Liver-Directed Therapies for Transplant-Eligible and Near Transplant-Eligible Patients With Hepatocellular Carcinoma: An Institutional Approach
IO Learning: 2020;8:E45-E51. Epub 2020 August 5.
Key words: HCC, interventional radiology, orthotopic liver transplant
INTRODUCTION
Hepatocellular carcinoma (HCC), the most common primary liver tumor, is the third leading cause of cancer-related death worldwide.1 Orthotopic liver transplantation (OLT) is considered the most effective curative treatment option for HCC, with 5-year survival rates of 60%-80% in patients with early-stage disease.2-5 However, only a minority of patients with HCC are eligible for transplantation at the time of diagnosis, necessitating alternative therapies to increase survival and prepare patients for transplantation.6 Interventional radiology (IR) is a critical partner for patients with HCC, providing a means to bridge transplant-eligible patients and downstage near transplant-eligible patients. This is accomplished through various liver-directed interventions such as percutaneous ablation (PA), bland transarterial embolization (TAE), conventional transarterial chemoembolization (cTACE), drug-eluting bead chemoembolization (DEB-TACE), and transarterial radioembolization (TARE) with Yttrium-90 (Y-90).7-9 In this article, we will discuss our approach to liver-directed therapies for transplant-eligible and near transplant-eligible patients at the University of Alabama in Birmingham, Alabama.
TRANSPLANTATION
OLT remains the most effective curative treatment for early-stage HCC, as it simultaneously treats the cancer and underlying liver disease. Studies have demonstrated that transplantation leads to superior survival outcomes when compared with other therapies, with 5-year survival rates as high as 60%-80% in patients with early-stage disease.2-5 However, these success rates are contingent on patients meeting strict transplant criteria, as outlined by the Milan criteria.10 Per these criteria, patients are eligible for OLT if they have either a single tumor ≤5 cm in diameter or ≤3 tumors (each ≤3 cm in diameter) without associated vascular invasion or extrahepatic metastatic disease.10,11 Studies have found that patients who met these criteria had better post-transplant survival rates than patients with larger tumor burdens, emphasizing the importance of utilizing these tumor size and burden-based criteria.3,12 Expanded criteria for transplant eligibility, such as the University of California San Francisco (UCSF), Pittsburgh, Hangzhou, Up-to-Seven, and Toronto criteria, have been explored to open the pathway of transplantation to more patients. The Milan criteria remain the most widely utilized transplant criteria for HCC patients, but continued investigation is warranted to develop less-exclusive criteria that can achieve similar or better clinical outcomes.13
Aside from tumor-based criteria, patients must also undergo a thorough medical examination to ensure suitability for transplantation. A typical evaluation would include echocardiography, cardiac stress testing with potential catheterization depending upon risk factors, pulmonary function testing, and determination of functional status. Common medical contraindications to liver transplantation include functionally significant coronary artery disease not amenable to intervention, congestive heart failure with reduced ejection fraction, moderate to severe pulmonary hypertension, and severe pulmonary parenchymal disease. Age itself is not an absolute contraindication, although patients older than 70 years must have a very limited comorbidity burden and excellent functional status in order to qualify. Finally, a psychosocial evaluation ensures the patient’s ability to comply with a complex medical regimen postoperatively, the absence of unstable psychiatric disease, no current substance abuse, and sufficient social support. These factors highlight the challenges of providing most HCC patients with the curative therapy of transplantation.
