Congenital Epidermal Loss and Gastrointestinal Obstruction in a Newborn
Epidermolysis bullosa with pyloric atresia (EB-PA) is a rare and severe inherited blistering disorder characterized by congenital skin fragility and gastrointestinal obstruction resulting from pyloric atresia. Affected neonates typically present at birth with widespread blistering, erosions, and areas of aplasia cutis congenital, accompanied by abdominal distension due to gastric outlet obstruction.1-4 EB-PA most commonly results from pathogenic variants in genes encoding hemidesmosomal proteins essential for dermal-epidermal adhesion, including ITGA6, ITGB4, and PLEC.5,6 The disease course is frequently severe and often fatal in the neonatal period despite aggressive medical and surgical management.1,7 We present a case of a late preterm neonate with classic cutaneous and gastrointestinal manifestations of EB-PA caused by a pathogenic ITGB4 variant.
Case Report
A 1-day-old female neonate was transferred to the neonatal intensive care unit following emergent cesarean delivery at 35 weeks’ gestation for category III fetal heart tracings. The pregnancy was notable for minimal prenatal care and absence of prenatal genetic testing. She was the first child of healthy, unrelated parents with no known family history of dermatologic disease. At birth, the infant exhibited poor tone, low APGAR scores, and extensive skin abnormalities requiring intubation.
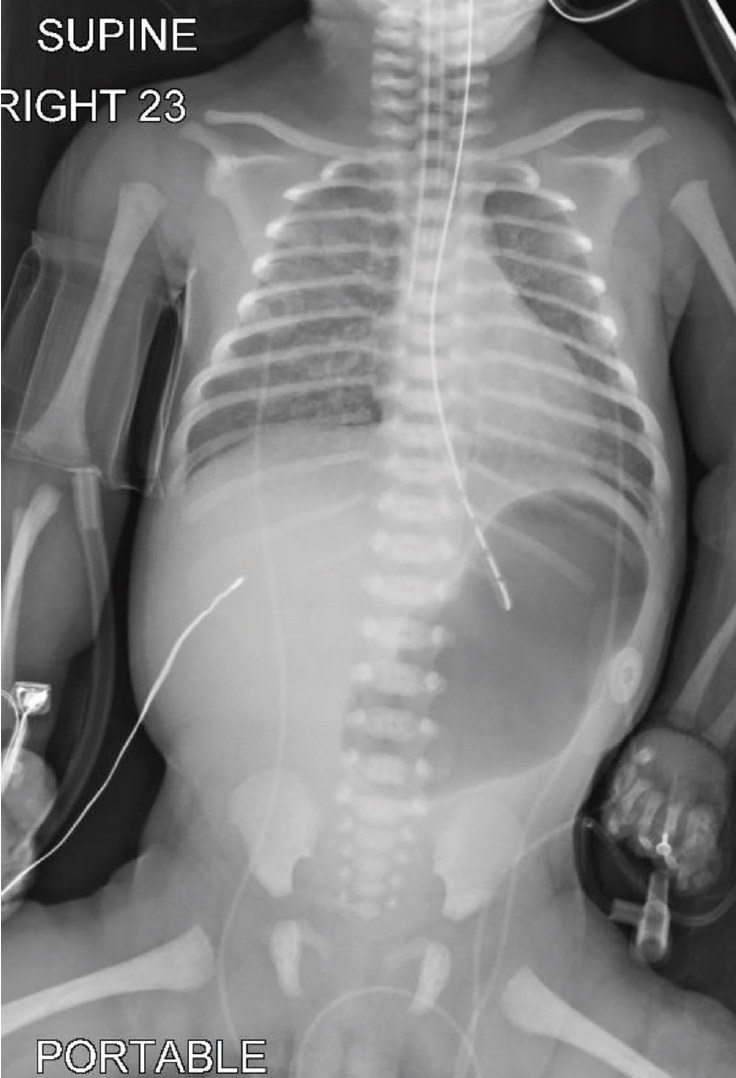
On examination, the critically ill neonate demonstrated large areas of aplasia cutis congenita involving the bilateral temporal scalp with extension onto the lateral cheeks and external ears (Figure 1). Widespread denuded skin and erosions were present on the face, neck, trunk, and extremities, developing in areas of minimal friction. The distal extremities exhibited a stocking-and-glove distribution of skin loss with apparent contractures (Figure 2). Syndactyly of multiple digits was observed. Abdominal radiography revealed marked gastric distension with paucity of distal bowel gas, findings consistent with pyloric atresia (Figure 3).
Genetic testing subsequently identified a pathogenic variant in the ITGB4 gene, confirming the diagnosis of EB-PA. Despite supportive care, the patient developed persistent encephalopathy and progressive multiorgan failure. After discussion with the medical team, the family elected to withdraw life-sustaining measures. The infant passed away at 9 days of life.
