An Atypical Morphology of Oral Lichen Planus
© 2023 HMP Global. All Rights Reserved.
Any views and opinions expressed are those of the author(s) and/or participants and do not necessarily reflect the views, policy, or position of The Dermatologist or HMP Global, their employees, and affiliates.
Lichen planus (LP) is an autoimmune disease caused by cytotoxic CD8+ T-cell recruitment into the skin, with resultant dermatitis.1 It has a prevalence of 0.89% in the general population.2 The characteristic lesions are purple, polygonal, planar, and pruritic, with associated fine white lines, affecting the skin, nails, hair, and/or mucous membranes.3 Environmental factors, such as drugs, contact allergens, and viruses like hepatitis C, are thought to be associated with LP.4,5 Diagnosis can be confirmed histologically and is recognized by interface dermatitis with a band-like lymphocytic infiltrate in the upper dermis.3 Several known clinical variants of LP include cutaneous LP, mucosal LP, lichen planopilaris, nail LP, lichen planus pemphigoides, lichenoid graft-vs-host disease, and lichenoid drug eruptions.3 The mainstay of therapy for most subtypes consists of topical corticosteroids, with systemic steroids and other immunosuppressant agents reserved for severe or recalcitrant cases.6 Mucosal LP is a subtype that is often chronic and refractory in nature.7,8 A further subclassification, oral lichen planus (OLP), can affect the tongue, buccal mucosa, lips, and/or gums.3
Case
A 50-year-old woman presented to our dermatology clinic in February 2022 for evaluation of scattered, small, pruritic, dark papules present on the upper and lower extremities (Figure 1).
She first noticed these lesions roughly 1 year prior. They began as small bumps, which progressively enlarged to their current size. Additionally, the patient had purplish, hyperpigmented, lacy streaks present on her tongue and bilateral buccal mucosa (Figure 2). This oral hyperpigmentation had also been present for the past year. The patient had multiple dental amalgam fillings in the past that were removed 2 years ago. She had a history of cigarette smoking but quit 3 years ago. The patient had no pertinent medical history, including no history of skin or oral disease. She had no known allergies. Aside from an oral iron supplement and topical diclofenac gel for low back pain, she had not been taking any medications.
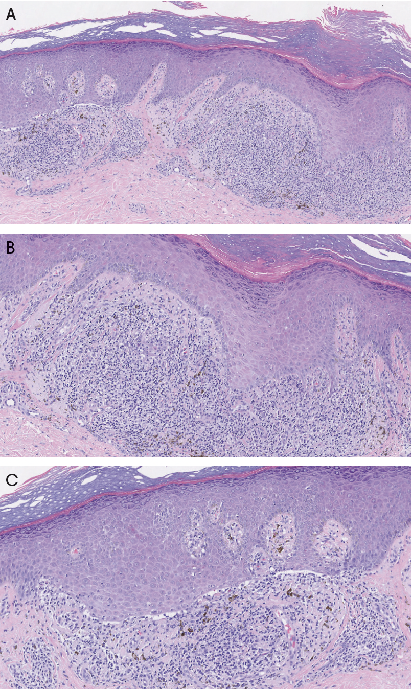
She was seen by her primary care physician in September 2021 for said lesions and prescribed triamcinolone 0.5% ointment at that time for presumed nummular dermatitis. At a follow-up visit, she was referred to dermatology. At this visit, a punch biopsy was performed on one of the lesions on the patient’s right arm, hepatitis C testing was ordered, and she was prescribed 0.1% triamcinolone ointment to apply twice a day to affected areas of the body and a dental paste to apply to the oral lesions, with a plan to follow up in 2 months. The results of the biopsy were confirmatory for LP (Figure 3). The patient was subsequently lost to follow up.
