Single-Stage Metacarpal Lengthening for Traumatic Metacarpal Malunion: A Case Report and Surgical Technique
© 2024 HMP Global. All Rights Reserved.
Any views and opinions expressed are those of the author(s) and/or participants and do not necessarily reflect the views, policy, or position of ePlasty or HMP Global, their employees, and affiliates.
Abstract
A novel technique that requires a single-stage operation utilizing an intramedullary device is presented for metacarpal lengthening in setting of traumatic malunions. The patient desired surgical correction due to malrotation with full fist formation and a 25-degree extensor lag. Following single-stage lengthening with osteotomy, bone graft, and intramedullary screw, length was restored and the patient had full passive range of motion. The patient's graft site incorporated well with robust callus formation with mild resorption and collapse. Clinically, he maintained appropriate rotation and had a 5-degree extensor lag with the ability to make a composite fist. The patient was satisfied with his result and returned to normal activities.
Introduction
Distraction osteogenesis has previously been described for both metacarpal and phalangeal lengthening following traumatic injuries.1 Distraction osteogenesis requires a prolonged course of treatment and staged operations. We present a novel technique that requires a single-stage operation utilizing an intramedullary device. While a single-stage metacarpal lengthening has been described in congenital reconstruction, it has not been discussed for post-traumatic malunions.2 Additionally, the utilization of an intramedullary device for metacarpal lengthening has not been described.
Case Presentation
A 39-year-old male presented with a right index finger metacarpal neck malunion with a 30-degree extensor lag and an ulnar malrotation of the digit (Figures 1 and 2) after a fracture 8 months prior. The patient underwent right index finger metacarpal lengthening using iliac crest tricortical bone autograft, right index finger metacarpal joint dorsal and volar capsulectomy, as well as extensor tenolysis and A1 pulley release. A single-stage metacarpal lengthening was achieved with intercalary structural iliac bone graft and intramedullary screw. At 2-week follow-up, the patient had achieved length restoration that resolved extensor lag, reestablished cascade, and had appropriate rotation. At 3-month follow-up, the patient had achieved osseous union and maintained normal cascade of his hand with the ability to make a composite fist. In this article, we present this novel technique for single-stage metacarpal lengthening.

Figure 1. Preoperative posterior-anterior X-ray image of right hand with index finger metacarpal malunion.

Figure 2. Preoperative oblique X-ray image of right hand with index finger metacarpal malunion.
The patient was placed supine with the operative extremity on a hand table. General anesthesia was induced by anesthesia provider. Standard upper extremity tourniquet was applied and surgical preparation utilized for sterile technique. An incision was made on the dorsal hand overlying the index metacarpal. A capsulectomy was then made via a transverse fashion into the metacarpophalangeal joint. An extensor tenolysis was performed of the extensor indicis propius and the extensor digitorum communis to the index finger to aid in range of motion. At that point a volar Bruner incision was made over the palm at the level of the metacarpophalangeal joint. The A1 pulley was released and a transverse capsulectomy was performed. The site for osteotomy was marked at the metacarpal neck-shaft region through the dorsal site and performed with a sagittal saw and an osteotome. Traction was used to distract the metacarpal to the appropriate length in order to reestablish appropriate cascade. The authors prefer to use a Gelpey retractor (Figure 3) to aid in length restoration and assess cascade.

Figure 3. Intraoperative X-ray image of Gelpy retractor holding retraction after index metacarpal osteotomy.
The distal metacarpal was then translated radially and rotated to anatomic alignment. A Kirschner wire was placed volarly through the index metacarpal head into the long finger metacarpal to maintain length, alignment, and rotation. The defect was measured to determine the appropriate-size graft. A tricortical iliac crest graft was harvested from the ipsilateral side in a standard technique. The graft was contoured to the defect size of 1.5 cm. A guidewire was placed through the dorsal third of the metacarpal head in retrograde fashion. A guidewire was then inserted through the graft and the graft was predrilled with an appropriately sized drill for the screw (Figure 4). We recommend having an assistant hold the graft with a pointed reduction tool while drilling through the graft.

Figure 4. Intraoperative photograph of cortical bone graft predrilled with Kirschner wire in place.
The graft was placed in the void over the guidewire and tamped into place to allow compression through the cortical interface. The metacarpal was then drilled in a cannulated fashion over the guidewire and a 4.5 × 50-mm headless noncompression screw was inserted while holding appropriate length, alignment, and rotation, and with graft in place (Figure 5). We recommend applying pressure over the graft as the screw is inserted to allow threads to engage without displacement. Final fluoroscopic imaging was obtained (Figures 6 and 7). At the conclusion of the case, length was restored and the patient had full passive range of motion. Standard closure was performed and the patient was placed into a volar blocking splint. The patient was instructed on hand elevation and allowed to work on active range of motion of the fingers.

Figure 5. Intraoperative posterior-anterior X-ray image of bone graft in place for metacarpal lengthening and compression screw being tightened.