Discussion
EB-PA represents one of the most severe phenotypes within the epidermolysis bullosa spectrum. Clinically affected neonates often present with extensive blistering, denuded skin, aplasia cutis congenita, and gastrointestinal obstruction due to pyloric atresia, as observed in this case.1-4 Additional associated anomalies may include renal and urinary tract malformations, nail dystrophy, joint contractures, and protein-losing enteropathy.1,3
The condition most commonly arises from pathogenic variants in ITGA6, ITGB4, or PLEC, which encode structural components of hemidesmosomes responsible for anchoring basal keratinocytes to the basement membrane.5,6 Disruption of these proteins leads to profound epithelial fragility affecting both cutaneous and mucosal surfaces, explaining the combined dermatologic and gastrointestinal manifestations characteristic of EB-PA.
Prognosis remains poor, with most infants succumbing in the neonatal period due to complications such as sepsis, respiratory failure, metabolic derangements, and extensive fluid loss from large, denuded skin surfaces.1 Infants with significant aplasia cutis congenita, as in this case, appear to be at particularly high risk of early mortality. Rare long-term survivors have been reported, although disease severity varies and is often accompanied by chronic complications, including recurrent infections, nutritional deficiencies, renal dysfunction, and persistent blistering.1,7
Management requires a multidisciplinary approach involving dermatology, neonatology, surgery, nutrition, and wound care specialists. Early surgical correction of pyloric atresia via pyloroplasty or gastro-duodenostomy is essential for survival.8,9 Cutaneous care is primarily supportive, emphasizing gentle handling, nonadherent dressings, careful blister drainage, topical antimicrobials, and systemic antibiotics when infection is suspected. Despite aggressive interventions, long-term outcomes remain limited.
Conclusion
EB-PA is an inherited blistering disorder presenting at birth with extensive skin fragility and gastrointestinal obstruction. This case highlights the classic clinical features of widespread erosions, aplasia cutis congenita, and pyloric atresia resulting from a pathogenic ITGB4 variant. Despite advances in neonatal care and surgical management, prognosis remains poor, underscoring the importance of early recognition, genetic diagnosis, and multidisciplinary supportive care.
Reference
1. Lucky AW, Gorell E. Epidermolysis bullosa with pyloric atresia. In: GeneReviews [Internet]. University of Washington, Seattle; 1993–2026
2. Matyas M, Miclea D, Zaharie G. Case report: uncommon association of ITGB4 and KRT10 gene mutation in a case of epidermolysis bullosa with pyloric atresia and aplasia cutis congenita. Front Genet. 2021;12:641977. doi:10.3389/fgene.2021.641977
3. Walker GD, Woody M, Orrin E, Mellerio JE, Levy ML. Epidermolysis bullosa with pyloric atresia and significant urologic involvement. Pediatr Dermatol. 2017;34(1):e61-e64. doi:10.1111/pde.13026
4. Puvabanditsin S, Garrow E, Kim DU, Tirakitsoontorn P, Luan J. Junctional epidermolysis bullosa associated with congenital localized absence of skin, and pyloric atresia in two newborn siblings. J Am Acad Dermatol. 2001;44(2 Suppl):330-335. doi:10.1067/mjd.2001.105480
5. Wee LWY, Tan EC, Bishnoi P, et al. Epidermolysis bullosa with pyloric atresia associated with compound heterozygous ITGB4 pathogenic variants: minimal skin involvement but severe mucocutaneous disease. Pediatr Dermatol. 2021;38(4):908- 912. doi:10.1111/pde.14668
6. Kaneyasu H, Takahashi K, Ohta N, et al. Novel compound heterozygous mutations in the PLEC gene in a neonate with epidermolysis bullosa simplex with pyloric atresia. J Dermatol. 2023;50(2):239-244. doi:10.1111/1346-8138.16553
7. Hayashi AH, Galliani CA, Gillis DA. Congenital pyloric atresia and junctional epidermolysis bullosa: a report of long-term survival and a review of the literature. J Pediatr Surg. 1991;26(11):1341-1345. doi:10.1016/0022-3468(91)90616-2
8. Dessanti A, Iannuccelli M, Dore A, Meloni GB, Niolu P. Pyloric atresia: an attempt at anatomic pyloric sphincter reconstruction. J Pediatr Surg. 2000;35(9):1372-1374. doi:10.1053/jpsu.2000.9340
9. Son TN, Hoan VX. Laparoscopic management of pyloric atresia in a neonate with epidermolysis bullosa. J Laparoendosc Adv Surg Techn A. 2013;23(7):649-650. doi:10.1089/lap.2013.0189


