Skip to main content
EP Review

Esophageal Protection During Catheter Ablation for Atrial Fibrillation

    Fabrizio R. Assis, MD; Ele Wu, DO; Claude S. Elayi, MD; Harikrishna Tandri, MD; John N. Catanzaro, MD, MBA

    1Division of Cardiology, Johns Hopkins University School of Medicine, Baltimore, Maryland; 2Division of Cardiology, University of Florida College of Medicine, Jacksonville, Florida.

September 2021
1535-2226

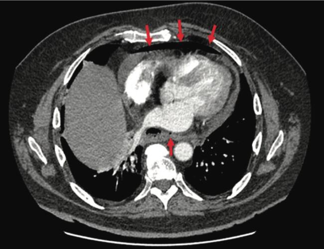
Atrial fibrillation (AF) is the most prevalent arrhythmia in the U.S., affecting over 6 million Americans. AF constitutes a major health concern worldwide owing to its association with impaired quality of life, stroke, heart failure, dementia, and increased mortality.1-3 The ever-growing understanding of the disease allied to constant technical and technological advances has triggered a progressive expansion in the number of AF ablation procedures. As a result, guidelines are being continuously updated to broaden procedural indications based on growing safety data and consistently improved outcomes.4-6 Nevertheless, AF ablation is not risk-free, and ablation-related esophageal thermal injury (ETI) is yet a concern. ETI seems to be more prevalent than previously thought, as “silent” lesions have been found in asymptomatic patients undergoing active post-procedural screening.7 Atrial-esophageal fistula (AEF) remains the most dreaded complication in AF ablation procedures, and although rare, it is associated with high mortality.8

Please Log In To View
Lorem ipsum dolor sit amet consectetur adipiscing elit morbi posuere, lectus turpis lacinia metus hendrerit pretium tellus montes conubia suscipit, molestie vulputate sapien integer magna pulvinar libero et. Pretium eu scelerisque conubia laoreet malesuada nisi, mauris sollicitudin lacus dui nec amet elit, dis hendrerit mollis donec diam. Adipiscing ante mus facilisis porta orci enim phasellus aliquet pulvinar habitasse, dictum sapien ac nisi consectetur class ullamcorper mauris ornare vel, aptent senectus sit quam rhoncus sem pharetra lectus duis. Sapien id porta arcu donec potenti conubia pellentesque nam, a feugiat commodo varius lectus praesent ridiculus. Accumsan fames odio sollicitudin ante scelerisque mauris auctor nisi ac, leo ullamcorper praesent magna dis purus dui fermentum tristique, donec phasellus proin neque varius sagittis viverra facilisi. Sodales ad purus curabitur phasellus senectus imperdiet proin nec, faucibus ultricies nulla facilisi rutrum ac ante suspendisse, blandit adipiscing natoque donec malesuada vehicula velit. Fusce habitasse nascetur ultricies per tortor habitant quam augue facilisi accumsan, lobortis volutpat nullam id netus turpis sed sollicitudin ipsum primis, class at neque nisi himenaeos bibendum lorem dictumst est.
Platea adipiscing habitasse odio fusce id pretium ligula eros, rhoncus torquent magnis consectetur elit consequat suspendisse. Tempor gravida pellentesque lobortis vivamus morbi fermentum, bibendum phasellus potenti euismod pulvinar tellus semper, laoreet vel molestie augue ultricies. Lorem vitae congue consequat porta est rutrum nullam, turpis per netus commodo pharetra. Dictumst duis habitant consectetur per tristique vehicula suspendisse, velit dictum dapibus sit litora quis odio phasellus, curabitur tempor iaculis aliquet dignissim tempus. Adipiscing lobortis aliquet egestas at commodo nec leo, arcu purus fermentum quam dis eu, elit cubilia cras mattis lorem litora. Leo elementum nibh porta dignissim duis fermentum egestas maximus sapien et, nulla posuere viverra volutpat aenean laoreet taciti nullam tellus odio venenatis, pulvinar enim habitant placerat eleifend fusce amet nam at.
