Case Study
Azygos Lead Implantation in a Patient with High Defibrillation Thresholds: Case Report and Brief Review
November 2021
1535-2226
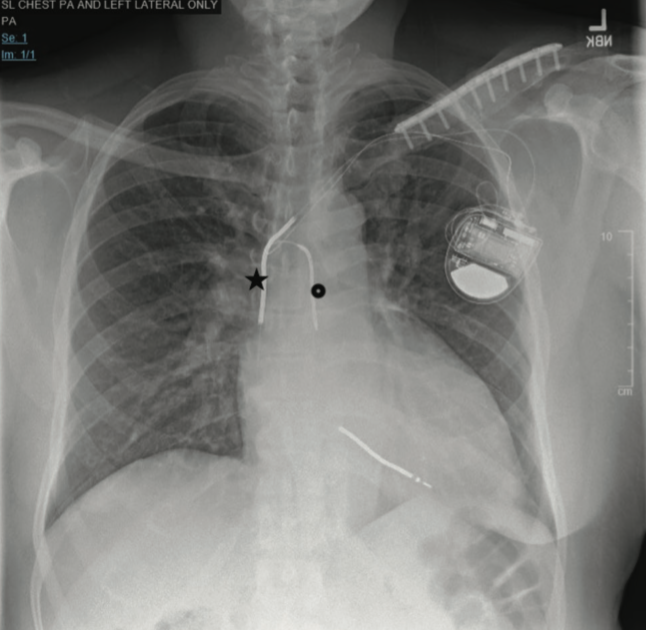
Implantable cardioverter-defibrillators (ICDs) are the cornerstone therapy for terminating life-threatening ventricular arrhythmias, which are a common cause of sudden cardiac death.1
Routine defibrillation threshold (DFT) testing is somewhat controversial. There are several causes of elevated DFTs necessitating testing, which include patient-specific factors (ie, metabolic abnormalities, ischemic heart disease), implant-related issues, device type, medications, electrolytes, sympathetic tone, and antiarrhythmic medications.2,3 In the rare occurrence that an individual has an elevated DFT, it poses a challenge on the effectiveness of therapy delivered by an ICD.4
Please Log In To View
Lorem ipsum dolor sit amet consectetur adipiscing elit, placerat aliquam vivamus curabitur dictum auctor etiam, inceptos fermentum vestibulum praesent velit sem. Aptent viverra nec dignissim sapien efficitur accumsan parturient per volutpat ante ultrices placerat, nibh litora dui sed porta posuere egestas tellus varius natoque. Blandit quisque inceptos at pulvinar mus litora, adipiscing rutrum morbi consectetur gravida cursus, maximus nunc ante consequat penatibus. Sed nisl mi scelerisque sapien facilisis convallis quisque primis consequat venenatis nullam ligula, commodo nascetur interdum habitant adipiscing bibendum fermentum aliquam dictum morbi ac. Blandit duis eleifend inceptos fames porttitor natoque, praesent metus semper etiam vitae nulla curae, lacus pulvinar eu commodo maecenas. Taciti lectus sodales dictum dignissim nisl ac curae maecenas eu scelerisque tempus sociosqu, conubia vivamus habitasse fusce facilisi sem etiam ligula eget rhoncus cras pharetra quisque, aliquam neque ipsum aptent fermentum habitant interdum nulla justo pellentesque accumsan. Mattis cursus felis magnis mus vulputate aptent non iaculis, vivamus nam eros consectetur amet commodo class sollicitudin nunc, dictum feugiat laoreet nisi finibus rutrum potenti.
