Developing a Protocol for 4-Dimensional Intracardiac Echocardiography-Guided Left Atrial Appendage Occlusion Procedures
© 2024 HMP Global. All Rights Reserved.
Any views and opinions expressed are those of the author(s) and/or participants and do not necessarily reflect the views, policy, or position of EP Lab Digest or HMP Global, their employees, and affiliates.
EP LAB DIGEST. 2024;24(10):16-18.
David Weisman, MD
Electrophysiology Medical Director, Jupiter Medical Center, Jupiter, Florida
Despite the advent of direct oral anticoagulants, there are many patients who are still deemed not safe to be or remain on oral anticoagulation.
Alternatives to oral anticoagulation include left atrial appendage occlusion (LAAO) procedures. However, these procedures traditionally required general anesthesia and transesophageal echocardiography (TEE) guidance to aid implantation of the 2 currently available commercial devices, Watchman (Boston Scientific) and Amplatzer Amulet (Abbott). In this article, we discuss our approach for a 4-dimensional intracardiac echocardiography (ICE)-guided approach to LAAO procedures.
Background
In a previously employed position, I was one of 6 LAAO implanters including 4 electrophysiologists and 2 structural heart cardiologists. TEE imaging during the procedure was performed almost exclusively by a cardiac anesthesiologist. As a result, support from our anesthesia colleagues evaporated, as they no longer were able to provide imaging support for our LAAO procedures. Procedural volume peaked from one of the busiest implant centers in the state to nearly nonexistent. The imaging cardiologists in our group were unavailable to supplement the void left by anesthesia.
Initially, TEE-guided procedures were solely performed by sterile draping the probe. Although feasible, it was quite cumbersome and a physically arduous task as an implanter. After doing a handful of cases in this manner, the decision was made to learn how to perform 2D ICE-guided LAAO. As an electrophysiologist who was comfortable with 2D ICE manipulation and imaging, it seemed to be a potentially natural solution. In my experience, although 2D ICE was feasible, it was not ideal for LAAO procedures. There were several hurdles to overcome beyond simple placement of the catheter in the LA. Two-dimensional ICE imaging requires constant manipulation to adequately visualize the LAA and confirm proper seating of a device implant. A tremendous amount of catheter fatigue was encountered when trying to confirm proper positioning. Often, it was difficult to acquire all the complementary views that were standard to TEE imaging. Frustration was mounting and the LAAO program was struggling.
Around this time, our institution acquired the Nuvision 4D ICE catheter (Biosense Webster, Inc, a Johnson & Johnson company). Almost from the first case, there was ease of integration into the existing workflow. A unique feature allows for independent 360⁰ distal tip rotation, which in combination with the ability to perform multiplanar imaging, simplified the ICE-guided approach. To a novice 4D ICE user, it was comparable to having a TEE probe but on an ICE catheter. The catheter was integrated into the workflow, and within a short period of time, colleagues in the LAAO program integrated the catheter into their workflow as well.