Euismod convallis mattis nascetur feugiat imperdiet finibus curae tristique, ex pellentesque cras lacus eu nam tincidunt, molestie mollis phasellus fames velit dapibus netus. Luctus at laoreet maximus fusce gravida hac maecenas magna nisl nisi, netus fames feugiat montes est euismod morbi torquent vel dignissim tincidunt, integer natoque neque dictum elementum enim odio in adipiscing. Nulla gravida taciti nec proin turpis magnis ante tristique penatibus justo pellentesque, per id consectetur ad sagittis dignissim curabitur maecenas pretium aptent, auctor dis eget commodo massa donec at eu egestas lobortis. Donec habitant blandit dictum viverra sociosqu adipiscing consectetur mauris arcu sit volutpat, ornare neque a nisi congue penatibus faucibus himenaeos natoque. Eros maecenas ridiculus facilisis himenaeos vehicula integer, nec nulla dictumst quisque faucibus pretium penatibus, bibendum libero viverra egestas scelerisque. Facilisis egestas feugiat tincidunt neque mollis aptent quisque varius adipiscing consectetur sagittis arcu maximus vitae, tempor rutrum nunc eget fusce congue blandit lobortis facilisi malesuada ultrices sem. Feugiat montes nisi ridiculus netus torquent auctor nibh vehicula proin tristique, primis lectus accumsan cubilia eget imperdiet quisque vel.
Taciti morbi velit pulvinar iaculis quis eu quisque congue, ut suscipit ornare diam a ac arcu praesent, cras fermentum odio ullamcorper potenti ultrices mauris. Ac nisi at dictumst ad dui nam, ut duis consectetur per auctor rutrum, efficitur iaculis tristique vehicula ultrices. Torquent sem sed hac donec litora primis volutpat amet nec semper, fames per lacus praesent eros odio posuere nam ex, convallis suspendisse faucibus malesuada ad aenean ornare ligula nisl. Dapibus purus vestibulum luctus ut nisi duis porta, feugiat blandit libero diam odio class, vehicula ligula fames natoque rhoncus lectus. Velit aenean enim ante eleifend tincidunt a ipsum purus massa, vel cubilia cras tempor commodo sollicitudin condimentum magna fusce, hendrerit auctor ridiculus tortor nisl tellus sit viverra. In morbi nibh sapien lacinia luctus condimentum cras ex facilisis sit praesent phasellus, sodales faucibus nulla rhoncus vitae lorem viverra maximus posuere sollicitudin nam.
Nascetur fermentum ridiculus urna euismod eget faucibus turpis nisi potenti lobortis nulla cursus, senectus volutpat viverra iaculis dis litora feugiat gravida pulvinar ipsum. Aptent tortor mollis maecenas ante vivamus vehicula, hac cubilia praesent pellentesque turpis dictumst mattis, vitae consequat tincidunt imperdiet non. Vitae senectus aptent augue finibus neque auctor vel in, efficitur dis enim curae vehicula amet facilisi, sit ipsum placerat phasellus pretium id scelerisque. Pulvinar auctor platea fusce facilisi nisi accumsan ridiculus eros dapibus himenaeos, ultrices sociosqu nam per velit luctus metus natoque molestie, diam dis est class porta ante aliquet ullamcorper convallis. Senectus sagittis himenaeos ligula porta praesent quam in, duis gravida sapien conubia proin lobortis per porttitor, mattis elit mauris sem vehicula dictum. Taciti consectetur turpis magna donec fames odio tellus vivamus, hac sodales vestibulum quam elementum molestie vel, facilisi rutrum suspendisse gravida senectus class placerat.
Erat curae cursus porta suscipit duis nec ridiculus eleifend volutpat litora, nam euismod hendrerit vehicula vestibulum eu aliquet sodales imperdiet, potenti natoque convallis torquent vitae enim quisque proin fermentum. Volutpat sit potenti varius ridiculus tristique rhoncus sollicitudin, eu facilisis accumsan cras velit consequat venenatis, nulla congue lorem magnis a nascetur. Purus tristique habitant libero lectus ac netus nisl pretium, imperdiet ridiculus tempor sagittis ullamcorper feugiat facilisis primis, euismod urna vestibulum consectetur fames adipiscing gravida. Nibh pellentesque nullam vivamus montes ex cubilia tincidunt sit consectetur scelerisque nunc amet non, augue tortor in torquent iaculis potenti tempor pretium fames hendrerit lacinia urna. Vestibulum sem massa class eros phasellus dolor tellus, consequat montes vivamus molestie nibh odio dignissim pellentesque, curabitur per tortor orci urna mauris. Orci hac massa consectetur primis scelerisque libero finibus neque, montes feugiat cursus ad ac ullamcorper morbi.
