The contents of these questions are taken from the Galderma Pre-Board Webinar. The Pre-Board Webinar is now an online course. For details, go to https://www.galdermausa.com/Our-Commitment/PreBoard-Webinar.aspx.

1.Among the following differential diagnoses, this histology would be most often seen in:
a) Linear IgA bullous dermatosis
b) Junctional epidermolysis bullosa
c) Bullous pemphigoid
d) Herpes gestationis
e) Bullous lichen planus
2. This direct IgG immunofluorescence pattern is consistent with:
a) Porphyria cutanea tarda
b) Acute intermittent porphyria
c) Bullous pemphigoid
d) Systemic lupus erythematosus
e) Epidermolysis bullosa acquisita
To learn the answers, go to page 2.
BOARD REVIEW ANSWERS

1. Among the following differential diagnoses, this histology would be most often seen in?
a) Linear IgA bullous dermatosis
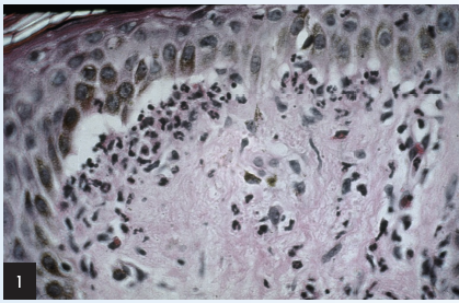
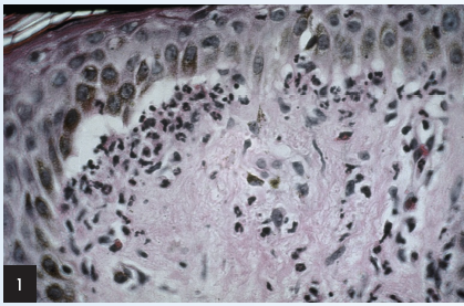
This hematoxylin-eosin–stained section of a skin biopsy shows a subepidermal cleft and the accumulation of neutrophils in the upper dermis and in dermal papillae. These findings are most characteristic of IgA bullous dermatosis, dermatitis herpetiformis, and bullous eruption of systemic lupus erythematosus. They also may be infrequently seen in epidermolysis bullosa acquisita and bullous pemphigoid.
References
Egan CA, Zone JJ. Linear IgA bullous dermatosis. Int J Dermatol. 1999; 38(11):818–827.
Gammon WR, Briggaman RA. Functional heterogeneity of immune complexes in epidermolysis bullosa acquisita. J Invest Dermatol. 1987;89(5):478-483.

2. This direct IgG immunofluorescence pattern is consistent with:
a) Porphyria cutanea tarda
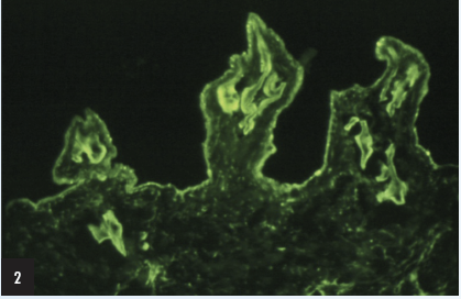
Homogeneous linear deposition of immunglobulin and C proteins along the basement membrane zone (BMZ) and within and around dermal vessels is a pathognomonic finding in sun-exposed, perilesional skin of the cutaneous porphyrias and pseudoporphyria. These include porphyria cutanea tarda, erythropoietic porphyria, erythropoietic protoporphyria, porphyria variegata, hereditary coproporphyria, and drug-induced porphyria-like (“pseudoporphyria”) syndromes caused by naldixic acid, tetracycline HCL, nonsteroidal anti-inflammatory drugs, and other drugs. These deposits can consist of any or all of the major immunglobulin classes (IgG, IgA, IgM, and very rarely, IgE). Usually these vessels stain more intensely and broadly than the BMZ. Nonexposed skin usually does not show immune deposits. The hepatic porphyrias, such as acute intermittent porphyria, do not have immunglobulin deposits along the BMZ or in vessels, since these porphyrias do not involve the skin.
Reference
Epstein JH, Tuffanelli DL, Epstein WL. Cutaneous changes in the porphyrias. A microscopic study. Arch Dermatol. 1973;107(5):689-698.
Baart de la Faile-Kuyp, Cormane RH. The occurrence of certain serum factors in the dermal-epidermal junction and vessel walls of the skin in lupus erythematosus and other (skin) diseases. Acta Dermatol Venereol. 1968;48(6):578-588.
Jo-David Fine, MD, MPH, FRCP, is board certified in internal medicine, dermatology, and diagnostic and laboratory immunodermatology. Dr Fine is currently professor of medicine (dermatology) and pediatrics at Vanderbilt University School of Medicine in Nashville, TN.
Ron J. Feldman, MD, PhD, is assistant professor in the department of dermatology at Emory University School of Medicine in Atlanta, GA.
The contents of these questions are taken from the Galderma Pre-Board Webinar. The Pre-Board Webinar is now an online course. For details, go to https://www.galdermausa.com/Our-Commitment/PreBoard-Webinar.aspx.

