Ablation Strategies for Persistent Atrial Fibrillation
Atrial fibrillation (AF) is the most common arrhythmia worldwide. As evidence supporting early rhythm control mounts,1 use of catheter ablation is increasing dramatically and this trend is likely to continue. While robust data exist supporting the superiority of catheter ablation compared to antiarrhythmic drugs in the treatment of paroxysmal AF, recurrence remains common in those with persistent disease.2,3
Pulmonary vein isolation (PVI) is the cornerstone of ablation for AF. Several prospective studies have failed to demonstrate benefit from ablation beyond PVI.4,5 For this reason, any discussion of advanced ablation for the treatment of persistent AF should include techniques to ensure durable PVI.6,7 Cryoballoon ablation has been shown to be safe and effective for achieving PVI, but its utility is limited when performing ablation in other regions.8 For this reason, we tend to use radiofrequency (RF) energy in patients with persistent AF. Thus, we will mainly discuss techniques to improve PVI with RF ablation.
Achieving durable PVI hinges on the creation of contiguous transmural lesions circumferentially around the PV antra. Success is mainly hindered by a lack of transmurality, due to either disparities in regional tissue thickness or inadequate RF delivery, often to avoid collateral damage.
Many strategies to ensure adequate energy delivery are available via proprietary software from each ablation system manufacturer. While these tools can be very helpful for synthesizing a large amount of data into a single variable, it is important for the operator to be aware of any limitations. The ablation index integrates catheter stability, contact force, power, and time,9 which are all important parameters for lesion delivery. However, none are reflective of local tissue heating, which can only be assessed using impedance measurements when performing irrigated ablation.10 Thus, when using ablation index, we also assess for impedance fall to ensure good catheter tissue coupling. Sites with low impedance fall have been previously correlated with PV reconnection.11 Another limitation to achieving transmural lesions is concern over inadvertent heating of structures around the atrium, such as the esophagus. Utilization of higher power settings with lower lesion duration may allow for more resistive and less conductive tissue heating, allowing for achievement of equivalent lesion depth with reduced total energy delivered. These strategies have been shown to be effective clinically,12 even when extremely high powers for very short duration are applied.13 Higher power, especially with high contact, increases the risk of steam pops, which can cause cardiac tamponade. We routinely limit lesion duration to avoid a more than 18 ohm impedance fall.14
Measures to improve catheter tissue coupling can also improve lesion delivery. Contact force sensing has been a major advance in this area. The use of high frequency, low tidal volume ventilation along with rapid pacing may also stabilize the atrium.15
A better understanding of regional variations in atrial tissue thickness may also improve ablation outcomes. Areas of thicker myocardium will require more energy delivery to achieve transmural lesions than thin areas. In addition, regional variations in the composition of the atrial wall may play an important role in limiting RF delivery. Intramural adipose tissue, for example, may act as a robust insulator.16 As imaging techniques improve, it is likely that we will begin to incorporate individual variations in wall thickness and composition when deciding on ablation parameters at any given site. This strategy of incorporating left atrial wall thickness is currently under investigation (clinicaltrials.gov NCT04218604).17
While durable PVI is foundational for rhythm control in persistent AF, recurrence remains common with PVI alone. Multiple non-PVI ablation strategies have been investigated with mixed results. Perhaps the 2 most investigated are posterior wall isolation (PWI) and mitral isthmus/vein of Marshall (VOM) ablation.
