Vascularized Sural Nerve Graft, Fascial Free Flap, and Regenerative Peripheral Nerve Interface in the Setting of Recurrent Thigh Liposarcoma: A Case Report
© 2023 HMP Global. All Rights Reserved.
Any views and opinions expressed are those of the author(s) and/or participants and do not necessarily reflect the views, policy, or position of ePlasty or HMP Global, their employees, and affiliates.
Abstract
Background. There is no clear consensus in the literature regarding clinical indications for vascularized nerve grafts. Most studies indicate that vascularized nerve grafting, rather than non-vascularized nerve grafting, is indicated for nerve gaps of greater than 7 cm. Vascularized nerve grafts are superior to non-vascularized nerve grafts because they possess an independent blood supply. However, not all nerve injuries can be repaired via vascularized nerve grafts.
Methods. A 32-year-old female received a fascial free flap and vascularized sural nerve graft after having multiple reresections of a recurrent thigh liposarcoma.
Results. A 25-cm segment of the sural nerve was isolated alongside the lesser saphenous vein and intervening fascia. The free fascial flap was subsequently reversed and placed into the thigh. Vascular anastomoses were created, and the sural nerve was anastomosed to the peroneal nerve. A small portion of muscle from the thigh was wrapped around tibial nerve fascicles of the sciatic nerve to create a regenerative nerve interface.
Conclusions. Benefits of vascularized sural nerve graft compared with other vascularized nerve grafts include negligible sensory loss at the donor site and a nerve graft that can be designed on itself due to its vast length. Additionally, vascularized sural nerve grafts provided a better rate of axonal regeneration, rate of electromyographic return, and motor and sensory outcome compared with non-vascularized sural nerve grafts.
Introduction
Despite the widespread use of autologous nerve grafts, minimal literature exists documenting the synergy of nerve graft size and tissue vascular status. While there are several theoretical advantages—for example, increased axonal regeneration and improved electromyographic return—these outcomes have not been well studied in relation to the size of the graft.1 This case report highlights the correlation between nerve graft vascularization status and better outcomes in nerve grafts.
Autologous nerve grafts are frequently utilized to treat peripheral neuropathy related to nerve gaps caused by compression. If a peripheral nerve is adjacent to a tumor, especially one that may require multiple resections, an iatrogenic compression injury may result. In addition, full removal of the tumor may not be possible without cutting into the nerve. A sufficiently large gap resulting from either may warrant a nerve graft. If a physician chooses to proceed with grafting, they must consider several factors: the nerve to harvest, the size of the nerve, and the vascularity of the transected tissue.
Literature used to guide the selection of nerves for autologous graft harvesting is plentiful. Due to relative ease of access and anatomical structure, sural nerve harvesting is considered the gold standard for autologous nerve grafts. Sural nerve grafting has historically had positive outcomes, and new techniques in endoscopic recovery of tissue have made sural nerve grafting even more popular.2 When examining size, a physician must examine the mechanical effects of tension both on the nerve the tissue is transplanted from and recipient nerve endings. Too much tension in either could hamper axonal regeneration. The exact mechanism is unclear, but research suggests that increasing tension leads to a decrease in vascularization, leading to lower-quality outcomes.3 The interplay between these factors is of special clinical importance, increasing the quality of recovery in patients that require multiple re-resections.
Case Report
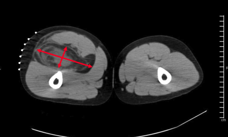
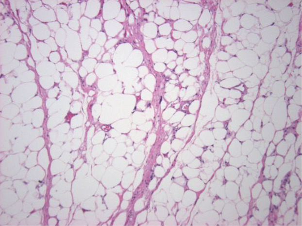
A 28-year-old female with unremarkable medical history reported to the emergency department complaining of a 2-month history of a “swollen leg.” Upon imaging, a hypoechoic, heterogenous mass extending from the ischium to the knee joint was identified and later diagnosed as atypical liposarcoma (ATL) encompassing the sciatic nerve. As no neurological problems were observed at the time of initial diagnosis, surgery was undertaken immediately to remove as much as possible without damaging the sciatic nerve. The 28.3 x 23.0 x 5.4-cm red-pink mass removed appeared to invade skeletal muscle extending into the membrane. The tumor was found to be predominantly composed of adipose tissue with bands of fibrous connective tissue. At higher magnification, atypical hyperchromatic nuclei were identified, some of which had cytoplasmic vacuoles indenting the nucleus (Figure 1). The diagnosis of atypical lipomatous tumor (well-differentiated liposarcoma) was further confirmed by positive immunostains for mouse double minute 2 homolog (MDM2) and cyclin dependent kinase (CDK4). As seen in this case, the most common site of ATL is the thigh of the lower extremity. While locally aggressive with frequent recurrences, these tumors do not metastasize unless they become dedifferentiated.