1.Among the following differential diagnoses, this histology would be most often seen in:
a) Linear IgA bullous dermatosis
b) Junctional epidermolysis bullosa
c) Bullous pemphigoid
d) Herpes gestationis
e) Bullous lichen planus
2. This direct IgG immunofluorescence pattern is consistent with:
a) Porphyria cutanea tarda
b) Acute intermittent porphyria
c) Bullous pemphigoid
d) Systemic lupus erythematosus
e) Epidermolysis bullosa acquisita
1. Among the following differential diagnoses, this histology would be most often seen in?
a) Linear IgA bullous dermatosis
This hematoxylin-eosin–stained section of a skin biopsy shows a subepidermal cleft and the accumulation of neutrophils in the upper dermis and in dermal papillae. These findings are most characteristic of IgA bullous dermatosis, dermatitis herpetiformis, and bullous eruption of systemic lupus erythematosus. They also may be infrequently seen in epidermolysis bullosa acquisita and bullous pemphigoid.
References
Egan CA, Zone JJ. Linear IgA bullous dermatosis. Int J Dermatol. 1999; 38(11):818–827.
Gammon WR, Briggaman RA. Functional heterogeneity of immune complexes in epidermolysis bullosa acquisita. J Invest Dermatol. 1987;89(5):478-483.
2. This direct IgG immunofluorescence pattern is consistent with:
a) Porphyria cutanea tarda
Homogeneous linear deposition of immunglobulin and C proteins along the basement membrane zone (BMZ) and within and around dermal vessels is a pathognomonic finding in sun-exposed, perilesional skin of the cutaneous porphyrias and pseudoporphyria. These include porphyria cutanea tarda, erythropoietic porphyria, erythropoietic protoporphyria, porphyria variegata, hereditary coproporphyria, and drug-induced porphyria-like (“pseudoporphyria”) syndromes caused by naldixic acid, tetracycline HCL, nonsteroidal anti-inflammatory drugs, and other drugs. These deposits can consist of any or all of the major immunglobulin classes (IgG, IgA, IgM, and very rarely, IgE). Usually these vessels stain more intensely and broadly than the BMZ. Nonexposed skin usually does not show immune deposits. The hepatic porphyrias, such as acute intermittent porphyria, do not have immunglobulin deposits along the BMZ or in vessels, since these porphyrias do not involve the skin.
Reference
Epstein JH, Tuffanelli DL, Epstein WL. Cutaneous changes in the porphyrias. A microscopic study. Arch Dermatol. 1973;107(5):689-698.
Baart de la Faile-Kuyp, Cormane RH. The occurrence of certain serum factors in the dermal-epidermal junction and vessel walls of the skin in lupus erythematosus and other (skin) diseases. Acta Dermatol Venereol. 1968;48(6):578-588.
Jo-David Fine, MD, MPH, FRCP, is board certified in internal medicine, dermatology, and diagnostic and laboratory immunodermatology. Dr Fine is currently professor of medicine (dermatology) and pediatrics at Vanderbilt University School of Medicine in Nashville, TN.
Ron J. Feldman, MD, PhD, is assistant professor in the department of dermatology at Emory University School of Medicine in Atlanta, GA.
The contents of these questions are taken from the Galderma Pre-Board Webinar. The Pre-Board Webinar is now an online course. For details, go to https://www.galdermausa.com/Our-Commitment/PreBoard-Webinar.aspx.

1.Among the following differential diagnoses, this histology would be most often seen in:
a) Linear IgA bullous dermatosis
b) Junctional epidermolysis bullosa
c) Bullous pemphigoid
d) Herpes gestationis
e) Bullous lichen planus
2. This direct IgG immunofluorescence pattern is consistent with:
a) Porphyria cutanea tarda
b) Acute intermittent porphyria
c) Bullous pemphigoid
d) Systemic lupus erythematosus
e) Epidermolysis bullosa acquisita
,
The contents of these questions are taken from the Galderma Pre-Board Webinar. The Pre-Board Webinar is now an online course. For details, go to https://www.galdermausa.com/Our-Commitment/PreBoard-Webinar.aspx.

