Skip to main content
Board Review

The Dermatologist’s Board Review - May 2017

May 2017

The contents of these questions are taken from the Galderma Pre-Board Webinar. The Pre-Board Webinar is now an online course. For details, go to www.pre-board.com.  

1.This spontaneous and trauma-induced eruption started at 4 months of age and was exacerbated by aspirin. The most likely diagnosis is?

a) Pseudoporphyria
b) Erythropoietic protoporphyria
c) Juvenile bullous pemphigoid
d) Mastocytosis
e) A delayed-onset form of epidermolysis bullosa

 

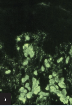
2. The fluorescent structures are:

a) Civatte bodies
b) Immune complexes
c) Bacteria
d) Blood vessels
e) Mast cells

 

 

 

 

 

 

The answers can be found on the next page.

BOARD REVIEW ANSWERS

1. This spontaneous and trauma-induced eruption started at 4 months of age and was exacerbated by aspirin. The most likely diagnosis is?

d) Mastocytosis

Cutaneous manifestations may include pigmented macules, papules, and plaques; telangiectatic macules; solitary or multiple nodules; diffuse induration of skin and blisters; and erythroderma. Blisters are an uncommon manifestation. They usually occur following trauma or whealing of skin but may arise spontaneously on normal appearing skin or over solitary mastocytomas. Bullous mastocytosis usually occurs during and subsides within the first year of life. The diagnosis can be strongly suspected on hematoxylin-eosin stained sections of lesions, because of the presence of clusters of cells with basophilic cuboidal nuclei in the upper dermis beneath the basement membrane zone. Giemsa and toluidine blue stains help confirm the presence of mast cells. Dermal-epidermal separation occurs within the lamina lucida; mast cell-released chymase may be responsible. A number of mast cell granule-releasing drugs may exacerbate the disease, including nonsteroidal anti-inflammatory drugs, opiates, curare derivatives, and alcohol.

References
Tharp MD, Longley BJ Jr. Mastocytosis. Dermatol Clin. 2001;19(4):679-696.
Simpson JK, Metcalfe DD. Mastocytosis and disorders of mast cell proliferation. Clin Rev Allergy Immunol. 2002;22(2):175-188.
Hartmann K, Henz BM. Cutaneous mastocytosis—clinical heterogeneity. Int Arch Allergy Immunol. 2002;127(2):143-146.

 

2. The fluorescent structures are:

a)  Civatte bodies

These upper dermal structures are Civatte bodies (also known as cytoid or hyaline bodies), which are probably remnants of apoptotic keratinocytes coated with immunoglobulins. They may stain with antisera for IgG, IgA, and/or IgM. They may be seen in the upper dermis in a variety of inflammatory conditions. Civatte bodies are not disease specific but often are present in large numbers in lichen planus.  

Reference
Nesbitt LT Jr, Gum OB. Direct cutaneous immunofluorescent test in lupus erythematosus. South Med J. 1973;66(9):991-997.

 

Jo-David Fine, MD, MPH, FRCP, is board certified in internal medicine, dermatology, and diagnostic and laboratory immunodermatology. Dr Fine is currently professor of medicine (dermatology) and pediatrics at Vanderbilt University School of Medicine in Nashville, TN.

Ron J. Feldman, MD, PhD, is assistant professor in the department of dermatology at Emory University School of Medicine in Atlanta, GA.

The contents of these questions are taken from the Galderma Pre-Board Webinar. The Pre-Board Webinar is now an online course. For details, go to www.pre-board.com.  