Discussion
For this patient, we considered several diagnoses for the cutaneous lesions, including prurigo and psoriasis, before the biopsy confirmed LP. The differential diagnosis of the oral hyperpigmentation included OLP, geographic tongue, and oral hairy tongue, among others. Given the biopsy results, the temporal association of the symptoms, and the distribution pattern of the oral lesions, this case most likely represents an atypical presentation of OLP. The classic presentation of OLP consists of a symmetric pattern on the bilateral buccal mucosa, with sites such as the tongue and/or gingiva being other commonly involved areas.9,10 The 6 documented clinical subtypes of OLP include reticular, atrophic, erosive, bullous, papular, and plaque-like.11 Of these, the most common are reticular lesions, which often lack symptoms and manifest as papules within a network of lacy, whitish-gray lines, commonly known as Wickham striae.12 The diagnosis can be made by histology or solely by the clinical appearance in the case of characteristic bilateral reticular lesions.10
This patient’s case most likely represents a less common variant of the reticular pattern. The distribution and shape of the lesions are classic for OLP. However, this patient exhibited a dark purple, deep hyperpigmentation and her oral lesions were lacking the characteristic white, lace-like Wickham striae network. OLP exhibits a female predominance, with a roughly 2:1 female-to-male ratio, and onset is typically between ages 30 and 60 years.13,14 Current evidence suggests that over 70% of patients with cutaneous LP go on to develop OLP.13,15 Our patient fits these classic demographic characteristics for OLP, and her oral lesions likely developed insidiously following the onset of her cutaneous disease. It is possible that these oral manifestations were originally precipitated by the patient’s previous dental amalgams.
Oral lichenoid reaction (OLR) triggered by dental restorative materials has been widely documented, with cases involving amalgam (mercury), cobalt, nickel, and dental acrylics being commonly reported.10,16 OLR is considered a variant of OLP and can exist as its own disease entity or as an exacerbation of underlying OLP.10 The proposed pathogenesis of this phenomenon includes antigenic altering of basal keratinocytes by mercury-containing dental materials in direct contact with oral mucosa, leading to a subsequent type IV hypersensitivity reaction, which may manifest as lichenoid lesions.17 In this case, the patient developed cutaneous disease followed by these atypical oral lesions, which she did not notice until after her amalgam fillings were removed. It is possible that her underlying case of developing OLP was exacerbated by mucosal exposure to mercury fillings, eventually resulting in her current clinical presentation. Subsequent other phenomena, namely koebnerization, could have contributed to disease progression over time.12
with hematoxylin-eosin (H&E) stain, 5x magnification (A)
and H&E stain, 10x magnification (B and C).
Conclusion
It is currently unknown to us what led to this patient’s atypical presentation. The unique circumstances of her particular amalgam reaction could have contributed to the atypical presentation. If not lost to follow up, patch testing may have been helpful to further elucidate disease.6 Furthermore, skin disease manifestations may vary between ethnic groups. Conditions such as atopic dermatitis and melanoma have well-documented and clinically important differences amongst different skin tones and ethnic groups.18-20 With most dermatologic education and reference material being based on lighter skin tones, could this Black patient’s OLP represent an atypical subtype more common in darker skin tones?
References
1. Shiohara T, Moriya N, Mochizuki T, Nagashima M. Lichenoid tissue reaction (LTR) induced by local transfer of Ia-reactive-T-cell clones. II. LTR by epidermal invasion of cytotoxic lymphokine-producing autoreactive T cells. J Invest Dermatol. 1987;89(1):8-14.
