated with Mohs surgery, and the defect healed by primary closure (Figure 5B). Ap- proximately 8 months later, the patient presented with a new keratotic nodule along the central portion of the surgery scar; shave biopsy showed another SCC (Figure 5C). The patient underwent Mohs surgery for a second time, and the defect was repaired by primary closure (Figure 5D).
Following the second surgery, 3 new keratotic lesions appeared, concerning for ESA. One lesion occurred along the previous surgical scar on the left elbow, and the other 2 occurred on the right upper extremity secondary to recent cutaneous trauma (Figure 5E). Biopsies were consistent with ESA (Figure 5F). The decision was made to treat with IL 5-FU to avoid further cutaneous trauma, and the patient had complete resolution of ESA after 3 rounds of injections. The ESA lesion on the left elbow resolved after 2 injections; slight hyper- pigmentation was seen at the injection site (Figure 5G). Two ESA lesions on the right upper extremity resolved after 3 injections; 1 new lesion was noted inferiorly and underwent further IL 5-FU treatment (Figure 5H). Overall, cases #4 and #5 are typical examples of the clinical-pathologic history of ESA and the treatment course with IL 5-FU for idiopathic and koebnerizing ESA.
Discussion
Clinical case reports of eruptive hyperkeratotic papules and plaques as- sociated with cutaneous injury, such as trauma, surgery, or tattoo application, have been described as eruptive KA or eruptive SCC. In 2019, Que et al introduced the term ESA to describe these clinically identifiable hyperkeratotic papules and plaques to distinguish them from SCC.1 However, much of the pathophysiology of ESA remains unknown.
Que et al suggested that ESA lesions can be classified into 2 categories: focal, koebnerizing ESA (FK-ESA) and diffuse ESA (D-ESA).1 Occurring most commonly on the extremities, FK-ESA presents as 1 or more keratotic papules or plaques localized to sites of cutaneous injury, usually within 3 months of trauma, including surgical excision with negative margins. Damage to the dermal-epidermal junction or superficial trauma due to scratching is thought to induce FK-ESA.2 Similarly, D-ESA most commonly occurs on the lower extremities and progresses as multiple, simultaneously developing papules and plaques. Both types of ESA can occur in the same individual.
Distinguishing ESA from SCC based on histology is often difficult due to overlapping features. In general, ESA lesions are com- posed of well-differentiated, mildly atypical keratinocytes with benign, premalignant, or low-grade malignant features confined to the dermis. A cystic architecture with a pushing border is most often seen. In addition, pseudoepitheliomatous hyperplasia, a feature that is seen in reactive processes, is commonly found in ESA lesions. An infiltrative growth pattern, perineural or lymphovascular invasion, invasion beyond the dermis, and moderate to poor differentiation suggest SCC over ESA.
The diagnosis of ESA is often based on clinical history and the appearance of the lesion on physical examination correlated with histopathology (if a biopsy is taken). The differential diagnosis of ESA includes SCC, verruca vulgaris, prurigo nodularis, and trans- epidermal elimination of sutures. The presence of a single or multiple hyperkeratotic lesion(s) localized to a region of trauma or surgical site within 3 months of excisional surgery is suggestive of FK-ESA. The presence of multiple, synchronous hyperkeratotic papules and plaques over a region of the body suggests D-ESA. Supporting clinical characteristics for diagnosing ESA include lo- cation on the extremities, multiple lesions consistent in size and appearance, and signs of koebnerization.1 ESA is a clinical diagnosis, and biopsy is unnecessary unless lesions fail to respond to noninvasive treatment or exhibit aggressive clinical behavior.
In a retrospective cohort study, Que et al examined the out- comes of 30 patients with 136 ESA lesions in response to IL 5-FU injection.1 Demographically, the mean age of diagnosis was 74 years, all 30 patients were White, and 70% of the participants were women. All patients had a history of keratinocyte carcinoma, and 13% had a history of melanoma. One-third of patients had a history of immunosuppression, including organ transplantation or lymphoproliferative disease. In their series, the median time from surgical excision to development of FK-ESA was 11 weeks (range, 2–17). Patients with D-ESA commonly had a history of pruritus, inflammatory disease, immunosuppression, or diffuse actinic damage.
Traditional approaches to treating SCC, including surgery, radiotherapy, or systemic therapy, are not indicated for ESA. Surgical trauma can precipitate new koebnerizing lesions. Noninvasive treatments, such as intralesional chemotherapy and corticosteroids, have been effective in treating ESA lesions. In the series reported by Que et al, IL 5-FU monotherapy resolved ESA lesions in two-thirds of patients.1 The volume of IL 5-FU (50 mg/mL) injected into each lesion ranged from 0.1 to 1.0 mL, whereas the median cumulative dose of 5-FU injected during the first treatment session was 2 mL. The median number of injections administered into each lesion was 2 (range, 1–8), with a median interval of 3 weeks between sessions. The D-ESA group had lower response rates to intralesional monotherapy compared with FK-ESA. Additional adjuvant therapy, such as topical 5-FU under occlusion, clobetasol, cryotherapy, or acitretin, successfully resolved lesions not responding to IL 5-FU monotherapy. Two patients who did not respond to IL 5-FU experienced complete clearance following shave biopsy. Neither lesion had features suggestive of SCC on biopsy, and none of the patients in their series required surgical excision. Adverse reactions of IL 5-FU therapy were mild and included cutaneous dyspigmentation and superficial ulcerations or erosions.1 Injection sites healed in an average of 3 weeks after treatment.