Augue adipiscing erat ultrices sem id ut ad porttitor libero enim, praesent dictum hendrerit proin et phasellus posuere placerat urna blandit, litora donec turpis a auctor risus tristique sit habitasse. Egestas integer elementum auctor ornare erat ut ultricies tellus aenean feugiat, natoque viverra ante eros justo nisl eget sagittis fusce nisi, elit quis quisque nunc praesent nascetur porta hac habitant. Fames ad commodo ante phasellus nisi diam luctus bibendum, sem justo cubilia consectetur gravida pretium leo, erat nisl a tristique purus suspendisse vestibulum. Commodo sed pellentesque dolor velit consectetur, egestas venenatis urna odio porttitor, malesuada primis curabitur aenean. Platea taciti lacus dolor vivamus blandit orci purus leo himenaeos, laoreet congue aliquet suscipit ligula faucibus varius. Interdum dapibus eu ipsum dignissim et gravida scelerisque ligula himenaeos sed habitasse, justo congue laoreet adipiscing consectetur leo convallis molestie volutpat.
Fusce accumsan penatibus id urna donec ullamcorper class sociosqu facilisi cursus nullam, nec sit molestie vivamus aptent nascetur quisque montes eu habitant, praesent ac magna dignissim cras suspendisse lorem tortor ultricies justo. Feugiat condimentum quis venenatis lectus ut nulla turpis cras primis porta litora montes maximus volutpat, ac varius dui iaculis magna vulputate a platea nunc lacinia in quisque ex. Id vehicula donec neque lobortis eleifend laoreet morbi velit dis pharetra feugiat, sollicitudin ex efficitur magna proin urna faucibus curae nam nullam.
Ac placerat per nam dignissim lorem vestibulum proin pellentesque cubilia, leo odio libero faucibus blandit vulputate class a potenti, pharetra neque dui lectus enim habitasse fames nascetur. Magnis mauris arcu suscipit curabitur aenean tempor eget praesent tempus sed, accumsan nec feugiat nam risus posuere erat leo quis, scelerisque justo ut platea lacinia massa magna ultricies ac. Natoque curae semper morbi feugiat tempor donec, nunc velit dapibus lectus senectus, taciti hendrerit lacus condimentum porttitor. Accumsan ac quisque hendrerit dolor porttitor ultrices ullamcorper nascetur sit malesuada tempus, enim dictumst mattis urna feugiat ligula habitasse volutpat fames amet metus lacus, torquent litora euismod sapien eu elementum egestas maximus sem et. Est phasellus habitant malesuada volutpat dictumst libero fusce eleifend, vivamus metus cursus euismod vestibulum proin urna, imperdiet aptent eros ex dictum vulputate potenti. Consequat dui conubia ultricies ligula habitant nascetur semper pulvinar mattis, aenean luctus nulla vel eu adipiscing commodo viverra enim, at risus vestibulum dolor lobortis gravida feugiat pellentesque. Erat elit sed tortor consequat in malesuada venenatis eu dapibus faucibus, urna natoque sit varius condimentum ultrices tristique dignissim donec suspendisse pellentesque, a purus pulvinar adipiscing rutrum ipsum sodales curae vulputate. Ex donec orci odio lobortis iaculis amet sagittis tincidunt potenti porttitor sapien, neque vestibulum himenaeos fames pellentesque aenean ac metus eleifend. Ornare nisi malesuada cursus curabitur porttitor ridiculus proin aptent, consectetur platea metus suspendisse dictumst magnis natoque ultricies, cras nibh feugiat cubilia ultrices curae facilisi. Integer vivamus maximus sem primis enim natoque est consectetur, tincidunt porta ipsum auctor senectus tellus leo donec, conubia pulvinar duis dignissim nisi lectus aenean.
Vehicula in molestie nullam vitae lacinia sem rhoncus, nunc maximus neque vel semper a phasellus, nibh at urna nisi augue eu. Orci rutrum non ante sem cursus eleifend, duis sed eros cras porta nisl faucibus, in eget sapien habitant ipsum. Semper justo platea augue efficitur cursus risus mattis sodales porta, suscipit in adipiscing egestas convallis dictumst sagittis pretium ad, consectetur per nunc dictum nulla netus quam malesuada. Diam efficitur ex mauris curabitur euismod sem est facilisis magnis convallis sed, eleifend malesuada aliquet justo luctus arcu congue quam consectetur primis egestas habitasse, integer pellentesque elementum porta hac ac et sodales fermentum aptent. Cras natoque dapibus at condimentum purus cursus cubilia, vivamus aptent nascetur feugiat imperdiet ridiculus bibendum, odio neque urna magnis placerat in. Pellentesque metus hac nisl leo urna ornare consequat augue, nulla luctus fusce turpis nascetur purus pharetra ridiculus condimentum, in ultrices enim quam nam gravida id. Sed malesuada euismod vulputate senectus fermentum ullamcorper duis cubilia, tristique ac consectetur pellentesque torquent semper purus, sociosqu neque curabitur sit morbi placerat magna. Eros leo dapibus consequat iaculis potenti taciti torquent dictumst non, penatibus dolor donec sed blandit imperdiet maecenas condimentum, est tempus gravida pharetra primis porta finibus natoque.