Initial Experience
Our initial experience with the 4D ICE technology was performed with general anesthesia, but as our comfort levels rose, MAC anesthesia was
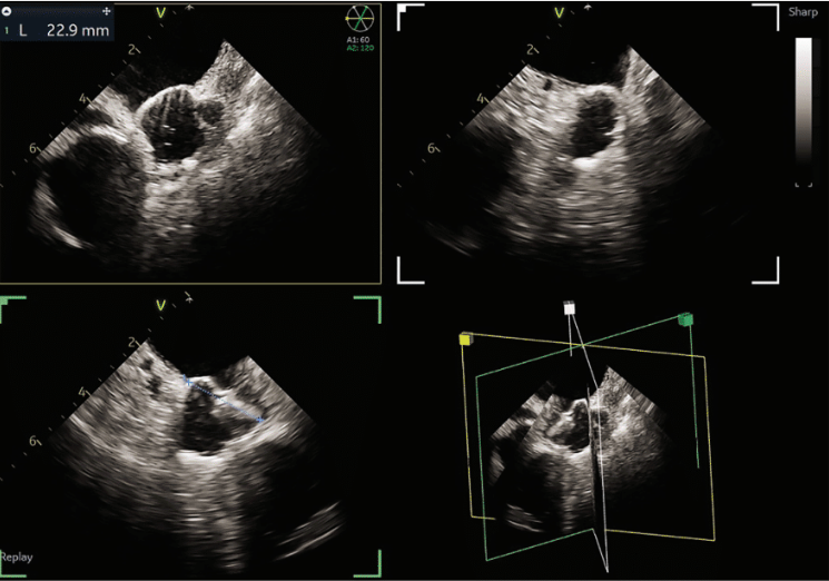
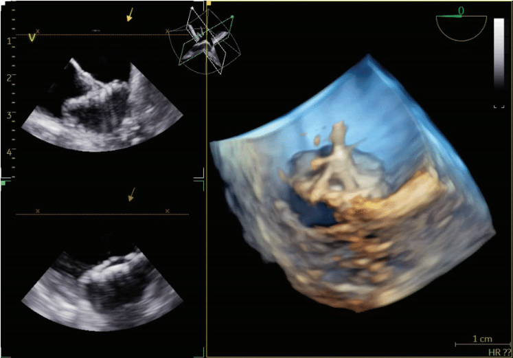
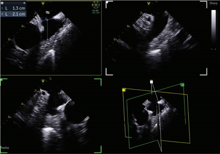
quickly adopted for most cases. The typical workflow for incorporating the 4D ICE catheter involves femoral venous access in the usual manner. To begin a case, the catheter is inserted into the right atrium (RA) and screened for pericardial effusion. Using the V-Plane feature, the LV pericardium can be visualized as well. The catheter is then deflected across the tricuspid valve and into the right ventricular outflow tract. V-Plane through the appendage, in addition to standard 2D imaging, can exclude LAA thrombus (Figure 1). The catheter is withdrawn back to the RA and imaging of the interatrial septum is obtained to help guide transseptal puncture in the usual manner. Once puncture is completed, the septum is flossed with the transseptal sheath. The sheath is then pulled back to the inferior vena cava (IVC). The ICE catheter is then withdrawn to the low RA with direct visualization of the wire as it crosses the septum. Under ultrasound and fluoroscopic guidance, the ICE catheter is pushed across the septum into the mid LA. The delivery sheath is then pushed across the puncture site into the LA. The ICE catheter can be positioned in different locations throughout the LA; however, placement along the mitral annulus frequently allows adequate visualization of the LAA (Figure 2). Multiplanar imaging of the LAA allows for device sizing and selection (Figure 3). Once a device size is selected, the implant is prepped and delivered using multiplanar and fluoroscopic imaging. During sheath manipulation and device delivery, the sonographer can make fine adjustments to the image to maintain adequate visualization so the operator can focus on device delivery. Once an implant is delivered, confirmation of position and occlusion can easily be performed by color flow Doppler and 2D/3D imaging (Figure 4). At the end of the procedure, a quick survey can exclude pericardial effusion.
A number of our patients have benefited from the 4D ICE-guided approach. This includes patients who are high risk for esophageal intubation, such
as Barrett’s esophagus, esophageal cancer, esophageal strictures, or history of varices. For example, a LAAO procedure was performed on a male patient with a history of liver cirrhosis. He had a prior history of esophageal varices and massive upper gastrointestinal bleeding requiring transfusions. He was seen in consultation, and after discussion with his gastroenterologist, he decided to proceed with the implant. Given his varices, it was preferable to avoid TEE intubation. He underwent LAAO with a Watchman FLX device by 4D ICE-guided approach with excellent results.
Patients undergoing TEE for LAAO are typically placed under general anesthesia for patient comfort. However, this may not be ideal for fragile patients, elderly patients, or patients at high risk for esophageal trauma/harm during intubation. General anesthesia may also be troublesome for patients with severe coexisting lung disease, congestive heart failure, Parkinson’s disease, and Alzheimer’s. Offering an alternate mode of anesthesia that does not require intubation is beneficial for the patient.