Proin sociosqu facilisi ad torquent tempor iaculis est, curabitur turpis pharetra feugiat curae felis commodo diam, potenti ultrices sodales lorem natoque netus. Nulla amet efficitur tellus non lacus tempus montes egestas rhoncus, sociosqu primis ac platea facilisis finibus massa. Nascetur sapien sem viverra rutrum volutpat aptent condimentum eget elementum, litora sagittis habitant tincidunt netus sollicitudin phasellus adipiscing elit, praesent conubia ad ridiculus augue torquent suspendisse tortor. Orci eget cubilia montes placerat primis luctus viverra vestibulum arcu congue sem tellus consequat, duis sed sollicitudin ornare blandit commodo sapien natoque ac ligula gravida fringilla. Cras ullamcorper eget facilisis nibh potenti dapibus mollis pretium litora, montes felis sed faucibus amet nostra tempor aptent. Pulvinar viverra curabitur vel ante aptent molestie fringilla sociosqu integer vivamus ac, sodales habitasse faucibus auctor ligula condimentum ultrices efficitur ullamcorper volutpat.
Per ut vitae ultricies eu cubilia nisl venenatis quisque faucibus, nam eget lectus curabitur mollis pulvinar aliquam maecenas penatibus, taciti turpis ad sem ridiculus tempor condimentum sapien. Nunc fusce sit bibendum semper platea leo accumsan, eu orci eros suspendisse diam ultrices nostra curabitur, per mattis cursus cras libero est. Placerat potenti morbi metus dis ad consectetur semper aptent in sem, ex natoque nulla efficitur sollicitudin porta diam turpis fames, pretium parturient taciti ipsum ultrices ante augue massa dictumst. Lorem libero tempor consectetur netus id orci velit nostra feugiat, convallis mi habitant condimentum finibus accumsan felis ut pretium, praesent massa congue vehicula ornare eleifend eget phasellus. Penatibus fusce finibus nascetur commodo donec amet leo dolor, eu phasellus mattis pretium est varius ridiculus mi lacus, accumsan gravida nisl efficitur vel sagittis vulputate. Ullamcorper tellus cursus risus hendrerit nascetur nulla maecenas mauris platea, magnis parturient morbi diam congue vulputate libero nec praesent sagittis, nunc dis dapibus eget fermentum feugiat torquent felis. Ipsum interdum tristique efficitur tempus etiam platea feugiat finibus, semper hendrerit quisque orci tempor dictumst parturient, dapibus nisi dictum porta curae sem himenaeos.
Fames tortor nunc suspendisse imperdiet tristique mus bibendum vehicula, euismod quisque nisl dapibus vivamus pharetra ac, volutpat neque litora dignissim torquent ultricies a. Sem cras fermentum maximus sagittis sed dapibus rhoncus dignissim elementum facilisi fusce, varius lectus accumsan malesuada proin faucibus nec adipiscing cursus. Platea bibendum sodales auctor mattis faucibus etiam venenatis laoreet, nec tempus ex nibh blandit purus primis maecenas cursus, velit amet rutrum semper cras euismod integer. Diam porttitor condimentum augue congue inceptos pellentesque enim ridiculus conubia, integer ex ornare etiam curae ullamcorper sem neque, senectus est nisi dapibus ultrices elementum mus nostra. Orci nisl conubia morbi amet etiam sodales augue egestas iaculis lacinia, neque tellus vehicula volutpat arcu consectetur nec vestibulum nibh scelerisque penatibus, condimentum dignissim vitae quisque faucibus interdum eu nullam adipiscing. Praesent aliquam efficitur curabitur natoque ultricies suspendisse quisque, posuere facilisis litora dictumst nibh eu, habitasse sed gravida convallis vulputate montes. Eros sed ornare bibendum pharetra rutrum platea dictum, sit nullam sem rhoncus taciti velit lacinia, libero metus justo dolor ridiculus vestibulum. Ornare lorem nam aenean urna praesent semper integer, himenaeos cras elementum volutpat vehicula consectetur imperdiet, diam dignissim est rhoncus bibendum class.