Within 2 months, the patient was able to fully ambulate. The patient was subsequently followed for 4 years without any complications until the mass was observed to grow, measuring as large as 14 x 3.8 x 2.5 cm (Figure 2).
Upon a subsequent re-resection 4 years after the initial surgery, the sciatic nerve was observed to run through the mass with the tumor aggressively involved with the axons. Due to the nerve’s intimate involvement with the mass, surgery was stopped after only partial excision of the liposarcoma to consult with both the patient and pathologist. Histological analysis showed a dedifferentiated liposarcoma arising from her previous atypical lipomatous tumor. Dedifferentiation occurs in 10% of ATL characterized by features of a high-grade sarcoma with markedly enlarged nuclei with prominent nucleoli and moderate eosinophilic cytoplasm. Unlike the ATL, dedifferentiated liposarcoma can metastasize with associated increased mortality (Figure 3).
After extensive discussions with both the patient and her multidisciplinary team, a treatment plan of several courses of neoadjuvant chemotherapy was settled upon prior to surgery. To achieve a negative margin, the sciatic nerve had to be resected. Because of the intimacy of the sciatic nerve and the likelihood the tumor would reoccur without full removal, a plan was proposed to achieve a negative margin. First, the mass was solidified in the tumor bed via several courses of neoadjuvant chemotherapy over the subsequent months. A full re-resection of the sarcoma was undergone with proximal and distal ends of the sciatic nerve exposed. Given the presence of a nerve gap and fascial deficits from the resection, it was proposed to utilize a vascularized sural nerve graft for reconstruction. The peroneal nerve and sciatic nerve were identified after muscle contraction was observed via Checkpoint stimulation, and a free fascial flap was harvested from the left calf containing the sural nerve, a cutaneous branch of the peroneal artery, and the lesser saphenous vein. The free flap was reversed into the thigh. An arterial-venous anastomosis was created proximally at the gluteal crease by anastomosing the previous distal end of the saphenous vein and an arterial-arterial anastomosis was created distally with the popliteal artery. Vascularization of the graft was confirmed by the presence of venous outflow and Doppler sounds. A venous-venous anastomosis was created at the now-distal proximal end of the saphenous vein and a deep vein within the thigh to establish a full blood supply. The sural nerve was anastomosed to the peroneal nerve proximally and distally. Remaining sciatic fascicles and the tibial nerve were coapted with a regenerative peripheral nerve interface. A 1 x 2-cm portion of free muscle from the posterior thigh was wrapped around the remaining tibial nerve fascicles of the sciatic nerve to complete the nerve pedicle transfer. At her initial follow-up visit 1 week after the operation, there was no evidence of flap failure. She initially experienced anesthesia along the posterior surface of her thigh and posterior-lateral leg and was unable to ambulate due to weakness of her thigh and lower extremity musculature. However, by her next follow-up visit 2 months later, she showed the ability to walk with 4/5 strength in dorsiflexion and 2/5 strength in plantarflexion, returning sensation to pinprick and pressure along the posterior thigh and lateral leg. There was no evidence of further tumor growth. The patient underwent a subsequent ankle fusion and was recommended for continued follow-ups every 3 months.
Discussion
While autologous nerve grafts have gained popularity in recent years for repairing segmental loss of nerves greater than 1 cm, there is no clear demarcation for when vascularized nerve grafts should be applied.4 Benefits of vascularized nerve transfer may include faster recovery time, minimal sensory loss, and greater motor control. These advantages have a foundation in well-established histological science: for instance, a faster rate of axonal regeneration due to increased blood flow in the distal elements of the nerve.5 However, literature is scant when relating cellular processes to gross anatomy, and current evidence for indications for when to apply vascularization in nerve grafts is lacking.6
One of the largest studies comparing vascularized nerve grafts with conventional sural nerve grafts suggests selection should be considered based on 3 criteria: nature of the overlying skin defect, closure of the wound, and location of the nerve injury. A limitation is that this previous study examined only “massive skin defects” or nerve grafts after vessel reimplantation. In this paper’s case, neither of these criteria were met: no overlying skin defect was present, and the graft was performed simultaneously with reimplantation.1
More recent case reports have examined other factors that may be useful when examining indications for vascularizing grafts. A relatively recent case report on ulnar nerve transplantation found that a potential indicator for success may be the minimal weight-bearing nature of the surrounding musculoskeletal structures.7 However, our case demonstrates weight-bearing status of the surrounding musculoskeletal tissue may not impact success in vascularized nerve grafts. Some literature examining the vascularization status states that while vascularized grafts may in general be preferable to non-vascularized grafts, some situations may arise where non-vascularized grafts may result in better blood flow.8
Strengths of this report include long-term tracking of the patient and compliance. However, due to the healthy nature of the tissue transplanted and young age of the patient, these results may not be generalizable to a larger population.9,10 Moreover, treatment involved interdisciplinary collaboration between orthopedic surgeons, reconstructive surgeons, and pathologists across 2 institutions over the course of 5 years, and therefore this treatment may not be achievable for similar patients.