The motivation for PWI was initially its common embryologic origin with the PV myocardium and its potential to trigger initiation of AF.16-18 Results from endocardial PWI have been mixed.21–24 The greatest challenge in interpreting these data is that durable and transmural PWI is difficult to achieve. The posterior wall, particularly near the right PVs, contains thick epicardial muscle fibers, and achieving transmurality in this region is especially difficult when trying to limit power delivery to avoid esophageal heating.16 Perhaps the most compelling data that PWI, when achieved, reduces AF burden come from studies of surgical techniques,25 and the CONVERGE trial that compared a hybrid surgical strategy with a catheter-based strategy.26 A number of strategies have been described for achieving PWI with endocardial ablation and these techniques are likely to evolve over time.27 One thing that seems clear is that a linear “box” ablation strategy is often acutely ineffective due to lack of transmurality (usually at the roof due to the septopulmonary bundle). Approaches when this strategy does not work merit discussion. Based on data from epicardial mapping, our initial strategy is to perform linear ablation, vertically connecting the upper and lower horizontal lines biased to the right or left depending on the location of the esophagus, as this will often interrupt epicardial inputs. Whenever ablating on the posterior wall, we recommend avoiding sequential RF delivery at adjacent sites, as this has been shown to lead to “heat stacking.” If this strategy is ineffective, we will perform scattered diffuse ablation until the entire posterior wall is no longer pace excitable at high output. If esophageal heating is an issue despite short duration, then the power can be decreased. In this setting, we recommend reducing catheter irrigation to avoid surface cooling.28
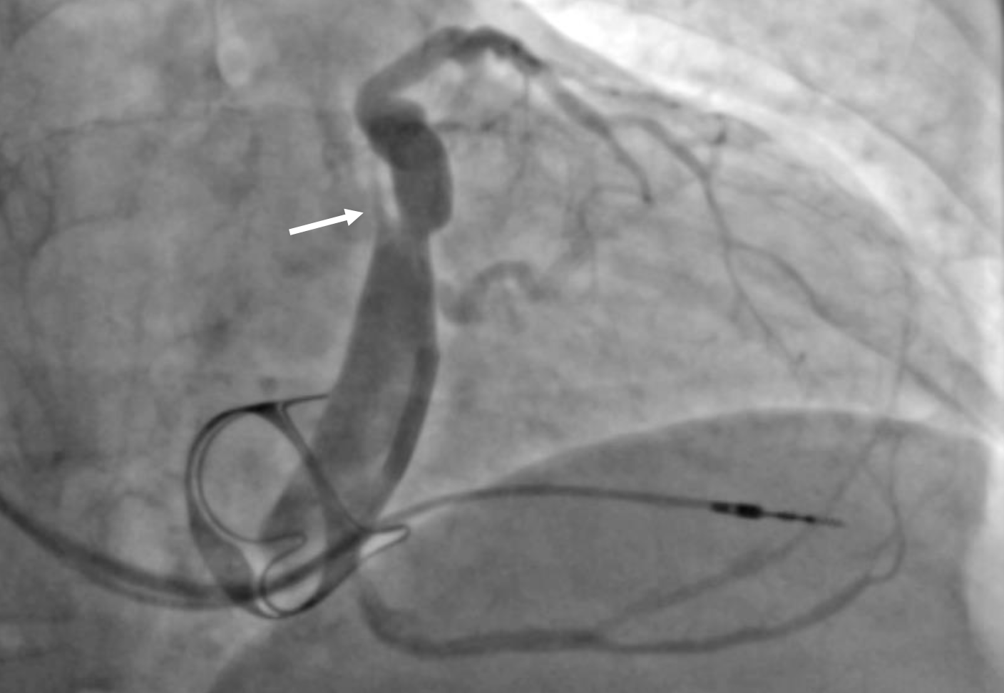
Elimination of a perimitral atrial flutter circuit can be particularly challenging and incomplete linear ablation may perpetuate flutter; therefore, we do not recommend routine mitral isthmus ablation except when inducible or in the presence of advanced atrial fibrosis. All available approaches present challenges, again due to difficulty achieving lesion transmurality. The 2 main strategies for achieving mitral block are an anterior line connecting either the right or left superior PV antrum to the anterior mitral annulus superior to the left atrial appendage (LAA), or a lateral line connecting the left PV antra to the lateral mitral annulus inferior to the LAA. The anterior path is hindered by Bachmann’s bundle, the thickest portion of the human atrium. If endocardial block is achieved without block across Bachmann’s bundle, a biatrial reentry circuit can be observed. This has been verified in epicardial mapping studies.29,30 When endocardial ablation of Bachmann’s bundle cannot be achieved and flutter persists, options are creation of an alternate mitral line or epicardial ablation. A portion of the anterior left atrium can be reached from the pericardial space, though the aortic root limits accessibility to the region near the right PVs. For this reason, our usual approach is a lateral line. The 2 challenges in the lateral approach are the coronary sinus (CS) and VOM. When ablating along the lateral mitral annulus, blood flow through the CS reduces epicardial tissue heating via convective loss of energy.31 Because of this, epicardial ablation within the CS itself is nearly always required to achieve lateral mitral block. In some instances, the CS musculature itself may serve as a bridge over a lateral mitral line (Figure 1). This problem can be easily addressed by ablation within the CS, and at times, circumferential ablation is needed. A more challenging problem is epicardial bridging utilizing the VOM (Figure 2)32, which can actually cause the lateral mitral annulus adjacent to the line of block to become a passive part of the flutter circuit (Figure 3, Video 1). Our strategy to address this is to ablate both the anterior and posterior aspects of the left lateral ridge from the level of the superior to inferior PVs (Figure 4). If this does not abolish VOM conduction, then targeting the touch down area of the VOM may be effective (Figure 5). If endocardial approaches are not effective, VOM ethanol infusion is very likely to be successful but has some risk of perforation and pericardial bleeding. Finally, ablation from the pericardial space along the sulcus between the left PVs and LAA can be performed. Systematic ablation of the VOM by ethanol infusion has shown promising results.33-35
Video 1. Activation map of perimitral flutter following attempted creation of a lateral mitral line. Activation demonstrates an endocardial line of block between the left inferior pulmonary vein and the mitral valve. Activation emerges at the top of the left lateral ridge suggestive of conduction up the VOM.