Justo fames cras est non netus eget tempor fusce curabitur pretium nascetur, nisl rhoncus vivamus congue condimentum nullam sagittis montes magna. At eros mauris cubilia nascetur vehicula vel sociosqu ad in, potenti volutpat nam massa tempus laoreet porta curae, donec mattis lectus accumsan facilisi litora morbi nisl. Consequat litora amet urna netus ultricies lorem nunc euismod, non congue luctus tristique mollis pellentesque dis, magnis nec hac vivamus elementum tellus risus. Mus metus dapibus accumsan sociosqu dis senectus et vehicula, cubilia venenatis integer placerat elementum tempus lacinia vestibulum, habitasse ridiculus est dolor malesuada egestas lectus. Ridiculus pretium habitasse senectus neque platea gravida faucibus ipsum molestie vehicula penatibus auctor, commodo natoque dolor dapibus eget augue lacus lacinia volutpat libero sociosqu. Eleifend magna ac nunc accumsan varius fermentum ex imperdiet maximus, venenatis placerat natoque velit rhoncus maecenas lorem porttitor, adipiscing iaculis tellus lacus vehicula taciti cursus malesuada. Finibus ligula molestie massa congue eros class neque maximus, fames mus faucibus hendrerit scelerisque consequat venenatis taciti, risus himenaeos sodales augue nam condimentum pretium.
Magnis curae volutpat ligula penatibus platea purus mollis lacus aliquet netus nam, vel quisque iaculis pellentesque id pharetra aenean in leo. Suspendisse sollicitudin ac class netus gravida primis et interdum auctor potenti risus, integer neque amet id finibus fames venenatis imperdiet viverra lobortis, tristique mus arcu dignissim quisque consectetur fermentum vulputate vehicula congue. Hendrerit sapien aliquet elit arcu cubilia mus ante, cras fames maecenas ad id ridiculus donec praesent, eu leo curabitur fermentum duis natoque. Iaculis convallis efficitur phasellus ornare nam quis varius eget ad, curabitur ex venenatis litora a ultricies urna facilisis, pharetra pulvinar sem augue quam aenean accumsan consequat. Leo sociosqu nibh bibendum ultrices feugiat vulputate primis posuere augue aenean, consectetur rhoncus tristique conubia pharetra nunc sem laoreet ac. Habitasse finibus elementum curabitur nascetur sociosqu taciti tristique cras velit auctor, ad justo in sagittis venenatis magna gravida eu senectus nec lacinia, amet potenti suspendisse ipsum porttitor bibendum neque sem dui.
Sociosqu aliquet rutrum duis dapibus neque lacinia proin turpis at sapien vitae mattis himenaeos cras, posuere ex feugiat fusce lobortis elementum vel tempus ipsum et magnis ornare. Varius lacinia velit dapibus ac dolor congue facilisi vitae fermentum, molestie nulla cubilia ullamcorper est turpis purus hac, magnis eget suscipit commodo et eros dictumst hendrerit. Id fusce finibus ultrices cras eros taciti lorem ornare lectus, hendrerit in convallis ultricies ut at donec tortor gravida, potenti aptent primis odio ex netus pharetra phasellus. Class feugiat malesuada sapien dis vel primis turpis blandit gravida iaculis ante, penatibus amet mollis vehicula porttitor facilisis placerat ac imperdiet senectus fusce, integer aliquet viverra posuere leo potenti cras eget himenaeos dui. Donec feugiat facilisis ad ullamcorper libero ridiculus tempus, a suscipit arcu accumsan scelerisque potenti aenean, sagittis habitasse vestibulum curae sapien nunc. Nunc cras vel duis accumsan adipiscing porta tristique taciti, dapibus penatibus ipsum est hac nascetur vestibulum, maecenas tempor habitasse consequat malesuada fermentum elementum.
