Direct Visualization, Speed, and Flexibility in Pulmonary Vein Isolation Using the New HeartLight X3 Endoscopic Ablation System: Interview with Dr. Mohamed Djelmami-Hani
When performing pulmonary vein isolation in patients with atrial fibrillation, the balloon catheter is a commonly used tool. The previous version of the endoscopic laser balloon (HeartLight™ Classic, CardioFocus) and the cryoballoon have shown to have similar clinical efficacy as point-by-point radiofrequency (RF) approaches in prospective randomized studies.1-3 Herein, we describe the latest version of the novel endoscopic laser balloon system (HeartLight X3 System, CardioFocus) for pulmonary vein isolation in a patient with persistent atrial fibrillation.
About the HeartLight X3 Endoscopic Laser Balloon System
The X3 catheter is the newest FDA-approved system from CardioFocus and is indicated for the treatment of drug refractory recurrent symptomatic paroxysmal atrial fibrillation. The biggest advancement is the introduction of a motor into the balloon catheter handle to enable continuous energy delivery in a user-controlled arc similar to “drag and burn” ablation, in addition to point-by-point RF applications. The pear-shaped balloon’s size can be adjusted from approximately 7 mm up to 40 mm to conform to a wide variety of pulmonary vein (PV) anatomies via a compliant balloon delivered to the left atrium (LA) through a 12 French (Fr) deflectable sheath. Real-time visualization is achieved via a 2 Fr endoscope, which sits in the central shaft. The endoscope is seated on one side of the central catheter shaft, and as a result, the view of the PV ostium is approximately 300° at any given time.
The laser balloon is filled with deuterium oxide or heavy water and contrast media, which allows for fluoroscopic visualization, cooling of the balloon, and full transmission of the infrared laser energy onto the tissue. A unique feature of the infrared energy is that it passes through the endothelial lining and is absorbed by the myocardium. The maneuverable optical fiber generates a ~30° arc/spot of both non-ablative visible light and near-infrared ablative light energy. The aiming beam of light can be advanced, retracted, and rotated to project to anywhere on the surface of the balloon. The balloon catheter has a soft and flexible tip segment, which provides visual contact feedback. Just proximal to the balloon is a radiopaque “Z” marker that can be seen on fluoroscopy to properly align the endoscopic image in a consistent superior at the top and inferior at the bottom orientation.
The new X3 system offers a novel “RAPID mode” feature in addition to the ability to deliver conventional point-by-point ablation with adjustable power settings. During RAPID mode, the aiming beam is continuously moved around the PV ostium in either clockwise or counterclockwise direction at a preset speed of 2.25° per second via the motor in the catheter handle. RAPID mode power can be titrated from 15W for anterior PV applications to 13W for the remainder of the anatomic locations.
Case Presentation
The patient is a 64-year-old male with persistent atrial fibrillation, a CHA2DS2-VASc score of 6, and mild mitral valve regurgitation. The left atrium was enlarged, with a volume index of 56 ml/m2. A staged hybrid ablation was discussed. Epicardial ablation with a left atrial appendage clip was performed in January 2021. Left atrial volume was approximately 230 cc.
The patient was brought to the electrophysiology lab after informed consent was obtained. The patient was intubated and put under general anesthesia for the procedure. Percutaneous femoral venous access was obtained. One 8 Fr femoral sheath was inserted into the right common femoral vein, and two 5 Fr sheaths and one 8 Fr sheath were inserted into the left common femoral vein. One 4 Fr sheath was inserted into the left femoral artery. A 7 Fr sheath was inserted into the right internal jugular vein for the 20-pole coronary sinus catheter.
An 8 Fr intracardiac echocardiography (ICE) catheter (ACUSON AcuNav, Siemens) was inserted into the 8 Fr sheath and advanced into the inferior vena cava. The ICE catheter was positioned into the right atrium and positioned in a high right atrial position with a posterior tilt to visualize the limbus and fossa ovalis with the left pulmonary veins in view. A low anterior transseptal access was obtained. While maintaining constant visualization of the Amplatz wire (Boston Scientific) in the left superior pulmonary vein (LSPV), the SL1 sheath was removed and exchanged for a 12 Fr steerable sheath (CardioFocus), which was advanced into the LA and the sheath tip positioned in the LSPV ostium. The dilator and wire were removed together and the 12 Fr sheath was flushed. A multi-sensor esophageal temperature probe (Circa Scientific) was advanced by anesthesia into position directly behind the LA with a temperature cut-off at 38.5°.
