Building an Interventional Oncology Program With a Focus on Operational Efficiency and Exceptional Patient Care:
An Interview With Ahmed Kamel Abdel Aal, MD, PhD, FSIR
An Interview With Ahmed Kamel Abdel Aal, MD, PhD, FSIR
Professor of Interventional Radiology,
Chief, Section of Interventional Radiology,
Vice Chair, Interventional Radiology Faculty Affairs,
Department of Diagnostic and Interventional
Imaging, The University of Texas Health Science Center at Houston, McGovern Medical School
Dr Kamel, interventional radiology section chief, was looking for a partner to help create his vision for the future, focused on growing the interventional oncology practice. In order to support this growth, he needed a partner who shared that vision and could offer cutting-edge technology to support superior patient care today and for procedures of the future. He chose Philips as his partner because of the flexibility of the future-proof Azurion interventional imaging platform and the full portfolio of solutions to build out the IR labs, including advanced 3D imaging tools, mobile C-arms, and ultrasound with Fusion Navigation software.
The vision for the interventional radiology (IR) and interventional oncology (IO) program was to grow the program and become a pioneer in delivering interventional radiology and interventional oncology in the Houston area as well as in Texas and throughout the United States. Our group includes key opinion leaders who can influence decisions and improve the treatment of cancer patients. We decided to develop the IO program by obtaining state-of-the-art and high-end technology that includes innovative softwares and cutting-edge imaging equipment for the treatment of cancer patients and other diseases.
When planning the new IR labs, we wanted the “latest and greatest” state-of-the-art imaging technology—particularly the angiography equipment, but for the ultrasound machines as well. Current IO treatments involve sophisticated procedures that target cancer lesions using catheters that travel through extremely small arteries. High-resolution imaging is essential to ensure accurate targeting of the lesions to kill the tumor completely, without causing excessive damage to the healthy liver tissue surrounding the tumor. It was important to have imaging technology that aided with diagnosis and staging, as well as therapy planning and follow-up.
When we considered partnering with an imaging provider, we considered several factors. In today’s world, efficiency is key. If a machine breaks and isn’t fixed for several days, our service line is down and patient care is postponed. Delays in patient care affect hospital efficiency in terms of increased length of stay and hospital costs, and they affect patient satisfaction in terms of timely diagnosis and treatment of disease. Efficiency can only be maintained when good service is available, which includes regularly scheduled maintenance as well as prompt repair should it be required.
The new Azurion interventional imaging system (Philips) offers several improvements over previous generations. First, the equipment itself can be personalized, so each operator can save their own preferences for image display and the protocols do not need to be reprogrammed each time a new physician begins a procedure. Another improvement is the FlexArm, a new technology that allows the C-arm to move in areas of the room that were not reachable in the past, without moving the table itself. The gantry can be parked at the end of the room and we can move it around the patient at a wider diameter, as needed. The FlexArm feature gives us a lot of flexibility when we do procedures, especially those that are done on the neck or chest. The patient experience is also enhanced by this feature because procedures are more relaxing when the table is not continuously adjusted.
In addition, the Azurion software technology has been improved, with the addition of several new software options that are tailored to different procedures, ranging from oncology diagnosis and treatment to peripheral arterial disease interventions. There are also dedicated software suites that focus on cancer treatments in different areas of the body, such as the lungs. This new level of specialized software and enhanced image guidance helps us achieve our goals very accurately and allows us to target lesions easily and efficiently.
The standardization of our angiography system has positively impacted the workflow for our staff. Use of a single-vendor platform helps by streamlining workflow and decreasing the training time needed for physicians and staff, which leads to a more cohesive, efficient team. Procedure time is decreased, because the staff is well trained on multiple machines that have different functions but a similar platform.
Another impressive feature is the tableside control, which has greatly increased our efficiency. I now have the ability to do everything that I want myself, without relying on a tech or assistant to do it for me, and this is is a feature I really enjoy. I can look at my cone-beam computed tomography (CBCT) images and reformat them. I can also measure distances and volumes to calculate dosimetry during Y-90 radioembolization procedures. I can do everything that the tech can do outside the room, but I can do it inside the room through the tableside controls. This improves my efficiency because I don’t have to break scrub to do something and then scrub in again and continue the procedure. There is a mouse that controls everything and is very easy to use. I can even send images to the PACS system through the tableside control once I’m done. The bottom line is that tableside control provides outstanding operator control throughout the procedure.
