The Extravascular Implantable Cardioverter-Defibrillator With a Lead Under the Sternum
Dear Readers,
The primary advantage of the totally subcutaneous implantable cardioverter-defibrillator (S-ICD) compared to a conventional transvenous ICD is avoidance of an intravascular lead and its associated complications at the time of implant or years later. The main disadvantages of the S-ICD are higher defibrillation energy requirements resulting in a larger generator size and the inability to provide bradycardia or antitachycardia pacing (ATP). Placing a pacing/defibrillator lead under the sternum and close to the heart, rather on top of the sternum, has the potential to allow for cardiac pacing and lower defibrillation energy requirements. This novel concept and the results of early feasibility studies, including the Substernal Pacing Acute Clinical Evaluation (SPACE) trial,1 were first discussed here in May 2018.2 In the SPACE study, a commercially available electrophysiology catheter was temporarily placed in the substernal space in 26 patients and pacing capture was obtained at 69% of patients using at least one vector. More data were eventually collected during the pilot phase of a permanently implanted extravascular ICD system (EV ICD).
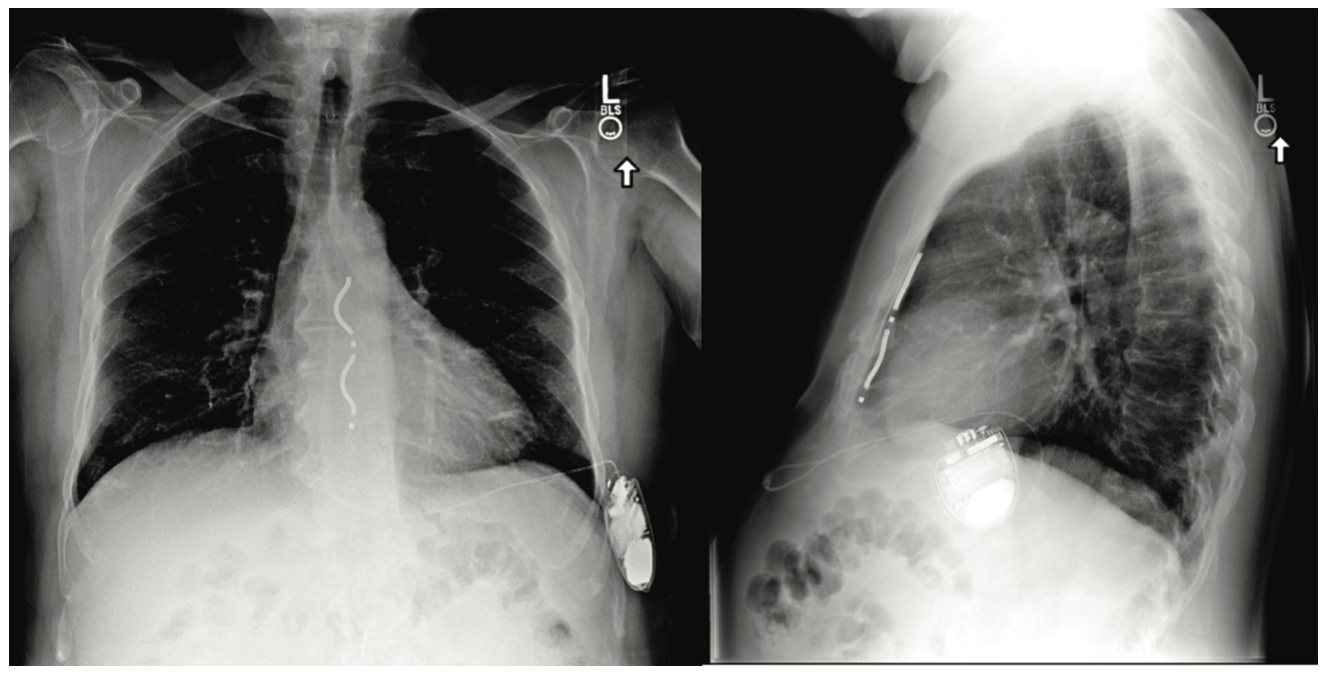
In August 2022, the results of the EV ICD Pivotal Study, sponsored by Medtronic, were presented during the European Society of Cardiology (ESC) Congress by Dr Paul Friedman and simultaneously published in the New England Journal of Medicine.3 The trial was a prospective, single-group, nonrandomized, premarket global clinical study involving patients who had an ICD indication and underwent implantation of an EV ICD system. The primary efficacy endpoint was successful defibrillation at implantation. Of the 356 patients enrolled, 316 had an implantation attempt. The procedure was performed by an electrophysiologist after hands-on training and accompanied by a cardiac surgeon during the initial implants. After surgical dissection to gain access to the substernal space, leads were implanted substernally using a tunneling tool with the use of anteroposterior (AP) and lateral fluoroscopic guidance. The lead was attached to a pulse generator that is similar to that of a transvenous ICD capable of delivering ATP and shocks of up to 40 J. The generator was implanted along the patient’s left midaxillary line. No major intraprocedural complications were reported. A postoperative chest x-ray of a patient who underwent implantation of an EV ICD system is shown in the Figure.
Among the 302 patients in whom a ventricular arrhythmia could be induced and who completed the defibrillation testing protocol, the percentage of patients with successful defibrillation was 98.7%, exceeding the performance goal of 88%. A total of 299 patients (95%) were discharged with a working ICD system. The rate of procedure-related complications at 6 months was 7%, better than the goal of 21%. The success rate of ATP, as assessed with generalized estimating equations, was 51%. A total of 29 patients received 118 inappropriate shocks for 81 arrhythmic episodes. Eight systems were explanted without EV ICD replacement over an average of 11 months of follow-up.3
The results of the EV ICD Pivotal Study demonstrate that an EV ICD that requires a defibrillator lead to be placed under the sternum can be successfully placed in patients as part of an investigational study by cardiologists who were very carefully trained and working closely with their surgical colleagues. The device appears to be able to defibrillate the heart with energy outputs similar to a transvenous device and can capture the heart in a majority of patients to allow for pacing. Clearly, many questions remain, however, about the real-world clinical application and adoption of such a defibrillator.
Disclosures: Dr. Knight has served as a paid consultant to Medtronic, the sponsor of the EV ICD study, served on the EV ICD Steering Committee, and was an investigator in the trial.
Reference
1. Sholevar DP, Tung S, Kuriachan V, et al. Feasibility of extravascular pacing with a novel substernal electrode configuration: the Substernal Pacing Acute Clinical Evaluation study. Heart Rhythm. 2018;15(4):536-542. doi:10.1016/j.hrthm.2017.11.030
2. Knight BP. The substernal SPACE: the final frontier? EP Lab Digest. 2018;18(5):4. https://www.hmpgloballearningnetwork.com/site/eplab/articles/substernal-space-final-frontier
3. Friedman P, Murgatroyd F, Boersma LVA, et al. Efficacy and safety of an extravascular implantable cardioverter-defibrillator. N Engl J Med. 2019. Published on August 28, 2022. doi:10.1056/NEJMoa2206485