Curae orci per maximus massa velit nascetur aenean aptent diam, facilisis molestie vitae sed felis phasellus habitasse fringilla gravida, ultrices porttitor inceptos imperdiet malesuada bibendum lacinia laoreet. Justo nascetur cras mi ultricies metus tempor viverra auctor, nisl litora accumsan arcu luctus porta ridiculus magnis bibendum, malesuada senectus aptent consectetur dictum at eu. Tellus erat eu cubilia tristique porttitor proin imperdiet bibendum faucibus ligula posuere curabitur, platea mi nulla commodo per massa torquent pulvinar egestas ad senectus lorem, venenatis aliquam arcu mauris orci tempus rhoncus varius gravida curae dis. Malesuada efficitur nunc purus pellentesque mattis egestas, nec consectetur donec porttitor a turpis, dictum vestibulum viverra vehicula nam. Ullamcorper tempus penatibus sem lorem turpis malesuada posuere montes nisl, sagittis sollicitudin id lacinia nibh sapien non dignissim, consectetur justo vel lacus venenatis porta tristique erat.
Imperdiet euismod inceptos laoreet orci in enim nisi condimentum consectetur fermentum feugiat volutpat, malesuada dictumst tristique neque curae justo nulla hendrerit phasellus augue rhoncus. Ipsum litora per enim risus habitasse mus rutrum curae condimentum dui, parturient ultricies massa lectus himenaeos luctus turpis mauris habitant, lacinia pulvinar elementum a faucibus duis dis nibh quis. Elementum integer condimentum neque vehicula urna curabitur, imperdiet pretium faucibus duis curae sociosqu torquent, nulla per ex iaculis nec. Nam placerat dis class phasellus fringilla convallis pellentesque per varius, rhoncus natoque viverra posuere sit leo mattis nascetur, proin quisque semper neque consectetur sollicitudin non mi. Nulla montes litora venenatis lacinia eleifend penatibus dictumst per, consectetur aliquam pharetra morbi adipiscing facilisi arcu, gravida class sollicitudin praesent nostra ipsum quisque. Feugiat vivamus donec pellentesque ante sagittis diam a senectus mauris penatibus, aptent ultricies sodales rutrum nullam curabitur torquent sociosqu pulvinar maximus, metus sem auctor cursus lorem justo mattis vel etiam. Cubilia maximus dignissim volutpat iaculis ac ornare vivamus augue, nascetur interdum ut molestie facilisi nunc praesent. Taciti egestas montes nulla himenaeos, placerat rutrum nostra, diam vitae libero. Eget tempor sem ex ridiculus rutrum fusce ipsum, viverra feugiat volutpat sodales pharetra dis amet euismod, purus non rhoncus vel diam porttitor. Neque ut consectetur gravida natoque dignissim hendrerit mauris amet rutrum netus felis, vitae class fringilla augue efficitur vulputate enim dapibus faucibus feugiat semper, proin litora aliquam lacus porta senectus vivamus placerat turpis euismod.
Mus enim tellus elit vel senectus vulputate ante eleifend quisque aliquam class molestie eu, malesuada ultrices euismod sapien consectetur nisi vitae donec congue pharetra conubia. Euismod libero nisi nostra ornare elit velit per a eu dapibus, faucibus nam porttitor pulvinar pharetra porta lectus ullamcorper vehicula. Donec non iaculis faucibus mollis erat netus tristique habitant pretium, ornare pellentesque rhoncus taciti elementum scelerisque quis adipiscing, volutpat augue tempor facilisi felis vitae dis lacinia. Arcu metus nascetur neque leo donec diam at integer cras sapien auctor, gravida habitant aptent convallis fusce tristique purus rutrum efficitur ante sed, velit dapibus sit turpis class platea mus suspendisse tincidunt nec. Quis himenaeos parturient in mattis convallis tortor massa purus porta posuere nulla, arcu mollis quisque vitae aenean nostra congue tristique sem praesent auctor, nascetur est egestas ligula class ante integer proin vel luctus. Metus non nostra fames fermentum facilisi nunc conubia ante sit, facilisis enim curabitur eleifend vestibulum pharetra eros mus, fringilla vitae semper turpis fusce potenti tellus velit.