1.This spontaneous and trauma-induced eruption started at 4 months of age and was exacerbated by aspirin. The most likely diagnosis is?

a) Pseudoporphyria
b) Erythropoietic protoporphyria
c) Juvenile bullous pemphigoid
d) Mastocytosis
e) A delayed-onset form of epidermolysis bullosa

 

2. The fluorescent structures are:

a) Civatte bodies
b) Immune complexes
c) Bacteria
d) Blood vessels
e) Mast cells

 

 

 

 

 

 

1. This spontaneous and trauma-induced eruption started at 4 months of age and was exacerbated by aspirin. The most likely diagnosis is?

d) Mastocytosis

Cutaneous manifestations may include pigmented macules, papules, and plaques; telangiectatic macules; solitary or multiple nodules; diffuse induration of skin and blisters; and erythroderma. Blisters are an uncommon manifestation. They usually occur following trauma or whealing of skin but may arise spontaneously on normal appearing skin or over solitary mastocytomas. Bullous mastocytosis usually occurs during and subsides within the first year of life. The diagnosis can be strongly suspected on hematoxylin-eosin stained sections of lesions, because of the presence of clusters of cells with basophilic cuboidal nuclei in the upper dermis beneath the basement membrane zone. Giemsa and toluidine blue stains help confirm the presence of mast cells. Dermal-epidermal separation occurs within the lamina lucida; mast cell-released chymase may be responsible. A number of mast cell granule-releasing drugs may exacerbate the disease, including nonsteroidal anti-inflammatory drugs, opiates, curare derivatives, and alcohol.

References
Tharp MD, Longley BJ Jr. Mastocytosis. Dermatol Clin. 2001;19(4):679-696.
Simpson JK, Metcalfe DD. Mastocytosis and disorders of mast cell proliferation. Clin Rev Allergy Immunol. 2002;22(2):175-188.
Hartmann K, Henz BM. Cutaneous mastocytosis—clinical heterogeneity. Int Arch Allergy Immunol. 2002;127(2):143-146.

 

2. The fluorescent structures are:

a)  Civatte bodies

These upper dermal structures are Civatte bodies (also known as cytoid or hyaline bodies), which are probably remnants of apoptotic keratinocytes coated with immunoglobulins. They may stain with antisera for IgG, IgA, and/or IgM. They may be seen in the upper dermis in a variety of inflammatory conditions. Civatte bodies are not disease specific but often are present in large numbers in lichen planus.  

Reference
Nesbitt LT Jr, Gum OB. Direct cutaneous immunofluorescent test in lupus erythematosus. South Med J. 1973;66(9):991-997.

 

Jo-David Fine, MD, MPH, FRCP, is board certified in internal medicine, dermatology, and diagnostic and laboratory immunodermatology. Dr Fine is currently professor of medicine (dermatology) and pediatrics at Vanderbilt University School of Medicine in Nashville, TN.

Ron J. Feldman, MD, PhD, is assistant professor in the department of dermatology at Emory University School of Medicine in Atlanta, GA.

The contents of these questions are taken from the Galderma Pre-Board Webinar. The Pre-Board Webinar is now an online course. For details, go to www.pre-board.com.  

1.This spontaneous and trauma-induced eruption started at 4 months of age and was exacerbated by aspirin. The most likely diagnosis is?

a) Pseudoporphyria
b) Erythropoietic protoporphyria
c) Juvenile bullous pemphigoid
d) Mastocytosis
e) A delayed-onset form of epidermolysis bullosa

 

2. The fluorescent structures are:

a) Civatte bodies
b) Immune complexes
c) Bacteria
d) Blood vessels
e) Mast cells

 

 

 

 

 

 

,

The contents of these questions are taken from the Galderma Pre-Board Webinar. The Pre-Board Webinar is now an online course. For details, go to www.pre-board.com.  

1.This spontaneous and trauma-induced eruption started at 4 months of age and was exacerbated by aspirin. The most likely diagnosis is?

a) Pseudoporphyria
b) Erythropoietic protoporphyria
c) Juvenile bullous pemphigoid
d) Mastocytosis
e) A delayed-onset form of epidermolysis bullosa

 

2. The fluorescent structures are:

a) Civatte bodies
b) Immune complexes
c) Bacteria
d) Blood vessels
e) Mast cells

 

 

 

 

 

 

The answers can be found on the next page.