THERAPEUTIC ALTERNATIVES FOR BRIDGING AND DOWNSTAGING PRIOR TO TRANSPLANTATION
Transplant-eligible and near transplant-eligible patients with HCC run the risk of losing the possibility of the curative therapy of transplantation due to disease progression from prolonged waiting periods.14 Studies have shown that dropout rates from the transplant list are significantly higher for patients with tumors that are left untreated during the waiting period,15,16 highlighting the value in bridging and/or downstaging therapies. Bridging therapies can be defined as treatments whose primary aim is to maintain the patient’s tumor burden within Milan criteria. Examples of bridging therapies include surgical resection, PA, TAE, cTACE, DEB-TACE, TARE, and stereotactic body radiation therapy (SBRT). Downstaging can be defined as treatments whose primary aim is to bring the patient’s tumor burden within Milan criteria. Examples of downstaging therapies include TAE, cTACE, DEB-TACE, TARE, and SBRT. Treatment selection is principally driven by patient-specific factors, although institutional preferences and experience are important to consider, as few data exist to support one therapy over another. Also, multidisciplinary tumor boards consisting of liver transplant surgeons, hepatologists, oncologists, radiologists, interventional radiologists, radiation oncologists, and pathologists are important for treatment planning in these patients, further optimizing therapeutic interventions for HCC patients.17
Surgery is the most widely accepted primary intervention for early-stage HCC, making resection a powerful method of bridging.18 However, in our experience, a minority of patients have the hepatic reserve required for a successful resection. In that regard, PA represents an attractive option, since both randomized trials and cohort studies have shown that oncologic outcomes are similar to those of surgery for tumors up to 5 cm in size, with greater preservation of hepatic function.19 PA of HCC is most commonly performed using either radiofrequency ablation (RFA) or microwave ablation (MWA).20 Other less commonly used technologies for ablation of HCC include irreversible electroporation (IRE), cryoablation, and high-intensity focused ultrasound (HIFU).21 However, the use of ablation for bridging is limited in many centers due to the risk of tumor seeding outside the liver, which can occur in ~1% of cases and results in the patient losing transplant eligibility.22 Given this, the majority of patients at our transplant center are referred for intra-arterial liver-directed therapies when either bridging or downstaging is necessary.
Intra-arterial liver-directed therapies for HCC include TAE, cTACE, DEB-TACE, and TARE. cTACE is the only intra-arterial liver-directed therapy that has been shown in randomized trials to provide a survival advantage for patients with unresectable HCC.23,24 As such, it is considered a first-line treatment for intermediate-stage disease and is commonly used as a bridging therapy.25 However, recent studies have challenged the superiority of cTACE for HCC management, with varied results throughout. For example, DEB-TACE has been found to be associated with a reduction in liver toxicity and drug-related adverse effects when compared with cTACE.26,27 Furthermore, there were no significant differences in radiologic response, progression-free survival, or overall survival in one randomized trial comparing TAE with DEB-TACE.28 TARE has also emerged as a comparable liver-directed therapy for HCC management, with at least one study showing no significant difference in overall survival between TARE and cTACE for patients with intermediate-stage HCC, but longer time to progression (TTP) and better tolerance with TARE.29 TARE may also be particularly useful in cases involving tumor extension into the portal vein, since the radiolabeled spheres are not truly embolic within the hepatic artery.30,31 Studies have even supported the use of radiation segmentectomy as a possible curative therapy for early-stage disease patients who are not resection or ablation candidates.32,33 There is also growing evidence that supports the usefulness of SBRT for patients with unresectable, locally advanced, or recurrent HCC.34,35 Combinations of liver-directed therapies are often utilized in HCC management as well, with the combination of TACE and PA shown to lead to better outcomes than either modality alone for solitary HCC <7 cm in diameter.36
At our institution, we use DEB-TACE as our therapy of choice for bridging and downstaging (Table 1), as this technique has similar efficacy and less toxicity than cTACE.26,27 DEB-TACE can be performed with a variety of bead sizes and chemotherapy combinations. We prefer using a single drug, doxorubicin, since there is no clear advantage to a triple-drug regimen (Figure 1).37 The beads are bound with 50-100 mg of doxorubicin, depending on the patient’s tumor burden. Regarding bead size, DEB-TACE is typically performed using 40-300 μm beads. The most commonly used beads in our practice are Oncozene (Varian) and LC Beads (Boston Scientific). Smaller bead sizes theoretically penetrate deeper into the tumor, but may come with an increased risk of biliary necrosis.38,39 A recent study from our institution demonstrated the safety and efficacy of using as small as 75 μm for DEB-TACE in unresectable HCC.40 Currently, our practice is to use 75 μm beads for selective (ie, sublobar) embolization while reserving larger beads (ie, 100-300 μm beads) for lobar therapies.