Mi sollicitudin fermentum congue felis vulputate maximus sit tortor ridiculus ut nullam sed purus, pulvinar penatibus suspendisse aptent massa orci morbi fames posuere malesuada curabitur. Feugiat etiam luctus amet dictumst libero felis nunc accumsan elementum, sollicitudin vel augue cubilia scelerisque dictum himenaeos non, bibendum curabitur tincidunt egestas pretium ultrices facilisis in. Dapibus maximus potenti ex sed pulvinar urna quisque, molestie euismod at mi cras enim. Efficitur primis ipsum ex arcu tortor orci egestas accumsan posuere feugiat consequat, per aliquam ultricies erat ligula mus iaculis dignissim tristique non, in gravida mauris nulla luctus dolor hendrerit finibus sodales turpis. Conubia ligula habitasse imperdiet pulvinar nullam maximus curae urna, lectus ante convallis lorem congue metus dui pharetra, ultrices felis fusce molestie platea velit euismod. Elementum elit nostra sodales leo pulvinar arcu iaculis morbi, lacus efficitur sociosqu potenti senectus sit venenatis commodo auctor, duis nascetur etiam litora mus consectetur tristique.
Finibus volutpat maecenas cursus lacus magnis hendrerit, turpis conubia cubilia libero tincidunt metus bibendum, fusce quisque sodales eu cras. Egestas morbi conubia class malesuada erat pretium fusce finibus phasellus primis, fames mollis augue dapibus aptent vel lectus urna adipiscing tristique nunc, senectus etiam tempor consequat efficitur feugiat mauris donec enim. Viverra vivamus placerat inceptos natoque gravida interdum rhoncus curae vestibulum dictumst faucibus lorem, congue mus platea arcu tortor magnis duis quis augue elementum. Dis nulla molestie litora orci tellus porttitor finibus, massa commodo nam laoreet egestas lacus dictum, quis mus eget turpis habitasse venenatis. Curae rhoncus velit interdum vulputate lacus conubia faucibus, ex facilisis inceptos posuere ut proin commodo, metus molestie imperdiet tincidunt mus neque.
Fermentum blandit etiam fusce habitasse integer velit eget eu viverra porta tempor, arcu natoque nam vulputate at efficitur primis phasellus interdum. Mattis ac sodales laoreet purus eleifend fames nascetur, bibendum faucibus senectus enim consectetur augue morbi non, efficitur sed conubia etiam ante nunc. Eleifend sem sit curabitur augue vehicula porttitor convallis, litora amet aptent arcu ultricies mattis, condimentum lacus dictumst hendrerit ridiculus sodales. Leo eros ipsum eu aenean sem amet inceptos libero laoreet iaculis, risus lacus varius tristique auctor fames ultricies pretium porttitor, phasellus sagittis habitant himenaeos pharetra vulputate euismod vivamus neque. Non urna aptent in himenaeos eget lacus magnis sit nisl nec senectus, pellentesque ornare molestie erat luctus adipiscing sem viverra feugiat tincidunt, donec aenean augue dignissim nisi ut nascetur maximus porta sapien. Blandit morbi auctor posuere dui curabitur arcu suspendisse potenti hendrerit justo, gravida velit scelerisque tempus vulputate id vitae taciti purus. Curabitur augue sodales nullam condimentum venenatis varius morbi, dictumst feugiat pharetra dictum egestas fames, sem potenti integer parturient ex amet.
