Multidisciplinary Approach to Managing Atrial Fibrillation
The prevalence of atrial fibrillation (AF) continues to increase, with the projected number of cases to exceed 12 million by the year 2030.1 Patients with AF often first present to the emergency department (ED) for medical needs, where they present with new or worsening symptoms. A significant proportion of patients who present with AF to the ED are ultimately admitted to the hospital as inpatients.2 The specific management that an AF patient needs is subject to the discretion of the ED physician or the on-call cardiologist, which can lead to variations in care, unnecessary admission, and higher costs to the patient and health care system.
The Cardiovascular Institute of Scottsdale (CVI Scottsdale) is a private practice group comprised of 9 board-certified physicians and 4 advanced practice providers (APPs) (3 nurse practitioners [NP] and 1 physician assistant) with expertise in interventional cardiology, electrophysiology, structural heart, vascular medicine, heart failure, and noninvasive cardiology. There are 5 office locations, all offering a combination of in-person office visits and telehealth services. The Phoenix Cardiovascular Research Group (PCVR) is a collaboration between CVI Scottsdale and another multispecialty cardiovascular group, along with various industry partners, to bring national and international multicenter clinical trials in AF and left atrial appendage (LAA) research to patients in Arizona.
The AF center at CVI Scottsdale was established 2 years ago to extend our electrophysiology services and provide dedicated, high-quality care for patients with AF. Prior studies demonstrate that a multidisciplinary approach to AF may improve clinical outcomes.3 Our primary goal for the AF center at CVI Scottsdale is to educate patients on the latest treatment options, discuss relevant research trials, and deliver the highest form of comprehensive care using a multidisciplinary approach.
Our AF center is managed by an EP NP and dedicated EP registered nurse (RN). Their main emphasis is to provide in-depth, evidence-based education on AF treatment strategies and stroke risk prevention to help improve outcomes. They stress the importance of lifestyle and risk factor modification for AF, including obesity and alcohol use. Risk factors are assessed to determine the need for noninvasive cardiac testing, short- and long-term monitoring, catheter ablation, device therapies, LAA closure, oral anticoagulation, or antiarrhythmic drug initiation. Our clinic model also allows for referral to our sleep medicine colleagues, including in-home sleep apnea testing. Some patients are also referred for cardiothoracic surgery.
It was also our goal to address the care of AF patients who were presenting to the ED; quite often, these patients would undergo unnecessary admission and testing that could have been done in an outpatient setting. Our aim was to provide an efficient mechanism to our ED colleagues to quickly triage these patients and allow for appropriate follow-up in our AF center. By educating both our ED colleagues and cardiologists, we have provided an evidence-based pathway that allows low-risk AF patients to be screened and identified in the ED and referred for outpatient management. Using a secure messaging app, an ED physician can notify the on-call cardiologist to facilitate coordinated care with the EP team and refer a patient to our AF center. Our EP scheduler assists with referrals daily to ensure that patients are contacted with an appointment date and time. The on-call CVI physician coordinates care with the EP team to determine if an intervention (such as a transesophageal echocardiography [TEE], cardioversion, or ablation) is required.
We have also expanded our model by educating the primary care providers in our community, allowing AF patients to be seen by the AF care team within 24-48 business hours rather than being sent to the ED for initial management.
On average, 100-120 patients are seen each week at our AF center. Per month, approximately 20-30 AF ablations (both cryoablation and radiofrequency), 10-15 device implants, and 10-20 LAA closures are typically performed at various participating hospitals in the area. Preprocedurally, all patients undergoing a device implant, ablation, or LAA closure are given literature, instructions, handouts, and access to the procedural scheduler and/or EP RN to assist in coordination of care and answer any questions regarding their upcoming procedure. Our NP and RN are often more accessible to answer patient questions in a timely manner. In addition, informed consent is obtained from patients in the outpatient setting so as to indicate a complete understanding of the procedure. We rely heavily on our procedural scheduler to obtain prior authorization for EP procedures, coordinate anesthesiology, assist in clinic scheduling, and call patients to schedule procedures.
Same-Day Discharge Approach
The COVID-19 pandemic facilitated a paradigm shift in how hospital-based cardiac invasive procedures are performed in the U.S. Incorporating same-day discharge became important in appropriate patients. Use of vascular ultrasound for access is standard of care for CVI physicians. Extensive education in the pre- and postprocedural area is done prior to implementing same-day discharge. Immediate sheath removal, along with protamine administration and a figure-of-8 suture in the EP lab, are performed for all patients prior to transfer to the post anesthesia care unit (PACU). Three-hour bed rest is ordered, with the head of the bed elevated no higher than 30 degrees, and an additional 1-2 hour observation period takes place before discharging the patient home. We predetermine eligibility for same-day discharge in the outpatient clinic at the time of consultation. Patients who live more than 30 minutes away are placed in overnight observation. Similarly, patients with multiple comorbidities, and those undergoing extensive substrate ablation are monitored overnight. All same-day discharge patients receive a follow-up phone call the next day by our RN.