The SmartCT and EmboGuide software tools (Philips) also enhance my day-to-day practice. The software features, including SmartMask and digital zooming, are outstanding programs that improve the accuracy of our work and reduce radiation exposure. The duration of each procedure is now shorter because I can visualize the wire, catheter, and vessels more clearly and the tasks are completed in less time. These software tools also reduce radiation exposure to both the patient and the staff. When certain levels of radiation are crossed during a procedure, our protocols require us to follow up with those patients in clinic and monitor them for complications. This process is inconvenient for the patients and requires extra work on our end. One benefit of the new Philips equipment is that we very rarely cross the radiation dose level that requires follow-up and monitoring of these patients.
This new-generation equipment has improved our patient outcomes, which builds trust in our physicians, in our group, and in our hospital system. When a patient has a tumor, undergoes treatment, and comes to the follow-up exam, it reflects well on our credibility when we can tell the patient that the tumor is completely killed, instead of telling him that we killed part of the tumor but there is another part that we missed. The advanced imaging equipment helps the patient avoid additional treatment sessions. Patient satisfaction is much higher when we can treat the tumor or disease in a single session with less radiation while using efficient, effective, accurate targeting.
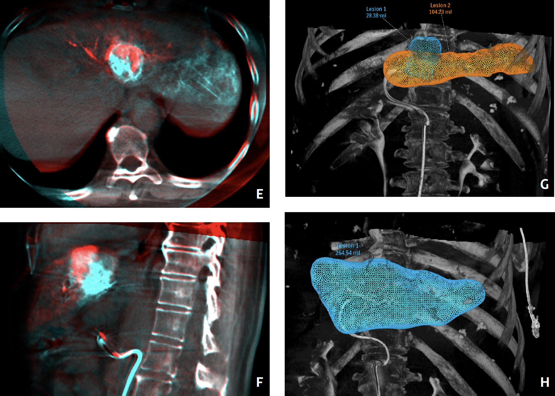
As an example, I recently had a patient who was undergoing treatment for hepatocellular carcinoma. I used the cone-beam CT feature to scan the liver with the Angio machine and I found that the artery I thought was supplying the tumor supplied only part of the tumor, while another artery supplied the other half of the tumor. Without this specialized software, I would have done the procedure on only the first artery, brought the patient to follow-up, and discovered that only half the tumor was treated, necessitating another treatment session. Because I had the cone-beam CT, EmboGuide software, and Fusion software (Philips), I was able to fuse multiple cone-beam CT images together to show that the entire tumor would be covered by injecting into 2 arteries. Philips software enabled me to optimize this patient’s treatment in only 1 session. Each tumor is different, and the software allows us to provide a personalized approach to each patient.
Our suite also features Zenition mobile C-arms and EPIQ ultrasound machines (Philips). Each modality has its own function, increasing the efficiency of our workflow. The ultrasound system features Fusion Navigation software, which allows us to biopsy and ablate lesions that are in difficult locations, such as those abutting critical structures, by allowing precise needle placement inside the tumor that we want to biopsy or ablate in the liver and other organs. This ability has resulted in an increase in the number of patients who are viable candidates for image-guided cancer treatments, because we are now able to do procedures that were once impossible. The Fusion Navigation software provides greater accuracy and minimizes complications arising from a tumor in close proximity to vital or important structures. The software has increased the scope of our practice while reducing our complication rates.
Our latest Zenition mobile C-arms system has positively impacted my practice by freeing up the multimillion-dollar Angio suite for procedures that require more sophisticated, high-end equipment. We use the C-arm for smaller procedures or less complex IR procedures that do not require full-fledged angio machines with advanced software. Patients who need simple procedures, such as paracentesis, joint injection, spine injection, or catheter exchange, do not need to be performed in the Angio suite. Instead, they can be seen at our clinic and the procedure can be performed with a very simple ultrasound machine and a C-arm. Being able to direct the less complicated patients to our clinic has improved our efficiency, improved our capacity, and improved patient access to IR services. Our more complicated patients are no longer scheduled 2-3 months out—they can now access IR services very easily and promptly.
The statements and opinions expressed in this article are that of the individual interviewed and do not represent the views of the University.
This article is supported by Philips. The opinions and clinical experiences herein are specific to the featured physician and are for information purposes only. The results from their experiences may not be predictive for all patients. Individual results may vary depending on a variety of patient-specific attributes and related factors. Nothing in this article is intended to provide specific medical advice or to take the place of written law or regulations.