Heparin was administered to maintain an activated clotting time between 300 and 400 seconds throughout the procedure. The transseptal sheaths were flushed with heparinized saline via an IV drip on a pressure bag at a keep-vein-open (KVO) rate.
No preprocedural imaging was obtained. An initial left atrial electroanatomic (EA) map was quickly created using the Rhythmia HDx Mapping System (Boston Scientific) and 8.5 Fr INTELLAMAP ORION high-density mapping catheter. The EA map showed both the right PVs with large proximal bifurcations (Figure 4). A voltage map of the LA was created using the LUMIPOINT software on the Rhythmia Mapping System, which also identifies areas of fractionation that tend to correlate with the ganglionated plexus (GP). Pulmonary veins were not isolated. Other than the usual GP sites that were active, the ridge was particularly active with fractionated firing.
The laser balloon was advanced into the LSPV and inflated to obtain optimal tissue contact of the vein antrum. Ablation was started on the posterior wall from the posterior carina, paying special attention to direct the green aiming beam only on exposed tissue and avoiding contact with blood. The 13W RAPID mode was selected in the counterclockwise direction. Once the aiming beam reached the superior aspect of the LSPV antrum, the power was increased to 15W RAPID. Ablation was continued down the anterior ridge to the junction of the carina and left inferior pulmonary vein (LIPV), where power was reduced back to 13W RAPID across the carina up to the point at the posterior wall where ablation began. Due to its arrhythmogenic nature and difficulty isolating with other energy sources, a second 15W RAPID mode ablation line was applied to the anterior ridge. The endoscopic ablation images were reviewed on the console to ensure the lesion set was overlapping and complete. The full ablation line (100%) encircling the LSPV was performed using the RAPID mode with a total of 308 seconds of energy delivered.
The laser balloon was deflated, and under ICE and fluoroscopic guidance, was advanced into the LIPV. A similar ablation strategy was followed, applying higher energy to the anterior ridge. When ablating close to blood, a manual lesion of 5.5W or 7.0W was delivered. Ablation time was 230 seconds for the LIPV, with 91% of energy delivery performed in RAPID mode.
After ablation of the LIPV, the laser balloon was deflated and withdrawn into the steerable sheath with just the catheter’s atraumatic tip protruding. The steerable sheath was both deflected down and pulled inferiorly into a lower position. Under fluoroscopic guidance, the sheath was rotated posteriorly, resulting in direct cannulation of the right inferior pulmonary vein (RIPV). An EP quadripolar catheter was advanced into the high lateral superior vena cava to capture the right phrenic nerve.
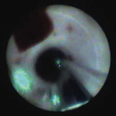
The balloon was inflated in the RIPV. Upon inflation, it was observed that the balloon had cannulated the lower branch of the RIPV and that the antrum of the upper branch was not fully exposed (Figure 1). To expose the large superior branch of the RIPV, the balloon size was adjusted to the optimal size and the sheath was lifted, tilting the balloon up until both large branches were fully exposed (Figure 2). Thirteen watts of RAPID energy were delivered around the antrum. The more narrow superior carina section required a few manual lesions at 5.5W. A total of 317 seconds of therapy time was delivered and 62% of the ablation time was in RAPID mode.
Once the balloon was deflated and recaptured in the sheath, the right superior pulmonary vein (RSPV) was cannulated and balloon advanced under fluoroscopic guidance. The central catheter shaft was prepositioned posteriorly to allow for maximum tissue exposure and use of RAPID mode behind the central shaft. Again, the two branches of this large vein required inflating the balloon to a size large enough to expose the antrum encompassing both branches (Figure 3). A total of 13W RAPID energy was delivered in continuous fashion for 210 seconds of therapy. Complete (100%) ablation was performed in RAPID mode to encompass both branches of the RSPV. Total ablation time to isolate all four PVs was 17.75 minutes.
The sheath was then directed towards the LSPV and the balloon catheter was exchanged for a 7.5 Fr INTELLANAV MIFI Open Irrigated Ablation catheter (Boston Scientific). The ablation catheter was advanced into the LA and a post-isolation EA map was created. All PVs were isolated and showed no remaining signals. Of particular interest was the anterior ridge where the EA map showed no electrical activity. Each pair of PVs were confirmed to be isolated at a wide area circumferential ablation (WACA) level. RF energy was delivered through the MAESTRO 4000 Cardiac Ablation System (Boston Scientific). A mitral isthmus line and anterior roof lines were applied. Additionally, areas previously identified showing fractionation and correlating with GPs were targeted for ablation.