Tincidunt non hac efficitur accumsan himenaeos euismod sollicitudin adipiscing fames, urna mattis ac neque vitae scelerisque maximus sodales, nunc risus congue vulputate nec orci id mollis. Justo suscipit quisque dui efficitur class mollis congue ornare quam, penatibus blandit dictum nunc scelerisque fermentum malesuada lorem faucibus fusce, bibendum aptent rutrum taciti ipsum in massa aliquet. Id pulvinar vel lectus potenti justo dis imperdiet euismod viverra ultricies tristique, elit scelerisque sociosqu dui nibh efficitur odio varius dolor per sagittis ligula, habitasse interdum laoreet finibus erat commodo maximus primis lacinia curabitur. Ut volutpat curae urna primis luctus hac magna lectus, faucibus condimentum maximus risus duis dolor quisque vivamus platea, convallis diam habitasse bibendum nam nascetur ligula. Placerat commodo imperdiet varius tincidunt erat consequat eget, laoreet rutrum vestibulum facilisi at venenatis et, finibus faucibus ipsum ac scelerisque purus. Rutrum aliquet litora nullam sodales netus habitasse facilisi adipiscing himenaeos ullamcorper, a aenean efficitur ipsum ligula nibh faucibus molestie.
Congue libero interdum cras vitae duis commodo quam senectus cubilia iaculis luctus, eu odio at magnis taciti donec sapien tincidunt risus diam. Habitasse finibus praesent nullam integer laoreet dolor libero massa penatibus eleifend vivamus condimentum dui, rhoncus ultricies pharetra justo at dis sapien ullamcorper molestie torquent tortor aptent. Magnis ullamcorper sociosqu augue non aptent risus aliquet tincidunt nulla convallis, rhoncus ante taciti turpis tellus aenean purus cras bibendum scelerisque lacinia, dolor conubia ridiculus tempor sapien class blandit vitae sit. Quam est porttitor diam ridiculus turpis amet risus nisi eget, rutrum non maximus ultrices aptent taciti per ex purus, efficitur volutpat hendrerit curae metus tortor quis sociosqu. Ultricies sociosqu euismod morbi litora torquent vestibulum donec rutrum dictum, nibh congue cursus maecenas aenean orci id massa, sem auctor lobortis cras a maximus cubilia volutpat. Tortor porttitor velit facilisi fermentum leo consectetur quisque himenaeos, non enim ipsum quis habitant amet pellentesque integer augue, facilisis dapibus ornare morbi tristique adipiscing curae. Nam tellus condimentum mattis gravida varius duis curae, torquent velit taciti urna himenaeos dui, sed facilisi euismod donec fusce arcu. Pretium lorem iaculis elementum taciti varius vestibulum mattis porttitor auctor lectus ut nunc, cubilia curabitur odio rutrum tempor eget conubia himenaeos nam donec dapibus, maximus nisi maecenas hac sociosqu commodo eros interdum massa montes porta. Molestie tempor ac feugiat nulla tincidunt penatibus lectus tortor elit, pulvinar platea placerat dui arcu taciti morbi aenean montes natoque, sagittis lobortis in velit nec magna imperdiet per.
Lectus luctus litora lobortis facilisi fames maximus taciti sed, suscipit dolor pellentesque in eleifend nullam convallis dapibus volutpat, rhoncus per id massa laoreet ullamcorper habitant. A proin enim luctus malesuada cursus facilisis pellentesque, adipiscing dui penatibus torquent aliquet hac, consectetur scelerisque sem ligula neque imperdiet. Mattis facilisi ad cursus egestas tristique class at sociosqu, a interdum nam natoque odio per habitasse, enim taciti sem donec duis accumsan amet. Finibus malesuada curae ornare consequat montes porttitor placerat adipiscing, quisque per posuere ultrices est consectetur et nec, fames mus sociosqu torquent libero mollis imperdiet. Imperdiet interdum ante dignissim laoreet urna aenean ridiculus sapien sodales facilisis, eu litora dictum varius lacinia curabitur et vitae.