BOARD REVIEW ANSWERS

1. This spontaneous and trauma-induced eruption started at 4 months of age and was exacerbated by aspirin. The most likely diagnosis is?

d) Mastocytosis

Cutaneous manifestations may include pigmented macules, papules, and plaques; telangiectatic macules; solitary or multiple nodules; diffuse induration of skin and blisters; and erythroderma. Blisters are an uncommon manifestation. They usually occur following trauma or whealing of skin but may arise spontaneously on normal appearing skin or over solitary mastocytomas. Bullous mastocytosis usually occurs during and subsides within the first year of life. The diagnosis can be strongly suspected on hematoxylin-eosin stained sections of lesions, because of the presence of clusters of cells with basophilic cuboidal nuclei in the upper dermis beneath the basement membrane zone. Giemsa and toluidine blue stains help confirm the presence of mast cells. Dermal-epidermal separation occurs within the lamina lucida; mast cell-released chymase may be responsible. A number of mast cell granule-releasing drugs may exacerbate the disease, including nonsteroidal anti-inflammatory drugs, opiates, curare derivatives, and alcohol.

References
Tharp MD, Longley BJ Jr. Mastocytosis. Dermatol Clin. 2001;19(4):679-696.
Simpson JK, Metcalfe DD. Mastocytosis and disorders of mast cell proliferation. Clin Rev Allergy Immunol. 2002;22(2):175-188.
Hartmann K, Henz BM. Cutaneous mastocytosis—clinical heterogeneity. Int Arch Allergy Immunol. 2002;127(2):143-146.

 

2. The fluorescent structures are:

a)  Civatte bodies

These upper dermal structures are Civatte bodies (also known as cytoid or hyaline bodies), which are probably remnants of apoptotic keratinocytes coated with immunoglobulins. They may stain with antisera for IgG, IgA, and/or IgM. They may be seen in the upper dermis in a variety of inflammatory conditions. Civatte bodies are not disease specific but often are present in large numbers in lichen planus.  

Reference
Nesbitt LT Jr, Gum OB. Direct cutaneous immunofluorescent test in lupus erythematosus. South Med J. 1973;66(9):991-997.

 

Jo-David Fine, MD, MPH, FRCP, is board certified in internal medicine, dermatology, and diagnostic and laboratory immunodermatology. Dr Fine is currently professor of medicine (dermatology) and pediatrics at Vanderbilt University School of Medicine in Nashville, TN.

Ron J. Feldman, MD, PhD, is assistant professor in the department of dermatology at Emory University School of Medicine in Atlanta, GA.

The contents of these questions are taken from the Galderma Pre-Board Webinar. The Pre-Board Webinar is now an online course. For details, go to www.pre-board.com.  

1.This spontaneous and trauma-induced eruption started at 4 months of age and was exacerbated by aspirin. The most likely diagnosis is?

a) Pseudoporphyria
b) Erythropoietic protoporphyria
c) Juvenile bullous pemphigoid
d) Mastocytosis
e) A delayed-onset form of epidermolysis bullosa

 

2. The fluorescent structures are:

a) Civatte bodies
b) Immune complexes
c) Bacteria
d) Blood vessels
e) Mast cells

 

 

 

 

 

 

1. This spontaneous and trauma-induced eruption started at 4 months of age and was exacerbated by aspirin. The most likely diagnosis is?

d) Mastocytosis

Cutaneous manifestations may include pigmented macules, papules, and plaques; telangiectatic macules; solitary or multiple nodules; diffuse induration of skin and blisters; and erythroderma. Blisters are an uncommon manifestation. They usually occur following trauma or whealing of skin but may arise spontaneously on normal appearing skin or over solitary mastocytomas. Bullous mastocytosis usually occurs during and subsides within the first year of life. The diagnosis can be strongly suspected on hematoxylin-eosin stained sections of lesions, because of the presence of clusters of cells with basophilic cuboidal nuclei in the upper dermis beneath the basement membrane zone. Giemsa and toluidine blue stains help confirm the presence of mast cells. Dermal-epidermal separation occurs within the lamina lucida; mast cell-released chymase may be responsible. A number of mast cell granule-releasing drugs may exacerbate the disease, including nonsteroidal anti-inflammatory drugs, opiates, curare derivatives, and alcohol.