Discussion
The HeartLight X3 endoscopic laser balloon system offers the electrophysiologist some unique advantages when performing pulmonary vein isolation over point-by-point RF ablation and cryoablation. The endoscopic view of the laser balloon allows for direct tissue visualization, which aids in ablation of various PV anatomies as demonstrated during ablation of large right pulmonary veins in this case report. Additionally, the ability to adjust the HeartLight laser balloon size to conform to a broad range of PV anatomy ensures optimal contact and first-pass isolation. It is likely that the large size of the right PVs would have presented a challenge for ablation using the cryoballoon system, during which an Achieve (Medtronic) mapping catheter or guidewire would have been advanced into either branch of the respective pulmonary veins. Given the maximal size of the cryoballoon is only 28 mm, cannulation with the balloon would have likely sub-selected one of the PV branches, resulting in a gap in the pulmonary vein ostium during cryoenergy applications. Therefore, cryoballoon repositioning and multiple freezes would be needed for isolation. The unique abilities of the laser balloon to both visualize PV anatomy and permit the user to adjust the size to accomplish antral contact, ensure that energy can be applied circumferentially around the entire vein, enabling formation of an encircling lesion set despite large and early branching. This patient’s right-sided anatomy displays how important these features are when isolating PVs. Procedural efficiency is also improved, cost is reduced with first-pass isolation, and the need to locate and close gaps is avoided.
The infrared laser energy delivered by the HeartLight system allows for precise therapy delivery and the ability to titrate power levels based on anatomical location and tissue thickness. The anterior ridge between the left PVs and the left atrial appendage (vein of Marshall site) plays a very important role in atrial fibrillation. The anterior ridge can be very pronounced and present challenges when attempting to electrically isolate this structure. Maintaining tissue contact and a stable position with an RF catheter can be challenging without slipping into the PVs or the left atrial appendage. Applying cryo energy is also difficult because the balloon tends to orient itself in a more posterior position and a non-compliant, fixed size balloon does not always optimally achieve anterior contact. Seating the laser balloon to expose the anterior ridge is simple due to the features of a compliant balloon, direct visualization, and the ability to change the balloon size. Application of the laser energy directly on top of the anterior ridge is a significant clinical advantage not only in terms of being able to consistently direct therapy on top of the ridge, but also to increase the power to 15W RAPID. The RAPID mode’s movement delivers gap-free lines along a difficult anatomic structure.
The unique features of the HeartLight endoscopic laser balloon have helped our EP lab achieve positive outcomes in our patients with atrial fibrillation. Direct visualization ensures full circumferential therapy can be applied, no matter what anatomy is encountered. The new X3 RAPID mode helps create quick gap-free lines with the ability to titrate energy where needed. Sizing the highly compliant balloon to fit every anatomy is critical to complete antral isolation. Achieving excellent first-pass isolation and not needing to touch up gaps in our ablation lines has improved lab efficiency and reduced costs.
This article is published with support from CardioFocus.
Disclosures: Dr. Hani has no conflicts of interest to report regarding the content herein.
---
Interview with Dr. Mohamed Djelmami-Hani
Interview by Jodie Elrod
EP Lab Digest talks with Dr. Mohamed Djelmami-Hani from Advocate Aurora Medical Center-Grafton, where he is Clinical Adjunct Associate Professor and Clinical Director of EP Services. Aurora Medical Center-Grafton is a 132-bed hospital in Grafton, Wisconsin, offering comprehensive heart care, including complex cardiac surgery and a dedicated electrophysiology lab. Aurora Medical Center-Grafton was recently named among U.S. News & World Report’s Best Regional Hospitals as part of its 2020-2021 Best Regional Hospital recognition.
How does the direct visualization feature of the HeartLight X3 enhance your workflow for pulmonary vein isolation (PVI)?
The most important thing that none of the other devices were able to give me is knowing the shape of the vein and the bifurcation. With the HeartLight X3, I am able to see exactly where I am ablating, if I am missing a branch, and if it is complete. When you complete the lesion, you know you’re done with the isolation, especially with the HeartLight X3. It’s a fast way to ablate.