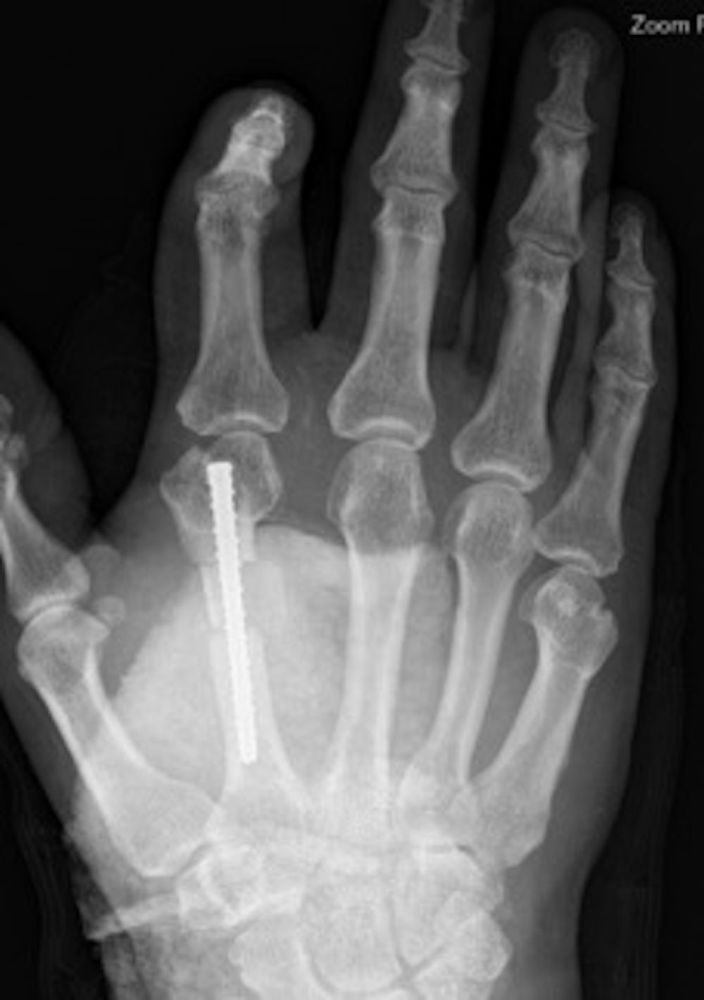
Figure 6. Immediate postoperative posterior-anterior X-ray of cortical graft and compression screw in place.

Figure 7. Immediate postoperative lateral X-ray of cortical graft and compression screw in place.
The patient was seen 2 weeks postoperatively and sutures and splint were removed. He was enrolled in occupational therapy to work on active and passive range of motion. He was seen again at 6 weeks and 3 months postoperatively. The graft site incorporated well with robust callus formation with mild resorption and collapse (Figures 8 and 9). At the time of surgery, a 50-mm screw was chosen based on intraoperative measurements. In hindsight, a longer screw could have been utilized. Clinically he maintained appropriate rotation and had a 5-degree extensor lag with the ability to make a composite fist (Figures 10 and 11). The patient was satisfied with his result and returned to normal activities with no restrictions at 3 months and was advised to return to clinic as needed.

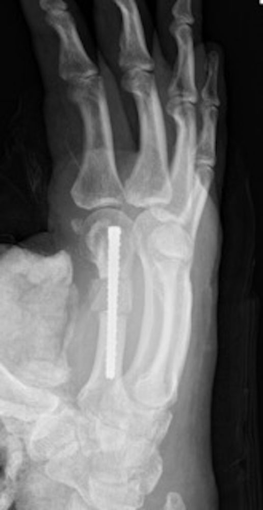
Figure 8. Six-week postoperative posterior-anterior X-ray of healing index finger metacarpal osteotomy, cortical bone graft, and compression screw.

Figure 9. Six-week postoperative lateral X-ray of healing index finger metacarpal osteotomy, cortical bone graft, and compression screw.

Figure 10. Postoperative clinical photograph of patient will full extension with adequate lengthening and without extensor lag.