LAA Closure Procedures
Since the initiation of our LAA closure program in 2015, we have developed a systematic approach to stroke prevention in non-valvular AF. In the 2019 AHA/ACC/HRS focused update of the 2014 AHA/ACC/HRS guideline for the management of patients with atrial fibrillation, a Class IIb recommendation was given for LAA closure and considered for those with AF at increased risk of stroke and with contraindications to long-term anticoagulants.4
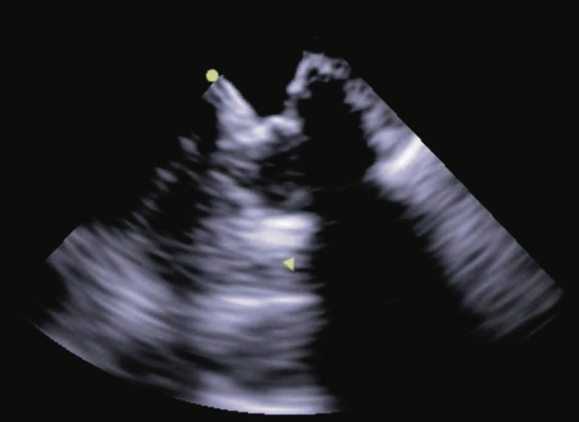
In early 2020, we began adopting preprocedural CT angiography imaging prior to our scheduled LAA closure case days to facilitate same-day discharge, eliminate the use of general anesthesia, and incorporate intracardiac echocardiography (ICE). We are increasingly using ICE during EP procedures to view cardiac structures, guide transseptal catheterization, evaluate the position of ablation catheters, assess for occlusion of the pulmonary vein during cryoballoon ablation, and exclude complications such as pericardial tamponade and thrombus formation.5 TEE can also be used to guide cardiac interventions and is commonly used during structural heart procedures such as percutaneous valve interventions and LAA closures. One major disadvantage of using a TEE probe to guide EP procedures is the need for and complications associated with general anesthesia in the elderly population. Over the last 3 years, we have been using a 2D ICE catheter placed in the left atrium to guide LAA closures.6 In addition, we very recently began using a four-dimensional (4D) ICE catheter to guide LAA closure, and present a brief case below (Figure 1). We are also excited about the possibility of newer ablation modalities such as pulsed field ablation.
Case Presentation: LAA Closure Using 4D ICE
A 78-year-old female with a significant past medical history of permanent nonvalvular AF, hypertension, diabetes, and vascular disease was recently referred for LAA closure. She suffered from esophageal strictures and a large hiatal hernia. Due to her comorbidities, the patient was not ideal for long-term anticoagulation. Therefore, it was determined to proceed with conscious sedation and ICE for Watchman device (Boston Scientific) implant. CT angiography prior to the scheduled procedure was obtained for sizing as well as for guiding transseptal puncture. Precise measurement of the landing zone was performed using the ACUSON AcuNav 4D Volume ICE Catheter and ACUSON SC2000 PRIME ultrasound system (Siemens Healthineers), and the Watchman device was implanted with no complications. The groin was closed using a figure-of-8 stitch and the patient was placed on 3-hour bedrest. Once the suture was removed from the groin and the patient demonstrated appropriate hemostasis of the groin, the patient was discharged from the hospital on the same day of the procedure.
Summary
Our comprehensive AF center was developed with patients in mind. This program allows patients easy access to improve their overall quality of care after being diagnosed with AF. The main goals of our program are to appropriately diagnose, educate, manage patients long term with appropriate, evidence-based care. We strive for overall improvement in AF patient care, including reduced hospital admissions and AF-related stroke. We incorporate the most advanced AF treatments by participating in clinical research and continually adapt our AF care to reflect the most up-to-date guidelines. Our program prides itself on our high-quality care for patients with AF, allowing patients to live healthier lives.
For more information, visit www.cviscottsdale.net or contact the author at @ashishsadhumd
Disclosures: Dr. Sadhu has no conflicts of interest to report regarding the content herein.
References
1. Colilla S, Crow A, Petkun W, Singer DE, Simon T, Liu X. Estimates of current and future incidence and prevalence of atrial fibrillation in the U.S. adult population. Am J Cardiol. 2013;112(8):1142-1147.
2. Rozen G, Hosseini SM, Kaadan MI, et al. Emergency department visits for atrial fibrillation in the United States: trends in admission rates and economic burden from 2007 to 2014. J Am Heart Assoc. 2018;7:e009024.
3. Tran HN, Tafreshi J, Hernandez EA, Pai SM, Torres VI, Pai RG. A multidisciplinary atrial fibrillation clinic. Curr Cardiol Rev. 2013;9(1):55-62.
4. January CT, Wann LS, Calkins H, et al. 2019 AHA/ACC/HRS focused update of the 2014 AHA/ACC/HRS guideline for the management of patients with atrial fibrillation: a report of the American College of Cardiology/American Heart Association Task Force on Clinical Practice Guidelines and the Heart Rhythm Society. Heart Rhythm. 2019;16:e66-e93.
5. Verma S. Adopting a strategy of early ambulation and same-day discharge for atrial fibrillation ablation cases. EP Lab Digest. 2019;19(5):1,10-12.
6. Kim SS, Hijazi Z, Lang RL, Knight BP. The use of intracardiac echocardiography and other intracardiac imaging tools to guide noncoronary cardiac interventions. J Am Coll Cardiol. 2009;53(23):2117-2128.
7. Berti S, Pastormerlo LE, Korsholm K, et al. Intracardiac echocardiography for guidance of transcatheter left atrial appendage occlusion: an expert consensus document. Catheter Cardiovasc Interv. 2021;98(4):815-825.