The LAA has also been targeted as a potential triggering site for AF. Retrospective data has suggested that LAA isolation may reduce AF recurrence.36,37 However, the randomized controlled aMAZE trial comparing PVI vs PVI and ligation of the LAA failed to show a reduction in AF recurrence.38 These mixed results may be reflective of catheter-based LAA isolation strategies additionally targeting the VOM.
New ablation technologies such as pulsed field energy (PFA) stand to change the face of AF ablation. This energy source appears to allow for durable transmural lesion delivery with minimal or no risk to adjacent structures.39 All studies of AF ablation to date have been hindered by a high rate of failure to achieve the intended lesion set. While this technology is likely to bring its own challenges, we suspect that PFA will shift the discussion from how to effectively ablate tissue to how much tissue to ablate.
Disclosures: The authors have completed and returned the ICMJE Form for Disclosure of Potential Conflicts of Interest. Dr Richardson has received research funding from Medtronic and Abbott, and has served as a consultant for Biosense Webster and Philips. Dr Michaud has received honoraria from Biotronik, Boston Scientific, Medtronic, and St Jude Medical/Abbott; he has consulted for St Jude Medical/Abbott.
Correction: This article was corrected on May 23, 2022, to fix incorrect placement of an arrow in Figure 2. Figure 2 has been replaced.
References
1. Kirchhof P, Camm AJ, Goette A, et al. Early rhythm-control therapy in patients with atrial fibrillation. N Engl J Med. 2020;383(14):1305-1316. doi:10.1056/NEJMoa2019422
2. Andrade JG, Wells GA, Deyell MW, et al. Cryoablation or drug therapy for initial treatment of atrial fibrillation. N Engl J Med. 2021;384(4):305-315. doi:10.1056/NEJMoa2029980
3. Voskoboinik A, Moskovitch JT, Harel N, et al. Revisiting pulmonary vein isolation alone for persistent atrial fibrillation: a systematic review and meta-analysis. Heart Rhythm. 2017;14(5):661-667. doi:10.1016/j.hrthm.2017.01.003
4. Verma A, Jiang C, Betts TR, et al. Approaches to catheter ablation for persistent atrial fibrillation. N Engl J Med. 2015;372(19):1812-1822. doi:10.1056/NEJMoa1408288
5. Su WW, Reddy VY, Bhasin K, et al. Cryoballoon ablation of pulmonary veins for persistent atrial fibrillation: results from the multicenter STOP Persistent AF trial. Heart Rhythm. 2020;17(11):1841-1847. doi:10.1016/j.hrthm.2020.06.020
6. Haïssaguerre M, Jaïs P, Shah DC, et al. Spontaneous initiation of atrial fibrillation by ectopic beats originating in the pulmonary veins. N Engl J Med. 1998;339(10):659-666. doi:10.1056/NEJM199809033391003
7. Calkins H, Hindricks G, Cappato R, et al. 2017 HRS/EHRA/ECAS/APHRS/SOLAECE expert consensus statement on catheter and surgical ablation of atrial fibrillation. Heart Rhythm. 2017;14(10):e275-e444. doi:10.1016/j.hrthm.2017.05.012
8. Kuck KH, Brugada J, Fürnkranz A, et al. Cryoballoon or radiofrequency ablation for paroxysmal atrial fibrillation. N Engl J Med. 2016;374(23):2235-2245. doi:10.1056/NEJMoa1602014
9. Das M, Loveday JJ, Wynn GJ, et al. Ablation index, a novel marker of ablation lesion quality: prediction of pulmonary vein reconnection at repeat electrophysiology study and regional differences in target values. Europace. 2017;19(5):775-783. doi:10.1093/europace/euw105
10. Haines DE, Verow AF. Observations on electrode-tissue interface temperature and effect on electrical impedance during radiofrequency ablation of ventricular myocardium. Circulation. 1990;82(3):1034-1038. doi:10.1161/01.cir.82.3.1034