Figure 11. Postoperative clinical photograph of patient with full composite fist without malrotation.
Discussion
Complications can occur with metacarpal fractures that are treated surgically or conservatively. When fractures are treated conservatively, malunion and stiffness are more likely to occur. Surgical treatment can lead to issues with hardware, infection, and tendon injuries.3 Malunion is the most common complication following metacarpal fracture with associated shortening, rotation, and angular malalignment.3 While typically associated with closed treatment, it is possible with failed open reduction and internal fixation.3 Most metacarpal fractures result in asymptomatic malunions.4 While this may be true, there can be impairment in hand function and a cosmetic deformity.
Following a metacarpal fracture, the deforming forces can lead to metacarpal shortening. When this occurs, the balance between extrinsic and intrinsic musculature is disrupted, leading to functional deficits. In 1998, Strauch demonstrated a 7-degree extensor lag for every 2 mm of metacarpal shortening.5 They found the metacarpal phalangeal joint can hyperextend 20 degrees to compensate. Based on these values, surgeons and patients could accept 6 mm of shortening or a 21-degree extensor lag. However, in 2013 Wills et al showed that 5 mm of shortening results in a reduction of flexion strength and should therefore be the threshold for correction.6,7
With regard to angular malunion and malrotation, there is debate about the number of degrees that are acceptable. In 1999, it was demonstrated that normal function can tolerate 10 degrees of angulation for index and middle finger, 20 degrees for ring finger, and 30 degrees for small finger.8 Additionally, angular deformity can be compensated for by adjacent joint motion. However, any rotational malunion affects the entire digit. Patients must be evaluated with a composite fist to examine for scissoring and deviance from scaphoid convergence. Ultimately, 5 degrees of malrotation can cause 1.5 cm of digital overlap.9 Unlike angular malunion, rotational malunion is unacceptable in metacarpal malunion.8
Many techniques have been developed and published to correct metacarpal malunion. Surgeons have described step-cut osteotomy,10,11 open wedge osteotomy,12 and rotational trapezoid osteotomy.13 In 2015, Karthik et al detailed a closing wedge osteotomy with temporary intramedullary Kirschner wire and plate fixation for correction with strong results.14
We present a novel single-stage surgical technique for traumatic metacarpal malunions utilizing tricortical iliac crest graft and an intramedullary headless noncompression screw. In comparison to prior techniques described, the technique presented in this report offers some advantages. First, because this procedure necessitates retained hardware, it does not include any Kirschner wires that ultimately require removal. Kirschner wires can result in pin site infections if left externally or require an additional procedure for removal if totally buried. When compared with plate fixation, the compression screw leads to less hardware irritation and potential for tension adhesions and symptomatic hardware. In theory, a plate would provide stronger fixation for an osteotomy site, and the patient in this report did have some collapse of the osteotomy and graft site. However, his clinical outcome is excellent in regard to range of motion, strength, absence of pain, and graft site healing.
Acknowledgements
Authors: Mariel McLaughlin, MD1; Dylon P. Collins, BS2; Michael C. Doarn, MD3; Devin W. Collins, DO3
Affiliations: 1University of South Florida, Plastic and Reconstructive Surgery Department, Tampa, Florida; 2Nova Southeastern University College of Osteopathic Medicine, Fort Lauderdale, Florida; 3Florida Orthopaedic Institute, Hand and Upper Extremity Department,Temple Terrace, Florida
Correspondence: Mariel McLaughlin, MD; marielmclaughlin@usf.edu
Disclosures: The authors disclose no relevant financial or nonfinancial interests.
References
1. Khan F, Khan N, Shah, A. Metacarpal and phalangeal lengthening of the hand: utility of distraction osteogenesis. Professional Med J. 2012;19:15-22.
2. Fultz C, Lester D, Hunter J. Single stage lengthening by intercalary bone graft in patients. J Hand Surg Br. 1986 Feb;11(1):40-46. doi:10.1016/0266-7681(86)90009-4
3. Balaram A,Bednar M. Complications after the fractures of metacarpal and phalanges. Hand Clin. 2010;26(2):169-177. doi:10.1016/j.hcl.2010.01.005
4. Toemen A, Midgley R. Hand therapy management of metacarpal fractures: an evidence-based patient pathway. Hand Ther. 2010;15:87-93.
5. Strauch R, Rosenwasser M, York N, Lunt J. Metacarpal shaft fractures: the effect of shortening on the extensor tendon mechanism. J Hand Surg Am. 1998;23:519-523. doi:10.1016/S0363-5023(05)80471-X
6. Manktelow R, Mahoney J. Step osteotomy: a precise rotation osteotomy to correct scissoring deformities of the fingers. Plast Reconstr Surg. 1981;68:571-576.
7. Wills B, Crum J, McCabe R, Vanderby R, Ablove R. The effect of metacarpal shortening on digital flexion force. J Hand Surg Eur Vol. 2013;38:667-672. doi:10.1177/1753193412461589
8. Stern P, Kaufman R. Fractures of the metacarpals and phalanges. In: Green's Operative Hand Surgery. Elsevier Churchill Livingston; 1999: 277-342.
9. Jupiter J, Axelrod T, Belsky M. Skeletal trauma. In: Browner B, ed. Skeletal Trauma. er, ed. W.B. Saunders; 2003:1153.
10. Jawa A, Zucchini M, Lauri G, Jupiter J. Modified step-cut osteotomy for metacarpal and phalangeal rotational deformity. J Hand Surg Am. 2009;34(2):335-340. doi:10.1016/j.jhsa.2008.11.018
11. Pichora D, Meyer R, Masear V. Rotational step-cut osteotomy for treatment of metacarpal and phalangeal malunion. J Hand Surg Am. 1991;16:551-555. doi:10.1016/0363-5023(91)90031-6
12. Seitz W, Froimson A. Management of malunited fractures of the metacarpal and phalangeal shafts. Hand Clin. 1988;4:529-536.
13. Yong F, Tan S, Tow B, Teoh L. Trapezoid rotational bone graft osteotomy for metacarpal and phalangeal fracture malunion. J Hand Surg Eur Vol. 2007;32:282-288.
14. Karthik K, Tahmassebi R, Khakha R, Compson J. Corrective osteotomy for malunited metacarpal fractures: long-term results of a novel technique. J Hand Surg Eur Vol. 2015;40(8):840-845. doi:10.1177/1753193415569188