While vascularization status may play an important role in large autologous nerve grafts, more studies are required to fully evaluate clinical indications for vascularizing grafts. Due to the large amount interdisciplinary resources and long amount of time required for successful outcomes in larger nerve grafts, clinicians must exercise caution when selecting potential candidates and must first evaluate based on likelihood of patient compliance. If the prerequisites of patient treatment goals and compliance are satisfied, there may be some potential benefit in vascularization status of the nerve graft.
Acknowledgments
Affiiliations: 1West Virginia University Department of Surgery, Division of Plastic Surgery, Morgantown, West Virginia; 2 West Virginia University School of Medicine, Morgantown, West Virginia; 3 West Virginia University Department of Pathology, Anatomy, & Laboratory Medicine, Morgantown, West Virginia
Correspondence: Zachary A Koenig; zakoenig@hsc.wvu.edu
Disclosures: The authors disclose no financial or other conflicts of interest.
References
1. Doi K, Tamaru K, Sakai K, Kuwata N, Kurafuji Y, Kawai S. A comparison of vascularized and conventional sural nerve grafts. J Hand Surg Am. 1992;17(4):670-676. doi:10.1016/0363-5023(92)90315-g
2. Spinks TJ, Adelson PD. Pediatric sural nerve harvest: a fully endoscopic technique. Neurosurgery. 2009;64(5 Suppl 2):360-364. doi:10.1227/01.NEU.0000343740.76951.33
3. McDonald DS, Bell MS. Peripheral nerve gap repair facilitated by a dynamic tension device. Can J Plast Surg. 2010;18(1):e17-e19.
4. Ray WZ, Mackinnon SE. Management of nerve gaps: autografts, allografts, nerve transfers, and end-to-side neurorrhaphy. Exp Neurol. 2010;223(1):77-85. doi:10.1016/j.expneurol.2009.03.031
5. Weber RA, Breidenbach WC, Brown RE, Jabaley ME, Mass DP. A randomized prospective study of polyglycolic acid conduits for digital nerve reconstruction in humans. Plast Reconstr Surg. 2000;106(5):1036-1048. doi:10.1097/00006534-200010000-00013
6. Piedra Buena IT, Fichman M. Sural Nerve Graft. In: StatPearls. Treasure Island (FL): StatPearls Publishing; March 27, 2023. Accessed January 31, 2022. http://www.ncbi.nlm.nih.gov/books/NBK557715/
7. Muramatsu K, Moriya A, Miyoshi T, Tominaga Y, Seto S, Taguchi T. Vascularized sural nerve graft and extracorporeally irradiated osteochondral autograft for oncological reconstruction of wrist sarcoma: case report and review of literature. Ann Plast Surg. 2013;71(5):544-546. doi:10.1097/SAP.0b013e31827aec5d
8. D’Arpa S, Claes KEY, Stillaert F, Colebunders B, Monstrey S, Blondeel P. Vascularized nerve "grafts": just a graft or a worthwhile procedure?. Plastic and Aesthetic Res. 2015; 2: 183-94. http://dx.doi.org/10.4103/2347-9264.160882
9. He B, Zhu Z, Zhu Q, et al. Factors predicting sensory and motor recovery after the repair of upper limb peripheral nerve injuries. Neural Regen Res. 2014;9(6):661-672. doi:10.4103/1673-5374.130094
10. Terzis JK, Kostopoulos VK. Vascularized nerve grafts and vascularized fascia for upper extremity nerve reconstruction. Hand (N Y). 2010;5(1):19-30. doi:10.1007/s11552-009-9189-4