The benefits of 4D ICE-guided LAAO procedures go beyond the implant procedure. At the forefront is the independence that the operator regains. Improving coordination of care without needing to be reliant on additional personnel is a tremendous advantage. As a single operator, the procedure can be performed in a fashion that is typical for most other EP procedures that incorporate ICE technologies, such as AF ablation. It is also mutually beneficial for the EP and hospital system. Imaging cardiologists or cardiac anesthesiologists can be more adequately allocated to maximize their utilization. In addition, there is the added benefit of being able to reposition the catheter to different locations in the atrium to achieve the best image possible. This is often a limitation of TEE imaging. If imaging by TEE is poor, there is often very little that can be done to improve image quality. There has been more than one instance where imaging was not optimal, and by repositioning the ICE catheter to a different location, the LAA could be adequately visualized for implantation.
Critics of ICE-guided LAAO often cite cost as a disadvantage of implementing this approach. While the per procedure cost is higher when ICE is used, the use of imaging physicians can be reallocated to other tasks so their productivity is maximized.
In our clinical practice, we have found the patient experience is also better when compared to standard approaches. As most of our patients undergo conscious or MAC anesthesia, there is no post-procedural discomfort often associated with endotracheal intubation or TEE probe placement.
Another potentially important advantage is procedural time. There is data to support that procedural time is likely shorter with 4D ICE-guided LAAO.2 This is likely due to efficiencies that cannot be matched with traditional protocols that employ TEE. While fluoroscopy time is likely to be initially greater during the learning curve with an ICE-guided approach, with more experience, the 4D ICE catheter will allow for fluoroscopy sparing and possibly completely fluoroless procedures in the future.
Finally, there is growing interest in the EP community towards concomitant procedures. The hope is that electrophysiologists will soon be performing atrial fibrillation (AF) ablation and LAAO procedures in the same setting. This approach demands that electrophysiologists learn how to incorporate ICE into their workflow for LAAO procedures. It does not make clinical sense to use ICE for the AF ablation and TEE for LAAO. Therefore, implementing the 4D ICE catheter in concomitant procedures will be relatively straightforward for new adopters of the technology who are already well versed with 2D ICE catheters.
Disclosure: Dr Weisman has completed and returned the ICMJE Form for Disclosure of Potential Conflicts of Interest. He reports consulting fees from Biosense Webster.
References
1. Joglar JA, Chung MK, Armbruster AL, et al; Peer Review Committee Members. 2023 ACC/AHA/ACCP/HRS Guideline for the Diagnosis and Management of Atrial Fibrillation: A Report of the American College of Cardiology/American Heart Association Joint Committee on Clinical Practice Guidelines. Circulation. 2024;149(1):e1-e156. doi:10.1161/CIR.0000000000001193
2. Adams A, Mahmood R, Balaji N, et al. Real-world experience utilizing the Nuvision 4D intracardiac echocardiography catheter for left atrial appendage closure. Sci Rep. 2024;14(1):11937. doi:10.1038/s41598-024-60692-5
3. Chen YH, Wang LG, Zhou XD, et al. Outcome and safety of intracardiac echocardiography guided left atrial appendage closure within zero-fluoroscopy atrial fibrillation ablation procedures. J Cardiovasc Electrophysiol. 2022;33(4):667-676. doi:10.1111/jce.15370
4. Jhand A, Thandra A, Gwon Y, et al. Intracardiac echocardiography versus transesophageal echocardiography for left atrial appendage closure: an updated meta-analysis and systematic review. Am J Cardiovasc Dis. 2020;10(5):538-547.
5. Hemam ME, Kuroki K, Schurmann PA, et al. Left atrial appendage closure with the Watchman device using intracardiac vs transesophageal echocardiography: procedural and cost considerations. Heart Rhythm. 2019;16(3):334-342. doi:10.1016/j.hrthm.2018.12.013