In addition to IL 5-FU, intralesional methotrexate (IL MTX) has shown efficacy in the treatment of KAs.3 Moss et al reported 88% efficacy of IL MTX (12.5 mg/mL) treatment for 157 KA lesions.4 Between 1 to 4 injections were administered to each lesion, and injection volumes ranged from 0.075 to 1 mL, with injections spaced 2 to 4 weeks apart.4 A systematic review of 11 case series and 12 case reports found that IL MTX resulted in resolution of 74% to 100% of KA lesions and 68% of SCCs with minimal to no adverse reactions.5 IL MTX has been used to treat eruptive KAs and may be considered in patients with ESA who have contraindications to IL 5-FU.
Intralesional triamcinolone acetonide or triamcinolone diacetate are alternatives to intralesional chemotherapy. Multiple, reactive KAs have completely resolved following intralesional corticosteroid injections.6,7 When noninvasive options fail, surgical excision may be considered. In these cases, electrodesiccation is minimized, and surgical defects are allowed to heal secondarily to minimize trauma and inflammation that can be induced by suture.8,9
In our Mohs practice, we frequently encounter FK-ESA and D- ESA. Our protocol for IL 5-FU injection mirrors that described by Que et al.1 The lesion is first anesthetized with lidocaine and epinephrine to minimize the discomfort of 5-FU injection. IL 5-FU (50 mg/mL) is injected intradermally and within the lesion until blanching occurs. As suggested by Que et al, 0.1 to 1.0 mL is injected into individual lesions based on the size.1 We repeat the injections at intervals of 2 to 4 weeks and continue the injections if the lesions are responding (decreasing in size). We reserve surgical excision for lesions that increase in size or persist despite 2 to 3 injections. We occasionally encounter lesion ulceration following IL 5-FU injection.
Conclusion
For many years, clinicians have struggled to understand the eruptive squamous proliferations that occur on the extremities of chronically sun-damaged skin, particularly in female patients. These eruptions have been known by various names, including eruptive or reactive KA. The term ESA unifies both idiopathic and koebnerizing lesions that may develop in the same patient. Familiarity with the clinical presentation of ESA is important because it is a clinical diagnosis with nonspecific histology. These lesions are often aggravated or triggered by surgical excision and, thus, noninvasive treatment such as IL 5-FU should be considered as first-line therapy.
References
- Que SKT, Compton LA, Schmults CD. Eruptive squamous atypia (also known as eruptive keratoacanthoma): definition of the disease entity and successful management via intralesional 5-fluorouracil. J Am Acad Dermatol. 2019;81(1):111-122. doi:10.1016/j.jaad.2018.10.014
- Crow LD, Perkins I, Twigg AR, et al. Treatment of PD-1/PD-L1 inhibitor-Induced dermatitis resolves concomitant eruptive keratoacanthomas. JAMA Dermatol. 2020;156(5):598-600. doi:10.1001/jamadermatol.2020.0176
- Chitwood K, Etzkorn J, Cohen G. Topical and intralesional treatment of nonmelanoma skin cancer: efficacy and cost comparisons. Dermatol Surg. 2013;39(9):1306- 1316. doi:10.1111/dsu.12300
- Moss M, Weber E, Hoverson K, Montemarano AD. Management of keratoacanthoma: 157 tumors treated with surgery or intralesional methotrexate. Dermatol Surg. 2019;45(7):877-883. doi:10.1097/DSS.0000000000001739
- Searle T, Ali FR, Al-Niaimi F. Intralesional methotrexate in dermatology: diverse indications and practical considerations. Dermatol Ther. 2021;34(1):e14404. doi:10.1111/dth.14404
- West L, Ayoade K, Vandergriff T, Nijhawan RI. Multiple reactive keratoacanthomas treated with zinc oxide wraps and intralesional corticosteroids. JAAD Case Rep. 2018;4(7):701-704. doi:10.1016/j.jdcr.2018.06.005
- Sanders S, Busam KJ, Halpern AC, Nehal KS. Intralesional corticosteroid treatment of multiple eruptive keratoacanthomas: case report and review of a controversial therapy. Dermatol Surg. 2002;28(10):954-958. doi:10.1046/j.1524-4725.2002.02069.
- Biswas D, Wysocki RW, Fernandez JJ, Cohen MS. Local and regional flaps for hand coverage. J Hand Surg Am. 2014;39(5):992-1004. doi:10.1016/j.jhsa.2013.09.027
- Magliano J, Rossi V, Turra N, Bazzano C. Secondary-intention healing following Mohs micrographic surgery for squamous cell carcinoma of a finger. Int Wound J. 2019;16(3):860-861. doi:10.1111/iwj.12979