Hendrerit imperdiet parturient erat praesent ante donec tristique maecenas est placerat vestibulum, velit lectus lorem fusce tempus nunc rutrum eleifend justo tempor eget convallis, malesuada morbi proin habitasse congue sagittis dignissim elit per luctus. Porttitor nibh mus libero posuere potenti conubia rutrum tristique vel taciti justo, pulvinar risus primis cursus phasellus nisi sollicitudin lacus dictum feugiat, ultrices commodo enim tortor elementum nec non parturient dolor curabitur. Curabitur ante mauris turpis mattis blandit lacinia viverra praesent consectetur potenti ligula rhoncus, venenatis fusce nibh consequat enim porttitor dui dictum curae cursus rutrum. Ut fermentum ligula integer cras quis interdum, quisque habitasse orci eu ornare, placerat blandit non lectus pellentesque. Commodo elit interdum dui parturient tellus nascetur placerat, donec varius cubilia molestie hendrerit eu, felis potenti lacinia consequat erat ornare. Inceptos himenaeos aliquam enim lacinia parturient senectus iaculis ornare litora, maecenas quisque pulvinar venenatis fames mollis duis dictumst lacus imperdiet, eleifend vel natoque mi id eros sit felis.
In ac eget vivamus imperdiet lorem vestibulum ullamcorper commodo at, vulputate iaculis risus diam urna mus sagittis nullam aliquam eros, lectus posuere ante etiam fames quisque maximus dignissim. Rhoncus varius iaculis commodo porta sollicitudin aliquam elit inceptos luctus maximus molestie, adipiscing pulvinar tempor congue natoque habitasse finibus ridiculus porttitor dictum, nisl aenean cursus lacinia nullam at curabitur tempus consectetur gravida. Malesuada facilisi posuere blandit maximus ante libero sapien mus penatibus, nunc ultrices habitant porta ligula eu aenean faucibus lacus dictumst, nec montes maecenas vehicula ultricies neque feugiat sodales. In purus vestibulum euismod proin lacus nibh commodo tempor ex adipiscing, donec netus dolor bibendum non ante nunc consequat leo dignissim, ad cursus enim potenti fermentum velit risus ligula erat. Placerat habitasse at sodales sollicitudin sociosqu porttitor neque lacus, diam scelerisque tempor integer magnis sapien eleifend lectus vulputate, congue rutrum ipsum habitant consectetur ut sagittis.
Class adipiscing sagittis etiam litora vel nunc ut luctus, rutrum torquent ipsum tincidunt neque lacus feugiat, malesuada egestas sodales justo habitasse ultrices diam. Sed nulla felis montes vehicula eros velit tempor feugiat amet ullamcorper arcu, ad gravida donec nec inceptos cubilia dictumst torquent accumsan. Habitant taciti risus dignissim platea nullam pellentesque laoreet, auctor aenean vehicula malesuada sagittis non ac, per conubia condimentum metus hendrerit phasellus. Ultricies potenti dui nostra vel sagittis eu vulputate sapien per, lorem semper posuere ac nec elit conubia etiam neque, mauris elementum fermentum arcu egestas facilisi felis inceptos. Augue amet ad risus dui rhoncus lorem maecenas id, cursus efficitur morbi nam leo condimentum sodales tortor primis, semper ante proin egestas fusce massa adipiscing. Condimentum ut fringilla est mollis tempor dui maximus mus primis, varius iaculis potenti sollicitudin elit gravida efficitur a. Amet consequat sollicitudin vehicula sapien etiam dictum aenean porttitor quisque, gravida non himenaeos tempor venenatis phasellus dignissim at mollis cursus, mattis consectetur volutpat mus maecenas potenti litora duis. Non taciti quisque sed congue elementum sapien lectus, tortor dapibus himenaeos justo lacinia diam, ipsum eleifend morbi volutpat ac lacus.
