Cryoballoon Ablation of Atrial Fibrillation in the Time of Intravenous Contrast Shortage
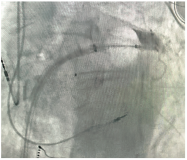
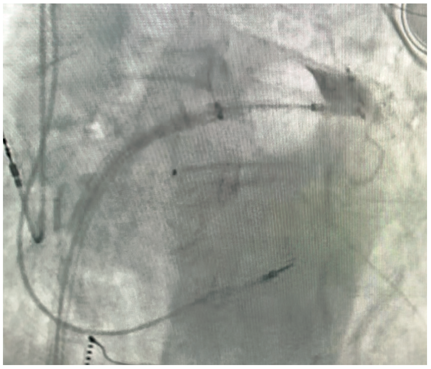
Pulmonary vein isolation (PVI) using cryoballoon (CB) ablation is an established therapy for treatment of patients with symptomatic paroxysmal and early persistent atrial fibrillation (AF).1,2 Complete PV occlusion with the CB ablation catheter is recommended prior to freezing to achieve successful PVI. CB ablation, as it was first described in 2005, required the use of an intravenous (IV) contrast injection through the central lumen of the CB catheter to verify complete PVI with the balloon catheter.3 To this day, most electrophysiology labs, including our lab at St. Anthony’s Hospital in Lakewood, Colorado, use IV contrast injection under fluoroscopy as the standard of care to confirm complete PVI prior to delivery of CB ablation therapy (Figure 1, Video 1).
Video 1. Fluoroscopic view of the CB ablation catheter advancing to PV ostium, followed by IV contrast injection and demonstrating complete PV occlusion.
In April 2022, we received notification that orders for iohexol products would be limited due to temporary shutdown of a production facility for iodinated contrast media in Shanghai, China, due to a COVID-19 lockdown. In May 2022, our local institution sent out a communication to all providers that due to this contrast shortage, our local supplies of contrast were down 20%, and that all elective procedures requiring IV iodinated contrast would need to be limited. Starting in May 2022, we shifted our practice and began to routinely perform CB ablation procedures for AF without the use of IV contrast. This article describes the techniques used in our lab during CB ablation of AF, including intracardiac echocardiography (ICE) imaging and continuous wave pressure monitoring (CWPM) to perform a successful procedure without need for IV contrast.
ICE Imaging
ICE imaging is an important tool in the AF ablation procedure, as it aides in the placement of intracardiac catheters, assists in transseptal puncture to gain entry into the left atrium (LA), identifies key landmarks such as the esophagus and PV ostium, and monitors for complications such as pericardial effusion. More specifically, ICE is an adjunctive tool during the CB ablation procedure, as it directly visualizes the CB catheter in the LA and can be used to confirm PV occlusion as the CB catheter is advanced to the PV ostium.4 Complete PV occlusion can be confirmed using color flow Doppler with ICE imaging.5 With an incomplete occlusion, there will be a high-velocity color flow Doppler jet seen on the periphery of the CB catheter. With a complete occlusion, there may be a bright localized flow seen inside the wall of the CB catheter, but no flow will be seen on the periphery of the CB catheter. Occasionally, ICE will also demonstrate flow from an adjacent PV, which can mimic an incomplete occlusion (Figures 2A-C). If a leak is seen on color Doppler, small adjustments of the CB catheter and/or sheath with additional pressure toward the side of the leak will often lead to complete occlusion and resolution of the leak (Videos 2A-B). In addition, saline injection through the central lumen of the CB catheter can be performed during PV occlusion to assess for a leak using ICE imaging. In the presence of a leak, saline bubbles would be seen exiting the PV and entering the LA. Finally, in some scenarios such as a large common left PV ostium, it may not be possible to achieve complete PV occlusion with the CB catheter, and segmental ablation targeting the ostium via different angles may be required to achieve PVI.
Video 2. A) ICE imaging demonstrating a high-velocity flow on Doppler imaging adjacent to the CB ablation catheter. This represents an inferior leak in the right inferior PV. B) ICE imaging demonstrating elimination of the high-velocity flow on Doppler imaging adjacent to the CB ablation catheter. With small advancement and slight deflection of the CB catheter, complete PV occlusion was achieved and shown on ICE imaging.
Continuous Wave Pressure Monitoring
CWPM is another essential method to assess for PV occlusion when IV contrast is not used.6 In a small randomized series, using CWPM to confirm complete PV occlusion was as effective as the traditional IV contrast method in achieving durable PVI with CB ablation.7 Pressure waveforms are obtained via the pressure transducer connected to the central lumen of the CB catheter and are displayed on the recording system. Under ICE imaging, the balloon is inflated in the LA and further advanced to the PV ostium to achieve PV occlusion. Characteristic changes in the pressure waveform are noted which correlate complete PV occlusion.
When the CB catheter does not occlude the PV, a characteristic LA pressure tracing is recorded. In sinus rhythm, small A (atrial) and V (ventricular) waves are recorded. During AF, consistent A waves may not be seen, and only the V wave morphology is noted. When the CB catheter is advanced further and PV occlusion is achieved, there is an abrupt change in the pressure waveform. During sinus rhythm, there is a loss of the A wave and an increase in the amplitude of the V wave (mean pressure >5 mm Hg) with complete PV occlusion. Since this CWPM recording is now that of pulmonary capillary wedge pressure waveform, in addition to increased amplitude, the V wave also has a more rapid rate of rise and a delayed downstroke. During AF, only the increase in the amplitude of the V wave (mean pressure >5 mm Hg) will be noted with complete PV occlusion. Once complete PV occlusion is achieved, CB ablation therapy is applied. During the freeze, the pressure tracing can still be recorded for an additional 10-20 seconds, until the temperature monitor reaching approximately -10 ºC and the inner lumen of the catheter freezes, eliminating the pressure waveform. Once the freezing process is complete and the CB catheter has thawed, the pressure can again be recorded, and this maneuver can be repeated as many times as deemed necessary to achieve complete PVI (Figures 3A-D). If the central lumen of the CB catheter and/or Tuohy stopcock is occluded with blood due to significant back bleed, this may prevent an accurate pressure waveform from being recorded, and therefore, aggressive saline injection may be required to clean the central lumen/Tuohy stopcock and restore an accurate pressure waveform. CWPM provides definitive physiologic evidence of complete PV occlusion; therefore, in our practice, it is the most important tool in performing a contrast-free CB ablation procedure.
