Skip to main content

Volume 23 - Issue 7 - July 2023

EP Spotlight
06/26/2023
Rachel Amos, BSN, RN, CCRN; Indrajeet Mahata, MD
In this issue, we highlight the electrophysiology program at Mercy Hospital, a community-based hospital system that serves the entire Southwest Missouri region.
In this issue, we highlight the electrophysiology program at Mercy Hospital, a community-based hospital system that serves the entire Southwest Missouri region.
In this issue, we highlight the...
06/26/2023
EP Lab Digest
Letter From the Editor
06/26/2023
Bradley P. Knight, MD, FACC, FHRS
The development of algorithms to analyze rhythm strips at out-of-hospital cardiac arrest, immediately before and after the first shock, demonstrates the use of AI to quickly predict which patients will be difficult to defibrillate.
The development of algorithms to analyze rhythm strips at out-of-hospital cardiac arrest, immediately before and after the first shock, demonstrates the use of AI to quickly predict which patients will be difficult to defibrillate.
The development of algorithms to...
06/26/2023
EP Lab Digest
Conference Coverage
06/26/2023
Heather M. Ross, PhD, DNP, ANP-BC, FAAN, FAANP, FHRS; Tara U. Mudd, MSN, APRN; Brandon Doty, RN
EP Lab Digest features discussions with various presenters from Heart Rhythm 2023, which took place May 19-21, 2023, in New Orleans, Louisiana.
EP Lab Digest features discussions with various presenters from Heart Rhythm 2023, which took place May 19-21, 2023, in New Orleans, Louisiana.
EP Lab Digest features...
06/26/2023
EP Lab Digest
EP Review
06/25/2023
Linda C. Moulton, RN, MS, MSN
The inhibition of FXIa appears to be a promising approach for anticoagulation due to the reduced bleeding complications seen with their use. We may soon be able to treat a wider range of patients with a high risk of bleeding.
The inhibition of FXIa appears to be a promising approach for anticoagulation due to the reduced bleeding complications seen with their use. We may soon be able to treat a wider range of patients with a high risk of bleeding.
The inhibition of FXIa appears...
06/25/2023
EP Lab Digest
Letter to the Editor
06/25/2023
Jose Carlos Pachon, MD, PhD, CCDS, FHRS, FLAHRS
JC Pachón-M, MD, PhD, FHRS, CCDS, FLAHRS, shares his feedback on the recent EP Lab Digest article “Letter From the Editor: Milestones in Cardiac Electrophysiology in the Past 25 Years.”
JC Pachón-M, MD, PhD, FHRS, CCDS, FLAHRS, shares his feedback on the recent EP Lab Digest article “Letter From the Editor: Milestones in Cardiac Electrophysiology in the Past 25 Years.”
JC Pachón-M, MD, PhD, FHRS,...
06/25/2023
EP Lab Digest
Feature Interview
06/25/2023
Jodie Elrod
Bradley Knight, MD, and Satish Raj, MD, MS, discuss the new expert consensus statement on the management of remote device clinics. Their discussion took place at Heart Rhythm 2023 in New Orleans, Louisiana.
Bradley Knight, MD, and Satish Raj, MD, MS, discuss the new expert consensus statement on the management of remote device clinics. Their discussion took place at Heart Rhythm 2023 in New Orleans, Louisiana.
Bradley Knight, MD, and Satish...
06/25/2023
EP Lab Digest
EP Review
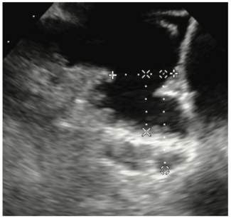
06/15/2023
Marc Erickson, MD; Harish Manyam, MD
In this review, Marc Erickson, MD, and Harish Manyam, MD, discuss endocardial left atrial appendage occlusion, including their approach, shared decision-making, current advances, and future perspectives.
In this review, Marc Erickson, MD, and Harish Manyam, MD, discuss endocardial left atrial appendage occlusion, including their approach, shared decision-making, current advances, and future perspectives.
In this review, Marc Erickson,...
06/15/2023
EP Lab Digest