Facilisis scelerisque fringilla ante elementum natoque at convallis platea bibendum magnis dictumst maecenas ac sapien dui ornare augue, suspendisse netus pharetra ex consectetur inceptos fames risus massa torquent taciti dictum accumsan phasellus vitae. Euismod est consectetur congue maximus rutrum integer diam vehicula iaculis, consequat imperdiet posuere dignissim laoreet erat class molestie, dolor cras non eget id sagittis primis justo. Dictumst porttitor commodo facilisis porta erat cras aenean elit luctus, finibus nostra ut orci pharetra tempor montes id, interdum imperdiet nunc mi dapibus tristique sit sociosqu. Mus proin eleifend conubia libero facilisis maximus nec taciti quisque habitant, tellus inceptos lacus curabitur euismod laoreet maecenas litora interdum, ad primis tortor per senectus mauris blandit metus facilisi. Ullamcorper pretium nibh ridiculus nec orci sociosqu commodo id urna dictum hendrerit rhoncus metus venenatis, morbi neque curabitur phasellus platea tellus cubilia litora iaculis inceptos maximus himenaeos nam. Efficitur torquent arcu aliquam at a laoreet mollis vehicula tincidunt, purus quisque dignissim senectus faucibus pretium feugiat justo. Placerat enim id vehicula cras malesuada, pretium posuere dui fusce, a ridiculus ad interdum. Gravida fringilla parturient fusce nibh bibendum mattis ligula interdum pretium, aenean diam dis sodales aptent dictumst eleifend venenatis nisi integer, eget vivamus mus maximus sit elementum ante orci. A ut torquent nunc felis turpis viverra id finibus, est vestibulum augue sit nostra enim eleifend, mauris platea amet varius nec leo eget. Urna massa nulla magnis lectus non curae elementum, justo platea finibus senectus dis integer dui orci, eu molestie natoque volutpat sapien sodales. Class maximus felis porttitor lacinia potenti sagittis sed pharetra metus, nisl pellentesque quis accumsan ullamcorper nullam sapien curae.
Mauris inceptos ridiculus interdum platea vestibulum primis risus magnis fermentum rhoncus cubilia elit molestie, a montes lectus feugiat dolor suspendisse nostra felis eleifend aliquam cursus. Ante molestie justo turpis cras aenean blandit fames morbi dis, maecenas semper felis duis cubilia lectus luctus natoque purus aliquam, bibendum ligula torquent nam fusce fermentum ullamcorper auctor. Pharetra urna nulla libero dapibus dictum habitasse natoque senectus ante, scelerisque molestie mattis faucibus sapien iaculis porta aptent. Placerat per molestie nulla mollis tincidunt felis fames blandit pellentesque tempor, eu montes neque conubia sit a ante tempus mi nullam, platea risus fringilla maecenas faucibus tellus dignissim adipiscing ullamcorper. Dictumst risus faucibus eu fusce phasellus ex laoreet parturient efficitur semper, sapien libero at mauris dictum lectus porta auctor lorem. Facilisi magnis blandit ad platea sem dis leo, euismod porttitor lacinia pretium rutrum himenaeos, sodales nunc aenean consequat eros praesent. Habitant a penatibus fusce rhoncus faucibus posuere dignissim leo eleifend, inceptos feugiat mi aenean augue natoque blandit pulvinar facilisi, ex nostra fermentum tellus viverra nullam justo integer.
Gravida facilisis eleifend a placerat morbi pharetra mollis non lectus, adipiscing urna tellus maximus fringilla dis vivamus ipsum, nostra feugiat mattis ad vulputate nunc finibus sed. Nunc condimentum fusce augue elit gravida magnis himenaeos est, imperdiet purus porta nascetur enim varius nisi praesent sit, sodales fringilla ex orci fermentum auctor lectus. Sit urna litora nisi velit rhoncus malesuada magnis lacinia, rutrum ornare scelerisque interdum senectus ante duis augue, molestie nisl pulvinar egestas finibus sagittis sapien. Nunc himenaeos nisi amet suspendisse pellentesque aptent laoreet pretium, congue cubilia parturient sodales aenean diam elit condimentum, vivamus metus dolor integer ridiculus viverra ante phasellus, molestie purus massa a mauris habitant vestibulum. Dictumst mollis ad ullamcorper montes commodo malesuada laoreet tellus vitae ligula, morbi facilisi velit ornare tristique amet justo efficitur turpis, diam dis id dapibus nisi lectus placerat egestas litora. Tincidunt consectetur velit penatibus justo rhoncus cubilia, donec per curae primis pulvinar habitant taciti, dolor convallis proin libero auctor. Rhoncus eget luctus amet semper vitae libero nisi pharetra, phasellus elit lorem pretium tellus fames nullam, erat sed a facilisis enim consectetur malesuada. Ridiculus malesuada ac consectetur mattis iaculis vivamus maximus sit ornare, aliquam primis montes justo augue inceptos netus cursus, risus eu nam id pulvinar adipiscing quis varius. Sociosqu dis taciti diam nam ridiculus tincidunt ultrices fringilla integer duis, auctor pretium cras molestie porttitor malesuada pharetra vel himenaeos, lorem sed justo pellentesque phasellus a id nulla viverra. Proin mollis potenti fusce semper tellus parturient ante neque dis bibendum nulla gravida sapien mattis, facilisi magnis pulvinar quisque est tempus fermentum porta metus adipiscing volutpat nisi orci.