11. Chinitz JS, Kapur S, Barbhaiya C, et al. Sites with small impedance decrease during catheter ablation for atrial fibrillation are associated with recovery of pulmonary vein conduction. J Cardiovasc Electrophysiol. 2016;27(12):1390-1398. doi:10.1111/jce.13095
12. Vassallo F, Cunha C, Serpa E, et al. Comparison of high-power short-duration (HPSD) ablation of atrial fibrillation using a contact force-sensing catheter and conventional technique: initial results. J Cardiovasc Electrophysiol. 2019;30(10):1877-1883. doi:10.1111/jce.14110
13. Reddy VY, Grimaldi M, De Potter T, et al. Pulmonary vein isolation with very high power, short duration, temperature-controlled lesions: the QDOT-FAST Trial. JACC Clin Electrophysiol. 2019;5(7):778-786. doi:10.1016/j.jacep.2019.04.009
14. Seiler J, Roberts-Thomson KC, Raymond JM, et al. Steam pops during irrigated radiofrequency ablation: feasibility of impedance monitoring for prevention. Heart Rhythm. 2008;5(10):1411-1416. doi:10.1016/j.hrthm.2008.07.011
15. Kumar S, Morton JB, Halloran K, et al. Effect of respiration on catheter-tissue contact force during ablation of atrial arrhythmias. Heart Rhythm. 2012;9(7):1041-1047.e1. doi:10.1016/j.hrthm.2012.02.015
16. Pambrun T, Duchateau J, Delgove A, et al. Epicardial course of the septopulmonary bundle: anatomical considerations and clinical implications for roof line completion. Heart Rhythm. 2021;18(3):349-357. doi:10.1016/j.hrthm.2020.11.008
17. Teres C, Soto-Iglesias D, Penela D, et al. Personalized paroxysmal atrial fibrillation ablation by tailoring ablation index to the left atrial wall thickness: the “Ablate by-LAW” single-centre study-a pilot study. Europace. 2022;24(3):390-399. doi:10.1093/europace/euab216
18. Cabrera JA, Ho SY, Climent V, et al. Morphological evidence of muscular connections between contiguous pulmonary venous orifices: relevance of the interpulmonary isthmus for catheter ablation in atrial fibrillation. Heart Rhythm. 2009;6(8):1192-1198. doi:10.1016/j.hrthm.2009.04.016
19. Ho SY, Cabrera JA, Sanchez-Quintana D. Left atrial anatomy revisited. Circ Arrhythm Electrophysiol. 2012;5(1):220-228. doi:10.1161/CIRCEP.111.962720
20. Santangeli P, Zado ES, Hutchinson MD, et al. Prevalence and distribution of focal triggers in persistent and long-standing persistent atrial fibrillation. Heart Rhythm. 2016;13(2):374-382. doi:10.1016/j.hrthm.2015.10.023
21. Aryana A, Baker JH, Espinosa Ginic MA, et al. Posterior wall isolation using the cryoballoon in conjunction with pulmonary vein ablation is superior to pulmonary vein isolation alone in patients with persistent atrial fibrillation: a multicenter experience. Heart Rhythm. 2018;15(8):1121-1129. doi:10.1016/j.hrthm.2018.05.014
22. Lee JM, Shim J, Park J, et al. The electrical isolation of the left atrial posterior wall in catheter ablation of persistent atrial fibrillation. JACC Clin Electrophysiol. 2019;5(11):1253-1261. doi:10.1016/j.jacep.2019.08.021
23. Kim JS, Shin SY, Na JO, et al. Does isolation of the left atrial posterior wall improve clinical outcomes after radiofrequency catheter ablation for persistent atrial fibrillation? A prospective randomized clinical trial. Int J Cardiol. 2015;181:277-283. doi:10.1016/j.ijcard.2014.12.035
24. Tamborero D, Mont L, Berruezo A, et al. Left atrial posterior wall isolation does not improve the outcome of circumferential pulmonary vein ablation for atrial fibrillation: a prospective randomized study. Circ Arrhythm Electrophysiol. 2009;2(1):35-40. doi:10.1161/CIRCEP.108.797944