1.Among the following differential diagnoses, this histology would be most often seen in:
a) Linear IgA bullous dermatosis
b) Junctional epidermolysis bullosa
c) Bullous pemphigoid
d) Herpes gestationis
e) Bullous lichen planus
2. This direct IgG immunofluorescence pattern is consistent with:
a) Porphyria cutanea tarda
b) Acute intermittent porphyria
c) Bullous pemphigoid
d) Systemic lupus erythematosus
e) Epidermolysis bullosa acquisita
To learn the answers, go to page 2.
BOARD REVIEW ANSWERS

1. Among the following differential diagnoses, this histology would be most often seen in?
a) Linear IgA bullous dermatosis
This hematoxylin-eosin–stained section of a skin biopsy shows a subepidermal cleft and the accumulation of neutrophils in the upper dermis and in dermal papillae. These findings are most characteristic of IgA bullous dermatosis, dermatitis herpetiformis, and bullous eruption of systemic lupus erythematosus. They also may be infrequently seen in epidermolysis bullosa acquisita and bullous pemphigoid.
References
Egan CA, Zone JJ. Linear IgA bullous dermatosis. Int J Dermatol. 1999; 38(11):818–827.
Gammon WR, Briggaman RA. Functional heterogeneity of immune complexes in epidermolysis bullosa acquisita. J Invest Dermatol. 1987;89(5):478-483.

2. This direct IgG immunofluorescence pattern is consistent with:
a) Porphyria cutanea tarda
Homogeneous linear deposition of immunglobulin and C proteins along the basement membrane zone (BMZ) and within and around dermal vessels is a pathognomonic finding in sun-exposed, perilesional skin of the cutaneous porphyrias and pseudoporphyria. These include porphyria cutanea tarda, erythropoietic porphyria, erythropoietic protoporphyria, porphyria variegata, hereditary coproporphyria, and drug-induced porphyria-like (“pseudoporphyria”) syndromes caused by naldixic acid, tetracycline HCL, nonsteroidal anti-inflammatory drugs, and other drugs. These deposits can consist of any or all of the major immunglobulin classes (IgG, IgA, IgM, and very rarely, IgE). Usually these vessels stain more intensely and broadly than the BMZ. Nonexposed skin usually does not show immune deposits. The hepatic porphyrias, such as acute intermittent porphyria, do not have immunglobulin deposits along the BMZ or in vessels, since these porphyrias do not involve the skin.
Reference
Epstein JH, Tuffanelli DL, Epstein WL. Cutaneous changes in the porphyrias. A microscopic study. Arch Dermatol. 1973;107(5):689-698.
Baart de la Faile-Kuyp, Cormane RH. The occurrence of certain serum factors in the dermal-epidermal junction and vessel walls of the skin in lupus erythematosus and other (skin) diseases. Acta Dermatol Venereol. 1968;48(6):578-588.
Jo-David Fine, MD, MPH, FRCP, is board certified in internal medicine, dermatology, and diagnostic and laboratory immunodermatology. Dr Fine is currently professor of medicine (dermatology) and pediatrics at Vanderbilt University School of Medicine in Nashville, TN.
Ron J. Feldman, MD, PhD, is assistant professor in the department of dermatology at Emory University School of Medicine in Atlanta, GA.
The contents of these questions are taken from the Galderma Pre-Board Webinar. The Pre-Board Webinar is now an online course. For details, go to https://www.galdermausa.com/Our-Commitment/PreBoard-Webinar.aspx.