References
Tharp MD, Longley BJ Jr. Mastocytosis. Dermatol Clin. 2001;19(4):679-696.
Simpson JK, Metcalfe DD. Mastocytosis and disorders of mast cell proliferation. Clin Rev Allergy Immunol. 2002;22(2):175-188.
Hartmann K, Henz BM. Cutaneous mastocytosis—clinical heterogeneity. Int Arch Allergy Immunol. 2002;127(2):143-146.

 

2. The fluorescent structures are:

a)  Civatte bodies

These upper dermal structures are Civatte bodies (also known as cytoid or hyaline bodies), which are probably remnants of apoptotic keratinocytes coated with immunoglobulins. They may stain with antisera for IgG, IgA, and/or IgM. They may be seen in the upper dermis in a variety of inflammatory conditions. Civatte bodies are not disease specific but often are present in large numbers in lichen planus.  

Reference
Nesbitt LT Jr, Gum OB. Direct cutaneous immunofluorescent test in lupus erythematosus. South Med J. 1973;66(9):991-997.

 

Jo-David Fine, MD, MPH, FRCP, is board certified in internal medicine, dermatology, and diagnostic and laboratory immunodermatology. Dr Fine is currently professor of medicine (dermatology) and pediatrics at Vanderbilt University School of Medicine in Nashville, TN.

Ron J. Feldman, MD, PhD, is assistant professor in the department of dermatology at Emory University School of Medicine in Atlanta, GA.

1. This spontaneous and trauma-induced eruption started at 4 months of age and was exacerbated by aspirin. The most likely diagnosis is?

d) Mastocytosis

Cutaneous manifestations may include pigmented macules, papules, and plaques; telangiectatic macules; solitary or multiple nodules; diffuse induration of skin and blisters; and erythroderma. Blisters are an uncommon manifestation. They usually occur following trauma or whealing of skin but may arise spontaneously on normal appearing skin or over solitary mastocytomas. Bullous mastocytosis usually occurs during and subsides within the first year of life. The diagnosis can be strongly suspected on hematoxylin-eosin stained sections of lesions, because of the presence of clusters of cells with basophilic cuboidal nuclei in the upper dermis beneath the basement membrane zone. Giemsa and toluidine blue stains help confirm the presence of mast cells. Dermal-epidermal separation occurs within the lamina lucida; mast cell-released chymase may be responsible. A number of mast cell granule-releasing drugs may exacerbate the disease, including nonsteroidal anti-inflammatory drugs, opiates, curare derivatives, and alcohol.

References
Tharp MD, Longley BJ Jr. Mastocytosis. Dermatol Clin. 2001;19(4):679-696.
Simpson JK, Metcalfe DD. Mastocytosis and disorders of mast cell proliferation. Clin Rev Allergy Immunol. 2002;22(2):175-188.
Hartmann K, Henz BM. Cutaneous mastocytosis—clinical heterogeneity. Int Arch Allergy Immunol. 2002;127(2):143-146.

 

2. The fluorescent structures are:

a)  Civatte bodies

These upper dermal structures are Civatte bodies (also known as cytoid or hyaline bodies), which are probably remnants of apoptotic keratinocytes coated with immunoglobulins. They may stain with antisera for IgG, IgA, and/or IgM. They may be seen in the upper dermis in a variety of inflammatory conditions. Civatte bodies are not disease specific but often are present in large numbers in lichen planus.  

Reference
Nesbitt LT Jr, Gum OB. Direct cutaneous immunofluorescent test in lupus erythematosus. South Med J. 1973;66(9):991-997.

 

Jo-David Fine, MD, MPH, FRCP, is board certified in internal medicine, dermatology, and diagnostic and laboratory immunodermatology. Dr Fine is currently professor of medicine (dermatology) and pediatrics at Vanderbilt University School of Medicine in Nashville, TN.

Ron J. Feldman, MD, PhD, is assistant professor in the department of dermatology at Emory University School of Medicine in Atlanta, GA.