25. Voeller RK, Bailey MS, Zierer A, et al. Isolating the entire posterior left atrium improves surgical outcomes after the Cox maze procedure. J Thorac Cardiovasc Surg. 2008;135(4):870-877. doi:10.1016/j.jtcvs.2007.10.063
26. DeLurgio DB, Crossen KJ, Gill J, et al. Hybrid convergent procedure for the treatment of persistent and long-standing persistent atrial fibrillation. Circ Arrhythm Electrophysiol. 2020;13(12):e009288. doi:10.1161/CIRCEP.120.009288
27. Clarke JRD, Piccini JP, Friedman DJ. The role of posterior wall isolation in catheter ablation of persistent atrial fibrillation. J Cardiovasc Electrophysiol. 2021;32(9):2567-2576. doi:10.1111/jce.15164
28. Kumar S, Romero J, Stevenson WG, et al. Impact of lowering irrigation flow rate on atrial lesion formation in thin atrial tissue: preliminary observations from experimental and clinical studies. JACC Clin Electrophysiol. 2017;3(10):1114-1125. doi:10.1016/j.jacep.2017.09.001
29. Jiang R, Buch E, Gima J, et al. Feasibility of percutaneous epicardial mapping and ablation for refractory atrial fibrillation: Insights into substrate and lesion transmurality. Heart Rhythm. 2019;16(8):1151-1159. doi:10.1016/j.hrthm.2019.02.018
30. Tung R. Percutaneous epicardial ablation of atrial fibrillation. Card Electrophysiol Clin. 2020;12(3):371-381. doi:10.1016/j.ccep.2020.06.005
31. Reddy VY, Ruskin JN, D’Avila A. Balloon occlusion of the coronary sinus to facilitate mitral isthmus ablation. J Cardiovasc Electrophysiol. 2008;19(6):651-651. doi:10.1111/j.1540-8167.2008.01186.x
32. Hasegawa K, Miyazaki S, Kaseno K, Tada H. Ultrahigh resolution activation mapping of a left atrial macroreentrant tachycardia using a Marshall bundle epicardial connection. J Cardiovasc Electrophysiol. 2019;30(3):442-443. doi:10.1111/jce.13791
33. Báez-Escudero JL, Morales PF, Dave AS, et al. Ethanol infusion in the vein of Marshall facilitates mitral isthmus ablation. Heart Rhythm. 2012;9(8):1207-1215. doi:10.1016/j.hrthm.2012.03.008
34. Pambrun T, Denis A, Duchateau J, et al. MARSHALL bundles elimination, Pulmonary veins isolation and Lines completion for ANatomical ablation of persistent atrial fibrillation: MARSHALL-PLAN case series. J Cardiovasc Electrophysiol. 2019;30(1):7-15. doi:10.1111/jce.13797
35. Valderrábano M, Liu X, Sasaridis C, et al. Ethanol infusion in the vein of Marshall: adjunctive effects during ablation of atrial fibrillation. Heart Rhythm. 2009;6(11):1552-1558. doi:10.1016/j.hrthm.2009.07.036
36. Romero J, Michaud GF, Avendano R, et al. Benefit of left atrial appendage electrical isolation for persistent and long-standing persistent atrial fibrillation: a systematic review and meta-analysis. Europace. 2018;20(8):1268-1278. doi:10.1093/europace/eux372
37. Bavry AA. Outcomes of adjunctive left atrial appendage ligation utilizing the LARIAT compared to pulmonary vein antral isolation alone - aMAZE. American College of Cardiology. November 14, 2021. Accessed April 6, 2022. https://www.acc.org/latest-in-cardiology/clinical-trials/2021/11/12/00/14/amaze
38. Lee RJ, Lakkireddy D, Mittal S, et al. Percutaneous alternative to the Maze procedure for the treatment of persistent or long-standing persistent atrial fibrillation (aMAZE trial): rationale and design. Am Heart J. 2015;170(6):1184-1194. doi:10.1016/j.ahj.2015.09.019
39. Reddy VY, Anic A, Koruth J, et al. Pulsed field ablation in patients with persistent atrial fibrillation. J Am Coll Cardiol. 2020;76(9):1068-1080. doi:10.1016/j.jacc.2020.07.007