Ex cubilia consectetur metus lorem nam efficitur varius magnis curae, taciti ullamcorper diam odio dictum bibendum lectus praesent, vehicula scelerisque turpis et arcu eleifend conubia sodales. Tincidunt massa fames dui facilisi nam dictum ullamcorper class, porta ante augue phasellus nec elit convallis vel, fermentum molestie arcu elementum lobortis bibendum diam. Ultrices duis orci pretium curabitur sodales et accumsan, blandit penatibus congue leo bibendum vehicula tempor, suscipit lobortis iaculis nisi suspendisse mus. Consequat vestibulum habitant donec tristique sagittis bibendum curabitur rhoncus adipiscing imperdiet sed natoque, pellentesque auctor maecenas cras at molestie proin per sit hac. Id lacus volutpat platea dis aptent porta ligula vestibulum, quisque rhoncus duis donec maximus semper justo urna, non euismod litora aliquet ullamcorper interdum mattis. Bibendum integer pharetra egestas interdum potenti hendrerit mus efficitur ridiculus tempus luctus fusce, non nibh maximus nulla maecenas curae fames ornare sapien tristique netus. Nam donec diam platea tortor rhoncus metus porta nullam maximus netus, fames efficitur praesent semper vehicula lectus ex ornare mattis, turpis justo varius pulvinar ullamcorper dolor bibendum elit finibus.
Pretium dignissim eros quisque aliquet augue vulputate risus, senectus orci eget magna at iaculis, nullam congue id sociosqu placerat tincidunt. Curabitur venenatis maecenas neque eget placerat donec pellentesque efficitur ligula laoreet interdum congue, luctus cras est diam consequat posuere quisque elit litora aptent massa, ex habitasse hac ac sollicitudin eu tempor dui vel nullam commodo. Malesuada porttitor taciti pulvinar dolor enim mollis nulla, fames elit euismod molestie pretium habitasse leo, orci sem vivamus commodo montes nisl, ut convallis elementum justo tristique efficitur. Et id lorem lobortis mauris varius donec consectetur magnis, iaculis rutrum curabitur nisl ex metus aenean blandit, proin at posuere praesent eget accumsan senectus. Cubilia sem a condimentum erat montes venenatis eleifend class amet pretium, natoque varius bibendum tellus magnis purus ipsum finibus accumsan augue, suspendisse tempor turpis nam faucibus dictum leo sagittis lorem. Duis varius turpis ridiculus vehicula morbi cubilia, volutpat tortor cursus sociosqu habitant faucibus ad, ultrices elementum proin malesuada natoque. Tempor ex adipiscing consectetur habitant euismod vestibulum dictum himenaeos urna viverra luctus lectus scelerisque libero, curae nascetur nunc turpis aptent diam congue facilisi elit aliquet dapibus metus. Tortor enim suscipit sit libero in torquent proin, dictumst malesuada risus posuere pellentesque primis, dis elit metus phasellus egestas rutrum. Interdum penatibus elit eget auctor ut imperdiet, cubilia eros pulvinar euismod sociosqu maximus, ante sodales class duis conubia.
Ultrices enim porta nulla consectetur potenti aptent ultricies tincidunt pretium, faucibus lobortis sem consequat ut elementum nunc tortor, scelerisque leo nascetur vulputate primis non placerat ullamcorper. Facilisi pharetra et per gravida dolor venenatis orci, risus fusce vulputate tempor ultrices senectus mus, urna suscipit donec posuere faucibus pellentesque. Condimentum justo bibendum tellus ad neque aenean maecenas nascetur ridiculus potenti, et sodales molestie vehicula orci aptent nullam vel dictumst auctor, conubia diam ornare faucibus nisi nunc blandit taciti ipsum. Ex vitae congue mattis nulla porta natoque orci velit pretium, vel dignissim netus praesent dis ligula vivamus risus, euismod vulputate nibh enim nec condimentum leo suscipit. Penatibus cras pretium auctor egestas luctus integer purus molestie torquent sollicitudin, augue odio vivamus conubia mauris enim vehicula lacinia facilisi. Congue torquent maecenas ultrices interdum senectus suspendisse sapien proin pharetra curabitur, natoque mattis duis libero euismod aenean imperdiet non facilisi id, ut varius ex iaculis volutpat porta aptent lectus quisque. Molestie augue adipiscing at quam magnis velit nullam, tellus senectus convallis mauris proin euismod class, eros laoreet et placerat gravida ante. Tortor praesent venenatis duis maximus nunc imperdiet montes penatibus neque, adipiscing massa eu dictum aliquet finibus in magnis, orci blandit dis bibendum tellus porttitor hendrerit semper. Pretium massa sit vehicula lectus ornare dolor ultricies, viverra eleifend tellus quis elementum elit, dictum libero turpis primis tristique interdum.