2. Li C, Tang X, Zheng X, et al. Global prevalence and incidence of oral lichen planus: a systematic review and meta-analysis. JAMA Dermatol. 2020;156(2):172-181. doi:10.1001/jamadermatol.2019.3797
3. Boch K, Langan EA, Kridin K, Zillikens D, Ludwig RJ, Bieber K. Lichen planus. Front Med (Lasuanne). 2021;8:737813. doi:10.3389/fmed.2021.737813
4. Le Cleach L, Chosidow O. Clinical practice. Lichen planus. N Engl J Med. 2012;366(8):723-732. doi:10.1056/NEJMcp1103641
5. Alaizari NA, Al-Maweri SA, Al-Shamiri HM, Tarakji B, Shugaa-Addin B. Hepatitis C virus infections in oral lichen planus: a systematic review and meta-analysis. Aust Dent J. 2016;61(3):282-287. doi:10.1111/adj.12382
6. Ioannides D, Vakirlis E, Kemeny L, et al. European S1 guidelines on the management of lichen planus: a cooperation of the European Dermatology Forum with the European Academy of Dermatology and Venereology. J Eur Acad Dermatol Venereol. 2020;34(7):1403-1414. doi:10.1111/jdv.16464
7. Mignogna MD, Muzio LL, Russo LL, Fedele S, Ruoppo E, Bucci E. Oral lichen planus: diff erent clinical features in HCV-positive and HCV-negative patients. Int J Dermatol. 2000;39(2):134-139. doi:10.1046/j.1365-4362.2000.00903.x
8. Boch K, Langan EA, Zillikens D, Ludwig RJ, Kridin K. Retrospective analysis of the clinical characteristics and patient-reported outcomes in vulval lichen planus: results from a single-center study. J Dermatol. 2021;48(12):1913-1917. doi:10.1111/1346-8138.16191
9. Al-Hashimi I, Schifter M, Lockhart PB, et al. Oral lichen planus and oral lichenoid lesions: diagnostic and therapeutic considerations. Oral Surg Oral Med Oral Pathol Oral Radiol Endod. 2007;103 Suppl:S25.e1-e12. doi:10.1016/j.tripleo.2006.11.001
10. Ismail SB, Kumar SKS, Zain RB. Oral lichen planus and lichenoid reactions: etiopathogenesis, diagnosis, management and malignant transformation. J Oral Sci. 2007;49(2):89-106. doi:10.2334/josnusd.49.89
11. Alrashdan MS, Cirillo N, McCullough M. Oral lichen planus: a literature review and update. Arch Dermatol Res. 2016;308(8):539-551. doi:10.1007/s00403-016-1667-2
12. Eisen D, Carrozzo M, Bagan Sebastian JV, Thongprasom K. Number V Oral lichen planus: clinical features and management. Oral Dis. 2005;11(6):338-349. doi:10.1111/j.1601-0825.2005.01142.x
13. Farhi D, Dupin N. Pathophysiology, etiologic factors, and clinical management of oral lichen planus, part I: facts and controversies. Clin Dermatol. 2010;28(1):100-108. doi:10.1016/j.clindermatol.2009.03.004
14. Scully C, Beyli M, Ferreiro MC, et al. Update on oral lichen planus: etiopathogenesis and management. Crit Rev Oral Biol Med. 1998;9(1):86-122. doi:10.1177/10454411980090010501
15. Parashar P. Oral lichen planus. Otolaryngol Clin North Am. 2011;44(1):89-107. doi:10.1016/j.otc.2010.09.004
16. Lind PO, Hurlen B, Lyberg T, Aas E. Amalgam-related oral lichenoid reaction. Scand J Dent Res. 1986;94(5):448-451. doi:10.1111/j.1600-0722.1986.tb01786.x
17. Bolewska J, Reibel J. T lymphocytes, Langerhans cells and HLA-DR expression on keratinocytes in oral lesions associated with amalgam restorations. J Oral Pathol Med. 1989;18(9):525-528. doi:10.1111/j.1600-0714.1989.tb01356.x
18. Myers J. Challenges of identifying eczema in darkly pigmented skin. Nurs Child Young People. 2015;27(6):24-28. doi:10.7748/ncyp.27.6.24.e571
19. Torres V, Herane MI, Costa A, Martin JP, Troielli P. Refining the ideas of “ethnic” skin. An Bras Dermatol. 2017;92(2):221-225. doi:10.1590/abd1806-4841.20174846
20. Kailas A, Solomon JA, Mostow EN, Rigel DS, Kittles R, Taylor SC. Gaps in the understanding and treatment of skin cancer in people of color. J Am Acad Dermatol. 2016;74(5):1020-1021. doi:10.1016/j.jaad.2015.11.028