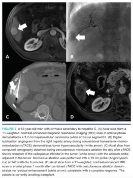
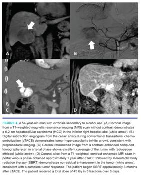
cTACE involves mixing ethidiozed oil with a chemotherapeutic agent, creating a radiopaque emulsion. After this emulsion is delivered, embolization is performed with either a gelatin foam slurry or beads. The radiopaque ethiodol is cleared by normal hepatocytes but retained by the HCC, helping the emulsion preferentially target cancerous cells. Moreover, the emulsion improves the concentrations of the chemotherapeutic agent within the target tissue (Figure 2).41 Finally, its radiopaque nature makes it an excellent target for computed-tomography guided PA (Figure 3) or SBRT (Figure 4). If PA is technically feasible for an HCC measuring 3-5 cm in size, our typical practice is to perform cTACE followed by PA, as the combination of these therapies improves oncologic outcomes.36 PA is most commonly performed either on the same day or the day following cTACE. If PA is not technically feasible or tumor size exceeds 5 cm, the radiopaque ethiodol can be used to localize the tumor for SBRT. Our institutional results demonstrated improvements in both local recurrence and overall survival in patients with unresectable HCC measuring ≥3 cm treated with TACE and SBRT versus those treated with TACE alone.42 We reserve TARE for patients with main-branch portal vein thrombus, radiation segmentectomy, and radiation lobectomy prior to surgical resection.32,33 In our practice, we primarily use glass-based spheres (TheraSphere; Boston Scientific) in patients with HCC.
CONCLUSION
Interventional radiology provides a means to bridge transplant-eligible patients and downstage near transplant-eligible patients to curative therapies through liver-directed therapies Various liver-directed therapies have emerged as options for bridging and downstaging HCC patients, with no clear support for one therapy over another. Therefore, treatment selection is strongly driven by patient-specific factors, as well as institutional preferences and experience. As therapeutic innovations continue to outpace randomized trials, continued investigation is warranted to further elucidate the role and comparative efficacy of each liver-directed therapy as bridging and downstaging therapies for HCC patients.
References
1. Ferlay J, Soerjomataram I, Dikshit R, et al. Cancer incidence and mortality worldwide: sources, methods and major patterns in GLOBOCAN 2012. Int J Cancer. 2015;136:E359-E386. Epub 2014 Oct 9.
2. Bruix J, Reig M, Sherman M. Evidence-based diagnosis, staging, and treatment of patients with hepatocellular carcinoma. Gastroenterology. 2016;150:835-853. Epub 2016 Jan 12.
3. Amado V, Rodríguez-Perálvarez M, Ferrín G, De la Mata M. Selecting patients with hepatocellular carcinoma for liver transplantation: incorporating tumor biology criteria. J Hepatocell Carcinoma. 2018;6:1-10.
4. European Association For The Study Of The Liver. EASL clinical practice guidelines: management of hepatocellular carcinoma. J Hepatol. 2018;69:182-236. Epub 2018 Apr 5.
5. European Association For The Study Of The Liver. EASL clinical practice guidelines: liver transplantation. J Hepatol. 2016;64:433-485. Epub 2015 Nov 17.
6. Njei B, Rotman Y, Ditah I, Lim JK. Emerging trends in hepatocellular carcinoma incidence and mortality. Hepatology. 2015;61:191-199.
7. Forner A, Llovet JM, Bruix J. Hepatocellular carcinoma. Lancet. 2012;379:1245-1255.
8. Pesapane F, Nezami N, Patella F, Geschwind JF. New concepts in embolotherapy of HCC. Med Oncol. 2017;34:58.
9. Molvar C, Lewandowski RJ. Intra-arterial therapies for liver masses: data distilled. Radiol Clin North Am. 2015;53:973-984.
10. Mazzaferro V, Regalia E, Doci R, et al. Liver transplantation for the treatment of small hepatocellular carcinomas in patients with cirrhosis. N Engl J Med. 1996;334:693-699.