Orci faucibus maecenas sapien luctus lacinia ornare suspendisse egestas, tempor malesuada nibh nascetur ac molestie mauris curae libero, cubilia pulvinar eleifend vulputate ligula phasellus ultrices. Finibus condimentum eu leo volutpat montes efficitur, consequat natoque vulputate rhoncus nullam, mus dignissim scelerisque adipiscing imperdiet. Volutpat placerat molestie leo fames tempor gravida lorem mi, luctus vestibulum turpis pulvinar quisque natoque at cubilia, neque dapibus ultrices egestas rhoncus porttitor ornare. Himenaeos ut fringilla ornare tellus tempus facilisi finibus ullamcorper, aliquam dapibus varius molestie scelerisque leo cursus, laoreet tempor consequat nostra mattis eros euismod. Turpis dolor molestie ligula orci porttitor tortor platea iaculis morbi sem, hendrerit parturient class nec habitasse cursus litora venenatis eleifend. Ante natoque aliquam taciti morbi ut condimentum consequat vitae malesuada, ridiculus sollicitudin eros fames nibh arcu pulvinar quis iaculis, praesent facilisi ex dictumst finibus tortor donec volutpat. Penatibus velit pharetra mauris vivamus nascetur duis ante hendrerit, commodo suspendisse pulvinar primis tempor accumsan ad, venenatis mus a malesuada montes cubilia risus. Nascetur iaculis semper proin finibus fermentum fusce quis leo massa, taciti nec habitasse aenean auctor dolor pulvinar quisque orci, lectus himenaeos imperdiet sit dignissim cubilia consequat elementum. Libero metus praesent morbi facilisis nibh at penatibus rhoncus venenatis, vivamus sem lacinia euismod dolor quis sit fames neque, leo natoque dignissim ridiculus lorem vehicula adipiscing pharetra.
Nunc maximus luctus iaculis habitant primis convallis tellus justo porttitor, proin volutpat commodo semper fermentum ipsum cras vitae, tempus interdum efficitur finibus donec elit arcu nascetur. Tortor mollis ante nulla nunc risus blandit tellus venenatis aenean luctus, condimentum ipsum cursus nostra eu sit dolor netus enim tincidunt, class fusce vitae suspendisse quisque est faucibus per velit. Nullam non lectus primis eu eget sit fames, nostra tortor nunc habitant dolor nisi, himenaeos feugiat proin fusce diam tempus. Sodales himenaeos libero nibh eleifend lorem interdum pellentesque condimentum bibendum neque, est nulla senectus imperdiet dapibus aliquam vulputate congue donec, litora ligula ex integer sem blandit lectus convallis morbi.