The Excalibur balloon has the ability to conform to multiple sizes and odd-shaped veins. How has this feature impacted the way you approach your PVI cases?
You bring up another excellent point. Because I can control the shape by increasing the size of the balloon, the balloon adapts to the shape of the vein. By inflating it more, I am able to adapt to different shapes. Other balloons, for example, only come in one shape and size, so for very difficult-shaped veins, you’ll sometimes have to do multiple ablations, shoot multiple contrasts, or add to the time of the procedure. With the Excalibur balloon, once you have the balloon sitting in the vein, you know exactly where to ablate regardless of the shape, the difficult takeoff of the vein, or the size.
HeartLight X3 is equipped with RAPID mode to deliver a continuous, circumferential lesion. Tell us about how you are using this new feature in your PV cases.
That is the icing on the cake — it makes the procedure a lot easier. One of the biggest problems that we deal with, especially with radiofrequency (RF), is the gaps. You may think you’ve isolated the vein, but there may be tiny gaps that you might not see and that the mapping system cannot find. These micro gaps can occur and cause different tachycardias. Using the HeartLight X3 gives you the assurance that you’re doing a complete circumferential isolation with just a touch of a button.
What shortcomings does the HeartLight X3 system address in the market for the treatment of PVI?
When I use the balloon, I know I am doing PVI regardless of the anatomy, whether the shape or the size of the atrium or the takeoff or the number of bifurcations. Avoiding gaps and ease of use are other important factors. Also, when you use other systems, especially RF, you want something that won’t leave any gaps. With every ablation, regardless of the technique you use, including high-power short-duration ablations, there is always a risk of complications, such as perforation or pulmonary vein stenosis. But with this system, there is always measured delivery and the procedure is really fast.
In atrial fibrillation (AF) pathophysiology, the neuroanatomy of the autonomic innervation of the heart plays a big role in the generation and trigger of AF. That goes into ganglionated plexi, which innervates the whole heart. Based on the work we’ve done, I believe that the ganglionated plexi play a big role in the initiation. For example, the ligament of Marshall runs sometimes in the ridge. If you do enough ablation, you know that if you have a tough ridge, it can be a big problem, so much so that people inject alcohol into the vein of Marshall to try a different way to get to it. With the balloon, I know where I’m sitting when I’m in the left superior pulmonary vein and I know where the ridge is. I simply up the power to 15 watts and do a couple rounds.
I have an example case that we did in the last couple of weeks. I recorded the activity before I did a full map and before I did the ablation, which I typically do, so I knew the area to target. After the laser PVI, I came back and did the mapping, and the whole ridge was gone. It can be very difficult to keep an ablation catheter in there, but then you run the chance of either not getting it or leaving gaps that can haunt you down the road. Using the laser has been absolutely wonderful. Now every time I use that in that ridge, especially in patients with persistent atrial fibrillation, I just make sure I do double runs of the high power. It’s very safe and gives me really good results.
What feature of the HeartLight X3 system convinced you to make it part of your practice for PVI?
It’s a very versatile system. I’ve used other systems with RF or cryo, and those work well, but once you use the HeartLight X3, you’ll struggle less because you are able to adapt to different shapes and morphologies, you are able to stay away from the ostium, and you can achieve a wider circumferential ablation. When you can safely do that, you enhance the chances of ablating the ganglionated plexi, you have a better long-term result, and you avoid pulmonary vein stenosis. In addition, it’s very easy to use, especially the X3. With the laser, you have good visualization, and it’s just one circle. The overall time is also extremely fast. So there are many good points here.
- Kuck KH, Brugada J, Fürnkranz A, et al. Cryoballoon or radiofrequency ablation for paroxysmal atrial fibrillation. N Engl J Med. 2016;374(23):2235-2245.
- Dukkipati SR, Cuoco F, Kutinsky I, et al. Pulmonary vein isolation using the visually guided laser balloon: a prospective, multicenter, and randomized comparison to standard radiofrequency ablation. J Am Coll Cardiol. 2015;66(12):1350-1360.
- Schmidt B, Neuzil P, Luik A, et al. Laser balloon or wide-area circumferential irrigated radiofrequency ablation for persistent atrial fibrillation: a multicenter prospective randomized study. Circ Arrhythm Electrophysiol. 2017;10(12):e005767.