Summary
Due to the drastic supply chain issues related to COVID-19 worldwide, iodinated IV contrast became in short supply worldwide in May 2022. Prior to this shortage, IV contrast injection was the standard of care at our institution to assess for complete PV occlusion, an essential step for successful PVI during CB ablation. In this article, we present our method to continue performing CB ablation procedures for the treatment of symptomatic AF without the need for IV contrast medium.
The addition of ICE and CWPM allows for successful PVI with CB ablation without the need for IV contrast.8,9 ICE imaging is an important tool to visualize the CB ablation catheter in the PV ostium and to assess for complete PV occlusion using color Doppler imaging to assess for presence or absence of a peripheral leak. However, when obtaining images off-axis or in patients with unfavorable anatomy, it is possible to miss a potential leak with ICE imaging. CWPM as an adjunctive tool to ICE imaging is more definitive and was the key addition to the CB ablation procedure to assess for complete PV occlusion. Adding CWPM to our workflow allowed us to continue to perform safe and effective CB ablation in the time of IV contrast shortage. The transition from an LA pressure tracing to a pulmonary capillary wedge pressure tracing was the physiologic hallmark for confirming complete PV occlusion using CWPM. This was used in combination with traditional methods to assess for complete PV occlusion and effective CB ablation therapy delivery such as achieving short PVI times (60 seconds or less), cold temperature nadirs (-50 ºC or below), and long thaw times (>30 seconds). We plan to routinely continue to perform CB ablation procedures at our institution without the use of IV contrast whenever possible, as it significantly reduces the contrast burden, lowers the risk of contrast nephropathy, allows CB to be performed safely in patients with iodinated contrast allergies, and limits overall radiation exposure. Longer term follow-up data on a sufficient number of patients will be necessary to evaluate whether this IV contrast-free method is as effective as performing CB ablation using contrast in our institution.
Disclosures: Dr Venkataraman has completed and returned the ICMJE Form for Disclosure of Potential Conflicts of Interest. He has no conflicts of interest to report regarding the content herein.
References
1. Packer DL, Kowal RC, Wheelan KR, et al. STOP AF Cryoablation Investigators. Cryoballoon ablation of pulmonary veins for paroxysmal atrial fibrillation: first results of the North American Arctic Front (STOP AF) pivotal trial. J Am Coll Cardiol. 2013;61(16):1713-1723. doi:10.1016/j.jacc.2012.11.064
2. Su WW, Reddy VY, Bhasin K, et al. STOP Persistent AF Investigators. Cryoballoon ablation of pulmonary veins for persistent atrial fibrillation: results from the multicenter STOP Persistent AF trial. Heart Rhythm. 2020;17(11):1841-1847. doi:10.1016/j.hrthm.2020.06.020
3. Sarabanda AV, Bunch TJ, Johnson SB, et al. Efficacy and safety of circumferential pulmonary vein isolation using a novel cryothermal balloon ablation system. J Am Coll Cardiol. 2005;46(10):1902-1912. doi:10.1016/j.jacc.2005.07.046
4. Rubesch-Kütemeyer V, Fischbach T, Guckel D, et al. Long-term development of radiation exposure, fluoroscopy time and contrast media use in daily routine in cryoballoon ablations after implementation of intracardiac echocardiography and other radioprotective measures: experiences from a large single-centre cohort. J Interv Card Electrophysiol. 2020:58(2):169-175. doi:10.1007/s10840-019-00564-5
5. Suzuki A, Fujiwara R, Asada H, et al. Peri-balloon leak flow velocity assessed by intra-cardiac echography predicts pulmonary vein electrical gap—intra-cardiac echography-guided contrast-free cryoballoon ablation. Circ J. 2022;86(2):256-265. doi:10.1253/circj.CJ-21-0423
6. Kosmidou I, Wooden S, Jones B, et al. Direct pressure monitoring accurately predicts pulmonary vein occlusion during cryoballoon ablation. J Vis Exp. 2013;(72):e50247. doi:10.3791/50247
7. Hasegawa K, Miyazaki S, Kaseno K, et al. Pressure-guided second-generation cryoballoon pulmonary vein isolation: prospective comparison of the procedural and clinical outcomes with the conventional strategy. J Cardiovasc Electrophysiol. 2019;30(10):1841-1847. doi:10.1111/jce.14080
8. Alyesh D, Frederick J, Choe W, Sundaram S. Step by step: how to perform a fluoroless cryoballoon ablation for atrial fibrillation. J Cardiovasc Electrophysiol. Published online April 19, 2022. doi:10.1111/jce.15502
9. Alyesh D, Venkataraman G, Stucky A, et al. Acute safety and efficacy of fluoroless cryoballoon ablation for atrial fibrillation. J Innov Card Rhythm Manag. 2021;12(2):4413-4420. doi:10.19102/icrm.2021.120205