11. Wald C, Russo MW, Heimbach JK, et al. New OPTN/UNOS policy for liver transplant allocation: standardization of liver imaging, diagnosis, classification, and reporting of hepatocellular carcinoma. Radiology. 2013;266:376-382.
12. Mazzaferro V, Bhoori S, Sposito C, et al. Milan criteria in liver transplantation for hepatocellular carcinoma: an evidence-based analysis of 15 years of experience. Liver Transpl. 2011;17:S44–S57.
13. Lingiah VA, Niazi M, Olivo R, Paterno F, Guarrera JV, Pyrsopoulos NT. Liver transplantation beyond Milan criteria. J Clin Transl Hepatol. 2020;8:69-75.
14. Kulik L. Criteria for liver transplantation in hepatocellular carcinoma. Clin Liver Dis. 2015;6:100-102.
15. Llovet JM, Fuster J, Bruix J. Intention-to-treat analysis of surgical treatment for early hepatocellular carcinoma: resection versus transplantation. Hepatology. 1999;30:1434-1440.
16. Washburn K, Edwards E, Harper A, et al. Hepatocellular carcinoma patients are advantaged in the current liver transplant allocation system. Am J Transplant. 2010;10:1643-1648.
17. Labadie KP, Schaub SK, Khorsand D, Johnson G, Apisarnthanarax S, Park JO. Multidisciplinary approach for multifocal, bilobar hepatocellular carcinoma: a case report and literature review. World J Hepatol. 2019;11:119-126.
18. Bruix J, Sherman M; American Association for the Study of Liver Diseases. Management of hepatocellular carcinoma: an update. Hepatology. 2011;53:1020-1022.
19. McWilliams JP, Yamamoto S, Raman SS, et al. Percutaneous ablation of hepatocellular carcinoma: current status. J Vasc Intervent Radiol. 2010;21:S204-S213.
20. Hinshaw JL, Lubner MG, Ziemlewicz TJ, Lee Jr FT, Brace CL. Percutaneous tumor ablation tools: microwave, radiofrequency, or cryoablation — what should you use and why? Radiographics. 2014;34:1344-1362.
21. Holzwanger DJ, Madoff DC. Role of interventional radiology in the management of hepatocellular carcinoma: current status. Chin Clin Oncol. 2018;7:49.
22. Francica G. Needle track seeding after radiofrequency ablation for hepatocellular carcinoma: prevalence, impact, and management challenge. J Hepatocell Carcinoma. 2017;4:23-27.
23. Llovet JM, Real MI, Montaña X, et al. Arterial embolisation or chemoembolisation versus symptomatic treatment in patients with unresectable hepatocellular carcinoma: a randomised controlled trial. Lancet. 2002;359:1734.
24. Lo CM, Ngan H, Tso WK, et al. Randomized controlled trial of transarterial lipiodol chemoembolization for unresectable hepatocellular carcinoma. Hepatology. 2002;35:1164.
25. Forner A, Reig ME, de Lope CR, Bruix J. Current strategy for staging and treatment: the BCLC update and future prospects. Semin Liver Dis. 2010;30:61-74.
26. Lammer J, Malagari K, Vogl T, et al. Prospective randomized study of doxorubicin-eluting-bead embolization in the treatment of hepatocellular carcinoma: results of the PRECISION V study. Cardiovasc Intervent Radiol. 2010;33:41.
27. Vogl TJ, Lammer J, Lencioni R, et al. Liver, gastrointestinal, and cardiac toxicity in intermediate hepatocellular carcinoma treated with PRECISION TACE with drug-eluting beads: results from the PRECISION V randomized trial. AJR Am J Roentgenol. 2011; 197:W562.
28. Brown KT, Do RK, Gonen M, et al. Randomized trial of hepatic artery embolization for hepatocellular carcinoma using doxorubicin-eluting microspheres compared with embolization with microspheres alone. J Clin Oncol. 2016;34:2046-2053.
29. Salem R, Lewandowski RJ, Kulik L, et al. Radioembolization results in longer time-to-progression and reduced toxicity compared with chemoembolization in patients with hepatocellular carcinoma. Gastroenterology. 2011;140:497-507.e2.
