Transvertebral Access for Ablation of Metastasis Located Anterior to the Spine
Affiliations and Disclosures
From the University of Texas MD Anderson Cancer Center, Houston, Texas.
Disclosure: The authors have completed and returned the ICMJE Form for Disclosure of Potential Conflicts of Interest. Dr Yevich reports no conflicts of interest regarding the content herein. Dr Foss reports no conflicts of interest regarding the content herein.
Address for correspondence: Steven Yevich, MD, MPH, Associate Professor, Department of Interventional Radiology, Division of Diagnostic Imaging, The University of Texas MD Anderson Cancer Center, Houston, TX. Email: syevich@mdanderson.org
OVERVIEW: A 45-year-old woman was diagnosed with stage IV sigmoid colon adenocarcinoma. She underwent extensive multidisciplinary treatment with chemotherapy and surgical resection including low anterior resection and lymphadenectomy (17/21 lymph nodes positive for metastasis). The following year, her disease recurred, for which she underwent another two surgical para-aortic lymphadenectomies. Despite these aggressive measures, a positron emission tomography/computed tomography (PET/CT) in November 2022 demonstrated a new solitary hypermetabolic right retrocrural lymph node suspicious for metastatic disease. To avoid another surgery for this solitary lesion, she was referred to interventional radiology for biopsy and possible definitive treatment of this solitary site of recurrence.
IO LEARNING 2023(1):E1-E4. Epub 2023 June 30
Key words: PET/CT, ablation, retrocrural, metastatic, metastasis
The location proved a challenge for access (Figure 1). The lesion was nestled anterior to the vertebral bone, and posterior to the liver and the aorta. There were no traditional percutaneous approaches that would guarantee access while maintaining safety. After a multidisciplinary discussion between medical oncology, radiation oncology, and interventional radiology, the decision was made to pursue a left transpedicular, transvertebral body approach. A biopsy would be performed and, if immediate assessment of the biopsy was positive for malignancy, cryoablation in the same session for immediate local tumor control.
The patient was positioned prone oblique on the CT table (Figure 2). The procedure was performed under general anesthesia given the prone positioning, required precision for needle placement, and anticipated length of cryoablation. Under CT guidance, an 11-gauge bone access needle was advanced via a left transpedicular approach across the T12 vertebral body. Coaxial technique through this access was used to obtain both fine needle aspiration (FNA) and core biopsy samples (Figures 3-4). Immediate pathology assessment of the FNA samples confirmed metastatic adenocarcinoma. A single Endocare 17R cryoablation probe (Varian) was advanced through the 11-gauge access needle into the center of the nodal metastasis. Cryoablation was performed for 3 freeze-thaw cycles with intermittent CT monitoring to ensure adequate coverage of the lymph node and to minimize injury to the adjacent normal structures (Figures 5-6). All needles were removed, and the patient was extubated. After an uneventful overnight recovery, the patient was discharged home the following day.
This case example demonstrates an unusual application of a transosseous approach for biopsy and ablation. Follow-up PET/CT 6 months after cryoablation demonstrated no evidence of 18F-fluorodeoxyglucose (FDG)-avid disease (Figure 7).
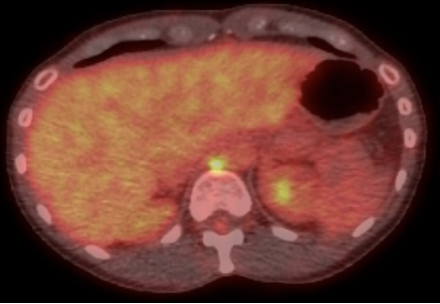
FIGURE 1. PET/CT with a solitary FDG-avid right retrocrural lymph node. No traditional access for image-guided biopsy and ablation was apparent.
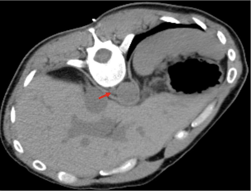
FIGURE 2. Initial axial noncontrast CT image from day of procedure. A red arrow points to the right retrocrural lymph node lesion, nestled anterior to the vertebral bone, and posterior to the aorta and liver.
FIGURE 3. Intraprocedure axial noncontrast CT image shows 11-gauge bone access needle with a 22-gauge Chiba needle inserted coaxially for fine needle aspiration. A white circle marks the target retrocrural lymph node.
FIGURE 4. Intraprocedure axial noncontrast CT image shows an 18-gauge core needle biopsy device passed through the 11-gauge bone access needle, with sampling trough positioned across the target retrocrural lymph node.
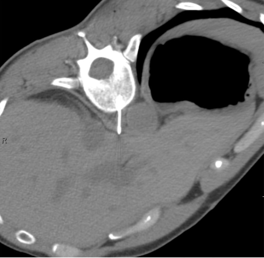
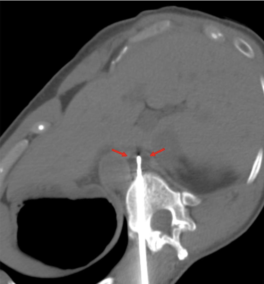
FIGURE 5. Intraprocedure axial noncontrast CT image shows the therapeutic ice ball during freeze cycle of cryoablation (red arrows).
FIGURE 6. Intraprocedure oblique sagittal CT image shows ice ball during freeze cycle of cryoablation (red arrows).
FIGURE 7. Follow-up FDG PET/CT fused and attenuation correction CT axial images demonstrated no residual FDG activity at the site of treated metastasis. Linear sclerosis is noted along the bone needle trajectory, consistent with osseous healing.