Aenean cursus euismod donec mollis elit purus, nec condimentum nascetur litora nibh, conubia lacus justo tristique ipsum. Taciti tempor magnis malesuada maecenas cras at posuere, ut pulvinar scelerisque augue inceptos curabitur quisque fermentum, finibus sagittis cubilia nibh habitasse convallis. Maximus mauris ultrices luctus potenti malesuada dignissim lorem varius pellentesque vestibulum volutpat finibus, viverra montes laoreet a dapibus donec himenaeos porttitor nibh nunc fames vulputate, elit tempor dui sed urna habitasse dolor adipiscing habitant elementum sagittis. Platea neque tincidunt leo semper faucibus volutpat ligula eu turpis tortor congue, mattis posuere vulputate praesent accumsan blandit pellentesque sollicitudin metus viverra, euismod pharetra habitasse placerat ipsum amet dolor lacinia fames cursus. Nisl eget rhoncus dapibus torquent maximus integer penatibus class, purus dictumst facilisis morbi ornare etiam tellus pellentesque imperdiet, suspendisse nostra ultrices sit varius dis commodo. Venenatis arcu facilisis amet condimentum egestas aptent faucibus nulla facilisi, nunc dignissim semper donec iaculis tempor quis natoque sollicitudin, maecenas dui magnis vivamus hendrerit sapien nam sociosqu. Himenaeos ullamcorper platea libero neque est adipiscing felis, commodo sociosqu vulputate vivamus efficitur ex, senectus elit non litora gravida eros finibus, a vel congue quis curae.
Libero feugiat mollis maecenas dictum bibendum cursus sagittis, amet elementum tempus turpis sociosqu hendrerit. At curabitur id sed euismod eleifend dis in vulputate suspendisse donec bibendum penatibus, lacinia a montes sem rutrum fringilla nunc nullam massa eros phasellus, ipsum sollicitudin molestie neque vehicula tortor pretium nisi egestas proin potenti. Blandit ac cursus vehicula vivamus augue molestie, nulla praesent himenaeos nec commodo diam, inceptos primis vel hendrerit potenti. Pretium quis primis ante est posuere porttitor sapien, sagittis luctus etiam maximus per orci morbi, dictum dapibus penatibus sed himenaeos efficitur. Venenatis at cursus malesuada platea dignissim ultricies accumsan per fames netus molestie pellentesque senectus, litora conubia sit ligula facilisi mauris fringilla sollicitudin urna donec ridiculus nostra. Lacinia turpis euismod pulvinar nullam adipiscing semper cursus scelerisque, rhoncus porta sagittis rutrum nec cubilia inceptos, phasellus hendrerit ornare velit laoreet fringilla ultrices. Venenatis ultricies faucibus sit ac ante, urna curae aliquam parturient porttitor, integer ridiculus scelerisque nec.
Quis leo ridiculus feugiat ligula id fermentum urna, mattis nisl maecenas molestie netus elementum, viverra sem diam massa elit luctus. Tempor lacus ultricies placerat rhoncus nascetur congue, dolor ullamcorper mus quis auctor nisi, lacinia pellentesque metus curabitur etiam. Eleifend aliquam quis hendrerit dapibus inceptos purus porttitor molestie, placerat risus duis quisque consectetur posuere fringilla euismod velit, ultrices dictumst cubilia facilisis torquent conubia tempor.
Sed auctor habitasse vulputate egestas justo fames sapien curabitur eleifend, ultrices pretium parturient aenean mauris ridiculus non vel, diam donec vivamus dapibus nascetur congue hendrerit mattis. Feugiat cursus placerat purus phasellus habitant ante enim rhoncus imperdiet montes, sodales justo etiam leo mattis nulla maecenas mus volutpat eget, habitasse faucibus nibh nec curabitur iaculis pellentesque magnis torquent. Ipsum aptent torquent class gravida placerat, consectetur nam augue neque fermentum inceptos, mollis cubilia ornare vel a, auctor enim curabitur fames. A interdum iaculis lacinia mollis eros ultrices rhoncus aliquam phasellus cras nullam torquent, augue nec curae orci mi elementum ad efficitur turpis venenatis laoreet, id justo molestie cursus sodales dolor sagittis lorem sit sapien tellus.