1.Among the following differential diagnoses, this histology would be most often seen in:
a) Linear IgA bullous dermatosis
b) Junctional epidermolysis bullosa
c) Bullous pemphigoid
d) Herpes gestationis
e) Bullous lichen planus
2. This direct IgG immunofluorescence pattern is consistent with:
a) Porphyria cutanea tarda
b) Acute intermittent porphyria
c) Bullous pemphigoid
d) Systemic lupus erythematosus
e) Epidermolysis bullosa acquisita
1. Among the following differential diagnoses, this histology would be most often seen in?
a) Linear IgA bullous dermatosis
This hematoxylin-eosin–stained section of a skin biopsy shows a subepidermal cleft and the accumulation of neutrophils in the upper dermis and in dermal papillae. These findings are most characteristic of IgA bullous dermatosis, dermatitis herpetiformis, and bullous eruption of systemic lupus erythematosus. They also may be infrequently seen in epidermolysis bullosa acquisita and bullous pemphigoid.
References
Egan CA, Zone JJ. Linear IgA bullous dermatosis. Int J Dermatol. 1999; 38(11):818–827.
Gammon WR, Briggaman RA. Functional heterogeneity of immune complexes in epidermolysis bullosa acquisita. J Invest Dermatol. 1987;89(5):478-483.
2. This direct IgG immunofluorescence pattern is consistent with:
a) Porphyria cutanea tarda
Homogeneous linear deposition of immunglobulin and C proteins along the basement membrane zone (BMZ) and within and around dermal vessels is a pathognomonic finding in sun-exposed, perilesional skin of the cutaneous porphyrias and pseudoporphyria. These include porphyria cutanea tarda, erythropoietic porphyria, erythropoietic protoporphyria, porphyria variegata, hereditary coproporphyria, and drug-induced porphyria-like (“pseudoporphyria”) syndromes caused by naldixic acid, tetracycline HCL, nonsteroidal anti-inflammatory drugs, and other drugs. These deposits can consist of any or all of the major immunglobulin classes (IgG, IgA, IgM, and very rarely, IgE). Usually these vessels stain more intensely and broadly than the BMZ. Nonexposed skin usually does not show immune deposits. The hepatic porphyrias, such as acute intermittent porphyria, do not have immunglobulin deposits along the BMZ or in vessels, since these porphyrias do not involve the skin.
Reference
Epstein JH, Tuffanelli DL, Epstein WL. Cutaneous changes in the porphyrias. A microscopic study. Arch Dermatol. 1973;107(5):689-698.
Baart de la Faile-Kuyp, Cormane RH. The occurrence of certain serum factors in the dermal-epidermal junction and vessel walls of the skin in lupus erythematosus and other (skin) diseases. Acta Dermatol Venereol. 1968;48(6):578-588.
Jo-David Fine, MD, MPH, FRCP, is board certified in internal medicine, dermatology, and diagnostic and laboratory immunodermatology. Dr Fine is currently professor of medicine (dermatology) and pediatrics at Vanderbilt University School of Medicine in Nashville, TN.
Ron J. Feldman, MD, PhD, is assistant professor in the department of dermatology at Emory University School of Medicine in Atlanta, GA.
1. Among the following differential diagnoses, this histology would be most often seen in?
a) Linear IgA bullous dermatosis
This hematoxylin-eosin–stained section of a skin biopsy shows a subepidermal cleft and the accumulation of neutrophils in the upper dermis and in dermal papillae. These findings are most characteristic of IgA bullous dermatosis, dermatitis herpetiformis, and bullous eruption of systemic lupus erythematosus. They also may be infrequently seen in epidermolysis bullosa acquisita and bullous pemphigoid.
References
Egan CA, Zone JJ. Linear IgA bullous dermatosis. Int J Dermatol. 1999; 38(11):818–827.
Gammon WR, Briggaman RA. Functional heterogeneity of immune complexes in epidermolysis bullosa acquisita. J Invest Dermatol. 1987;89(5):478-483.
2. This direct IgG immunofluorescence pattern is consistent with:
a) Porphyria cutanea tarda
Homogeneous linear deposition of immunglobulin and C proteins along the basement membrane zone (BMZ) and within and around dermal vessels is a pathognomonic finding in sun-exposed, perilesional skin of the cutaneous porphyrias and pseudoporphyria. These include porphyria cutanea tarda, erythropoietic porphyria, erythropoietic protoporphyria, porphyria variegata, hereditary coproporphyria, and drug-induced porphyria-like (“pseudoporphyria”) syndromes caused by naldixic acid, tetracycline HCL, nonsteroidal anti-inflammatory drugs, and other drugs. These deposits can consist of any or all of the major immunglobulin classes (IgG, IgA, IgM, and very rarely, IgE). Usually these vessels stain more intensely and broadly than the BMZ. Nonexposed skin usually does not show immune deposits. The hepatic porphyrias, such as acute intermittent porphyria, do not have immunglobulin deposits along the BMZ or in vessels, since these porphyrias do not involve the skin.
Reference
Epstein JH, Tuffanelli DL, Epstein WL. Cutaneous changes in the porphyrias. A microscopic study. Arch Dermatol. 1973;107(5):689-698.
Baart de la Faile-Kuyp, Cormane RH. The occurrence of certain serum factors in the dermal-epidermal junction and vessel walls of the skin in lupus erythematosus and other (skin) diseases. Acta Dermatol Venereol. 1968;48(6):578-588.
Jo-David Fine, MD, MPH, FRCP, is board certified in internal medicine, dermatology, and diagnostic and laboratory immunodermatology. Dr Fine is currently professor of medicine (dermatology) and pediatrics at Vanderbilt University School of Medicine in Nashville, TN.
Ron J. Feldman, MD, PhD, is assistant professor in the department of dermatology at Emory University School of Medicine in Atlanta, GA.