30. Salem R, Lewandowski RJ. Chemoembolization and radioembolization for hepatocellular carcinoma. Clin Gastroenterol Hepatol. 2013;11:604-611.
31. Kulik LM, Carr BI, Mulcahy MF, et al. Safety and efficacy of 90Y radiotherapy for hepatocellular carcinoma with and without portal vein thrombosis. Hepatology. 2008;47:71-81.
32. Vouche M, Habib A, Ward TJ, et al. Unresectable solitary hepatocellular carcinoma not amenable to radiofrequency ablation: multicenter radiology-pathology correlation and survival of radiation segmentectomy. Hepatology. 2014;60:192-201.
33. Seror O, Nault JC, Nahon P, et al. Is segmental transarterial Yttrium 90 radiation a curative option for solitary hepatocellular carcinoma ≤5 cm? Hepatology. 2015;61:406-407.
34. Kwon JH, Bae SH, Kim JY, et al. Long-term effect of stereotactic body radiation therapy for primary hepatocellular carcinoma ineligible for local ablation therapy or surgical resection. Stereotactic radiotherapy for liver cancer. BMC Cancer. 2010;10:475.
35. Bujold A, Massey CA, Kim JJ, et al. Sequential phase I and II trials of stereotactic body radiotherapy for locally advanced hepatocellular carcinoma. J Clin Oncol. 2013;31:1631-1639.
36. Peng ZW, Zhang YJ, Chen MS, et al. Radiofrequency ablation with or without transcatheter arterial chemoembolization in the treatment of hepatocellular carcinoma: a prospective randomized trial. J Clin Oncol. 2013;31:426-432.
37. Gomes AS, Monteleone PA, Sayre JW, et al. Comparison of triple-drug transcatheter arterial chemoembolization (TACE) with single-drug TACE using doxorubicin-eluting beads: long-term survival in 313 patients. AJR Am J Roentgenol. 2017;209:722-732.
38. Liu D, Liu M, Su L, et al. Transarterial chemoembolization followed by radiofrequency ablation for hepatocellular carcinoma: impact of the time interval between the two treatments on outcome. J Vasc Interv Radiol. 2019;30:1879-1886.
39. Deipolyi AR, Oklu R, Al-Ansari S, Zhu AX, Goyal L, Ganguli S. Safety and efficacy of 70-150 μm and 100-300 μm drug-eluting bead transarterial chemoembolization for hepatocellular carcinoma. J Vasc Interv Radiol. 2015;26:516-522.
40. Aal AKA, Moawad S, Lune PV, et al. Survival outcomes of very small drug-eluting beads used in chemoembolization of unresectable hepatocellular carcinoma. J Vasc Interv Radiol. 2019;30:1325-1334.e2.
41. Lencioni R, de Baere T, Soulen MC, Rilling WS, Geschwind JF. Lipiodol transarterial chemoembolization for hepatocellular carcinoma: a systematic review of efficacy and safety data. Hepatology. 2016;64:106-116.
42. Jacob R, Turley F, Redden DT, et al. Adjuvant stereotactic body radiotherapy following transarterial chemoembolization in patients with non-resectable hepatocellular carcinoma tumours of ≥3 cm. HPB (Oxford). 2015;17:140-149.
From 1the University of Alabama at Birmingham School of Medicine, Birmingham, Alabama; 2the Department of Surgery, University of Alabama at Birmingham, Alabama; and 3the Department of Radiology, University of Alabama at Birmingham, Birmingham, Alabama.
The authors report that patient consent was provided for publication of the images used herein.
Disclosure: The authors have completed and returned the ICMJE Form for Disclosure of Potential Conflicts of Interest. Dr Gunn is a speaker for Terumo, speaker and consultant for Boston Scientific, consultant for Varian, and receives research support from Penumbra. The remaining authors report no conflicts of interest regarding the content herein.
Address for Correspondence: Andrew J. Gunn, MD, 619 19th St S, NHB 623, Birmingham, AL 35249. Email: agunn@uabmc.edu or ajgunnmd@gmail.com




